Antibody data
- Antibody Data
- Antigen structure
- References [19]
- Comments [0]
- Validations
- Western blot [1]
- Immunohistochemistry [1]
Submit
Validation data
Reference
Comment
Report error
- Product number
- sc-74 - Provider product page

- Provider
- Santa Cruz Biotechnology
- Proper citation
- Santa Cruz Biotechnology Cat#sc-74, RRID:AB_2130177
- Product name
- Anti-JUND
- Antibody type
- Polyclonal (Antigen purified)
- Antigen
- Synthetic peptide
- Reactivity
- Human
- Host
- Rabbit
Submitted references AP-1 Is a Component of the Transcriptional Network Regulated by GSK-3 in Quiescent Cells.
Striatal overexpression of DeltaFosB reproduces chronic levodopa-induced involuntary movements.
An NF-kappaB-dependent role for JunB in the induction of proinflammatory cytokines in LPS-activated bone marrow-derived dendritic cells.
A systems biology approach to transcription factor binding site prediction.
Oral methylthioadenosine administration attenuates fibrosis and chronic liver disease progression in Mdr2-/- mice.
A role for ATF2 in regulating MITF and melanoma development.
Noninjurious mechanical ventilation activates a proinflammatory transcriptional program in the lung.
Inhibition of AP-1 transcriptional activity blocks the migration, invasion, and experimental metastasis of murine osteosarcoma.
ISG15 Arg151 and the ISG15-conjugating enzyme UbE1L are important for innate immune control of Sindbis virus.
Transcription of steroidogenic acute regulatory protein in the rodent ovary and placenta: alternative modes of cyclic adenosine 3', 5'-monophosphate dependent and independent regulation.
Helicobacter pylori and mitogen-activated protein kinases mediate activator protein-1 (AP-1) subcomponent protein expression and DNA-binding activity in gastric epithelial cells.
Clinical light exposure, photoreceptor degeneration, and AP-1 activation: a cell death or cell survival signal in the rhodopsin mutant retina?
Aberrant expression of Fra-2 promotes CCR4 expression and cell proliferation in adult T-cell leukemia
HTLV-1 HBZ cooperates with JunD to enhance transcription of the human telomerase reverse transcriptase gene (hTERT).
Oestrogen signalling inhibits invasive phenotype by repressing RelB and its target BCL2.
Function of AP-1 in transcription of the telomerase reverse transcriptase gene (TERT) in human and mouse cells.
An extracellular signal-regulated kinase 1- and 2-dependent program of chromatin trafficking of c-Fos and Fra-1 is required for cyclin D1 expression during cell cycle reentry.
The IkappaB kinase complex and NF-kappaB act as master regulators of lipopolysaccharide-induced gene expression and control subordinate activation of AP-1.
Legionella pneumophila serogroup Lansing 3 isolated from a patient with fatal pneumonia, and descriptions of L. pneumophila subsp. pneumophila subsp. nov., L. pneumophila subsp. fraseri subsp. nov., and L. pneumophila subsp. pascullei subsp. nov.
Tullai JW, Tacheva S, Owens LJ, Graham JR, Cooper GM
PloS one 2011;6(5):e20150
PloS one 2011;6(5):e20150
Striatal overexpression of DeltaFosB reproduces chronic levodopa-induced involuntary movements.
Cao X, Yasuda T, Uthayathas S, Watts RL, Mouradian MM, Mochizuki H, Papa SM
The Journal of neuroscience : the official journal of the Society for Neuroscience 2010 May 26;30(21):7335-43
The Journal of neuroscience : the official journal of the Society for Neuroscience 2010 May 26;30(21):7335-43
An NF-kappaB-dependent role for JunB in the induction of proinflammatory cytokines in LPS-activated bone marrow-derived dendritic cells.
Gomard T, Michaud HA, Tempé D, Thiolon K, Pelegrin M, Piechaczyk M
PloS one 2010 Mar 8;5(3):e9585
PloS one 2010 Mar 8;5(3):e9585
A systems biology approach to transcription factor binding site prediction.
Zhou X, Sumazin P, Rajbhandari P, Califano A
PloS one 2010 Mar 26;5(3):e9878
PloS one 2010 Mar 26;5(3):e9878
Oral methylthioadenosine administration attenuates fibrosis and chronic liver disease progression in Mdr2-/- mice.
Latasa MU, Gil-Puig C, Fernández-Barrena MG, Rodríguez-Ortigosa CM, Banales JM, Urtasun R, Goñi S, Méndez M, Arcelus S, Juanarena N, Recio JA, Lotersztajn S, Prieto J, Berasain C, Corrales FJ, Lecanda J, Avila MA
PloS one 2010 Dec 29;5(12):e15690
PloS one 2010 Dec 29;5(12):e15690
A role for ATF2 in regulating MITF and melanoma development.
Shah M, Bhoumik A, Goel V, Dewing A, Breitwieser W, Kluger H, Krajewski S, Krajewska M, Dehart J, Lau E, Kallenberg DM, Jeong H, Eroshkin A, Bennett DC, Chin L, Bosenberg M, Jones N, Ronai ZA
PLoS genetics 2010 Dec 23;6(12):e1001258
PLoS genetics 2010 Dec 23;6(12):e1001258
Noninjurious mechanical ventilation activates a proinflammatory transcriptional program in the lung.
Gharib SA, Liles WC, Klaff LS, Altemeier WA
Physiological genomics 2009 May 13;37(3):239-48
