Antibody data
- Antibody Data
- Antigen structure
- References [715]
- Comments [0]
- Validations
- Western blot [1]
- Immunocytochemistry [1]
- Immunoprecipitation [1]
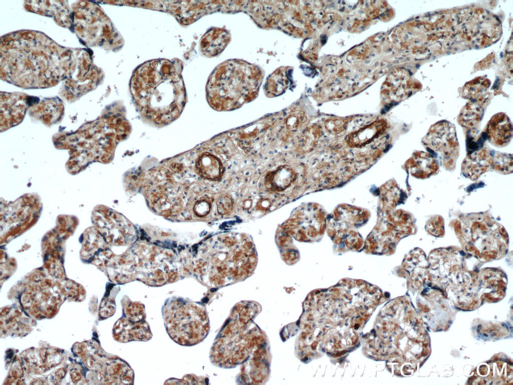
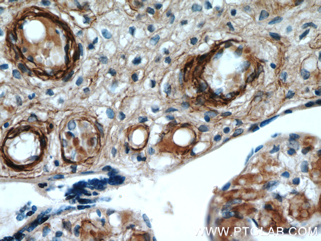
- Immunohistochemistry [2]
Submit
Validation data
Reference
Comment
Report error
- Product number
- 19003-1-AP - Provider product page

- Provider
- Proteintech Group
- Proper citation
- Proteintech Cat#19003-1-AP, RRID:AB_2212657
- Product name
- VEGFA antibody
- Antibody type
- Polyclonal
- Description
- KD/KO validated VEGFA antibody (Cat. #19003-1-AP) is a rabbit polyclonal antibody that shows reactivity with human, mouse and has been validated for the following applications: IHC, WB, ELISA.
- Reactivity
- Human, Mouse
- Host
- Rabbit
- Conjugate
- Unconjugated
- Isotype
- IgG
- Vial size
- 20ul, 150ul
Submitted references mirna-383-5p Functions as an Anti-oncogene in Glioma through the Akt/mTOR Signaling Pathway by Targeting VEGFA.
Huaier suppresses cell viability, migration and invasion in human non-small cell lung cancer via lncRNA DLEU2/miR-212-5p/ELF3 axis.
The anti-tumor activity of tangeretin in esophageal squamous cell carcinoma by inhibiting GLI2-mediated transcription of GPNMB.
Trimethylamine N-oxide aggravates vascular permeability and endothelial cell dysfunction under diabetic condition: in vitro and in vivo study.
Engineered therapeutic antibodies with mannose 6-phosphate analogues as a tool to degrade extracellular proteins.
Exosomes Derived from Meningitic Escherichia coli-Infected Brain Microvascular Endothelial Cells Facilitate Astrocyte Activation.
Enhancing Fat Transplantation Efficiency in a Mouse Model through Pretreatment of Adipose-Derived Stem Cells with RIP3 Inhibitors.
Bevacizumab induces ferroptosis and enhances CD8(+) T cell immune activity in liver cancer via modulating HAT1 and increasing IL-9.
Elucidating the molecular mechanisms behind the therapeutic impact of median nerve stimulation on cognitive dysfunction post-traumatic brain injury.
Foxp1 suppresses cortical angiogenesis and attenuates HIF-1alpha signaling to promote neural progenitor cell maintenance.
Homocysteine potentiates amyloid β -induced death receptor 4- and 5-mediated cerebral endothelial cell apoptosis, blood brain barrier dysfunction and angiogenic impairment.
Endorepellin downregulation promotes angiogenesis after experimental traumatic brain injury.
Electrospun Biomimetic Periosteum Capable of Controlled Release of Multiple Agents for Programmed Promoting Bone Regeneration.
Vasorin promotes endothelial differentiation of glioma stem cells via stimulating the transcription of VEGFR2.
Human Umbilical Cord Mesenchymal Stromal Cell-Derived Extracellular Vesicles Induce Fetal Wound Healing Features Revealed by Single-Cell RNA Sequencing.
The Therapeutic Effects of Baicalein on the Hepatopulmonary Syndrome in the Rat Model of Chronic Common Bile Duct Ligation.
A recombinant plasmid encoding human hepatocyte growth factor promotes healing of combined radiation-trauma skin injury involved in regulating Nrf2 pathway in mice.
Detoxification and Activating Blood Circulation Decoction Promotes Reendothelialization of Damaged Blood Vessels via VEGF Signaling Pathway Activation by miRNA-126.
Knee Osteotomy Decreases Joint Inflammation Based on Synovial Histology and Synovial Fluid Analysis.
Photothermal and Photocatalytic Glycol Chitosan and Polydopamine-Grafted Oxygen Vacancy Bismuth Oxyiodide (BiO(1-x) I) Nanoparticles for the Diagnosis and Targeted Therapy of Diabetic Wounds.
Engineered mesenchymal stem cell-derived small extracellular vesicles for diabetic retinopathy therapy through HIF-1α/EZH2/PGC-1α pathway.
Enhancement of de novo lipogenesis by the IDH1 and IDH2-dependent reverse TCA cycle maintains the growth and angiogenic capacity of bone marrow-derived endothelial progenitor cells under hypoxia.
ADSC-Exos enhance functional recovery after spinal cord injury by inhibiting ferroptosis and promoting the survival and function of endothelial cells through the NRF2/SLC7A11/GPX4 pathway.
The hydroxamic acid derivative YPX-C-05 alleviates hypertension and vascular dysfunction through the PI3K/Akt/eNOS pathway.
Characterization of Chitosan-Gallic Acid Graft Copolymer for Periodontal Dressing Hydrogel Application.
3D Printed Photothermal Scaffold Sandwiching Bacteria Inside and Outside Improves The Infected Microenvironment and Repairs Bone Defects.
Interleukin-22 Contributes to Blood-Brain Barrier Disruption via STAT3/VEGFA Activation in Escherichia coli Meningitis.
Co-targeting CD47 and VEGF elicited potent anti-tumor effects in gastric cancer.
Protective Effect of Pemafibrate Treatment against Diabetic Retinopathy in Spontaneously Diabetic Torii Fatty Rats.
Roseburia intestinalis sensitizes colorectal cancer to radiotherapy through the butyrate/OR51E1/RALB axis.
Cordyceps sinensis relieves non-small cell lung cancer by inhibiting the MAPK pathway.
FBXO22 promotes glioblastoma malignant progression by mediating VHL ubiquitination and degradation.
