Antibody data
- Antibody Data
- Antigen structure
- References [41]
- Comments [0]
- Validations
- Immunocytochemistry [2]
- Immunohistochemistry [4]
- Other assay [5]
Submit
Validation data
Reference
Comment
Report error
- Product number
- MA5-11674 - Provider product page

- Provider
- Invitrogen Antibodies
- Product name
- Cytochrome C Monoclonal Antibody (7H8.2C12)
- Antibody type
- Monoclonal
- Antigen
- Synthetic peptide
- Description
- MA5-11674 targets Cytochrome c in IHC (P) and WB applications and shows reactivity with Human, mouse, and Rat samples. The MA5-11674 immunogen is synthetic peptides corresponding to amino acids 1-80, 81-104 and 66-104 of pigeon cytochrome c.
- Reactivity
- Human, Mouse
- Host
- Mouse
- Isotype
- IgG
- Antibody clone number
- 7H8.2C12
- Vial size
- 500 μL
- Concentration
- 0.2 mg/mL
- Storage
- 4°C
Submitted references Amelioration of Endotoxin-Induced Acute Lung Injury and Alveolar Epithelial Cells Apoptosis by Simvastatin Is Associated with Up-Regulation of Survivin/NF-kB/p65 Pathway.
Antibody-drug nanoparticle induces synergistic treatment efficacies in HER2 positive breast cancer cells.
Protective Effects of Simvastatin on Endotoxin-Induced Acute Kidney Injury through Activation of Tubular Epithelial Cells' Survival and Hindering Cytochrome C-Mediated Apoptosis.
MicroRNA-26a/b have protective roles in oral lichen planus.
MITO-Tag Mice enable rapid isolation and multimodal profiling of mitochondria from specific cell types in vivo.
Esculetin induces antiproliferative and apoptotic response in pancreatic cancer cells by directly binding to KEAP1.
Selective A3 adenosine receptor agonist protects against doxorubicin-induced cardiotoxicity.
Growth Hormone Ameliorates the Radiotherapy-Induced Ovarian Follicular Loss in Rats: Impact on Oxidative Stress, Apoptosis and IGF-1/IGF-1R Axis.
Effects of Nitric Oxide Synthase Inhibition on Fiber-Type Composition, Mitochondrial Biogenesis, and SIRT1 Expression in Rat Skeletal Muscle.
Sodium selenite treatment restores long-lasting ovarian damage induced by irradiation in rats: impact on oxidative stress and apoptosis.
Sodium selenite improves folliculogenesis in radiation-induced ovarian failure: a mechanistic approach.
Identification of prognostic biomarkers for glioblastomas using protein expression profiling.
Bcl-xL regulates mitochondrial energetics by stabilizing the inner membrane potential.
Heat shock protein 90 maintains the tumour-like character of rheumatoid synovial cells by stabilizing integrin-linked kinase, extracellular signal-regulated kinase and protein kinase B.
Anti-apoptotic activity and proteasome-mediated degradation of Xenopus Mcl-1 protein in egg extracts.
Imatinib mesylate induction of ROS-dependent apoptosis in melanoma B16F0 cells.
Overproduction of cyclo-oxygenase-2 (COX-2) is involved in the resistance to apoptosis in vascular smooth muscle cells from diabetic patients: a link between inflammation and apoptosis.
A Drosophila model for primary coenzyme Q deficiency and dietary rescue in the developing nervous system.
Protective effect of sulforaphane against cisplatin-induced mitochondrial alterations and impairment in the activity of NAD(P)H: quinone oxidoreductase 1 and γ glutamyl cysteine ligase: studies in mitochondria isolated from rat kidney and in LLC-PK1 cells.
Ubiquitin B: an essential mediator of trichostatin A-induced tumor-selective killing in human cancer cells.
Lindane and cell death: at the crossroads between apoptosis, necrosis and autophagy.
Adenovirus-mediated gene transfer of tissue factor pathway inhibitor induces apoptosis in vascular smooth muscle cells.
Identification of differentially expressed genes in 4-day axolotl limb blastema by suppression subtractive hybridization.
Mitochondrial disruption in Drosophila apoptosis.
