sc-25333
antibody from Santa Cruz Biotechnology
Targeting: ATP6V1G1
ATP6G, ATP6G1, ATP6GL, ATP6J, DKFZp547P234, Vma10
Antibody data
- Antibody Data
- Antigen structure
- References [0]
- Comments [0]
- Validations
- Immunohistochemistry [1]
Submit
Validation data
Reference
Comment
Report error
- Product number
- sc-25333 - Provider product page

- Provider
- Santa Cruz Biotechnology
- Proper citation
- Santa Cruz Biotechnology Cat#sc-25333, RRID:AB_2258908
- Product name
- Anti-ATP6V1G1
- Antibody type
- Monoclonal
- Antigen
- Recombinant full-length protein
- Reactivity
- Human
- Host
- Mouse
No comments: Submit comment
Supportive validation
- Submitted by
- per
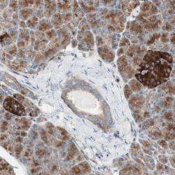
- Main image

- Experimental details
- Immunohistochemical staining of human pancreas shows strong cytoplasmic positivity in islet cells.
- Validation comment
- Staining pattern partly consistent with experimental and/or bioinformatic data.