Cathepsin K inhibition alleviates periodontal bone resorption by promoting type H vessel formation through PDGF-BB/PDGFR-β axis.
The mechanism of EGFL7 regulating neovascularization in diabetic retinopathy through the PI3K/AKT/VEGFA pathway.
Tracing the Change and Contribution of Subcutaneous Adipose to Skin Expansion Using a Luciferase-Transgenic Fat Transplantation Model.
Celastrol enhances the viability of random-pattern skin flaps by regulating autophagy through the AMPK-mTOR-TFEB axis.
Cupric-polymeric nanoreactors integrate into copper metabolism to promote chronic diabetic wounds healing.
Modeling blood-brain barrier formation and cerebral cavernous malformations in human PSC-derived organoids.
Cytokine Levels in Experimental Branch Retinal Vein Occlusion Treated With Either Bevacizumab or Triamcinolone Acetonide.
Proangiogenic effect and underlying mechanism of holmium oxide nanoparticles: a new biomaterial for tissue engineering.
RAS protein activator-like 2 (RASAL2) initiates peritubular capillary rarefaction in hypoxic renal interstitial fibrosis.
GBP2 inhibits pathological angiogenesis in the retina via the AKT/mTOR/VEGFA axis.
Single-cell transcriptomic Atlas of aging macaque ocular outflow tissues.
Vasorin Exocytosed from Glioma Cells Facilitates Angiogenesis via VEGFR2/AKT Signaling Pathway.
The demethylase ALKBH5 mediates ZKSCAN3 expression through the m(6)A modification to activate VEGFA transcription and thus participates in MNNG-induced gastric cancer progression.
Fangji Huangqi Decoction alleviates rheumatoid arthritis through regulating HIF-1α mediated the angiogenesis and the balance between autophagy and apoptosis.
Pleiotropic effects of nitric oxide sustained-release system for peripheral nerve repair.
IL-21 promoting angiogenesis contributes to the development of psoriasis.
KIRREL promotes the proliferation of gastric cancer cells and angiogenesis through the PI3K/AKT/mTOR pathway.
A hyaluronic acid / chitosan composite functionalized hydrogel based on enzyme-catalyzed and Schiff base reaction for promoting wound healing.
Vasculogenic mimicry-associated novel gene signature predicted prognosis and response to immunotherapy in lung adenocarcinoma.
Injectable Multifunctional Composite Hydrogel as a Combination Therapy for Preventing Postsurgical Adhesion.
Bushen Antai recipe alleviates embryo absorption by enhancing immune tolerance and angiogenesis at the maternal-fetal interface via mobilizing MDSCs in abortion-prone mice.
A Mammalian Conserved Circular RNA CircLARP1B Regulates Hepatocellular Carcinoma Metastasis and Lipid Metabolism.
Regulation of the immune microenvironment by pioglitazone-loaded polylactic glycolic acid nanosphere composite scaffolds to promote vascularization and bone regeneration.
Integrating network pharmacology and bioinformatics to explore and experimentally verify the regulatory effect of Buyang Huanwu decoction on glycolysis and angiogenesis after cerebral infarction.
A Self-Homing and Traceable Cardiac Patch Leveraging Ferumoxytol for Spatiotemporal Therapeutic Delivery.
Egr-1 is a key regulator of the blood-brain barrier damage induced by meningitic Escherichia coli.
HOOK3 suppresses proliferation and metastasis in gastric cancer via the SP1/VEGFA axis.
YBX1 promotes type H vessel-dependent bone formation in an m5C-dependent manner.
A transcriptome based molecular classification scheme for cholangiocarcinoma and subtype-derived prognostic biomarker.
Cold atmospheric plasma sensitizes head and neck cancer to chemotherapy and immune checkpoint blockade therapy.
Exosomal circ_0037104 derived from Hu-MSCs inhibits cholangiocarcinoma progression by sponging miR-620 and targeting AFAP1.
Differential Proteomic Profiles of Coronary Serum Exosomes in Acute Myocardial Infarction Patients with or Without Diabetes Mellitus: ANGPTL6 Accelerates Regeneration of Endothelial Cells Treated with Rapamycin via MAPK Pathways.
Microbiota derived D-malate inhibits skeletal muscle growth and angiogenesis during aging via acetylation of Cyclin A.
Chitosan-crosslinked polyvinyl alcohol anti-swelling hydrogel designed to prevent abdominal wall adhesion.
Hyaluronic Acid-Based Reactive Oxygen Species-Responsive Multifunctional Injectable Hydrogel Platform Accelerating Diabetic Wound Healing.
The augmentation of cytotoxic immune cell functionality through physical exertion bolsters the potency of chemotherapy in models of mammary carcinoma.
Three Birds, One Stone: An Osteo-Microenvironment Stage-Regulative Scaffold for Bone Defect Repair through Modulating Early Osteo-Immunomodulation, Middle Neovascularization, and Later Osteogenesis.
Multi-omics sequencing revealed endostar combined with cisplatin treated non small cell lung cancer via anti-angiogenesis.
Ginseng-Sanqi-Chuanxiong (GSC) extracts attenuate d-galactose-induced vascular aging in mice via inhibition of endothelial progenitor cells senescence.
Integrin α(4) Positive Subpopulation in Adipose Derived Stem Cells Effectively Reduces Infarct Size through Enhanced Engraftment into Myocardial Infarction.
Putrescine promotes MMP9-induced angiogenesis in skeletal muscle through hydrogen peroxide/METTL3 pathway.
Anti-cancer activity and cellular uptake of 7,3',4'- and 7,8,4'-trihydroxyisoflavone in HepG2 cells under hypoxic conditions.
Alleviatory Role of Panax Notoginseng Saponins in Modulating Inflammation and Pulmonary Vascular Remodeling in Chronic Obstructive Pulmonary Disease: mechanisms and Implications.
Silicon-induced biofilm improves peripheral nerve defect in rats mediated by VEGF/VEGFR2/ERK.
A gelatin methacryloyl (GelMA) treated with gallic acid and coated with specially designed nanoparticles derived from ginseng enhances the healing of wounds in diabetic rats.
Therapeutic potential of flavopiridol in diabetic retinopathy: Targeting DDX58.
The FOXO1/G6PC axis promotes gastric cancer progression and mediates 5-fluorouracil resistance by targeting the PI3K/AKT/mTOR signaling pathway.
A bioactive composite hydrogel dressing that promotes healing of both acute and chronic diabetic skin wounds.
A parathyroid hormone related supramolecular peptide for multi-functionalized osteoregeneration.
