Antibody data
- Antibody Data
- Antigen structure
- References [0]
- Comments [0]
- Validations
- Western blot [1]
- Immunohistochemistry [3]
Submit
Validation data
Reference
Comment
Report error
- Product number
- LS-C176089 - Provider product page

- Provider
- LSBio
- Product name
- AP-1 / JUND Antibody (Val249) LS-C176089
- Antibody type
- Polyclonal
- Description
- Immunoaffinity purified
- Reactivity
- Human, Mouse, Rat
- Host
- Rabbit
- Storage
- Short term: store at 4°C. Long term: aliquot and store at -20°C. Avoid freeze-thaw cycles.
No comments: Submit comment
Enhanced validation
- Submitted by
- LSBio (provider)
- Enhanced method
- Genetic validation
- Main image

- Experimental details
- Western blot of JunD (V249) pAb in extracts from A549 cells.
Enhanced validation
- Submitted by
- LSBio (provider)
- Enhanced method
- Genetic validation
- Main image

- Experimental details
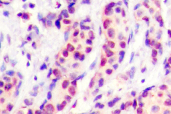
- IHC of JunD (V249) pAb in paraffin-embedded human breast carcinoma tissue.
- Submitted by
- LSBio (provider)
- Enhanced method
- Genetic validation
- Main image

- Experimental details
- IHC of JunD (V249) pAb in paraffin-embedded human breast carcinoma tissue.
- Submitted by
- LSBio (provider)
- Main image

- Experimental details
- IHC of JunD (V249) pAb in paraffin-embedded human breast carcinoma tissue.