Antibody data
- Antibody Data
- Antigen structure
- References [0]
- Comments [0]
- Validations
- Western blot [1]
- Immunohistochemistry [7]
Submit
Validation data
Reference
Comment
Report error
- Product number
- ABIN6215018 - Provider product page
- Provider
- antibodies-online
- Product name
- anti-Heat Shock Protein 90kDa alpha (Cytosolic), Class B Member 1 (HSP90AB1) antibody
- Antibody type
- Polyclonal
- Description
- Affinity purification
- Reactivity
- Human, Mouse, Rat
- Host
- Rabbit
- Isotype
- IgG
- Vial size
- 20 μL
- Storage
- -20°C/-80°C
- Handling
- Avoid freeze / thaw cycles
No comments: Submit comment
Supportive validation
- Submitted by
- antibodies-online (provider)
- Main image
- Experimental details
- WB
Supportive validation
- Submitted by
- antibodies-online (provider)
- Main image
- Experimental details
- IHC
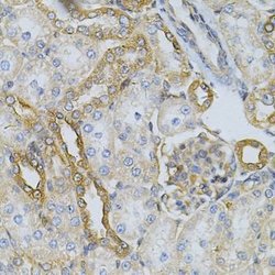
- Submitted by
- antibodies-online (provider)
- Main image
- Experimental details
- IHC
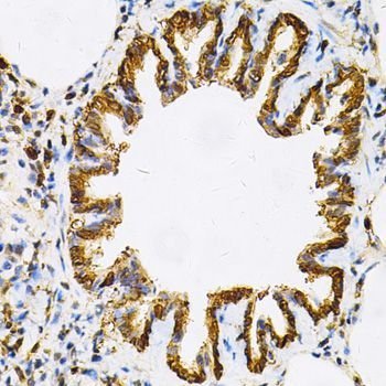
- Submitted by
- antibodies-online (provider)
- Main image
- Experimental details
- IHC
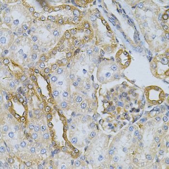
- Submitted by
- antibodies-online (provider)
- Main image
- Experimental details
- IHC
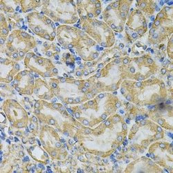
- Submitted by
- antibodies-online (provider)
- Main image
- Experimental details
- IHC
- Submitted by
- antibodies-online (provider)
- Main image
- Experimental details
- IHC
- Submitted by
- antibodies-online (provider)
- Main image
- Experimental details
- IHC