Antibody data
- Antibody Data
- Antigen structure
- References [0]
- Comments [0]
- Validations
- Western blot [1]
- Immunohistochemistry [1]
Submit
Validation data
Reference
Comment
Report error
- Product number
- ARG53680 - Provider product page

- Provider
- Arigo
- Product name
- anti-TRADD antibody
- Antibody type
- Polyclonal
- Antigen
- Synthetic peptide derived from C-terminus of human TRADD.
- Description
- Immunogen affinity purified
- Reactivity
- Human
- Host
- Rabbit
- Isotype
- IgG
- Vial size
- 500 µl
- Storage
- Aliquot and store at 2-8°C. Do not freeze. The antibody solution should be gently mixed before use.
- Handling
- The antibody solution should be gently mixed before use.
No comments: Submit comment
Supportive validation
- Submitted by
- Arigo (provider)
- Main image

- Experimental details
- Western blot: 30 µg of HeLa cell 1) with no treatment, or 2) treat with 5 ng/ml TNF-a for 5 min. The blots were stained with ARG53680 anti-TRADD antibody at 1:500 dilution.Data provided by customer.
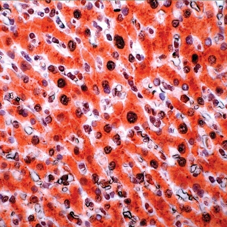
Supportive validation
- Submitted by
- Arigo (provider)
- Main image

- Experimental details
- Immunohistochemistry: Human Liver Carcinoma stained with TRADD antibody (ARG53680)