Antibody data
- Antibody Data
- Antigen structure
- References [0]
- Comments [0]
- Validations
- Western blot [1]
- Immunohistochemistry [3]
- Flow cytometry [2]
Submit
Validation data
Reference
Comment
Report error
- Product number
- RQ7219 - Provider product page

- Provider
- NSJ Bioreagents
- Product name
- Carbonic Anhydrase IX Antibody / CA9
- Antibody type
- Polyclonal
- Description
- This highly specific Carbonic Anhydrase IX antibody is suitable for use in Western blot/Immunohistochemistry/Flow cytometry/Direct ELISA applications with human and mouse samples.
- Reactivity
- Human, Mouse
- Host
- Rabbit
- Conjugate
- Unconjugated
- Vial size
- 100 ug
- Concentration
- 0.5mg/ml if reconstituted with 0.2ml sterile DI water
- Storage
- After reconstitution, the Carbonic Anhydrase IX antibody can be stored for up to one month at 4oC. For long-term, aliquot and store at -20oC. Avoid repeated freezing and thawing.
No comments: Submit comment
Supportive validation
- Submitted by
- NSJ Bioreagents (provider)
- Main image

- Experimental details
- Western blot testing of human 1) U-87 MG, 2) 293T and 3) HeLa cell lysate with Carbonic Anhydrase IX antibody. Predicted molecular weight: 50-55 kDa.
Supportive validation
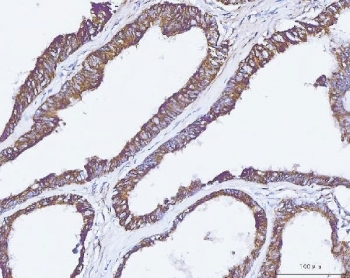
- Submitted by
- NSJ Bioreagents (provider)
- Main image

- Experimental details
- IHC staining of FFPE mouse stomach tissue with Carbonic Anhydrase IX antibody. HIER: boil tissue sections in pH8 EDTA for 20 min and allow to cool before testing.
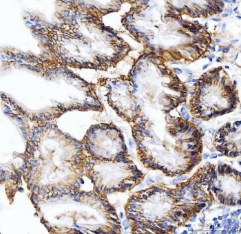
- Submitted by
- NSJ Bioreagents (provider)
- Main image

- Experimental details
- IHC staining of FFPE human colonic adenocarcinoma tissue with Carbonic Anhydrase IX antibody. HIER: boil tissue sections in pH8 EDTA for 20 min and allow to cool before testing.
- Submitted by
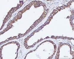
- NSJ Bioreagents (provider)
- Main image

- Experimental details
- IHC staining of FFPE human renal adenocarcinoma tissue with Carbonic Anhydrase IX antibody. HIER: boil tissue sections in pH8 EDTA for 20 min and allow to cool before testing.
Supportive validation
- Submitted by
- NSJ Bioreagents (provider)
- Main image

- Experimental details
- Flow cytometry testing of human U-87 MG cells with Carbonic Anhydrase IX antibody at 1ug/million cells (blocked with goat sera); Red=cells alone, Green=isotype control, Blue= Carbonic Anhydrase IX antibody.
- Submitted by
- NSJ Bioreagents (provider)
- Main image

- Experimental details
- Flow cytometry testing of mouse RAW264.7 cells with Carbonic Anhydrase IX antibody at 1ug/million cells (blocked with goat sera); Red=cells alone, Green=isotype control, Blue= Carbonic Anhydrase IX antibody.