Mitochondrial c-Jun NH2-terminal kinase prevents the accumulation of reactive oxygen species and reduces necrotic damage in neural tumor cells that lack trophic support.
Butyrate induces necrotic cell death in murine colonic epithelial cell MCE301.
Butyrate induces necrotic cell death in murine colonic epithelial cell MCE301.
Quantitative analysis of mitochondrial protein expression in methylmalonic acidemia by two-dimensional difference gel electrophoresis.
Apop-1, a novel protein inducing cyclophilin D-dependent but Bax/Bak-related channel-independent apoptosis.
Mitochondrial impairment induced by poly(ADP-ribose) polymerase-1 activation in cortical neurons after oxygen and glucose deprivation.
Cellular prion protein inhibits proapoptotic Bax conformational change in human neurons and in breast carcinoma MCF-7 cells.
Involvement of mitochondrial permeability transition in acetaminophen-induced liver injury in mice.
Caspase-9 plays a marginal role in serum starvation-induced apoptosis.
Full-length expanded ataxin-3 enhances mitochondrial-mediated cell death and decreases Bcl-2 expression in human neuroblastoma cells.
Mycobacterium tuberculosis virulence correlates with mitochondrial cytochrome c release in infected macrophages.
Mycobacterium tuberculosis virulence correlates with mitochondrial cytochrome c release in infected macrophages.
The human dynamin-related protein OPA1 is anchored to the mitochondrial inner membrane facing the inter-membrane space.
The human dynamin-related protein OPA1 is anchored to the mitochondrial inner membrane facing the inter-membrane space.
Long dwell-time exposure of human chorionic villi to transvaginal ultrasound in the first trimester of pregnancy induces activation of caspase-3 and cytochrome C release.
Cycloheximide-induced T-cell death is mediated by a Fas-associated death domain-dependent mechanism.
Cycloheximide-induced T-cell death is mediated by a Fas-associated death domain-dependent mechanism.
Nežić L, Amidžić L, Škrbić R, Gajanin R, Mandić D, Dumanović J, Milovanović Z, Jaćević V
International journal of molecular sciences 2022 Feb 26;23(5)
International journal of molecular sciences 2022 Feb 26;23(5)
Antibody-drug nanoparticle induces synergistic treatment efficacies in HER2 positive breast cancer cells.
Abedin MR, Powers K, Aiardo R, Barua D, Barua S
Scientific reports 2021 Apr 1;11(1):7347
Scientific reports 2021 Apr 1;11(1):7347
Protective Effects of Simvastatin on Endotoxin-Induced Acute Kidney Injury through Activation of Tubular Epithelial Cells' Survival and Hindering Cytochrome C-Mediated Apoptosis.
Nežić L, Škrbić R, Amidžić L, Gajanin R, Milovanović Z, Nepovimova E, Kuča K, Jaćević V
International journal of molecular sciences 2020 Sep 30;21(19)
International journal of molecular sciences 2020 Sep 30;21(19)
MicroRNA-26a/b have protective roles in oral lichen planus.
Du J, Gao R, Wang Y, Nguyen T, Yang F, Shi Y, Liu T, Liao W, Li R, Zhang F, Ge X, Zhao B
Cell death & disease 2020 Jan 6;11(1):15
Cell death & disease 2020 Jan 6;11(1):15
MITO-Tag Mice enable rapid isolation and multimodal profiling of mitochondria from specific cell types in vivo.
Bayraktar EC, Baudrier L, Özerdem C, Lewis CA, Chan SH, Kunchok T, Abu-Remaileh M, Cangelosi AL, Sabatini DM, Birsoy K, Chen WW
Proceedings of the National Academy of Sciences of the United States of America 2019 Jan 2;116(1):303-312
Proceedings of the National Academy of Sciences of the United States of America 2019 Jan 2;116(1):303-312
Esculetin induces antiproliferative and apoptotic response in pancreatic cancer cells by directly binding to KEAP1.
Arora R, Sawney S, Saini V, Steffi C, Tiwari M, Saluja D
Molecular cancer 2016 Oct 18;15(1):64
Molecular cancer 2016 Oct 18;15(1):64
Selective A3 adenosine receptor agonist protects against doxorubicin-induced cardiotoxicity.
