NBP1-89325
antibody from Novus Biologicals
Targeting: APOOL
AAIR8193, CXorf33, FAM121A, Mic27, MICOS27, UNQ8193
Antibody data
- Antibody Data
- Antigen structure
- References [3]
- Comments [0]
- Validations
- Western blot [3]
- Immunohistochemistry [5]
Submit
Validation data
Reference
Comment
Report error
- Product number
- NBP1-89325 - Provider product page

- Provider
- Novus Biologicals
- Proper citation
- Novus Cat#NBP1-89325, RRID:AB_11015125
- Product name
- Rabbit Polyclonal APOOL Antibody
- Antibody type
- Polyclonal
- Description
- Immunogen affinity purified. Specificity of human, mouse, rat APOOL antibody verified on a Protein Array containing target protein plus 383 other non-specific proteins.
- Reactivity
- Human, Mouse, Rat
- Host
- Rabbit
- Isotype
- IgG
- Vial size
- 0.1 ml
- Storage
- Store at 4C short term. Aliquot and store at -20C long term. Avoid freeze-thaw cycles.
Submitted references APOOL is a cardiolipin-binding constituent of the Mitofilin/MINOS protein complex determining cristae morphology in mammalian mitochondria.
Tissue profiling of the mammalian central nervous system using human antibody-based proteomics.
Systematically generated antibodies against human gene products: high throughput screening on sections from the rat nervous system.
Weber TA, Koob S, Heide H, Wittig I, Head B, van der Bliek A, Brandt U, Mittelbronn M, Reichert AS
PloS one 2013;8(5):e63683
PloS one 2013;8(5):e63683
Tissue profiling of the mammalian central nervous system using human antibody-based proteomics.
Mulder J, Björling E, Jonasson K, Wernérus H, Hober S, Hökfelt T, Uhlén M
Molecular & cellular proteomics : MCP 2009 Jul;8(7):1612-22
Molecular & cellular proteomics : MCP 2009 Jul;8(7):1612-22
Systematically generated antibodies against human gene products: high throughput screening on sections from the rat nervous system.
Mulder J, Wernérus H, Shi TJ, Pontén F, Hober S, Uhlén M, Hökfelt T
Neuroscience 2007 Jun 8;146(4):1689-703
Neuroscience 2007 Jun 8;146(4):1689-703
No comments: Submit comment
Supportive validation
- Submitted by
- Novus Biologicals (provider)
- Main image

- Experimental details
- Western Blot: APOOL Antibody [NBP1-89325] - Analysis in mouse cell line NIH-3T3 and rat cell line NBT-II.
- Submitted by
- Novus Biologicals (provider)
- Main image

- Experimental details
- Western Blot: APOOL Antibody [NBP1-89325] - Analysis in human cell line HeLa.
- Submitted by
- Novus Biologicals (provider)
- Main image

- Experimental details
- Western Blot: APOOL Antibody [NBP1-89325] - Analysis in Rh30 cells transfected with control siRNA, target specific siRNA probe #1 and #2,. Remaining relative intensity is presented. Loading control: Anti-PPIB.
Supportive validation
- Submitted by
- Novus Biologicals (provider)
- Main image

- Experimental details
- Immunohistochemistry-Paraffin: APOOL Antibody [NBP1-89325] - Staining of human stomach shows strong cytoplasmic positivity in glandular cells.
- Submitted by
- Novus Biologicals (provider)
- Main image

- Experimental details
- Immunohistochemistry-Paraffin: APOOL Antibody [NBP1-89325] - Staining of human kidney shows granular cytoplasmic positivity in cells in tubules.
- Submitted by
- Novus Biologicals (provider)
- Main image

- Experimental details
- Immunohistochemistry-Paraffin: APOOL Antibody [NBP1-89325] - Staining of human pancreas shows granular cytoplasmic positivity in exocrine glandular cells.
- Submitted by
- Novus Biologicals (provider)
- Main image

- Experimental details
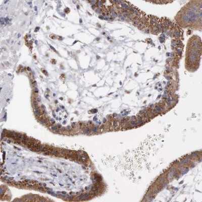
- Immunohistochemistry-Paraffin: APOOL Antibody [NBP1-89325] - Staining of human placenta shows granular cytoplasmic positivity in trophoblastic cells.
- Submitted by
- Novus Biologicals (provider)
- Main image

- Experimental details
- Immunohistochemistry-Paraffin: APOOL Antibody [NBP1-89325] - Staining of human rectum shows granular cytoplasmic positivity in glandular cells.