Antibody data
- Antibody Data
- Antigen structure
- References [0]
- Comments [0]
- Validations
- Western blot [1]
- Immunocytochemistry [2]
- Immunohistochemistry [8]
Submit
Validation data
Reference
Comment
Report error
- Product number
- MA5-24588 - Provider product page

- Provider
- Invitrogen Antibodies
- Product name
- SIX1 Monoclonal Antibody (CL0185)
- Antibody type
- Monoclonal
- Antigen
- Recombinant full-length protein
- Description
- Immunogen sequence: CFKEKSRGVL REWYAHNPYP SPREKRELAE ATGLTTTQVS NWFKNRRQRD RAAEAKEREN TENNNSSSNK QNQLSPLEGG KPLMSSSEEE FSPPQSPDQN SVLLLQGNMG HARSSNYSLP GLTASQPSHG LQTHQHQLQD S Highest antigen sequence identity to the following orthologs: Mouse - 99%, Rat - 99%.
- Reactivity
- Human
- Host
- Mouse
- Isotype
- IgG
- Antibody clone number
- CL0185
- Vial size
- 100 μL
- Concentration
- 1 mg/mL
- Storage
- Store at 4°C short term. For long term storage, store at -20°C, avoiding freeze/thaw cycles.
No comments: Submit comment
Supportive validation
- Submitted by
- Invitrogen Antibodies (provider)
- Main image

- Experimental details
- Western blot analysis of extracts from RH-30 cells, transfected with: control siRNA, target specific siRNA probe #1, target specific siRNA probe #2, using SIX1 Monoclonal Antibody (CL0185) (Product # MA5-24588). Downregulation of antibody signal confirms target specificity. Remaining % intensity, relative control lane, is indicated. Anti-PPIB monoclonal antibody was used as loading control.
Supportive validation
- Submitted by
- Invitrogen Antibodies (provider)
- Main image

- Experimental details
- Immunofluorescence staining of SIX1 in RH30 cell line using SIX1 Monoclonal Antibody (Product # MA5-24588), showing spotty nuclear staining in green. Microtubule probes are visualized in red (where available).
- Submitted by
- Invitrogen Antibodies (provider)
- Main image

- Experimental details
- Immunofluorescent analysis of SIX1 in RH30 cell line using SIX1 Monoclonal Antibody (CL0185) (Product # MA5-24588). Staining shows spotty nuclear staining in green. Microtubule probes are visualized in red (where available).
Supportive validation
- Submitted by
- Invitrogen Antibodies (provider)
- Main image

- Experimental details
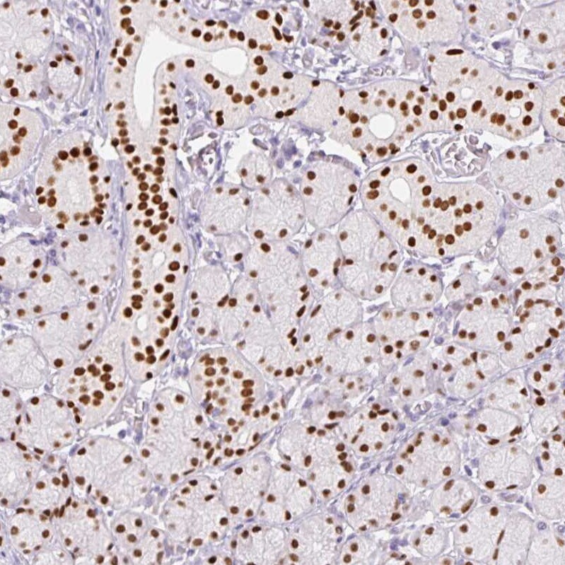
- Immunohistochemical analysis of SIX1 in human endocervix using SIX1 Monoclonal Antibody (CL0185) (Product # MA5-24588) shows strong nuclear positivity in glandular cells.
- Submitted by
- Invitrogen Antibodies (provider)
- Main image

- Experimental details
- Immunohistochemical analysis of SIX1 in human liver using SIX1 Monoclonal Antibody (CL0185) (Product # MA5-24588) shows no positivity in hepatocytes as expected.
- Submitted by
- Invitrogen Antibodies (provider)
- Main image

- Experimental details
- Immunohistochemical analysis of SIX1 in human salivary gland using SIX1 Monoclonal Antibody (CL0185) (Product # MA5-24588) shows strong nuclear positivity in glandular cells.
- Submitted by
- Invitrogen Antibodies (provider)
- Main image

- Experimental details
- Immunohistochemical analysis of SIX1 in human skeletal muscle using SIX1 Monoclonal Antibody (CL0185) (Product # MA5-24588) shows strong nuclear positivity in myocytes.
- Submitted by
- Invitrogen Antibodies (provider)
- Main image

- Experimental details
- Immunohistochemical analysis of SIX1 in human striated muscle using SIX1 Monoclonal Antibody (CL0185) (Product # MA5-24588) shows strong nuclear immunoreactivity in the myocytes.
- Submitted by
- Invitrogen Antibodies (provider)
- Main image

- Experimental details
- Immunohistochemical analysis of SIX1 in human liver using SIX1 Monoclonal Antibody (CL0185) (Product # MA5-24588) shows no positivity in hepatocytes as expected.
- Submitted by
- Invitrogen Antibodies (provider)
- Main image

- Experimental details
- Immunohistochemical analysis of SIX1 in human salivary gland using SIX1 Monoclonal Antibody (CL0185) (Product # MA5-24588) shows strong nuclear positivity in glandular cells.
- Submitted by
- Invitrogen Antibodies (provider)
- Main image

- Experimental details
- Immunohistochemical analysis of SIX1 in human striated muscle using SIX1 Monoclonal Antibody (CL0185) (Product # MA5-24588) shows strong nuclear immunoreactivity in the myocytes.