Galal A, El-Bakly WM, Al Haleem EN, El-Demerdash E
Cancer chemotherapy and pharmacology 2016 Feb;77(2):309-22
Cancer chemotherapy and pharmacology 2016 Feb;77(2):309-22
Growth Hormone Ameliorates the Radiotherapy-Induced Ovarian Follicular Loss in Rats: Impact on Oxidative Stress, Apoptosis and IGF-1/IGF-1R Axis.
Mahran YF, El-Demerdash E, Nada AS, El-Naga RN, Ali AA, Abdel-Naim AB
PloS one 2015;10(10):e0140055
PloS one 2015;10(10):e0140055
Effects of Nitric Oxide Synthase Inhibition on Fiber-Type Composition, Mitochondrial Biogenesis, and SIRT1 Expression in Rat Skeletal Muscle.
Suwa M, Nakano H, Radak Z, Kumagai S
Journal of sports science & medicine 2015 Sep;14(3):548-55
Journal of sports science & medicine 2015 Sep;14(3):548-55
Sodium selenite treatment restores long-lasting ovarian damage induced by irradiation in rats: impact on oxidative stress and apoptosis.
Said RS, Badr AM, Nada AS, El-Demerdash E
Reproductive toxicology (Elmsford, N.Y.) 2014 Jan;43:85-93
Reproductive toxicology (Elmsford, N.Y.) 2014 Jan;43:85-93
Sodium selenite improves folliculogenesis in radiation-induced ovarian failure: a mechanistic approach.
Said RS, Nada AS, El-Demerdash E
PloS one 2012;7(12):e50928
PloS one 2012;7(12):e50928
Identification of prognostic biomarkers for glioblastomas using protein expression profiling.
Jung Y, Joo KM, Seong DH, Choi YL, Kong DS, Kim Y, Kim MH, Jin J, Suh YL, Seol HJ, Shin CS, Lee JI, Kim JH, Song SY, Nam DH
International journal of oncology 2012 Apr;40(4):1122-32
International journal of oncology 2012 Apr;40(4):1122-32
Bcl-xL regulates mitochondrial energetics by stabilizing the inner membrane potential.
Chen YB, Aon MA, Hsu YT, Soane L, Teng X, McCaffery JM, Cheng WC, Qi B, Li H, Alavian KN, Dayhoff-Brannigan M, Zou S, Pineda FJ, O'Rourke B, Ko YH, Pedersen PL, Kaczmarek LK, Jonas EA, Hardwick JM
The Journal of cell biology 2011 Oct 17;195(2):263-76
The Journal of cell biology 2011 Oct 17;195(2):263-76
Heat shock protein 90 maintains the tumour-like character of rheumatoid synovial cells by stabilizing integrin-linked kinase, extracellular signal-regulated kinase and protein kinase B.
Hashiramoto A, Murata M, Kawazoe T, Yoshida K, Akiyama C, Shiozawa K, Shiozawa S
Rheumatology (Oxford, England) 2011 May;50(5):852-61
Rheumatology (Oxford, England) 2011 May;50(5):852-61
Anti-apoptotic activity and proteasome-mediated degradation of Xenopus Mcl-1 protein in egg extracts.
Tsuchiya Y, Yamashita S
The Journal of biological chemistry 2011 May 6;286(18):15806-14
The Journal of biological chemistry 2011 May 6;286(18):15806-14
Imatinib mesylate induction of ROS-dependent apoptosis in melanoma B16F0 cells.
Chang SP, Shen SC, Lee WR, Yang LL, Chen YC
Journal of dermatological science 2011 Jun;62(3):183-91
Journal of dermatological science 2011 Jun;62(3):183-91
Overproduction of cyclo-oxygenase-2 (COX-2) is involved in the resistance to apoptosis in vascular smooth muscle cells from diabetic patients: a link between inflammation and apoptosis.
Redondo S, Ruiz E, Gordillo-Moscoso A, Navarro-Dorado J, Ramajo M, Rodríguez E, Reguillo F, Carnero M, Casado M, Tejerina T
Diabetologia 2011 Jan;54(1):190-9
Diabetologia 2011 Jan;54(1):190-9
A Drosophila model for primary coenzyme Q deficiency and dietary rescue in the developing nervous system.
