Antibody data
- Antibody Data
- Antigen structure
- References [14]
- Comments [0]
- Validations
- Western blot [1]
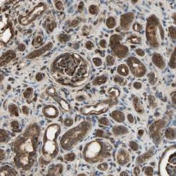
- Immunohistochemistry [1]
Submit
Validation data
Reference
Comment
Report error
- Product number
- sc-1019 - Provider product page

- Provider
- Santa Cruz Biotechnology
- Proper citation
- Santa Cruz Biotechnology Cat#sc-1019, RRID:AB_2218378
- Product name
- Anti-YWHAZ
- Antibody type
- Polyclonal (Antigen purified)
- Antigen
- Synthetic peptide
- Reactivity
- Human
- Host
- Rabbit
Submitted references Colocalization of 14-3-3 proteins with SOD1 in Lewy body-like hyaline inclusions in familial amyotrophic lateral sclerosis cases and the animal model.
Guggulsterone targets smokeless tobacco induced PI3K/Akt pathway in head and neck cancer cells.
Promoter chromatin remodeling of immediate-early genes is mediated through H3 phosphorylation at either serine 28 or 10 by the MSK1 multi-protein complex.
Cyclin B1/Cdk1 phosphorylation of mitochondrial p53 induces anti-apoptotic response.
miR-451 protects against erythroid oxidant stress by repressing 14-3-3zeta.
Novel snail1 target proteins in human colon cancer identified by proteomic analysis.
Three-way interaction between 14-3-3 proteins, the N-terminal region of tyrosine hydroxylase, and negatively charged membranes.
14-3-3zeta contributes to tyrosine hydroxylase activity in MN9D cells: localization of dopamine regulatory proteins to mitochondria.
Targeting of beta-arrestin2 to the centrosome and primary cilium: role in cell proliferation control.
Presence and distribution of 14-3-3 proteins in human ocular surface tissues.
14-3-3 theta binding to cell cycle regulatory factors is enhanced by HIV-1 Vpr.
Molecular dynamics and in vitro analysis of Connexin43: A new 14-3-3 mode-1 interacting protein.
14-3-3s regulate fructose-2,6-bisphosphate levels by binding to PKB-phosphorylated cardiac fructose-2,6-bisphosphate kinase/phosphatase.
HLS7, a hemopoietic lineage switch gene homologous to the leukemia-inducing gene MLF1
Okamoto Y, Shirakashi Y, Ihara M, Urushitani M, Oono M, Kawamoto Y, Yamashita H, Shimohama S, Kato S, Hirano A, Tomimoto H, Ito H, Takahashi R
PloS one 2011;6(5):e20427
PloS one 2011;6(5):e20427
Guggulsterone targets smokeless tobacco induced PI3K/Akt pathway in head and neck cancer cells.
Macha MA, Matta A, Chauhan SS, Siu KW, Ralhan R
PloS one 2011 Feb 24;6(2):e14728
PloS one 2011 Feb 24;6(2):e14728
Promoter chromatin remodeling of immediate-early genes is mediated through H3 phosphorylation at either serine 28 or 10 by the MSK1 multi-protein complex.
Drobic B, Pérez-Cadahía B, Yu J, Kung SK, Davie JR
Nucleic acids research 2010 Jun;38(10):3196-208
Nucleic acids research 2010 Jun;38(10):3196-208
Cyclin B1/Cdk1 phosphorylation of mitochondrial p53 induces anti-apoptotic response.
Nantajit D, Fan M, Duru N, Wen Y, Reed JC, Li JJ
PloS one 2010 Aug 23;5(8):e12341
PloS one 2010 Aug 23;5(8):e12341
miR-451 protects against erythroid oxidant stress by repressing 14-3-3zeta.
Yu D, dos Santos CO, Zhao G, Jiang J, Amigo JD, Khandros E, Dore LC, Yao Y, D'Souza J, Zhang Z, Ghaffari S, Choi J, Friend S, Tong W, Orange JS, Paw BH, Weiss MJ
Genes & development 2010 Aug 1;24(15):1620-33
Genes & development 2010 Aug 1;24(15):1620-33
Novel snail1 target proteins in human colon cancer identified by proteomic analysis.