Decreased FGF23 inhibits placental angiogenesis via the ERK1/2-EGR-1 signaling pathway in preeclampsia.
Biodegradable Zn-5Dy Alloy with Enhanced Osteo/Angio-Genic Activity and Osteointegration Effect via Regulation of SIRT4-Dependent Mitochondrial Function.
Exploring the mechanism of Bushen Huoxue prescription in the treatment of early diabetic retinal edema from the perspective of inner blood-retinal barrier injury.
Senescent-like macrophages mediate angiogenesis for endplate sclerosis via IL-10 secretion in male mice.
Fibroblast regulates angiogenesis in assembled oral cancer organoid: A possible role of NNMT.
4D label-free proteomics analysis of oxygen-induced retinopathy with or without anti-VEGF treatment.
Diterpenoid tanshinones inhibit gastric cancer angiogenesis through the PI3K/Akt/mTOR signaling pathway.
Butylphthalide improves brain damage induced by renal ischemia-reperfusion injury rats through Nrf2/HO-1 and NOD2/MAPK/NF-κB pathways.
Fisetin Prevents Angiogenesis in Diabetic Retinopathy by Downregulating VEGF.
Therapeutic Efficiency of Nasal Mucosa-Derived Ectodermal Mesenchymal Stem Cells in Rats with Acute Hepatic Failure.
Pluronic F-127 Hydrogel Loaded with Human Adipose-Derived Stem Cell-Derived Exosomes Improve Fat Graft Survival via HIF-1α-Mediated Enhancement of Angiogenesis.
Down-regulation of histone deacetylase 7 reduces biological activities of retinal microvascular endothelial cells under high glucose condition and related mechanism.
Acupotomy Improves Synovial Hypoxia, Synovitis and Angiogenesis in KOA Rabbits.
Dihydroartemisinin Potentiates VEGFR-TKIs Antitumorigenic Effect on Osteosarcoma by Regulating Loxl2/VEGFA Expression and Lipid Metabolism Pathway.
Neutrophil infiltration associated genes on the prognosis and tumor immune microenvironment of lung adenocarcinoma.
Development and validation of cuproptosis-related lncRNAs associated with pancreatic cancer immune microenvironment based on single-cell.
Elevated MPP6 expression correlates with an unfavorable prognosis, angiogenesis and immune evasion in hepatocellular carcinoma.
Effect of acupuncture on the opening time of implantation window and endometrial receptivity in controlled ovarian hyperstimulation rats during peri-implantation period.
Pien-tze-huang promotes wound healing in streptozotocin-induced diabetes models associated with improving oxidative stress via the Nrf2/ARE pathway.
Small-molecule exhibits anti-tumor activity by targeting the RNA m(6)A reader IGF2BP3 in ovarian cancer.
Micropatterned composite membrane guides oriented cell growth and vascularization for accelerating wound healing.
Overexpression and potential roles of midkine via regulation of vascular endothelial growth factor A in psoriasis.
Xanthine derivative KMUP-1 ameliorates retinopathy.
CSNK2A2 promotes hepatocellular carcinoma progression through activation of NF-κB pathway.
LINC00460 promotes angiogenesis by enhancing NF-κB-mediated VEGFA expression in cervical cancer cells.
DUOX2-Induced Oxidative Stress Inhibits Intestinal Angiogenesis through MMP3 in a Low-Birth-Weight Piglet Model.
Distinct aneuploid evolution of astrocytoma and glioblastoma during recurrence.
δ-Tocotrienol preconditioning improves the capability of bone marrow-derived mesenchymal stem cells in promoting wound healing by inhibiting BACH1-related ferroptosis.
Ki67-targeted oncolytic adenovirus expressing IL-15 improves intratumoral T cell infiltration and PD-L1 expression in glioblastoma.
Fisetin treatment alleviates kidney injury in mice with diabetes-exacerbated atherosclerosis through inhibiting CD36/fibrosis pathway.
LINC02774 inhibits glycolysis in glioma to destabilize HIF-1α dependent on transcription factor RP58.
A nano-conductive osteogenic hydrogel to locally promote calcium influx for electro-inspired bone defect regeneration.
ACLY promotes gastric tumorigenesis and accelerates peritoneal metastasis of gastric cancer regulated by HIF-1A.
Mechanism of the HIF-1α/VEGF/VEGFR-2 pathway in the proliferation and apoptosis of human haemangioma endothelial cells.
Exploring the chondroprotective effect of Chaenomeles speciosa on Glucose-6-Phosphate Isomerase model mice using an integrated approach of network pharmacology and experimental validation.
Moutai Distiller's grains Polyphenol extracts and rutin alleviate DSS-induced colitis in mice: Modulation of gut microbiota and intestinal barrier function (R2).
USP51 facilitates colorectal cancer stemness and chemoresistance by forming a positive feed-forward loop with HIF1A.
Integrated network pharmacology to investigate the mechanism of Salvia miltiorrhiza Bunge in the treatment of myocardial infarction.
SIRT6 mediated histone H3K9ac deacetylation involves myocardial remodelling through regulating myocardial energy metabolism in TAC mice.
Fucoidan promotes angiogenesis and accelerates wound healing through AKT/Nrf2/HIF-1α signalling pathway.
An experimental study for quantitative assessment of fatty infiltration and blood flow perfusion in quadriceps muscle of rats using IDEAL-IQ and BOLD-MRI for early diagnosis of sarcopenia.
Lychee seed polyphenol ameliorates DR via inhibiting inflammasome/apoptosis and angiogenesis in hRECs and db/db mice.
Therapeutic potential of mesenchymal stem cell-derived exosomal miR-296-5p and miR-337-3p in age-related erectile dysfunction via regulating PTEN/PI3K/AKT pathway.
A positive feedback loop between miR-574-3p and HIF-1α in promoting angiogenesis under hypoxia.
Wnt/β-catenin signaling pathway promotes abnormal activation of fibroblast-like synoviocytes and angiogenesis in rheumatoid arthritis and the intervention of Er Miao San.
A Novel PTH-Related Peptide Combined With 3D Printed Macroporous Titanium Alloy Scaffold Enhances Osteoporotic Osseointegration.
3D Prestress Bioprinting of Directed Tissues.
Novel specific anti-ESM1 antibodies overcome tumor bevacizumab resistance by suppressing angiogenesis and metastasis.
ADAMTS12 promotes oxaliplatin chemoresistance and angiogenesis in gastric cancer through VEGF upregulation.
