Antibody data
- Antibody Data
- Antigen structure
- References [0]
- Comments [0]
- Validations
- Western blot [2]
- Immunohistochemistry [7]
Submit
Validation data
Reference
Comment
Report error
- Product number
- LS-C359277 - Provider product page

- Provider
- LSBio
- Product name
- VCAM1 / CD106 Antibody (clone 6G9) LS-C359277
- Antibody type
- Monoclonal
- Description
- Ammonium sulfate precipitation
- Reactivity
- Human
- Host
- Mouse
- Isotype
- IgG
- Antibody clone number
- 6G9
- Storage
- Short term: store at 4°C. Long term: aliquot and store at -20°C. Avoid freeze-thaw cycles.
No comments: Submit comment
Enhanced validation
- Submitted by
- LSBio (provider)
- Enhanced method
- Genetic validation
- Main image

- Experimental details
- Western Blot: CD106 / VCAM1 Antibody (6G9) - using VCAM1 mouse mAb against HUVEC (1) and EC (2) cell lysate.
- Submitted by
- LSBio (provider)
- Enhanced method
- Genetic validation
- Main image

- Experimental details
- Western Blot: VCAM-1/CD106 Antibody (6G9) - Western blot shows a specific band for CD106/VCAM1 in 0.5 mg/ml of HUVEC lysate. This experiment was performed under reducing conditions using the 12-230 kDa separation system.
Supportive validation
- Submitted by
- LSBio (provider)
- Enhanced method
- Genetic validation
- Main image

- Experimental details
- Immunohistochemistry: CD106 / VCAM1 Antibody (6G9) - Breast carcinoma, cytoplasmic staining. Image from verified customer review.
- Submitted by
- LSBio (provider)
- Enhanced method
- Genetic validation
- Main image

- Experimental details
- Immunohistochemistry-Paraffin: CD106 / VCAM1 Antibody (6G9) - human lung cancer (A) and colon cancer (B) using VCAM1 mouse mAb with DAB staining.
- Submitted by
- LSBio (provider)
- Enhanced method
- Genetic validation
- Main image

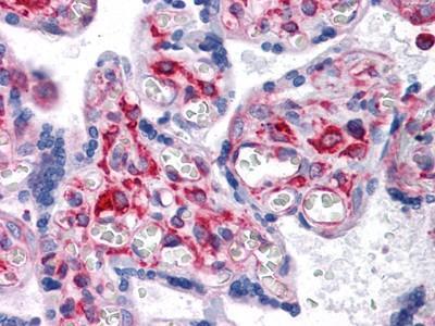
- Experimental details
- Immunohistochemistry-Paraffin: CD106 / VCAM1 Antibody (6G9) - human Placenta tissues using VCAM1 mouse mAb
- Submitted by
- LSBio (provider)
- Enhanced method
- Genetic validation
- Main image

- Experimental details
- Immunohistochemistry-Paraffin: CD106 / VCAM1 Antibody (6G9) - human lung cancer (A) and colon cancer (B) using VCAM1 mouse mAb with DAB staining.
- Submitted by
- LSBio (provider)
- Enhanced method
- Genetic validation
- Main image

- Experimental details
- Immunohistochemistry: CD106 / VCAM1 Antibody (6G9) - Breast carcinoma, cytoplasmic staining. Image from verified customer review.
- Submitted by
- LSBio (provider)
- Enhanced method
- Genetic validation
- Main image

- Experimental details
- Immunohistochemistry-Paraffin: CD106 / VCAM1 Antibody (6G9) - human lung cancer (A) and colon cancer (B) using VCAM1 mouse mAb with DAB staining.
- Submitted by
- LSBio (provider)
- Enhanced method
- Genetic validation
- Main image

- Experimental details
- Immunohistochemistry-Paraffin: CD106 / VCAM1 Antibody (6G9) - human Placenta tissues using VCAM1 mouse mAb