Antibody data
- Antibody Data
- Antigen structure
- References [15]
- Comments [0]
- Validations
- Immunohistochemistry [1]
Submit
Validation data
Reference
Comment
Report error
- Product number
- sc-333 - Provider product page

- Provider
- Santa Cruz Biotechnology
- Proper citation
- Santa Cruz Biotechnology Cat#sc-333, RRID:AB_631869
- Product name
- Anti-KHDRBS1
- Antibody type
- Polyclonal (Antigen purified)
- Antigen
- Synthetic peptide
- Reactivity
- Human
- Host
- Rabbit
Submitted references Sam68 marks the transcriptionally active stages of spermatogenesis and modulates alternative splicing in male germ cells.
Low-level arsenic impairs glucose-stimulated insulin secretion in pancreatic beta cells: involvement of cellular adaptive response to oxidative stress.
Stable formation of compositionally unique stress granules in virus-infected cells.
Sam68 sequestration and partial loss of function are associated with splicing alterations in FXTAS patients.
The germ cell nuclear proteins hnRNP G-T and RBMY activate a testis-specific exon.
Proteomic identification of heterogeneous nuclear ribonucleoprotein L as a novel component of SLM/Sam68 Nuclear Bodies.
Paxillin-Y118 phosphorylation contributes to the control of Src-induced anchorage-independent growth by FAK and adhesion.
Alternative splicing modulates autoinhibition and SH3 accessibility in the Src kinase Fyn.
Proteolysis of NF-κB1 p105 is essential for T cell antigen receptor–induced proliferation
The in vivo function of a noncanonical TRAF2-binding domain in the C-terminus of CD40 in driving B-cell growth and differentiation.
The nuclear RNA-binding protein Sam68 translocates to the cytoplasm and associates with the polysomes in mouse spermatocytes.
Ablation of the Sam68 RNA binding protein protects mice from age-related bone loss.
Biochemical evidence for the association of fragile X mental retardation protein with brain polyribosomal ribonucleoparticles.
Sam68 enhances the cytoplasmic utilization of intron-containing RNA and is functionally regulated by the nuclear kinase Sik/BRK.
Clastosome: a subtype of nuclear body enriched in 19S and 20S proteasomes, ubiquitin, and protein substrates of proteasome.
Paronetto MP, Messina V, Barchi M, Geremia R, Richard S, Sette C
Nucleic acids research 2011 Jul;39(12):4961-74
Nucleic acids research 2011 Jul;39(12):4961-74
Low-level arsenic impairs glucose-stimulated insulin secretion in pancreatic beta cells: involvement of cellular adaptive response to oxidative stress.
Fu J, Woods CG, Yehuda-Shnaidman E, Zhang Q, Wong V, Collins S, Sun G, Andersen ME, Pi J
Environmental health perspectives 2010 Jun;118(6):864-70
Environmental health perspectives 2010 Jun;118(6):864-70
Stable formation of compositionally unique stress granules in virus-infected cells.
Piotrowska J, Hansen SJ, Park N, Jamka K, Sarnow P, Gustin KE
Journal of virology 2010 Apr;84(7):3654-65
Journal of virology 2010 Apr;84(7):3654-65
Sam68 sequestration and partial loss of function are associated with splicing alterations in FXTAS patients.
Sellier C, Rau F, Liu Y, Tassone F, Hukema RK, Gattoni R, Schneider A, Richard S, Willemsen R, Elliott DJ, Hagerman PJ, Charlet-Berguerand N
The EMBO journal 2010 Apr 7;29(7):1248-61
The EMBO journal 2010 Apr 7;29(7):1248-61
The germ cell nuclear proteins hnRNP G-T and RBMY activate a testis-specific exon.
Liu Y, Bourgeois CF, Pang S, Kudla M, Dreumont N, Kister L, Sun YH, Stevenin J, Elliott DJ
PLoS genetics 2009 Nov;5(11):e1000707
PLoS genetics 2009 Nov;5(11):e1000707
Proteomic identification of heterogeneous nuclear ribonucleoprotein L as a novel component of SLM/Sam68 Nuclear Bodies.