Photothermal-Ionic-Pharmacotherapy of Myocardial Infarction with Enhanced Angiogenesis and Antiapoptosis.
Synergistic anti-tumour activity of ginsenoside Rg3 and doxorubicin on proliferation, metastasis and angiogenesis in osteosarcoma by modulating mTOR/HIF-1α/VEGF and EMT signalling pathways.
HDAC1 suppresses radiotherapy sensitivity in cervical cancer via regulating HIF-1α/VEGF signaling pathway.
Exploring the effect and mechanism of Haizao Yuhu decoction containing three variants of glycyrrhiza on goiter using an integrated strategy of network pharmacology and RNA sequencing.
Antibacterial-Antioxidative Thiolated Gelatin/Methacrylated Silk Fibroin Hydrogels with Nitric Oxide Release Catalyzed by Metal-Polyphenol Nanoparticles for MRSA-Infected Wound Healing.
Accelerating Wound Closure With Metrnl in Normal and Diabetic Mouse Skin.
Dihydroartemisinin inhibits the activation and proliferation of hepatic stellate cells by regulating miR‑29b‑3p.
OTUB1 Catalytic-Independently Deubiquitinates TGFBI and Mediates the Angiogenesis in Infantile Hemangioma by Regulating Glycolysis.
Novel insights into the angiogenic function of JMJD2B in diabetic hind limb ischemia: involvement of activating Wnt/β-catenin pathway.
Mechanism of piR-1245/PIWI-like protein-2 regulating Janus kinase-2/signal transducer and activator of transcription-3/vascular endothelial growth factor signaling pathway in retinal neovascularization.
Bone marrow mesenchymal stem cells and exercise restore motor function following spinal cord injury by activating PI3K/AKT/mTOR pathway.
LncRNA H19 mediates BMP9-induced angiogenesis in mesenchymal stem cells by promoting the p53-Notch1 angiogenic signaling axis.
Venlafaxine antagonizes the noradrenaline-promoted colon cancer progression by inhibiting the norepinephrine transporter.
TMT-based quantitative proteomic analysis of spheroid cells of endometrial cancer possessing cancer stem cell properties.
Atypical Pseudo-Meigs' Syndrome without Pleural Effusion Due to Ovarian Metastasis from Sigmoid Colon Cancer.
Cysteamine and N-Acetyl-cysteine Alleviate Placental Oxidative Stress and Barrier Function Damage Induced by Deoxynivalenol.
Hyaluronic acid-g-lipoic acid granular gel for promoting diabetic wound healing.
Sinomenine promotes flap survival by upregulating eNOS and eNOS-mediated autophagy via PI3K/AKT pathway.
Protein disulfide-isomerase A4 confers glioblastoma angiogenesis promotion capacity and resistance to anti-angiogenic therapy.
FBXW7 loss of function promotes esophageal squamous cell carcinoma progression via elevating MAP4 and ERK phosphorylation.
Atf4 regulates angiogenic differences between alveolar bone and long bone macrophages by regulating M1 polarization, based on single-cell RNA sequencing, RNA-seq and ATAC-seq analysis.
Vascular Endothelial Growth Factor A Contributes to Increased Mammalian Respiratory Epithelial Permeability Induced by Pasteurella multocida Infection.
An innovative immunotherapeutic strategy for rheumatoid arthritis: Selectively suppressing angiogenesis and osteoclast differentiation by fully human antibody targeting thymocyte antigen-1.
Exercise protects aged mice against coronary endothelial senescence via FUNDC1-dependent mitophagy.
Adenosine-ADORA2A Promotes Ang-Induced Angiogenesis in Intrauterine Growth Restriction Placenta via the Stat3/Akt Pathway.
Glycoside combinations of Buyang Huanwu decoction ameliorate atherosclerosis via STAT3, HIF-1, and VEGF.
Tanshinone IIA enhances the therapeutic efficacy of mesenchymal stem cells derived exosomes in myocardial ischemia/reperfusion injury via up-regulating miR-223-5p.
Dietary adenosine supplementation improves placental angiogenesis in IUGR piglets by up-regulating adenosine A2a receptor.
Characterizing the specific mechanism of series processed Coptidis Rhizoma by multi-organ metabolomics combined with network pharmacology and molecular docking.
A copper complex that combats triple negative breast cancer by restraining angiogenesis.
Preparation of nanocomposite membranes loaded with taxifolin liposome and its mechanism of wound healing in diabetic mice.
Role of TGF-beta1 and TNF-alpha1 produced by neoplastic cells in the pathogenesis of fibrosis in patients with hematologic neoplasms.
Patrinia villosa treat colorectal cancer by activating PI3K/Akt signaling pathway.
Skin precursor-derived Schwann cells accelerate in vivo prevascularization of tissue-engineered nerves to promote peripheral nerve regeneration.
The role of TOP2A in immunotherapy and vasculogenic mimicry in non-small cell lung cancer and its potential mechanism.
Hyperin promotes proliferation, migration, and invasion of HTR-8/SVneo trophoblast cells via activation of JAK1/STAT3 pathway in recurrent spontaneous abortions.
Telocyte-Derived Exosomes Provide an Important Source of Wnts That Inhibits Fibrosis and Supports Regeneration and Repair of Endometrium.
Promotion of the genipin crosslinked chitosan-fiber hydrogel loaded with sustained release of clemastine fumarate in diabetic wound repair.
Enzymatic one-pot preparation of carboxylmethyl chitosan-based hydrogel with inherent antioxidant and antibacterial properties for accelerating wound healing.
Dietary fiber supplementation during the last 50 days of gestation improves the farrowing performance of gilts by modulating insulin sensitivity, gut microbiota, and placental function.
Protein kinase D1 promotes the survival of random-pattern skin flaps in rats.
Targeting Tumor Hypoxia Inhibits Aggressive Phenotype of Dedifferentiated Thyroid Cancer.
LncRNA BCAR4 promotes migration, invasion, and chemo-resistance by inhibiting miR-644a in breast cancer.
The promoting effect of modified Dioscorea pills on vascular remodeling in chronic cerebral hypoperfusion via the Ang/Tie signaling pathway.
Tongluo Shenggu capsule promotes angiogenesis to ameliorate glucocorticoid-induced femoral head necrosis via upregulating VEGF signaling pathway.
Differential Gene Expression Profiling in Alveolar Echinococcosis Identifies Potential Biomarkers Associated With Angiogenesis.
Novel fusion protein PK5-RL-Gal-3C inhibits hepatocellular carcinoma via anti-angiogenesis and cytotoxicity.
