Antibody data
- Antibody Data
- Antigen structure
- References [0]
- Comments [0]
- Validations
- Western blot [1]
- Immunohistochemistry [3]
Submit
Validation data
Reference
Comment
Report error
- Product number
- TA336775 - Provider product page

- Provider
- OriGene
- Product name
- Mouse Monoclonal VCAM-1/CD106 Antibody (6G9)
- Antibody type
- Monoclonal
- Description
- Mouse Monoclonal VCAM-1/CD106 Antibody (6G9)
- Host
- Mouse
- Conjugate
- Unconjugated
- Epitope
- VCAM1
- Isotype
- IgG
- Antibody clone number
- 6G9
- Vial size
- 100 µl
- Concentration
- 1.0 mg/ml
No comments: Submit comment
Supportive validation
- Submitted by
- OriGene (provider)
- Main image

- Experimental details
- Western Blot: CD106 / VCAM1 Antibody (6G9) [TA336775] - using VCAM1 mouse mAb against HUVEC (1) and EC (2) cell lysate.
- Validation comment
- WB
Supportive validation
- Submitted by
- OriGene (provider)
- Main image

- Experimental details
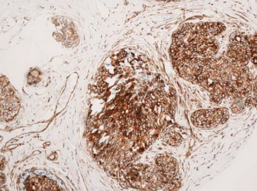
- Immunohistochemistry: CD106 / VCAM1 Antibody (6G9) [TA336775] - Breast carcinoma, cytoplasmic staining. Image from verified customer review.
- Validation comment
- IHC
- Submitted by
- OriGene (provider)
- Main image

- Experimental details
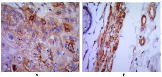
- Immunohistochemistry-Paraffin: CD106 / VCAM1 Antibody (6G9) [TA336775] - human lung cancer (A) and colon cancer (B) using VCAM1 mouse mAb with DAB staining.
- Validation comment
- IHC
- Submitted by
- OriGene (provider)
- Main image

- Experimental details
- Immunohistochemistry-Paraffin: CD106 / VCAM1 Antibody (6G9) [TA336775] - human Placenta tissues using VCAM1 mouse mAb
- Validation comment
- IHC