Antibody data
- Antibody Data
- Antigen structure
- References [1]
- Comments [0]
- Validations
- Immunohistochemistry [1]
Submit
Validation data
Reference
Comment
Report error
- Product number
- GTX75043 - Provider product page

- Provider
- GeneTex
- Proper citation
- GeneTex Cat#GTX75043, RRID:AB_376581
- Product name
- Integrin beta 4 antibody [450-9D] (Azide free)
- Antibody type
- Monoclonal
- Reactivity
- Human
- Host
- Mouse
Submitted references ZEB1 coordinately regulates laminin-332 and {beta}4 integrin expression altering the invasive phenotype of prostate cancer cells.
Drake JM, Barnes JM, Madsen JM, Domann FE, Stipp CS, Henry MD
The Journal of biological chemistry 2010 Oct 29;285(44):33940-8
The Journal of biological chemistry 2010 Oct 29;285(44):33940-8
No comments: Submit comment
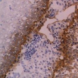
Supportive validation
- Submitted by
- GeneTex (provider)
- Main image

- Experimental details
- Staining of human tonsil cryostat section with Mouse anti human CD104 (GTX75041)