Facile preparation of polyphenol-crosslinked chitosan-based hydrogels for cutaneous wound repair.
The Possibility of IPC to Prevent Ischemic-Reperfusion Injury in Skeletal Muscle in a Rat.
Network pharmacology analysis combined with experimental validation to explore the therapeutic mechanism of Schisandra Chinensis Mixture on diabetic nephropathy.
Extracellular vesicle-derived circCEBPZOS attenuates postmyocardial infarction remodeling by promoting angiogenesis via the miR-1178-3p/PDPK1 axis.
Glucose-responsive, antioxidative HA-PBA-FA/EN106 hydrogel enhanced diabetic wound healing through modulation of FEM1b-FNIP1 axis and promoting angiogenesis.
Exploring the mechanism of resistance to vincristine in breast cancer cells using transcriptome sequencing technology.
Effects of fresh bone marrow mononuclear cell therapy in rat model of retinopathy of prematurity.
Protocatechuic aldehyde increases pericyte coverage and mitigates pericyte damage to enhance the atherosclerotic plaque stability.
Inhibitory effect of telocyte-induced M1 macrophages on endometriosis: Targeting angiogenesis and invasion.
Retinoic Acid-PPARα Mediates β-Carotene Resistance to Placental Dysfunction Induced by Deoxynivalenol.
Functionalized MoS(2)-nanosheets with NIR-Triggered nitric oxide delivery and photothermal activities for synergistic antibacterial and regeneration-promoting therapy.
Tetrahydropalmatine: Orchestrating survival - Regulating autophagy and apoptosis via the PI3K/AKT/mTOR pathway in perforator flaps.
Pan-cancer analysis of homeodomain-containing gene C10 and its carcinogenesis in lung adenocarcinoma.
GM-CSF improves endometrial receptivity in a thin endometrium rat model by upregulating HOXA10.
Succinate-induced macrophage polarization and RBP4 secretion promote vascular sprouting in ocular neovascularization.
A Study on the Pharmacological Effects and Mechanism of Rhodojaponin III in Rheumatoid Arthritis.
Heat Stress-Induced Fetal Intrauterine Growth Restriction Is Associated with Elevated LPS Levels Along the Maternal Intestine-Placenta-Fetus Axis in Pregnant Mice.
Fabrication of an Adhesive Small Intestinal Submucosa Acellular Matrix Hydrogel for Accelerating Diabetic Wound Healing.
A biomaterial-based therapy for lower limb ischemia using Sr/Si bioactive hydrogel that inhibits skeletal muscle necrosis and enhances angiogenesis.
Rapamycin inhibits corneal inflammatory response and neovascularization in a mouse model of corneal alkali burn.
WTAP promotes macrophage recruitment and increases VEGF secretion via N6-methyladenosine modification in corneal neovascularization.
Neutrophils regulate tumor angiogenesis in oral squamous cell carcinoma and the role of Chemerin.
Metformin accelerates bone fracture healing by promoting type H vessel formation through inhibition of YAP1/TAZ expression.
Weizmannia coagulans JA845 improves atherosclerosis induced by vitamin D3 and high-fat diet in rats through modulating lipid metabolism, oxidative stress, and endothelial vascular injury.
Bispecific GPC3/PD‑1 CAR‑T cells for the treatment of HCC.
Synergistic Effect of Magneto-Mechanical Bioengineered Stem Cells and Magnetic Field to Alleviate Osteoporosis.
Nuclear translocation of cGAS orchestrates VEGF-A-mediated angiogenesis.
Whole-transcriptome sequencing analysis reveal mechanisms of Yiqi Huoxue Yangyin (YHY) decoction in ameliorating D-gal-induced cardiac aging.
Hypoxia preconditioned DPSC-derived exosomes regulate angiogenesis via transferring LOXL2.
SHMT2 Promotes Gastric Cancer Development through Regulation of HIF1α/VEGF/STAT3 Signaling.
Effects of limonin treatment on the survival of random skin flaps in mice.
Tiaojing Cuyun Recipe Enhances Pregnancy Outcome via the VEGF/PI3K/AKT/eNOS Signaling Pathway in EID Mice.
A Network Pharmacology Approach for Uncovering the Antitumor Effects and Potential Mechanisms of the Sijunzi Decoction for the Treatment of Gastric Cancer.
Upregulation of PNCK Promotes Metastasis and Angiogenesis via Activating NF-κB/VEGF Pathway in Nasopharyngeal Carcinoma.
The Hair Growth-Promoting Effect of Gardenia florida Fruit Extract and Its Molecular Regulation.
Effects of Infrared Combined with Methylcobalamin on the Vibratory Sensory Threshold and Nerve Conduction Velocity of the Lower Extremity in Patients with Diabetic Foot Treatment.
Protective Effects of Herba Houttuyniae Aqueous Extract against OVA-Induced Airway Hyperresponsiveness and Inflammation in Asthmatic Mice.
Inhibition of Angiogenesis by MiR-524-5p through Suppression of AKT and ERK Activation by Targeting CXCR7 in Colon Cancer Cells.
Trimethylamine N-Oxide Promotes Cell Proliferation and Angiogenesis in Colorectal Cancer.
Influence of P(VDF-TrFE) Membranes with Different Surface Potentials on the Activity and Angiogenic Function of Human Umbilical Vein Endothelial Cells.
Inhibition of KCTD10 Affects Diabetic Retinopathy Progression by Reducing VEGF and Affecting Angiogenesis.
Radix Actinidia chinensis Suppresses Renal Cell Carcinoma Progression: Network Pharmacology Prediction and In Vivo Experimental Validation.
ATAD2 Upregulation Promotes Tumor Growth and Angiogenesis in Endometrial Cancer and Is Associated with Its Immune Infiltration.
GLP-1 RA Improves Diabetic Retinopathy by Protecting the Blood-Retinal Barrier through GLP-1R-ROCK-p-MLC Signaling Pathway.
Tissue Kallikrein Protects Rat Prostate against the Inflammatory Damage in a Chronic Autoimmune Prostatitis Model via Restoring Endothelial Function in a Bradykinin Receptor B2-Dependent Way.
Low expression of microRNA-125b enhances the expression of STAT3 and contributes to cholesteatoma growth.
Smart thermosensitive poloxamer hydrogels loaded with Nr-CWs for the treatment of diabetic wounds.
LncRNA LINC01857 reduces metastasis and angiogenesis in breast cancer cells via regulating miR-2052/CENPQ axis.
