Antibody data
- Antibody Data
- Antigen structure
- References [0]
- Comments [0]
- Validations
- Western blot [1]
- Immunocytochemistry [1]
- Immunohistochemistry [1]
Submit
Validation data
Reference
Comment
Report error
- Product number
- TA301733 - Provider product page

- Provider
- OriGene
- Proper citation
- OriGene Cat#TA301733, RRID:AB_2258205
- Product name
- Rabbit Polyclonal Antibody against Aryl hydrocarbon Receptor
- Antibody type
- Polyclonal
- Description
- Rabbit Polyclonal Antibody against Aryl hydrocarbon Receptor
- Reactivity
- Mouse
- Host
- Rabbit
- Conjugate
- Unconjugated
- Epitope
- AHR
- Isotype
- IgG
- Vial size
- 100ul
- Concentration
- 1.1 mg/ml
No comments: Submit comment
Supportive validation
- Submitted by
- OriGene (provider)
- Main image

- Experimental details
- Detection of AhR in mouse liver cytosol
- Validation comment
- WB
Supportive validation
- Submitted by
- OriGene (provider)
- Main image

- Experimental details
- Immunocytochemistry/Immunofluorescence: Aryl hydrocarbon Receptor antibody was tested in HeLa cells with DyLight 488 (green). Nuclei and alpha-tubulin were counterstained with DAPI (blue) and Dylight 550 (red).
- Validation comment
- IF
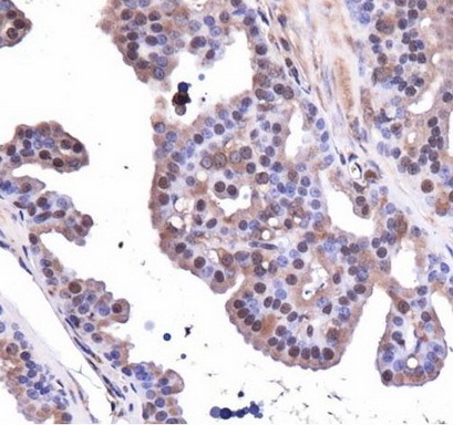
Supportive validation
- Submitted by
- OriGene (provider)
- Main image

- Experimental details
- Immunohistochemistry: Aryl hydrocarbon Receptor Antibody - Staining of Aryl hydrocarbon Receptor in mouse prostate.
- Validation comment
- IHC