Grant J, Saldanha JW, Gould AP
Disease models & mechanisms 2010 Nov-Dec;3(11-12):799-806
Disease models & mechanisms 2010 Nov-Dec;3(11-12):799-806
Protective effect of sulforaphane against cisplatin-induced mitochondrial alterations and impairment in the activity of NAD(P)H: quinone oxidoreductase 1 and γ glutamyl cysteine ligase: studies in mitochondria isolated from rat kidney and in LLC-PK1 cells.
Guerrero-Beltrán CE, Calderón-Oliver M, Martínez-Abundis E, Tapia E, Zarco-Márquez G, Zazueta C, Pedraza-Chaverri J
Toxicology letters 2010 Nov 10;199(1):80-92
Toxicology letters 2010 Nov 10;199(1):80-92
Ubiquitin B: an essential mediator of trichostatin A-induced tumor-selective killing in human cancer cells.
Wu P, Tian Y, Chen G, Wang B, Gui L, Xi L, Ma X, Fang Y, Zhu T, Wang D, Meng L, Xu G, Wang S, Ma D, Zhou J
Cell death and differentiation 2010 Jan;17(1):109-18
Cell death and differentiation 2010 Jan;17(1):109-18
Lindane and cell death: at the crossroads between apoptosis, necrosis and autophagy.
Zucchini-Pascal N, de Sousa G, Rahmani R
Toxicology 2009 Feb 4;256(1-2):32-41
Toxicology 2009 Feb 4;256(1-2):32-41
Adenovirus-mediated gene transfer of tissue factor pathway inhibitor induces apoptosis in vascular smooth muscle cells.
Fu Y, Zhang Z, Zhang G, Liu Y, Cao Y, Yu J, Hu J, Yin X
Apoptosis : an international journal on programmed cell death 2008 May;13(5):634-40
Apoptosis : an international journal on programmed cell death 2008 May;13(5):634-40
Identification of differentially expressed genes in 4-day axolotl limb blastema by suppression subtractive hybridization.
Gorsic M, Majdic G, Komel R
Journal of physiology and biochemistry 2008 Mar;64(1):37-50
Journal of physiology and biochemistry 2008 Mar;64(1):37-50
Mitochondrial disruption in Drosophila apoptosis.
Abdelwahid E, Yokokura T, Krieser RJ, Balasundaram S, Fowle WH, White K
Developmental cell 2007 May;12(5):793-806
Developmental cell 2007 May;12(5):793-806
Mitochondrial c-Jun NH2-terminal kinase prevents the accumulation of reactive oxygen species and reduces necrotic damage in neural tumor cells that lack trophic support.
López-Sánchez N, Rodríguez JR, Frade JM
Molecular cancer research : MCR 2007 Jan;5(1):47-60
Molecular cancer research : MCR 2007 Jan;5(1):47-60
Butyrate induces necrotic cell death in murine colonic epithelial cell MCE301.
Matsumoto T, Hayasaki T, Nishimura Y, Nakamura M, Takeda T, Tabuchi Y, Obinata M, Hanawa T, Yamada H
Biological & pharmaceutical bulletin 2006 Oct;29(10):2041-5
Biological & pharmaceutical bulletin 2006 Oct;29(10):2041-5
Butyrate induces necrotic cell death in murine colonic epithelial cell MCE301.
Matsumoto T, Hayasaki T, Nishimura Y, Nakamura M, Takeda T, Tabuchi Y, Obinata M, Hanawa T, Yamada H
Biological & pharmaceutical bulletin 2006 Oct;29(10):2041-5
Biological & pharmaceutical bulletin 2006 Oct;29(10):2041-5
Quantitative analysis of mitochondrial protein expression in methylmalonic acidemia by two-dimensional difference gel electrophoresis.
Richard E, Monteoliva L, Juarez S, Pérez B, Desviat LR, Ugarte M, Albar JP
Journal of proteome research 2006 Jul;5(7):1602-10
Journal of proteome research 2006 Jul;5(7):1602-10
Apop-1, a novel protein inducing cyclophilin D-dependent but Bax/Bak-related channel-independent apoptosis.