Rapamycin Liposomes Combined with 5-Fluorouracil Inhibits Angiogenesis and Tumor Growth of APC ((Min/+)) Mice and AOM/DSS-Induced Colorectal Cancer Mice.
Antidepressant-Like Effect and Mechanism of Ginsenoside Rd on Rodent Models of Depression.
Chitosan/Sodium Alginate/Velvet Antler Blood Peptides Hydrogel Promotes Diabetic Wound Healing via Regulating Angiogenesis, Inflammatory Response and Skin Flora.
Identification of a novel immune gene panel in tongue squamous cell carcinoma.
Bevacizumab is an Efficient Therapeutic Approach with Low Side Effects in Patient-Derived Xenografts of Adenoid Cystic Carcinoma of the Lacrimal Gland.
Analysis of the absorbed constituents and mechanism of liquidambaris fructus extract on hepatocellular carcinoma.
Modified Qing' e Pills exerts anti-osteoporosis effects and prevents bone loss by enhancing type H blood vessel formation.
Endoglin aggravates peritoneal fibrosis by regulating the activation of TGF-β/ALK/Smads signaling.
Honokiol improves depression-like behaviors in rats by HIF-1α- VEGF signaling pathway activation.
TAZ Induces Migration of Microglia and Promotes Neurological Recovery After Spinal Cord Injury.
Dandelion Seed Extract Affects Tumor Progression and Enhances the Sensitivity of Cisplatin in Esophageal Squamous Cell Carcinoma.
HIF1α/VEGF Feedback Loop Contributes to 5-Fluorouracil Resistance.
The Effect of Blood Flow-Restricted Low Resistance Training on Microvascular Circulation of Myocardium in Spontaneously Hypertensive Rats.
Baohuoside I Inhibits Tumor Angiogenesis in Multiple Myeloma via the Peroxisome Proliferator-Activated Receptor γ/Vascular Endothelial Growth Factor Signaling Pathway.
Diallyl Trisulfide Enhances the Survival of Multiterritory Perforator Skin Flaps.
Astragalus propinquus schischkin and Salvia miltiorrhiza bunge promote angiogenesis to treat myocardial ischemia via Ang-1/Tie-2/FAK pathway.
Fenofibrate suppresses corneal neovascularization by regulating lipid metabolism through PPARα signaling pathway.
E2F1-mediated GINS2 transcriptional activation promotes tumor progression through PI3K/AKT/mTOR pathway in hepatocellular carcinoma.
Combination of Radiofrequency Ablation With Resiquimod to Treat Hepatocellular Carcinoma Via Inflammation of Tumor Immune Microenvironment and Suppression of Angiogenesis.
Aerobic exercise-induced circulating extracellular vesicle combined decellularized dermal matrix hydrogel facilitates diabetic wound healing by promoting angiogenesis.
Theaflavin Attenuates TBHP-Induced Endothelial Cells Oxidative Stress by Activating PI3K/AKT/Nrf2 and Accelerates Wound Healing in Rats.
Enhanced effect of combining bone marrow mesenchymal stem cells (BMMSCs) and pulsed electromagnetic fields (PEMF) to promote recovery after spinal cord injury in mice.
Multifunctional hydrogels for wound dressings using xanthan gum and polyacrylamide.
Antitumor effect of Escherichia coli-derived outer membrane vesicles on neuroblastoma in vitro and in vivo.
Effects of dietary supplementation of gestating sows with adenosine 5'-monophosphate or adenosine on placental angiogenesis and vitality of their offspring.
EP300 promotes renal tubular epithelial cell fibrosis by increasing HIF2α expression in diabetic nephropathy.
A3 adenosine receptor allosteric modulator CF602 reverses erectile dysfunction in a diabetic rat model.
Environmental exposure to microcystin-LR increases the risks of urinary bladder proliferation and carcinogenesis: Evidence from case control, animal, and in vitro studies.
Protective effects of ZIP8 on Toxoplasma gondii-induced acute hepatocyte injury in mice.
Exosomes Derived from Bone Marrow Mesenchymal Stem Cells Alleviate Ischemia-Reperfusion Injury and Promote Survival of Skin Flaps in Rats.
Shengyu Decoction treating vascular cognitive impairment by promoting AKT/HIF-1α/VEGF related cerebrovascular generation and ameliorating MAPK/NF-κB mediated neuroinflammation.
Hypoxia-Activated Prodrugs with Dual COX-2/CA Inhibitory Effects on Attenuating Cardiac Inflammation under Hypoxia.
Activation of Piezo1 contributes to matrix stiffness-induced angiogenesis in hepatocellular carcinoma.
Endothelial-Specific Molecule 1 Inhibition Lessens Productive Angiogenesis and Tumor Metastasis to Overcome Bevacizumab Resistance.
Programmed death ligand 1 and tumor-infiltrating CD8(+) T lymphocytes are associated with the clinical features in meningioma.
Polarization and β-Glucan Reprogram Immunomodulatory Metabolism in Human Macrophages and Ex Vivo in Human Lung Cancer Tissues.
Endothelial regulation of calmodulin expression and eNOS-calmodulin interaction in vascular smooth muscle.
Intraoperative Hypothermia Induces Vascular Dysfunction in the CA1 Region of Rat Hippocampus.
m6A methylated EphA2 and VEGFA through IGF2BP2/3 regulation promotes vasculogenic mimicry in colorectal cancer via PI3K/AKT and ERK1/2 signaling.
Cystathionine-β-synthase (CBS)/H2S system promotes lymph node metastasis of esophageal squamous cell carcinoma (ESCC) by activating SIRT1.
Metformin regulates macrophage polarization via the Shh signaling pathway to improve pulmonary vascular development in bronchopulmonary dysplasia.
iASPP is essential for HIF-1α stabilization to promote angiogenesis and glycolysis via attenuating VHL-mediated protein degradation.
Vitamin C Deficiency Causes Cell Type-Specific Epigenetic Reprogramming and Acute Tubular Necrosis in a Mouse Model.
Downregulation of miR-491-5p promotes neovascularization after traumatic brain injury.
Injectable multifunctional CMC/HA-DA hydrogel for repairing skin injury.
Hepatoprotective mechanism of Silybum marianum on nonalcoholic fatty liver disease based on network pharmacology and experimental verification.
Inhibition of RIP3 increased ADSC viability under OGD and modified the competency of adipogenesis, angiogenesis, and inflammation regulation.
SPIONs mediated magnetic actuation promotes nerve regeneration by inducing and maintaining repair-supportive phenotypes in Schwann cells.
