Antibody data
- Antibody Data
- Antigen structure
- References [6]
- Comments [1]
- Validations
- Western blot [1]
- Immunohistochemistry [1]
Submit
Validation data
Reference
Comment
Report error
- Product number
- sc-13560 - Provider product page

- Provider
- Santa Cruz Biotechnology
- Proper citation
- Santa Cruz Biotechnology Cat#sc-13560, RRID:AB_627383
- Product name
- Anti-CYCS
- Antibody type
- Monoclonal
- Reactivity
- Human
- Host
- Mouse
Submitted references Unilateral blood flow decrease induces bilateral and symmetric responses in the immature brain.
Parkin selectively alters the intrinsic threshold for mitochondrial cytochrome c release.
Glutathione peroxidase 4 differentially regulates the release of apoptogenic proteins from mitochondria.
Glucose-modulated tyrosine nitration in beta cells: targets and consequences.
Apigenin-induced prostate cancer cell death is initiated by reactive oxygen species and p53 activation.
Cyclin D1 in low-dose radiation-induced adaptive resistance.
Villapol S, Bonnin P, Fau S, Baud O, Renolleau S, Charriaut-Marlangue C
The American journal of pathology 2009 Nov;175(5):2111-20
The American journal of pathology 2009 Nov;175(5):2111-20
Parkin selectively alters the intrinsic threshold for mitochondrial cytochrome c release.
Berger AK, Cortese GP, Amodeo KD, Weihofen A, Letai A, LaVoie MJ
Human molecular genetics 2009 Nov 15;18(22):4317-28
Human molecular genetics 2009 Nov 15;18(22):4317-28
Glutathione peroxidase 4 differentially regulates the release of apoptogenic proteins from mitochondria.
Liang H, Ran Q, Jang YC, Holstein D, Lechleiter J, McDonald-Marsh T, Musatov A, Song W, Van Remmen H, Richardson A
Free radical biology & medicine 2009 Aug 1;47(3):312-20
Free radical biology & medicine 2009 Aug 1;47(3):312-20
Glucose-modulated tyrosine nitration in beta cells: targets and consequences.
Koeck T, Corbett JA, Crabb JW, Stuehr DJ, Aulak KS
Archives of biochemistry and biophysics 2009 Apr 15;484(2):221-31
Archives of biochemistry and biophysics 2009 Apr 15;484(2):221-31
Apigenin-induced prostate cancer cell death is initiated by reactive oxygen species and p53 activation.
Shukla S, Gupta S
Free radical biology & medicine 2008 May 15;44(10):1833-45
Free radical biology & medicine 2008 May 15;44(10):1833-45
Cyclin D1 in low-dose radiation-induced adaptive resistance.
Ahmed KM, Fan M, Nantajit D, Cao N, Li JJ
Oncogene 2008 Dec 4;27(53):6738-48
Oncogene 2008 Dec 4;27(53):6738-48
2010-05-14
- Submitted by
- kate
- Comment
- I have used this antibody and I am unable to detect the predicted size of 15 kda all I get is a huge tetramer band at 60 kd no matter what I do with the samples. I've tried boiling for longer, using 10% mercapto, 100 mM dtt, 12% gel, PVDF instead of nitrocellulose etc If anyone else has had this problem and solved it please let me know!!!
- Antibody rating
- 1. Very poor
Supportive validation
- Submitted by
- per
- Main image

- Experimental details
- Western blot analysis of antibody specificity using a routine panel composed of IgG/HSA-depleted human plasma and protein lysates from selected human tissues and cell lines.
- Validation comment
- Band of predicted size in kDa (+/-20%) with additional bands present.
- Primary Ab dilution
- 1:500
- Secondary Ab dilution
- 1:7000
- Lane 1
- Marker [kDa]: 250, 130, 95, 72, 55, 36, 28, 17, 11
- Lane 2
- RT-4
- Lane 3
- U-251MG sp
- Lane 4
- Human Plasma
- Lane 5
- Liver
- Lane 6
- Tonsil
- Theoretical target weight
- [kDa] 12
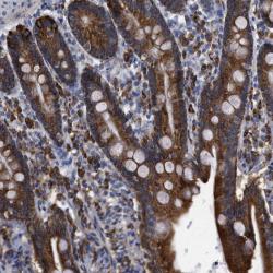
Supportive validation
- Submitted by
- per
- Main image

- Experimental details
- Immunohistochemical staining of human duodenum shows strong positivity in glandular cells.
- Validation comment
- Two independent antibodies targeting one protein yielding similar staining patterns. Staining pattern consistent with experimental and/or bioinformatic data.