Yasuda O, Fukuo K, Sun X, Nishitani M, Yotsui T, Higuchi M, Suzuki T, Rakugi H, Smithies O, Maeda N, Ogihara T
The Journal of biological chemistry 2006 Aug 18;281(33):23899-907
The Journal of biological chemistry 2006 Aug 18;281(33):23899-907
Mitochondrial impairment induced by poly(ADP-ribose) polymerase-1 activation in cortical neurons after oxygen and glucose deprivation.
Tanaka S, Takehashi M, Iida S, Kitajima T, Kamanaka Y, Stedeford T, Banasik M, Ueda K
Journal of neurochemistry 2005 Oct;95(1):179-90
Journal of neurochemistry 2005 Oct;95(1):179-90
Cellular prion protein inhibits proapoptotic Bax conformational change in human neurons and in breast carcinoma MCF-7 cells.
Roucou X, Giannopoulos PN, Zhang Y, Jodoin J, Goodyer CG, LeBlanc A
Cell death and differentiation 2005 Jul;12(7):783-95
Cell death and differentiation 2005 Jul;12(7):783-95
Involvement of mitochondrial permeability transition in acetaminophen-induced liver injury in mice.
Masubuchi Y, Suda C, Horie T
Journal of hepatology 2005 Jan;42(1):110-6
Journal of hepatology 2005 Jan;42(1):110-6
Caspase-9 plays a marginal role in serum starvation-induced apoptosis.
Schamberger CJ, Gerner C, Cerni C
Experimental cell research 2005 Jan 1;302(1):115-28
Experimental cell research 2005 Jan 1;302(1):115-28
Full-length expanded ataxin-3 enhances mitochondrial-mediated cell death and decreases Bcl-2 expression in human neuroblastoma cells.
Tsai HF, Tsai HJ, Hsieh M
Biochemical and biophysical research communications 2004 Nov 26;324(4):1274-82
Biochemical and biophysical research communications 2004 Nov 26;324(4):1274-82
Mycobacterium tuberculosis virulence correlates with mitochondrial cytochrome c release in infected macrophages.
Abarca-Rojano E, Rosas-Medina P, Zamudio-Cortéz P, Mondragón-Flores R, Sánchez-García FJ
Scandinavian journal of immunology 2003 Oct;58(4):419-27
Scandinavian journal of immunology 2003 Oct;58(4):419-27
Mycobacterium tuberculosis virulence correlates with mitochondrial cytochrome c release in infected macrophages.
Abarca-Rojano E, Rosas-Medina P, Zamudio-Cortéz P, Mondragón-Flores R, Sánchez-García FJ
Scandinavian journal of immunology 2003 Oct;58(4):419-27
Scandinavian journal of immunology 2003 Oct;58(4):419-27
The human dynamin-related protein OPA1 is anchored to the mitochondrial inner membrane facing the inter-membrane space.
Olichon A, Emorine LJ, Descoins E, Pelloquin L, Brichese L, Gas N, Guillou E, Delettre C, Valette A, Hamel CP, Ducommun B, Lenaers G, Belenguer P
FEBS letters 2002 Jul 17;523(1-3):171-6
FEBS letters 2002 Jul 17;523(1-3):171-6
The human dynamin-related protein OPA1 is anchored to the mitochondrial inner membrane facing the inter-membrane space.
Olichon A, Emorine LJ, Descoins E, Pelloquin L, Brichese L, Gas N, Guillou E, Delettre C, Valette A, Hamel CP, Ducommun B, Lenaers G, Belenguer P
FEBS letters 2002 Jul 17;523(1-3):171-6
FEBS letters 2002 Jul 17;523(1-3):171-6
Long dwell-time exposure of human chorionic villi to transvaginal ultrasound in the first trimester of pregnancy induces activation of caspase-3 and cytochrome C release.
Zhang J, Zhou F, Song Y, Ying W, Zhang Y
Biology of reproduction 2002 Aug;67(2):580-3
Biology of reproduction 2002 Aug;67(2):580-3
Cycloheximide-induced T-cell death is mediated by a Fas-associated death domain-dependent mechanism.
