Antibody data
- Antibody Data
 - Antigen structure
 - References [0]
 - Comments [0]
 - Validations
 - Western blot [1]
 - Immunocytochemistry [1]
 - Immunohistochemistry [3]
 - Flow cytometry [2]
 
Submit
Validation data
Reference
Comment
Report error
- Product number
 - RQ5507 - Provider product page

 - Provider
 - NSJ Bioreagents
 - Product name
 - IRS1 Antibody / Insulin receptor substrate 1
 - Antibody type
 - Monoclonal
 - Description
 - This highly specific IRS1 antibody is suitable for use in Western blot/Immunohistochemistry/Flow cytometry/Immunofluorescence/Immunocytochemistry applications with human samples.
 - Reactivity
 - Human
 - Host
 - Mouse
 - Conjugate
 - Unconjugated
 - Antibody clone number
 - 10I3
 - Vial size
 - 100 ug
 - Concentration
 - 0.5mg/ml if reconstituted with 0.2ml sterile DI water
 - Storage
 - After reconstitution, the IRS1 antibody can be stored for up to one month at 4oC. For long-term, aliquot and store at -20oC. Avoid repeated freezing and thawing.
 
				No comments: Submit comment	
	
			
							
					Supportive validation
					
									
				
				- Submitted by
 - NSJ Bioreagents (provider)
 - Main image
 
- Experimental details
 - Western blot testing of human 1) A549, 2) T-47D, 3) Caco-2, 4) SW620, 5) HeLa and 6) Raji lysate with IRS1 antibody. Expected molecular weight: 132~185 kDa depending on phosphorylation level.
 
							
					Supportive validation
					
									
				
				- Submitted by
 - NSJ Bioreagents (provider)
 - Main image
 
- Experimental details
 - IF/ICC staining of FFPE human MCF7 cells with IRS1 antibody (green) at 2ug/ml and DAPI nuclear stain (blue). HIER: steam section in pH6 citrate buffer for 20 min.
 
							
					Supportive validation
					
									
				
				- Submitted by
 - NSJ Bioreagents (provider)
 - Main image
 
- Experimental details
 - IHC staining of FFPE human placenta with IRS1 antibody. HIER: boil tissue sections in pH6, 10mM citrate buffer, for 20 min and allow to cool before testing.
 
- Submitted by
 - NSJ Bioreagents (provider)
 - Main image
 
- Experimental details
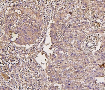
 - IHC staining of FFPE human lung cancer with IRS1 antibody. HIER: boil tissue sections in pH6, 10mM citrate buffer, for 20 min and allow to cool before testing.
 
- Submitted by
 - NSJ Bioreagents (provider)
 - Main image
 
- Experimental details
 - IHC staining of FFPE human colon cancer with IRS1 antibody. HIER: boil tissue sections in pH6, 10mM citrate buffer, for 20 min and allow to cool before testing.
 
							
					Supportive validation
					
									
				
		- Submitted by
 - NSJ Bioreagents (provider)
 - Main image
 
- Experimental details
 - Flow cytometry testing of human PC-3 cells with IRS1 antibody at 1ug/million cells (blocked with goat sera); Red=cells alone, Green=isotype control, Blue= IRS1 antibody.
 
- Submitted by
 - NSJ Bioreagents (provider)
 - Main image
 
- Experimental details
 - Flow cytometry testing of human U-2 OS cells with IRS1 antibody at 1ug/million cells (blocked with goat sera); Red=cells alone, Green=isotype control, Blue= IRS1 antibody.