Antibody data
- Antibody Data
- Antigen structure
- References [3]
- Comments [0]
- Validations
- Immunohistochemistry [1]
Submit
Validation data
Reference
Comment
Report error
- Product number
- sc-72 - Provider product page

- Provider
- Santa Cruz Biotechnology
- Proper citation
- Santa Cruz Biotechnology Cat#sc-72, RRID:AB_631619
- Product name
- Anti-HCK
- Antibody type
- Polyclonal (Antigen purified)
- Antigen
- Synthetic peptide
- Reactivity
- Human
- Host
- Rabbit
Submitted references Recruitment of the cross-linked opsonic receptor CD32A (FcgammaRIIA) to high-density detergent-resistant membrane domains in human neutrophils.
Specific modulation of sodium channels in mammalian nerve by monoclonal antibodies.
Gynaecomastia complicating the treatment of myeloma
Rollet-Labelle E, Marois S, Barbeau K, Malawista SE, Naccache PH
The Biochemical journal 2004 Aug 1;381(Pt 3):919-28
The Biochemical journal 2004 Aug 1;381(Pt 3):919-28
Specific modulation of sodium channels in mammalian nerve by monoclonal antibodies.
Meiri H, Goren E, Bergmann H, Zeitoun I, Rosenthal Y, Palti Y
Proceedings of the National Academy of Sciences of the United States of America 1986 Nov;83(21):8385-9
Proceedings of the National Academy of Sciences of the United States of America 1986 Nov;83(21):8385-9
Gynaecomastia complicating the treatment of myeloma
D M Large, J M Jones, S M Shalet, J H Scarffe, A C Gibbs
British Journal of Cancer 1983 Jul;48(1):69-74
British Journal of Cancer 1983 Jul;48(1):69-74
No comments: Submit comment
Supportive validation
- Submitted by
- per
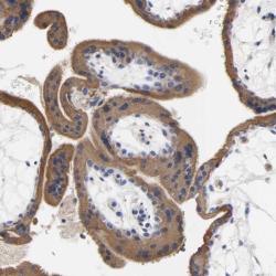
- Main image

- Experimental details
- Immunohistochemical staining of human placenta shows cytoplasmic positivity in syncytiotrophoblastic cells.
- Validation comment
- Staining pattern partly consistent with experimental and/or bioinformatic data.