Antibody data
- Antibody Data
- Antigen structure
- References [0]
- Comments [0]
- Validations
- Western blot [1]
- Immunocytochemistry [2]
- Immunohistochemistry [6]
Submit
Validation data
Reference
Comment
Report error
- Product number
- ARG65740 - Provider product page

- Provider
- Arigo
- Product name
- anti-Lamin B1 antibody
- Antibody type
- Polyclonal
- Antigen
- Recombinant protein of Human Lamin B1
- Description
- Affinity purification with immunogen.
- Reactivity
- Human, Mouse, Rat
- Host
- Rabbit
- Isotype
- IgG
- Vial size
- 100 µl
- Storage
- For continuous use, store undiluted antibody at 2-8°C for up to a week. For long-term storage, aliquot and store at -20°C. Storage in frost free freezers is not recommended. Avoid repeated freeze/thaw cycles. Suggest spin the vial prior to opening.
- Handling
- The antibody solution should be gently mixed before use.
No comments: Submit comment
Supportive validation
- Submitted by
- Arigo (provider)
- Main image

- Experimental details
- Western blot: 1) Jurkat, 2) HT-29, 3) HeLa, 4) U251, 5) CEM, 6) A549, and 7) Mouse spleen lysates stained with ARG65740 anti-Lamin B1 antibody.
Supportive validation
- Submitted by
- Arigo (provider)
- Main image

- Experimental details
- Immunofluorescence: U2OS cell stained with ARG65740 anti-Lamin B1 antibody. Blue: DAPI for nuclear staining.
- Submitted by
- Arigo (provider)
- Main image

- Experimental details
- Immunofluorescence: U2OS cell stained with ARG65740 anti-Lamin B1 antibody.
Supportive validation
- Submitted by
- Arigo (provider)
- Main image

- Experimental details
- Immunohistochemistry: paraffin-embedded Human colon stained with ARG65740 anti-Lamin B1 antibody at 1:100 dilution.
- Submitted by
- Arigo (provider)
- Main image

- Experimental details
- Immunohistochemistry: paraffin-embedded Human esophageal cancer stained with ARG65740 anti-Lamin B1 antibody at 1:100 dilution.
- Submitted by
- Arigo (provider)
- Main image

- Experimental details
- Immunohistochemistry: paraffin-embedded Human kidney stained with ARG65740 anti-Lamin B1 antibody at 1:100 dilution.
- Submitted by
- Arigo (provider)
- Main image

- Experimental details
- Immunohistochemistry: paraffin-embedded liver cancer stained with ARG65740 anti-Lamin B1 antibody at 1:100 dilution.
- Submitted by
- Arigo (provider)
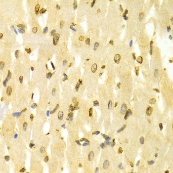
- Main image

- Experimental details
- Immunohistochemistry: paraffin-embedded Rat brain stained with ARG65740 anti-Lamin B1 antibody at 1:100 dilution.
- Submitted by
- Arigo (provider)
- Main image

- Experimental details
- Immunohistochemistry: paraffin-embedded Rat heart stained with ARG65740 anti-Lamin B1 antibody at 1:100 dilution.