Antibody data
- Antibody Data
- Antigen structure
- References [8]
- Comments [0]
- Validations
- Western blot [1]
- Immunohistochemistry [1]
Submit
Validation data
Reference
Comment
Report error
- Product number
- sc-13133 - Provider product page

- Provider
- Santa Cruz Biotechnology
- Proper citation
- Santa Cruz Biotechnology Cat#sc-13133, RRID:AB_628040
- Product name
- Anti-VDR
- Antibody type
- Monoclonal
- Antigen
- Recombinant full-length protein
- Reactivity
- Human
- Host
- Mouse
Submitted references A novel bile acid-activated vitamin D receptor signaling in human hepatocytes.
Effects of supplemental vitamin D and calcium on oxidative DNA damage marker in normal colorectal mucosa: a randomized clinical trial.
Cholecalciferol supplementation alters calcitriol-responsive monocyte proteins and decreases inflammatory cytokines in ESRD.
Parathyroid Klotho and FGF-receptor 1 expression decline with renal function in hyperparathyroid patients with chronic kidney disease and kidney transplant recipients
Multi-step immunofluorescent analysis of vitamin D receptor loci and myosin heavy chain isoforms in human skeletal muscle.
Control of TCF-4 expression by VDR and vitamin D in the mouse mammary gland and colorectal cancer cell lines.
20-Hydroxyvitamin D3, a product of vitamin D3 hydroxylation by cytochrome P450scc, stimulates keratinocyte differentiation.
Functional vitamin D receptor (VDR) in the t-tubules of cardiac myocytes: VDR knockout cardiomyocyte contractility.
Han S, Li T, Ellis E, Strom S, Chiang JY
Molecular endocrinology (Baltimore, Md.) 2010 Jun;24(6):1151-64
Molecular endocrinology (Baltimore, Md.) 2010 Jun;24(6):1151-64
Effects of supplemental vitamin D and calcium on oxidative DNA damage marker in normal colorectal mucosa: a randomized clinical trial.
Fedirko V, Bostick RM, Long Q, Flanders WD, McCullough ML, Sidelnikov E, Daniel CR, Rutherford RE, Shaukat A
Cancer epidemiology, biomarkers & prevention : a publication of the American Association for Cancer Research, cosponsored by the American Society of Preventive Oncology 2010 Jan;19(1):280-91
Cancer epidemiology, biomarkers & prevention : a publication of the American Association for Cancer Research, cosponsored by the American Society of Preventive Oncology 2010 Jan;19(1):280-91
Cholecalciferol supplementation alters calcitriol-responsive monocyte proteins and decreases inflammatory cytokines in ESRD.
Stubbs JR, Idiculla A, Slusser J, Menard R, Quarles LD
Journal of the American Society of Nephrology : JASN 2010 Feb;21(2):353-61
Journal of the American Society of Nephrology : JASN 2010 Feb;21(2):353-61
Parathyroid Klotho and FGF-receptor 1 expression decline with renal function in hyperparathyroid patients with chronic kidney disease and kidney transplant recipients
Tijana Krajisnik, Hannes Olauson, Majd A I Mirza, Per Hellman, Göran Åkerström, Gunnar Westin, Tobias E Larsson, Peyman Björklund
Kidney International 2010 Aug;78(10):1024-1032
Kidney International 2010 Aug;78(10):1024-1032
Multi-step immunofluorescent analysis of vitamin D receptor loci and myosin heavy chain isoforms in human skeletal muscle.
Ceglia L, da Silva Morais M, Park LK, Morris E, Harris SS, Bischoff-Ferrari HA, Fielding RA, Dawson-Hughes B
Journal of molecular histology 2010 Apr;41(2-3):137-42
Journal of molecular histology 2010 Apr;41(2-3):137-42
Control of TCF-4 expression by VDR and vitamin D in the mouse mammary gland and colorectal cancer cell lines.
Beildeck ME, Islam M, Shah S, Welsh J, Byers SW
PloS one 2009 Nov 17;4(11):e7872
PloS one 2009 Nov 17;4(11):e7872
20-Hydroxyvitamin D3, a product of vitamin D3 hydroxylation by cytochrome P450scc, stimulates keratinocyte differentiation.
Zbytek B, Janjetovic Z, Tuckey RC, Zmijewski MA, Sweatman TW, Jones E, Nguyen MN, Slominski AT
The Journal of investigative dermatology 2008 Sep;128(9):2271-80
The Journal of investigative dermatology 2008 Sep;128(9):2271-80
Functional vitamin D receptor (VDR) in the t-tubules of cardiac myocytes: VDR knockout cardiomyocyte contractility.
Tishkoff DX, Nibbelink KA, Holmberg KH, Dandu L, Simpson RU
Endocrinology 2008 Feb;149(2):558-64
Endocrinology 2008 Feb;149(2):558-64
No comments: Submit comment
Supportive validation
- Submitted by
- per
- Main image

- Experimental details
- Western blot analysis of antibody specificity using a routine panel composed of IgG/HSA-depleted human plasma and protein lysates from selected human tissues and cell lines.
- Validation comment
- Band of predicted size in kDa (+/-20%) with additional bands present.
- Primary Ab dilution
- 1:500
- Secondary Ab dilution
- 1:7000
- Lane 1
- Marker [kDa]: 230, 110, 82, 49.3, 32.2, 25.5, 17.6
- Lane 2
- RT-4
- Lane 3
- U-251MG sp
- Lane 4
- Human Plasma
- Lane 5
- Liver
- Lane 6
- Tonsil
- Theoretical target weight
- [kDa] 48
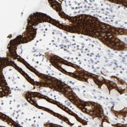
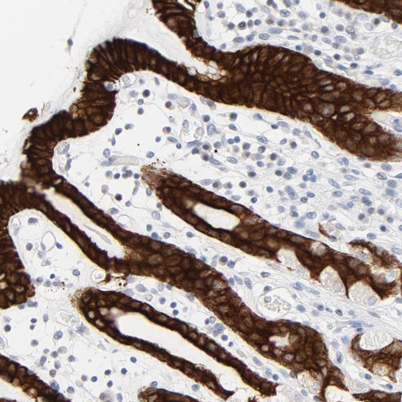
Supportive validation
- Submitted by
- per
- Main image

- Experimental details
- Immunohistochemical staining of human stomach shows strong cytoplasmic and membranous positivity in glandular cells.
- Validation comment
- Staining pattern partly consistent with experimental and/or bioinformatic data.