Antibody data
- Antibody Data
- Antigen structure
- References [0]
- Comments [0]
- Validations
- Western blot [3]
- Immunohistochemistry [2]
Submit
Validation data
Reference
Comment
Report error
- Product number
- BS-1202R - Provider product page

- Provider
- Invitrogen Antibodies
- Product name
- TRADD Polyclonal Antibody
- Antibody type
- Polyclonal
- Antigen
- Synthetic peptide
- Reactivity
- Human, Mouse, Rat
- Host
- Rabbit
- Isotype
- IgG
- Vial size
- 100 µL
- Concentration
- 1 mg/mL
- Storage
- -20°C
No comments: Submit comment
Supportive validation
- Submitted by
- Invitrogen Antibodies (provider)
- Main image

- Experimental details
- Lane 1: human colon carcinoma lysate; Lane 2: rat brain lysate probed with TRADD Polyclonal Antibody, Unconjugated (bs-1202R) at 1:200 overnight at 4°C. Followed by conjugation to secondary antibody (bs-0295G-HRP) at 1:3000 for 90 min at 37°C.
- Submitted by
- Invitrogen Antibodies (provider)
- Main image

- Experimental details
- Lane 1: Jurkat cell lysates; Lane 2: MCF-7 cell lysates probed with TRADD Polyclonal Antibody, Unconjugated (bs-1202R) at 1:1000 dilution and 4°C overnight incubation. Followed by conjugated secondary antibody incubation at 1:20000 for 60 min at 37°C.
- Submitted by
- Invitrogen Antibodies (provider)
- Main image

- Experimental details
- Cerebrum lysates probed with TRADD Polyclonal Antibody, Unconjugated (bs-1202R) at 1:1000 dilution and 4°C overnight incubation. Followed by conjugated secondary antibody incubation at 1:20000 for 60 min at 37°C.
Supportive validation
- Submitted by
- Invitrogen Antibodies (provider)
- Main image

- Experimental details
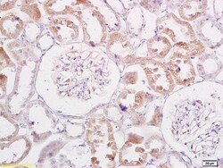
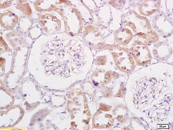
- Formalin-fixed and paraffin embedded rat kidney labeled with Anti-TRADD Polyclonal Antibody, Unconjugated (bs-1202R) at 1:200 followed by conjugation to the secondary antibody and DAB staining.
- Submitted by
- Invitrogen Antibodies (provider)
- Main image

- Experimental details
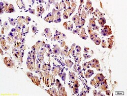
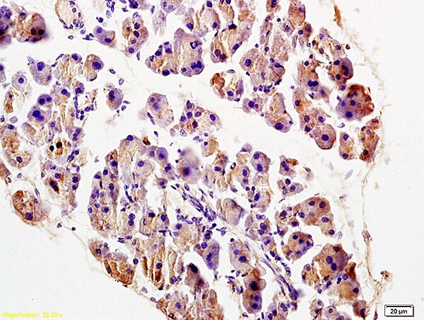
- Formalin-fixed and paraffin embedded rat pancreas labeled with Anti-TRADD Polyclonal Antibody, Unconjugated (bs-1202R) at 1:200 followed by conjugation to the secondary antibody and DAB staining.