Physiological genomics 2009 May 13;37(3):239-48
Inhibition of AP-1 transcriptional activity blocks the migration, invasion, and experimental metastasis of murine osteosarcoma.
Leaner VD, Chick JF, Donninger H, Linniola I, Mendoza A, Khanna C, Birrer MJ
The American journal of pathology 2009 Jan;174(1):265-75
The American journal of pathology 2009 Jan;174(1):265-75
ISG15 Arg151 and the ISG15-conjugating enzyme UbE1L are important for innate immune control of Sindbis virus.
Giannakopoulos NV, Arutyunova E, Lai C, Lenschow DJ, Haas AL, Virgin HW
Journal of virology 2009 Feb;83(4):1602-10
Journal of virology 2009 Feb;83(4):1602-10
Transcription of steroidogenic acute regulatory protein in the rodent ovary and placenta: alternative modes of cyclic adenosine 3', 5'-monophosphate dependent and independent regulation.
Yivgi-Ohana N, Sher N, Melamed-Book N, Eimerl S, Koler M, Manna PR, Stocco DM, Orly J
Endocrinology 2009 Feb;150(2):977-89
Endocrinology 2009 Feb;150(2):977-89
Helicobacter pylori and mitogen-activated protein kinases mediate activator protein-1 (AP-1) subcomponent protein expression and DNA-binding activity in gastric epithelial cells.
Ding SZ, Olekhnovich IN, Cover TL, Peek RM Jr, Smith MF Jr, Goldberg JB
FEMS immunology and medical microbiology 2008 Aug;53(3):385-94
FEMS immunology and medical microbiology 2008 Aug;53(3):385-94
Clinical light exposure, photoreceptor degeneration, and AP-1 activation: a cell death or cell survival signal in the rhodopsin mutant retina?
Gu D, Beltran WA, Li Z, Acland GM, Aguirre GD
Investigative ophthalmology & visual science 2007 Nov;48(11):4907-18
Investigative ophthalmology & visual science 2007 Nov;48(11):4907-18
Aberrant expression of Fra-2 promotes CCR4 expression and cell proliferation in adult T-cell leukemia
T Nakayama, K Hieshima, T Arao, Z Jin, D Nagakubo, A-K Shirakawa, Y Yamada, M Fujii, N Oiso, A Kawada, K Nishio, O Yoshie
Oncogene 2007 Dec;27(23):3221-3232
Oncogene 2007 Dec;27(23):3221-3232
HTLV-1 HBZ cooperates with JunD to enhance transcription of the human telomerase reverse transcriptase gene (hTERT).
Kuhlmann AS, Villaudy J, Gazzolo L, Castellazzi M, Mesnard JM, Duc Dodon M
Retrovirology 2007 Dec 13;4:92
Retrovirology 2007 Dec 13;4:92
Oestrogen signalling inhibits invasive phenotype by repressing RelB and its target BCL2.
Wang X, Belguise K, Kersual N, Kirsch KH, Mineva ND, Galtier F, Chalbos D, Sonenshein GE
Nature cell biology 2007 Apr;9(4):470-8
Nature cell biology 2007 Apr;9(4):470-8
Function of AP-1 in transcription of the telomerase reverse transcriptase gene (TERT) in human and mouse cells.
Takakura M, Kyo S, Inoue M, Wright WE, Shay JW
Molecular and cellular biology 2005 Sep;25(18):8037-43
Molecular and cellular biology 2005 Sep;25(18):8037-43
An extracellular signal-regulated kinase 1- and 2-dependent program of chromatin trafficking of c-Fos and Fra-1 is required for cyclin D1 expression during cell cycle reentry.
Burch PM, Yuan Z, Loonen A, Heintz NH
Molecular and cellular biology 2004 Jun;24(11):4696-709
Molecular and cellular biology 2004 Jun;24(11):4696-709
The IkappaB kinase complex and NF-kappaB act as master regulators of lipopolysaccharide-induced gene expression and control subordinate activation of AP-1.
Krappmann D, Wegener E, Sunami Y, Esen M, Thiel A, Mordmuller B, Scheidereit C
Molecular and cellular biology 2004 Jul;24(14):6488-500
Molecular and cellular biology 2004 Jul;24(14):6488-500
Legionella pneumophila serogroup Lansing 3 isolated from a patient with fatal pneumonia, and descriptions of L. pneumophila subsp. pneumophila subsp. nov., L. pneumophila subsp. fraseri subsp. nov., and L. pneumophila subsp. pascullei subsp. nov.
Brenner DJ, Steigerwalt AG, Epple P, Bibb WF, McKinney RM, Starnes RW, Colville JM, Selander RK, Edelstein PH, Moss CW
Journal of clinical microbiology 1988 Sep;26(9):1695-703
Journal of clinical microbiology 1988 Sep;26(9):1695-703
No comments: Submit comment
Supportive validation
- Submitted by
- per
- Main image

- Experimental details
- Western blot analysis of antibody specificity using a routine panel composed of IgG/HSA-depleted human plasma and protein lysates from selected human tissues and cell lines.
- Validation comment
- No bands detected.
- Primary Ab dilution
- 1:500
- Secondary Ab dilution
- 1:3000
- Lane 1
- Marker [kDa]: 229, 112, 83.5, 47.9, 32.3, 26.5, 17.2
- Lane 2
- RT-4
- Lane 3
- U-251MG sp
- Lane 4
- Human Plasma
- Lane 5
- Liver
- Lane 6
- Tonsil
- Theoretical target weight
- [kDa] 35
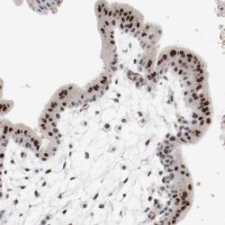
Supportive validation
- Submitted by
- per
- Main image

- Experimental details
- Immunohistochemical staining of human placenta shows strong nuclear positivity in trophoblastic cells.
- Validation comment
- Staining pattern consistent with experimental and/or bioinformatic data.