MA5-16318
antibody from Invitrogen Antibodies
Targeting: CA9
CAIX, MN
Antibody data
- Antibody Data
- Antigen structure
- References [3]
- Comments [0]
- Validations
- Immunocytochemistry [2]
- Immunohistochemistry [4]
- Flow cytometry [2]
- Other assay [2]
Submit
Validation data
Reference
Comment
Report error
- Product number
- MA5-16318 - Provider product page

- Provider
- Invitrogen Antibodies
- Product name
- Carbonic Anhydrase IX Monoclonal Antibody (GT12)
- Antibody type
- Monoclonal
- Antigen
- Other
- Description
- Store product as a concentrated solution. Centrifuge briefly prior to opening the vial.
- Reactivity
- Human
- Host
- Mouse
- Isotype
- IgG
- Antibody clone number
- GT12
- Vial size
- 100 μL
- Concentration
- 0.1 mg/mL
- Storage
- Store at 4°C short term. For long term storage, store at -20°C, avoiding freeze/thaw cycles.
Submitted references Hypoxia-induced autophagy drives colorectal cancer initiation and progression by activating the PRKC/PKC-EZR (ezrin) pathway.
Linker stability influences the anti-tumor activity of acetazolamide-drug conjugates for the therapy of renal cell carcinoma.
Mineralization of bone-related SaOS-2 cells under physiological hypoxic conditions.
Qureshi-Baig K, Kuhn D, Viry E, Pozdeev VI, Schmitz M, Rodriguez F, Ullmann P, Koncina E, Nurmik M, Frasquilho S, Nazarov PV, Zuegel N, Boulmont M, Karapetyan Y, Antunes L, Val D, Mittelbronn M, Janji B, Haan S, Letellier E
Autophagy 2020 Aug;16(8):1436-1452
Autophagy 2020 Aug;16(8):1436-1452
Linker stability influences the anti-tumor activity of acetazolamide-drug conjugates for the therapy of renal cell carcinoma.
Cazzamalli S, Corso AD, Neri D
Journal of controlled release : official journal of the Controlled Release Society 2017 Jan 28;246:39-45
Journal of controlled release : official journal of the Controlled Release Society 2017 Jan 28;246:39-45
Mineralization of bone-related SaOS-2 cells under physiological hypoxic conditions.
Müller WE, Schröder HC, Tolba E, Diehl-Seifert B, Wang X
The FEBS journal 2016 Jan;283(1):74-87
The FEBS journal 2016 Jan;283(1):74-87
No comments: Submit comment
Supportive validation
- Submitted by
- Invitrogen Antibodies (provider)
- Main image

- Experimental details
- Confocal immunofluorescence analysis (Olympus FV10i) of methanol-fixed A431 cells treated with 200 µM CoCl2 for 48hr using anti-CAIX antibody [GT12] (Product # MA5-16318) at a dilution of 1:1,000.
- Submitted by
- Invitrogen Antibodies (provider)
- Main image

- Experimental details
- Confocal immunofluorescence analysis (Olympus FV10i) of methanol-fixed A431 cells treated with 200 µM CoCl2 for 48hr using anti-CAIX antibody [GT12] (Product # MA5-16318) at a dilution of 1:1,000.
Supportive validation
- Submitted by
- Invitrogen Antibodies (provider)
- Main image

- Experimental details
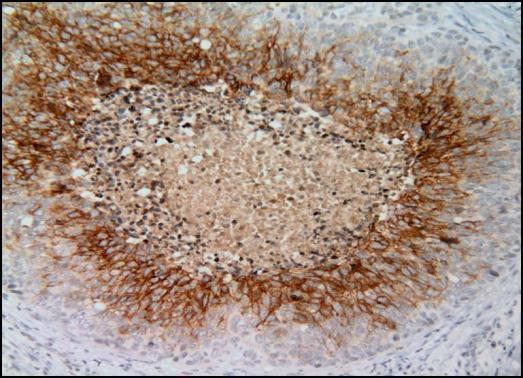
- Immunohistochemistry (Paraffin) analysis of Carbonic Anhydrase IX was performed in paraffin-embedded renal cell carcinoma (clear cell type) tissue using Carbonic Anhydrase IX Monoclonal Antibody (GT12) (Product # MA5-16318) at a dilution of 1:1000.
- Submitted by
- Invitrogen Antibodies (provider)
- Main image

- Experimental details
- Carbonic Anhydrase IX Monoclonal Antibody (GT12) detects Carbonic Anhydrase IX protein at cell membrane by immunohistochemical analysis. Sample: Paraffin-embedded human cervical carcinoma. Carbonic Anhydrase IX stained by Carbonic Anhydrase IX Monoclonal Antibody (GT12) (Product # MA5-16318) diluted at 1:500. Antigen Retrieval: Citrate buffer, pH 6.0, 15 min.
- Submitted by
- Invitrogen Antibodies (provider)
- Main image

- Experimental details
- Immunohistochemical analysis of paraffin-embedded cervical CA tissue sections using anti-CAIX antibody [GT12] (Product # MA5-16318) at a dilution of 1:1,000. The hypoxic regions of the tumor show positive CAIX staining.
- Submitted by
- Invitrogen Antibodies (provider)
- Main image

- Experimental details
- Immunohistochemical analysis of paraffin-embedded cervical CA tissue sections using anti-CAIX antibody [GT12] (Product # MA5-16318) at a dilution of 1:1,000. The hypoxic regions of the tumor show positive CAIX staining.
Supportive validation
- Submitted by
- Invitrogen Antibodies (provider)
- Main image

- Experimental details
- Flow cytometry on HeLa cells (1x10^6) stained with Carbonic Anhydrase IX Monoclonal Antibody (GT12) (Product # MA5-16318) at a 1:1,000 dilution. HeLa cells were untreated (green) or treated with 200 µM CoCl2 (pink) for 48 hr.
- Submitted by
- Invitrogen Antibodies (provider)
- Main image

- Experimental details
- Flow cytometry on HeLa cells (1x10^6) stained with Carbonic Anhydrase IX Monoclonal Antibody (GT12) (Product # MA5-16318) at a 1:1,000 dilution. HeLa cells were untreated (green) or treated with 200 µM CoCl2 (pink) for 48 hr.
Supportive validation
- Submitted by
- Invitrogen Antibodies (provider)
- Main image

- Experimental details
- NULL
- Submitted by
- Invitrogen Antibodies (provider)
- Main image

- Experimental details
- Figure 7. The relevance of the hypoxia/autophagy/EZR pathway in human TICs. ( A ) Immunofluorescence staining and colocalization in human tumor tissues (from six patients) for CA9 (a downstream target of HIF1A), BNIP3L, MAP1LC3A, p-EZR, and POU5F1 (refer to Fig. S7 for patient characteristics including TNM staging and HE stainings). The specificity of all used antibodies was carefully validated (please see Material and Methods and Supplementary data). Scale bar: 100 um. ( B ) Staining correlation in human CRC tissues. Measures were standardized (z-score) for each patient. Dot colors indicate different patients. A repeated measure correlation test was performed in order to account for the within-individual association of paired measures (using the rmcorr package in R; see Material and Methods). The rmcorr r coefficient and the Holm adjusted p-values are reported on each plot.