The molecular mechanism of baicalein repressing progression of gastric cancer mediating miR-7/FAK/AKT signaling pathway.
Functionalized injectable hyaluronic acid hydrogel with antioxidative and photothermal antibacterial activity for infected wound healing.
Effects of STAT3 on aging-dependent neovascularization impairment following limb ischemia: from bedside to bench.
Hypoxia-inducible factor protects against acute kidney injury via the Wnt/β-catenin signaling pathway.
A dual crosslinked hydrogel-mediated integrated peptides and BMSC therapy for myocardial regeneration.
Exercise promotes angiogenesis by enhancing endothelial cell fatty acid utilization via liver-derived extracellular vesicle miR-122-5p.
Identifying the anti-metastasis effect of Anhydroicaritin on breast cancer: Coupling network pharmacology with experimental validation.
GCN5 participates in KLF4-VEGFA feedback to promote endometrial angiogenesis.
Combination of mitochondria impairment and inflammation blockade to combat metastasis.
TRPS1 knockdown inhibits angiogenic vascular mimicry in human triple negative breast cancer cells.
Facile preparation of polysaccharides-based adhesive hydrogel with antibacterial and antioxidant properties for promoting wound healing.
Lycium barbarum polysaccharides attenuates high glucose-induced diabetic retinal angiogenesis by rescuing the expression of miR-15a-5p in RF/6A cells.
Vitamin D(3) protects intrauterine growth restriction induced by cooking oil fume derived fine particulate matters.
LPS-pretreatment adipose-derived mesenchymal stromal cells promote wound healing in diabetic rats by improving angiogenesis.
Role of GADD45A in myocardial ischemia/reperfusion through mediation of the JNK/p38 MAPK and STAT3/VEGF pathways.
Effect of hydroxychloroquine on antiphospholipid antibodies-inhibited endometrial angiogenesis.
A silk fibroin/chitosan/nanohydroxyapatite biomimetic bone scaffold combined with autologous concentrated growth factor promotes the proliferation and osteogenic differentiation of BMSCs and repair of critical bone defects.
Extracellular vesicles derived from human umbilical cord mesenchymal stem cells stimulate angiogenesis in myocardial infarction via the microRNA-423-5p/EFNA3 axis.
Perinatal exposure to glyphosate-based herbicides impairs progeny health and placental angiogenesis by disturbing mitochondrial function.
Bacteria-mediated tumor-targeted delivery of tumstatin (54-132) significantly suppresses tumor growth in mouse model by inhibiting angiogenesis and promoting apoptosis.
Nanoscale CaO(2) materials for synergistic transarterial chemoembolization in a VX2 orthotopic rabbit liver cancer model.
Halide-containing bioactive glasses enhance osteogenesis in vitro and in vivo.
Melatonin improves pregnancy outcomes in adenomyosis mice by restoring endometrial receptivity via NF-κB/apoptosis signaling.
Effect of hypoxia on HIF-1α/MDR1/VEGF expression in gastric cancer cells treated with 5-fluorouracil.
CPSF4 promotes tumor-initiating phenotype by enhancing VEGF/NRP2/TAZ signaling in lung cancer.
Targeting regulation of VEGF by BPTF in non-small cell lung cancer and its potential clinical significance.
Inactivation of Yes-Associated Protein Mediates Trophoblast Dysfunction: A New Mechanism of Pregnancy Loss Associated with Anti-Phospholipid Antibodies?
Endothelial PDGF-BB/PDGFR-β signaling promotes osteoarthritis by enhancing angiogenesis-dependent abnormal subchondral bone formation.
Extracellular Vesicles Isolated From Hypoxia-Preconditioned Adipose-Derived Stem Cells Promote Hypoxia-Inducible Factor 1α-Mediated Neovascularization of Random Skin Flap in Rats.
Targeting Vascular endothelial growth factor A with soluble vascular endothelial growth factor receptor 1 ameliorates nerve injury-induced neuropathic pain.
TIM-1 promotes proliferation and metastasis, and inhibits apoptosis, in cervical cancer through the PI3K/AKT/p53 pathway.
miR-218-5p in endometrial microenvironment prevents the migration of ectopic endometrial stromal cells by inhibiting LASP1.
Investigating the mechanism of Xian-ling-lian-xia-fang for inhibiting vasculogenic mimicry in triple negative breast cancer via blocking VEGF/MMPs pathway.
miRNA-29 aggravates myocardial infarction via inhibiting the PI3K/mTOR/HIF1α/VEGF pathway.
ADAMTS8 inhibited lung cancer progression through suppressing VEGFA.
Hypoxia Alters the Proteome Profile and Enhances the Angiogenic Potential of Dental Pulp Stem Cell-Derived Exosomes.
A novel promoter-associated non-coding small RNA paGLI1 recruits FUS/P65 to transactivate GLI1 gene expression and promotes infiltrating glioma progression.
LncRNA NEAT1 Promotes Gastric Cancer Progression Through miR-17-5p/TGFβR2 Axis Up-Regulated Angiogenesis.
Electroacupuncture Reduces Oocyte Number and Maintains Vascular Barrier Against Ovarian Hyperstimulation Syndrome by Regulating CD200.
The mechanism and candidate compounds of aged citrus peel (chenpi) preventing chronic obstructive pulmonary disease and its progression to lung cancer.
Heme Oxygenase-1-Modified Bone Marrow Mesenchymal Stem Cells Combined with Normothermic Machine Perfusion Repairs Bile Duct Injury in a Rat Model of DCD Liver Transplantation via Activation of Peribiliary Glands through the Wnt Pathway.
Y-Box Binding Protein 1 Regulates Angiogenesis in Bladder Cancer via miR-29b-3p-VEGFA Pathway.
Apelin/APJ-Manipulated CaMKK/AMPK/GSK3β Signaling Works as an Endogenous Counterinjury Mechanism in Promoting the Vitality of Random-Pattern Skin Flaps.
Correlationship between Ki67, VEGF, and p53 and Hepatocellular Carcinoma Recurrence in Liver Transplant Patients.
Gastrodin Promotes the Survival of Random-Pattern Skin Flaps via Autophagy Flux Stimulation.
Liraglutide, a TFEB-Mediated Autophagy Agonist, Promotes the Viability of Random-Pattern Skin Flaps.
Retinal Neuropathy in IGT Stage of OLETF Rats: Another Characteristic Change of Diabetic Retinopathy.