Larriba MJ, Casado-Vela J, Pendás-Franco N, Peña R, García de Herreros A, Berciano MT, Lafarga M, Casal JI, Muñoz A
PloS one 2010 Apr 20;5(4):e10221
PloS one 2010 Apr 20;5(4):e10221
Three-way interaction between 14-3-3 proteins, the N-terminal region of tyrosine hydroxylase, and negatively charged membranes.
Halskau Ø Jr, Ying M, Baumann A, Kleppe R, Rodriguez-Larrea D, Almås B, Haavik J, Martinez A
The Journal of biological chemistry 2009 Nov 20;284(47):32758-69
The Journal of biological chemistry 2009 Nov 20;284(47):32758-69
14-3-3zeta contributes to tyrosine hydroxylase activity in MN9D cells: localization of dopamine regulatory proteins to mitochondria.
Wang J, Lou H, Pedersen CJ, Smith AD, Perez RG
The Journal of biological chemistry 2009 May 22;284(21):14011-9
The Journal of biological chemistry 2009 May 22;284(21):14011-9
Targeting of beta-arrestin2 to the centrosome and primary cilium: role in cell proliferation control.
Molla-Herman A, Boularan C, Ghossoub R, Scott MG, Burtey A, Zarka M, Saunier S, Concordet JP, Marullo S, Benmerah A
PloS one 2008;3(11):e3728
PloS one 2008;3(11):e3728
Presence and distribution of 14-3-3 proteins in human ocular surface tissues.
Shankardas J, Senchyna M, Dimitrijevich SD
Molecular vision 2008;14:2604-15
Molecular vision 2008;14:2604-15
14-3-3 theta binding to cell cycle regulatory factors is enhanced by HIV-1 Vpr.
Bolton DL, Barnitz RA, Sakai K, Lenardo MJ
Biology direct 2008 Apr 29;3:17
Biology direct 2008 Apr 29;3:17
Molecular dynamics and in vitro analysis of Connexin43: A new 14-3-3 mode-1 interacting protein.
Park DJ, Freitas TA, Wallick CJ, Guyette CV, Warn-Cramer BJ
Protein science : a publication of the Protein Society 2006 Oct;15(10):2344-55
Protein science : a publication of the Protein Society 2006 Oct;15(10):2344-55
14-3-3s regulate fructose-2,6-bisphosphate levels by binding to PKB-phosphorylated cardiac fructose-2,6-bisphosphate kinase/phosphatase.
Pozuelo Rubio M, Peggie M, Wong BH, Morrice N, MacKintosh C
The EMBO journal 2003 Jul 15;22(14):3514-23
The EMBO journal 2003 Jul 15;22(14):3514-23
HLS7, a hemopoietic lineage switch gene homologous to the leukemia-inducing gene MLF1
James H. Williams, Louise N. Daly, Evan Ingley, Jennifer G. Beaumont, Peta A. Tilbrook, Jean-Philippe Lalonde, Justin P. Stillitano, S. Peter Klinken
The EMBO Journal 1999 Oct;18(20):5559-5566
The EMBO Journal 1999 Oct;18(20):5559-5566
No comments: Submit comment
Supportive validation
- Submitted by
- per
- Main image

- Experimental details
- Western blot analysis of antibody specificity using a routine panel composed of IgG/HSA-depleted human plasma and protein lysates from selected human tissues and cell lines.
- Validation comment
- Single band corresponding to the predicted size in kDa (+/-20%).
- Primary Ab dilution
- 1:500
- Secondary Ab dilution
- 1:3000
- Lane 1
- Marker [kDa]: 230, 110, 82, 49.3, 32.2, 25.5, 17.6
- Lane 2
- RT-4
- Lane 3
- U-251MG sp
- Lane 4
- Human Plasma
- Lane 5
- Liver
- Lane 6
- Tonsil
- Theoretical target weight
- [kDa] 28
Supportive validation
- Submitted by
- per
- Main image

- Experimental details
- Immunohistochemical staining of human kidney shows distinct cytoplasmic positivity in cells in tubules.
- Validation comment
- Staining pattern consistent with experimental and/or bioinformatic data.