Rajan P, Dalgliesh C, Bourgeois CF, Heiner M, Emami K, Clark EL, Bindereif A, Stevenin J, Robson CN, Leung HY, Elliott DJ
BMC cell biology 2009 Nov 13;10:82
BMC cell biology 2009 Nov 13;10:82
Paxillin-Y118 phosphorylation contributes to the control of Src-induced anchorage-independent growth by FAK and adhesion.
Sachdev S, Bu Y, Gelman IH
BMC cancer 2009 Jan 12;9:12
BMC cancer 2009 Jan 12;9:12
Alternative splicing modulates autoinhibition and SH3 accessibility in the Src kinase Fyn.
Brignatz C, Paronetto MP, Opi S, Cappellari M, Audebert S, Feuillet V, Bismuth G, Roche S, Arold ST, Sette C, Collette Y
Molecular and cellular biology 2009 Dec;29(24):6438-48
Molecular and cellular biology 2009 Dec;29(24):6438-48
Proteolysis of NF-κB1 p105 is essential for T cell antigen receptor–induced proliferation
Srividya Sriskantharajah, Monica P Belich, Stamatia Papoutsopoulou, Julia Janzen, Victor Tybulewicz, Benedict Seddon, Steven C Ley
Nature Immunology 2008 Dec;10(1):38-47
Nature Immunology 2008 Dec;10(1):38-47
The in vivo function of a noncanonical TRAF2-binding domain in the C-terminus of CD40 in driving B-cell growth and differentiation.
Lu LF, Ahonen CL, Lind EF, Raman VS, Cook WJ, Lin LL, Noelle RJ
Blood 2007 Jul 1;110(1):193-200
Blood 2007 Jul 1;110(1):193-200
The nuclear RNA-binding protein Sam68 translocates to the cytoplasm and associates with the polysomes in mouse spermatocytes.
Paronetto MP, Zalfa F, Botti F, Geremia R, Bagni C, Sette C
Molecular biology of the cell 2006 Jan;17(1):14-24
Molecular biology of the cell 2006 Jan;17(1):14-24
Ablation of the Sam68 RNA binding protein protects mice from age-related bone loss.
Richard S, Torabi N, Franco GV, Tremblay GA, Chen T, Vogel G, Morel M, Cléroux P, Forget-Richard A, Komarova S, Tremblay ML, Li W, Li A, Gao YJ, Henderson JE
PLoS genetics 2005 Dec;1(6):e74
PLoS genetics 2005 Dec;1(6):e74
Biochemical evidence for the association of fragile X mental retardation protein with brain polyribosomal ribonucleoparticles.
Khandjian EW, Huot ME, Tremblay S, Davidovic L, Mazroui R, Bardoni B
Proceedings of the National Academy of Sciences of the United States of America 2004 Sep 7;101(36):13357-62
Proceedings of the National Academy of Sciences of the United States of America 2004 Sep 7;101(36):13357-62
Sam68 enhances the cytoplasmic utilization of intron-containing RNA and is functionally regulated by the nuclear kinase Sik/BRK.
Coyle JH, Guzik BW, Bor YC, Jin L, Eisner-Smerage L, Taylor SJ, Rekosh D, Hammarskjöld ML
Molecular and cellular biology 2003 Jan;23(1):92-103
Molecular and cellular biology 2003 Jan;23(1):92-103
Clastosome: a subtype of nuclear body enriched in 19S and 20S proteasomes, ubiquitin, and protein substrates of proteasome.
Lafarga M, Berciano MT, Pena E, Mayo I, Castaño JG, Bohmann D, Rodrigues JP, Tavanez JP, Carmo-Fonseca M
Molecular biology of the cell 2002 Aug;13(8):2771-82
Molecular biology of the cell 2002 Aug;13(8):2771-82
No comments: Submit comment
Supportive validation
- Submitted by
- per
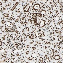
- Main image

- Experimental details
- Immunohistochemical staining of human kidney shows strong nuclear positivity in cells in tubules and cells in glomeruli.
- Validation comment
- Two independent antibodies targeting one protein yielding similar staining patterns. Staining pattern consistent with experimental and/or bioinformatic data.