Antibody data
- Antibody Data
- Antigen structure
- References [2]
- Comments [0]
- Validations
- Western blot [1]
- Immunohistochemistry [1]
Submit
Validation data
Reference
Comment
Report error
- Product number
- AF2265 - Provider product page

- Provider
- Novus Biologicals
- Product name
- Goat Polyclonal FGFR4 Antibody
- Antibody type
- Polyclonal
- Description
- Antigen Affinity-purified. Detects mouse FGF R4 in direct ELISAs and Western blots. In direct ELISAs, approximately 15% cross-reactivity with recombinant human (rh) FGF R4 is observed and less than 1% cross-reactivity with recombinant mouse (rm) FGF R3 alpha (IIIb) is observed.
- Reactivity
- Mouse
- Host
- Goat
- Conjugate
- Unconjugated
- Isotype
- IgG
- Vial size
- 100 ug
- Concentration
- LYOPH
- Storage
- Use a manual defrost freezer and avoid repeated freeze-thaw cycles. 12 months from date of receipt, -20 to -70 degreesC as supplied. 1 month, 2 to 8 degreesC under sterile conditions after reconstitution. 6 months, -20 to -70 degreesC under sterile conditions after reconstitution.
Submitted references Spinal cord injury induces astroglial conversion towards neuronal lineage.
FGF15/FGFR4 integrates growth factor signaling with hepatic bile acid metabolism and insulin action.
Noristani HN, Sabourin JC, Boukhaddaoui H, Chan-Seng E, Gerber YN, Perrin FE
Molecular neurodegeneration 2016 Oct 6;11(1):68
Molecular neurodegeneration 2016 Oct 6;11(1):68
FGF15/FGFR4 integrates growth factor signaling with hepatic bile acid metabolism and insulin action.
Shin DJ, Osborne TF
The Journal of biological chemistry 2009 Apr 24;284(17):11110-20
The Journal of biological chemistry 2009 Apr 24;284(17):11110-20
No comments: Submit comment
Supportive validation
- Submitted by
- Novus Biologicals (provider)
- Main image

- Experimental details
- Detection of Mouse FGF R4 by Western Blot. Western blot shows lysates of mouse heart tissue. PVDF membrane was probed with 0.25 µg/mL of Goat Anti-Mouse FGF R4 Antigen Affinity-purified Polyclonal Antibody (Catalog # AF2265) followed by HRP-conjugated Anti-Goat IgG Secondary Antibody (Catalog # HAF019). A specific band was detected for FGF R4 at approximately 89 kDa (as indicated). This experiment was conducted under reducing conditions and using Immunoblot Buffer Group 1.
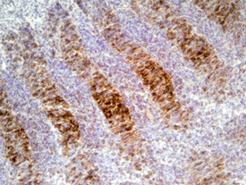
Supportive validation
- Submitted by
- Novus Biologicals (provider)
- Main image

- Experimental details
- FGF R4 in Mouse Embryo. FGF R4 was detected in immersion fixed frozen sections of mouse embryo (11.5 d.p.c.) using Goat Anti-Mouse FGF R4 Antigen Affinity-purified Polyclonal Antibody (Catalog # AF2265) at 5 µg/mL overnight at 4 °C. Tissue was stained using the Anti-Goat HRP-DAB Cell & Tissue Staining Kit (brown; Catalog # CTS008) and counterstained with hematoxylin (blue). Specific staining was localized to cartilage. View our protocol for Chromogenic IHC Staining of Frozen Tissue Sections.