TA306130
antibody from OriGene
Targeting: ANP32A
C15orf1, I1PP2A, LANP, MAPM, mapmodulin, PHAPI, PP32
Antibody data
- Antibody Data
- Antigen structure
- References [0]
- Comments [0]
- Validations
- Western blot [1]
- Immunocytochemistry [1]
- Immunohistochemistry [1]
Submit
Validation data
Reference
Comment
Report error
- Product number
- TA306130 - Provider product page

- Provider
- OriGene
- Product name
- Rabbit Polyclonal PHAP I Antibody
- Antibody type
- Polyclonal
- Description
- Rabbit Polyclonal PHAP I Antibody
- Host
- Rabbit
- Conjugate
- Unconjugated
- Epitope
- ANP32A
- Isotype
- IgG
- Antibody clone number
- NULL
- Vial size
- 100 µg
- Concentration
- 1ug/ul
No comments: Submit comment
Supportive validation
- Submitted by
- OriGene (provider)
- Main image

- Experimental details
- Western blot analysis of PHAP I expression in human Raji cell (A), mouse (B) and rat (C) testis tissue llysates with PHAP I antibody at 1 ug/ml.
- Validation comment
- WB
Supportive validation
- Submitted by
- OriGene (provider)
- Main image

- Experimental details
- Immunofluorescence of PHAP I in Mouse Small Intestine cells with PHAP I antibody at 20 ug/mL.
- Validation comment
- IF
Supportive validation
- Submitted by
- OriGene (provider)
- Main image

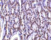
- Experimental details
- Immunohistochemistry of PHAP I in mouse small intestine tissue with PHAP I antibody at 2 ug/ml.
- Validation comment
- IHC