Tang D, Lahti JM, Grenet J, Kidd VJ
The Journal of biological chemistry 1999 Mar 12;274(11):7245-52
The Journal of biological chemistry 1999 Mar 12;274(11):7245-52
Cycloheximide-induced T-cell death is mediated by a Fas-associated death domain-dependent mechanism.
Tang D, Lahti JM, Grenet J, Kidd VJ
The Journal of biological chemistry 1999 Mar 12;274(11):7245-52
The Journal of biological chemistry 1999 Mar 12;274(11):7245-52
No comments: Submit comment
Supportive validation
- Submitted by
- Invitrogen Antibodies (provider)
- Main image

- Experimental details
- Immunofluorescence analysis of Cytochrome-C was done on 70% confluent log phase HepG2 cells. The cells were fixed with 4% paraformaldehyde for 10 minutes, permeabilized with 0.1% Triton™ X-100 for 10 minutes, and blocked with 1% BSA for 1 hour at room temperature. The cells were labeled with Cytochrome-C (7H8.2C12) Mouse Monoclonal Antibody (Product # MA5-11674) at 2 µg/mL in 0.1% BSA and incubated for 3 hours at room temperature and then labeled with Goat anti-Mouse IgG (H+L) Superclonal™ Secondary Antibody, Alexa Fluor® 488 conjugate (Product # A28175) at a dilution of 1:2000 for 45 minutes at room temperature (Panel a: green). Nuclei (Panel b: blue) were stained with SlowFade® Gold Antifade Mountant with DAPI (Product # S36938). F-actin (Panel c: red) was stained with Alexa Fluor® 555 Rhodamine Phalloidin (Product # R415, 1:300). Panel d is a merged image showing cytoplasmic localization. Panel e is a no primary antibody control. The images were captured at 60X magnification.
- Submitted by
- Invitrogen Antibodies (provider)
- Main image

- Experimental details
- Immunofluorescence analysis of Cytochrome-C was done on 70% confluent log phase HepG2 cells. The cells were fixed with 4% paraformaldehyde for 10 minutes, permeabilized with 0.1% Triton™ X-100 for 10 minutes, and blocked with 1% BSA for 1 hour at room temperature. The cells were labeled with Cytochrome-C (7H8.2C12) Mouse Monoclonal Antibody (Product # MA5-11674) at 2 µg/mL in 0.1% BSA and incubated for 3 hours at room temperature and then labeled with Goat anti-Mouse IgG (H+L) Superclonal™ Secondary Antibody, Alexa Fluor® 488 conjugate (Product # A28175) at a dilution of 1:2000 for 45 minutes at room temperature (Panel a: green). Nuclei (Panel b: blue) were stained with SlowFade® Gold Antifade Mountant with DAPI (Product # S36938). F-actin (Panel c: red) was stained with Alexa Fluor® 555 Rhodamine Phalloidin (Product # R415, 1:300). Panel d is a merged image showing cytoplasmic localization. Panel e is a no primary antibody control. The images were captured at 60X magnification.
Supportive validation
- Submitted by
- Invitrogen Antibodies (provider)
- Main image

- Experimental details
- Formalin-fixed, paraffin-embedded human heart stained with cytochrome c antibody using peroxidase-conjugate and AEC chromogen. Note cytoplasmic staining of cardiac muscle.
- Submitted by
- Invitrogen Antibodies (provider)
- Main image

- Experimental details
- Immunohistochemistry analysis of Cytochrome c showing staining in the cytoplasm of paraffin-embedded human breast carcinoma (right) compared to a negative control without primary antibody (left). To expose target proteins, antigen retrieval was performed using 10mM sodium citrate (pH 6.0), microwaved for 8-15 min. Following antigen retrieval, tissues were blocked in 3% H2O2-methanol for 15 min at room temperature, washed with ddH2O and PBS, and then probed with a using Cytochrome c Mouse Monoclonal Antibody (Product # MA5-11674) diluted in 3% BSA-PBS at a dilution of 1:100 for 1 hour at 37°C in a humidified chamber. Tissues were washed extensively in PBST and detection was performed using an HRP-conjugated secondary antibody followed by colorimetric detection using a DAB kit. Tissues were counterstained with hematoxylin and dehydrated with ethanol and xylene to prep for mounting.
