Antibody data
- Antibody Data
- Antigen structure
- References [5]
- Comments [0]
- Validations
- Immunohistochemistry [1]
Submit
Validation data
Reference
Comment
Report error
- Product number
- sc-865 - Provider product page

- Provider
- Santa Cruz Biotechnology
- Proper citation
- Santa Cruz Biotechnology Cat#sc-865, RRID:AB_2078731
- Product name
- Anti-CDKN2C
- Antibody type
- Polyclonal (Antigen purified)
- Antigen
- Synthetic peptide
- Reactivity
- Human
- Host
- Rabbit
Submitted references Cyclin K and cyclin D1b are oncogenic in myeloma cells.
Paradoxical expression of INK4c in proliferative multiple myeloma tumors: bi-allelic deletion vs increased expression.
The Rho GTPase effector ROCK regulates cyclin A, cyclin D1, and p27Kip1 levels by distinct mechanisms.
Expression profiling upon Nex1/MATH-2-mediated neuritogenesis in PC12 cells and its implication in regeneration.
Molecular mechanism of cell cycle progression induced by the oncogene product Tax of human T-cell leukemia virus type I
Marsaud V, Tchakarska G, Andrieux G, Liu JM, Dembele D, Jost B, Wdzieczak-Bakala J, Renoir JM, Sola B
Molecular cancer 2010 May 10;9:103
Molecular cancer 2010 May 10;9:103
Paradoxical expression of INK4c in proliferative multiple myeloma tumors: bi-allelic deletion vs increased expression.
Dib A, Peterson TR, Raducha-Grace L, Zingone A, Zhan F, Hanamura I, Barlogie B, Shaughnessy J Jr, Kuehl WM
Cell division 2006 Oct 18;1:23
Cell division 2006 Oct 18;1:23
The Rho GTPase effector ROCK regulates cyclin A, cyclin D1, and p27Kip1 levels by distinct mechanisms.
Croft DR, Olson MF
Molecular and cellular biology 2006 Jun;26(12):4612-27
Molecular and cellular biology 2006 Jun;26(12):4612-27
Expression profiling upon Nex1/MATH-2-mediated neuritogenesis in PC12 cells and its implication in regeneration.
Uittenbogaard M, Chiaramello A
Journal of neurochemistry 2004 Dec;91(6):1332-43
Journal of neurochemistry 2004 Dec;91(6):1332-43
Molecular mechanism of cell cycle progression induced by the oncogene product Tax of human T-cell leukemia virus type I
Ritsuko Iwanaga, Kiyoshi Ohtani, Takeshi Hayashi, Masataka Nakamura
Oncogene 2001 Apr;20(17):2055-2067
Oncogene 2001 Apr;20(17):2055-2067
No comments: Submit comment
Supportive validation
- Submitted by
- per
- Main image

- Experimental details
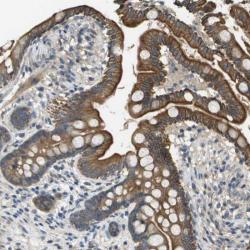
- Immunohistochemical staining of human small intestine shows strong cytoplasmic and membranous positivity in glandular cells.
- Validation comment
- Staining pattern partly consistent with experimental and/or bioinformatic data.