Antibody data
- Antibody Data
- Antigen structure
- References [1]
- Comments [0]
- Validations
- Immunohistochemistry [1]
Submit
Validation data
Reference
Comment
Report error
- Product number
- sc-15390 - Provider product page 
- Provider
- Santa Cruz Biotechnology
- Proper citation
- Santa Cruz Biotechnology Cat#sc-15390, RRID:AB_2289106
- Product name
- Anti-ACTR3
- Antibody type
- Polyclonal
- Antigen
- Recombinant full-length protein
- Reactivity
- Human
- Host
- Rabbit
Submitted references		Identification of a hormone-regulated dynamic nuclear actin network associated with estrogen receptor alpha in human breast cancer cell nuclei.
				
		
	
			Ambrosino C, Tarallo R, Bamundo A, Cuomo D, Franci G, Nassa G, Paris O, Ravo M, Giovane A, Zambrano N, Lepikhova T, Jänne OA, Baumann M, Nyman TA, Cicatiello L, Weisz A
Molecular & cellular proteomics : MCP 2010 Jun;9(6):1352-67
		Molecular & cellular proteomics : MCP 2010 Jun;9(6):1352-67
				No comments: Submit comment	
	
			
							
					Supportive validation
					
									
				
		- Submitted by
- per
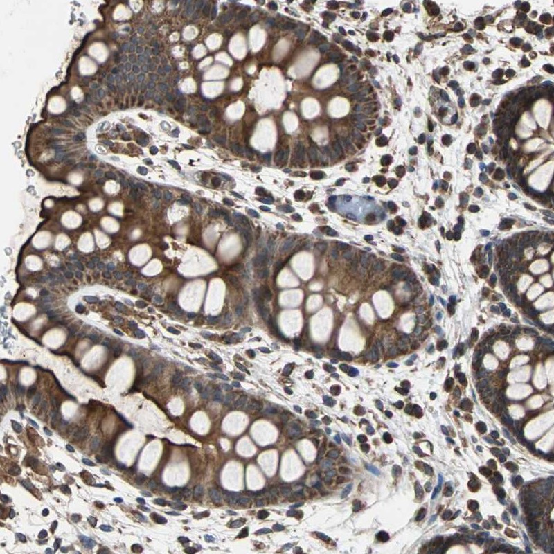
- Main image
 
- Experimental details
- Immunohistochemical staining of human rectum shows distinct cytoplasmic and membranous positivity in glandular cells.
- Validation comment
- Staining pattern partly consistent with experimental and/or bioinformatic data.