- Submitted by
- Invitrogen Antibodies (provider)
- Main image

- Experimental details
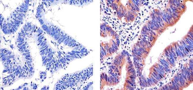
- Immunohistochemistry analysis of Cytochrome c showing staining in the cytoplasm of paraffin-embedded human colon carcinoma (right) compared to a negative control without primary antibody (left). To expose target proteins, antigen retrieval was performed using 10mM sodium citrate (pH 6.0), microwaved for 8-15 min. Following antigen retrieval, tissues were blocked in 3% H2O2-methanol for 15 min at room temperature, washed with ddH2O and PBS, and then probed with a Cytochrome c Mouse Monoclonal Antibody (Product # MA5-11674) diluted in 3% BSA-PBS at a dilution of 1:100 for 1 hour at 37°C in a humidified chamber. Tissues were washed extensively in PBST and detection was performed using an HRP-conjugated secondary antibody followed by colorimetric detection using a DAB kit. Tissues were counterstained with hematoxylin and dehydrated with ethanol and xylene to prep for mounting.
- Submitted by
- Invitrogen Antibodies (provider)
- Main image

- Experimental details
- Immunohistochemistry analysis of Cytochrome c showing staining in the cytoplasm of paraffin-embedded mouse skeletal muscle tissue (right) compared to a negative control without primary antibody (left). To expose target proteins, antigen retrieval was performed using 10mM sodium citrate (pH 6.0), microwaved for 8-15 min. Following antigen retrieval, tissues were blocked in 3% H2O2-methanol for 15 min at room temperature, washed with ddH2O and PBS, and then probed with a Cytochrome c Mouse Monoclonal Antibody (Product # MA5-11674) diluted in 3% BSA-PBS at a dilution of 1:100 for 1 hour at 37°C in a humidified chamber. Tissues were washed extensively in PBST and detection was performed using an HRP-conjugated secondary antibody followed by colorimetric detection using a DAB kit. Tissues were counterstained with hematoxylin and dehydrated with ethanol and xylene to prep for mounting.
Supportive validation
- Submitted by
- Invitrogen Antibodies (provider)
- Main image

- Experimental details
- Fig. 3 Esculetin induces loss of Mitochondrial membrane potential: a Flow cytometric analysis of PANC-1 cells stained with JC-1 dye after 100 muM esculetin treatment for indicated time showed a temporal decrease in ratio of red fluorescence (JC-1 aggregates) to green florescence (JC-1 monomers). b Percentage of cells exhibiting monomers and aggregates of JC-1 after treatment of cells with esculetin for different time intervals. c Western blot analysis showing temporal increase in cytosolic cytochrome C in PANC-1 cells. (VC stands for vehicle control, E stands for esculetin treatment sample for indicated time, CCCP stands for positive control i.e., carbonyl cyanide 3-chlorophenylhydrazone treated cells, numerals represent time of esculetin treatment). Data represents the mean +- SD of three independent experiments. The significance was determined using ANOVA (Bonferroni's test). Key:* p < 0.05; ** p < 0.01; *** p < 0.001; **** p < 0.0001)
- Submitted by
- Invitrogen Antibodies (provider)
- Main image

- Experimental details
- Figure 4 Simvastatin attenuated cytochrome C expression in renal tubular epithelial cells after LPS-administration. The expression of cytochrome C in rat renal tissue examined by immunohistochemical staining, magnification 400x, ( A ) negative immunostaining in the control group, ( B ) intense brown cytoplasmic staining in the tubular epithelium in the LPS group indicates increased expression of the pro-apoptotic protein cytochrome C. A significant decrease of cytochrome C-positive cells in the groups pretreated with simvastatin 20 mg/kg ( C ) and 40 mg/kg group ( D ), respectively. A quantitative analysis of cytochrome C-positive renal tubular epithelial cells assessed in the immunohistochemically stained sections in the renal tissue (* p < 0.05 vs. LPS group, ** p < 0.01 vs. simvastatin 20 group, # p < 0.01 vs. LPS group) ( E ).
