Antibody data
- Antibody Data
- Antigen structure
- References [0]
- Comments [0]
- Validations
- ELISA [1]
- Immunohistochemistry [1]
Submit
Validation data
Reference
Comment
Report error
- Product number
- AM20955PU-N - Provider product page

- Provider
- OriGene
- Product name
- Vitamin D Receptor (VDR) mouse monoclonal antibody, clone 2F4
- Antibody type
- Monoclonal
- Description
- Vitamin D Receptor (VDR) mouse monoclonal antibody, clone 2F4
- Host
- Mouse
- Conjugate
- Unconjugated
- Epitope
- VDR
- Isotype
- IgG
- Antibody clone number
- 2F4
- Vial size
- 50 µg
- Concentration
- 0.5 mg/ml
No comments: Submit comment
Supportive validation
- Submitted by
- OriGene (provider)
- Main image

- Experimental details
- Detection limit for recombinant GST tagged VDR is approximately 1 ng/ml as a capture antibody.
- Validation comment
- ELISA
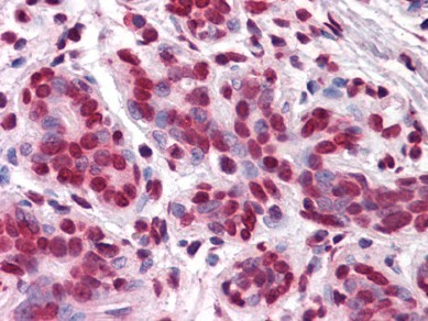
Supportive validation
- Submitted by
- OriGene (provider)
- Main image

- Experimental details
- Human Breast: Formalin-Fixed, Paraffin-Embedded (FFPE)
- Validation comment
- IHC