- Submitted by
- Invitrogen Antibodies (provider)
- Main image

- Experimental details
- Figure 7 Western blot analysis: The cell signaling protein expressions of ( a ) BT-474 and ( b ) MDA-MB-231 cells using PBS, PTX alone, TTZ alone, and PTXNR-TTX treatments. The relative intensity of XIAP, actin, cleaved caspase-9, caspase 3, cleaved caspase 3, and cytochrome C is analyzed after 48 h of treatment in ( c ) BT-474 and ( d ) MDA-MB-231 cells using ImageJ/ Fiji. For each protein expression the experiment was replicated at least n = 2-4 times and the average data is presented as mean +- standard deviation. The relative protein expressions are normalized to the untreated control cells and to the housekeeping GAPDH protein expression (hypothesized expression mean, u = 1). The p values for overexpression or downregulation of cytochrome-C, cleaved caspase-3, and XIAP in BT-474 are 0.039, 0.003, and 0.000049, respectively. The p value for the overexpression of cytochrome-C in MDA-MB-231 is 0.047. ***Represents p < 0.05 (for detailed p value calculations, please see SI Table 6 ).
- Submitted by
- Invitrogen Antibodies (provider)
- Main image

- Experimental details
- Simvastatin attenuated cytochrome C expression in alveolar epithelial cells in LPS-induced inflammation. Representative images of pulmonary parenchyma that were challenged with LPS or pretreated with 20 mg/kg of simvastatin or 40 mg/kg of simvastatin, respectively, prior to LPS, assessed by immunohistochemistry (400x). ( a ) Control group. ( b ) Intense cytoplasmic staining of cytochrome C (arrows) in alveolar epithelium, macrophages, and endothelial cells in the LPS group. Marked reduction of cytochrome C-positive cells in the groups pretreated with 20 mg/kg of simvastatin ( c ) and 40 mg/kg of simvastatin prior to LPS ( d ). Semiquantitative analysis of cytochrome C-positive cells in pulmonary parenchyma assessed in the immunohistochemically stained sections in the lung tissue (* p < 0.05 vs. LPS group, ** p < 0.01 vs. LPS group, # p < 0.05 vs. 20 mg/kg of simvastatin) ( e ).
- Submitted by
- Invitrogen Antibodies (provider)
- Main image

- Experimental details
- Fig. 3 miR-26a/b target PKCdelta to inhibit apoptosis in oral keratinocytes. a - d Western blot showing changes of cleaved caspase 9, cleaved PARP, and cleaved caspase 3 levels in HOKs added with miR-26a/b mimics ( a ) or inhibitors ( b ). c - d Western blot analysis of cleaved caspase 9, cleaved PARP, and cleaved caspase 3 expression in mouse oral keratinocytes. C57BL/6 mice were subject to miR-26a/b mimics ( c ) or inhibitors ( d ) by tail vein injection. e Putative miR-26a/b binding site in the 3'UTR of PKCdelta mRNA. f Schematic illustration of binding site location in the 3'UTR of hPKCdelta cDNA. g Luciferase reporter assay showing miR-26a/b target binding site in the 3'UTR of hPKCdelta in HOKs which were transfected with Luc-PKCdelta-3'UTR or pRL-TK (control) plasmids. Luciferase activity was quantified after 24 h. h HOKs were co-transfected with Luc-PKCdelta-3'UTR or Luc-PKCdelta-3'UTR-Mut and miR-26a/b inhibitors as indicated. i-j PKCdelta expression and phosphorylation in HOKs with miR-26a/b mimics or inhibitors were measured by real-time PCR ( i ) or western blot ( j ). Western blot showing Bax translocation, cyt c release, and downstream apoptotic factors expression in HOKs during miR-26a/b mimics ( k ) or inhibitors ( l ) treatment with or without PKCdelta plasmids or siRNA transfection as indicated. * P < 0.05, ** P < 0.01, *** P < 0.001 vs. corresponding control; n = 3 for assays in vitro and n = 5 for assays in vivo. Ctrl control, Mito mitochondria, Cyto cytopl