Long noncoding RNA SH3PXD2A-AS1 promotes colorectal cancer progression by regulating p53-mediated gene transcription.
Generation of VEGF knock-in Cashmere goat via the CRISPR/Cas9 system.
Effect of luteolin on apoptosis and vascular endothelial growth factor in human choroidal melanoma cells.
Development and Validation of a Novel Gene Signature for Predicting the Prognosis by Identifying m5C Modification Subtypes of Cervical Cancer.
Angelica Dahurica Regulated the Polarization of Macrophages and Accelerated Wound Healing in Diabetes: A Network Pharmacology Study and In Vivo Experimental Validation.
Pseudoginsenoside F11 Enhances the Viability of Random-Pattern Skin Flaps by Promoting TFEB Nuclear Translocation Through AMPK-mTOR Signal Pathway.
Synergic Neuroprotection Between Ligusticum Chuanxiong Hort and Borneol Against Ischemic Stroke by Neurogenesis via Modulating Reactive Astrogliosis and Maintaining the Blood-Brain Barrier.
Dl-3-n-Butylphthalide Ameliorates Diabetic Nephropathy by Ameliorating Excessive Fibrosis and Podocyte Apoptosis.
Fuyuan Xingnao Decoction Promotes Angiogenesis Through the Rab1/AT1R Pathway in Diabetes Mellitus Complicated With Cerebral Infarction.
TPL Inhibits the Invasion and Migration of Drug-Resistant Ovarian Cancer by Targeting the PI3K/AKT/NF-κB-Signaling Pathway to Inhibit the Polarization of M2 TAMs.
Genetic Manipulation of Sirtuin 3 Causes Alterations of Key Metabolic Regulators in Melanoma.
Development of bispecific anti-c-Met/PD-1 diabodies for the treatment of solid tumors and the effect of c-Met binding affinity on efficacy.
Hyperoxia-induced S1P(1) signaling reduced angiogenesis by suppression of TIE-2 leading to experimental bronchopulmonary dysplasia.
Development of a novel RNAi therapy: Engineered miR-31 exosomes promoted the healing of diabetic wounds.
Positive feedback regulation of lncRNA PVT1 and HIF2α contributes to clear cell renal cell carcinoma tumorigenesis and metastasis.
IGF-1-Expressing Placenta-Derived Mesenchymal Stem Cells Promote Scalding Wound Healing.
Microglia modulation with 1070-nm light attenuates Aβ burden and cognitive impairment in Alzheimer's disease mouse model.
Combination of Electroacupuncture and Constraint-Induced Movement Therapy Enhances Functional Recovery After Ischemic Stroke in Rats.
Assessing the protective effects of cryptotanshinone on CoCl(2)‑induced hypoxia in RPE cells.
Angelica sinensis extract promotes neuronal survival by enhancing p38 MAPK-mediated hippocampal neurogenesis and dendritic growth in the chronic phase of transient global cerebral ischemia in rats.
Oral microbiota affects the efficacy and prognosis of radiotherapy for colorectal cancer in mouse models.
Exosomal microRNA-1246 from human umbilical cord mesenchymal stem cells potentiates myocardial angiogenesis in chronic heart failure.
Human amniotic fluid stem cells can improve cerebral vascular remodelling and neurological function after focal cerebral ischaemia in diabetic rats.
The anti-neoplastic activities of aloperine in HeLa cervical cancer cells are associated with inhibition of the IL-6-JAK1-STAT3 feedback loop.
Si-Wu-Tang facilitates ovarian function through improving ovarian microenvironment and angiogenesis in a mouse model of premature ovarian failure.
In vivo fluorescence molecular imaging of the vascular endothelial growth factor in rats with early diabetic retinopathy.
HMGB1 contributes to osteoarthritis of temporomandibular joint by inducing synovial angiogenesis.
Cellular and physical microenvironments regulate the aggressiveness and sunitinib chemosensitivity of clear cell renal cell carcinoma.
Exenatide improves random-pattern skin flap survival via TFE3 mediated autophagy augment.
Cross-talk between synovial fibroblasts and chondrocytes in condylar hyperplasia: an in vitro pilot study.
Bifunctional hydrogel for potential vascularized bone tissue regeneration.
Exosomal HMGB1 derived from hypoxia-conditioned bone marrow mesenchymal stem cells increases angiogenesis via the JNK/HIF-1α pathway.
Anti-angiogenesis and anti-metastasis effects of Polyphyllin VII on Hepatocellular carcinoma cells in vitro and in vivo.
BMI1 regulates multiple myeloma-associated macrophage's pro-myeloma functions.
Three phytosterols from sweet potato inhibit MCF7-xenograft-tumor growth through modulating gut microbiota homeostasis and SCFAs secretion.
Effects of PI3K/AKT/mTOR pathway regulation of HIF-1α on Lanthanum-induced neurotoxicity in rats.
Autophagy-induced p62 accumulation is required for curcumol to regulate KLF5-mediated angiogenesis in liver sinusoidal endothelial cells.
Sesquiterpene Lactone Deoxyelephantopin Isolated from Elephantopus scaber and Its Derivative DETD-35 Suppress BRAF(V600E) Mutant Melanoma Lung Metastasis in Mice.
Carbon monoxide alleviates senescence in diabetic nephropathy by improving autophagy.
Protein kinase N1 promotes proliferation and invasion of liver cancer.
Long noncoding RNA AFAP1-AS1 promotes tumor progression and invasion by regulating the miR-2110/Sp1 axis in triple-negative breast cancer.
Distal Arterialized Venous Supercharging Improves Perfusion and Survival in an Extended Dorsal Three-Perforasome Perforator Flap Rat Model.
PRMT4 drives post-ischemic angiogenesis via YB1/VEGF signaling.
Anti-anemia drug FG4592 retards the AKI-to-CKD transition by improving vascular regeneration and antioxidative capability.
MSH6 Aggravates the Hypoxic Microenvironment via Regulating HIF1A to Promote the Metastasis of Glioblastoma Multiforme.
Blocking VRK2 suppresses pulmonary adenocarcinoma progression via ERK1/2/AKT signal pathway by targeting miR-145-5p.
Mesenchymal Stem Cell-Derived Extracellular Vesicles Attenuate Mitochondrial Damage and Inflammation by Stabilizing Mitochondrial DNA.
Inhibition of Hippo Signaling Improves Skin Lesions in a Rosacea-Like Mouse Model.
Bushen Huoxue recipe attenuates early pregnancy loss via activating endometrial COX2-PGE2 angiogenic signaling in mice.
Canstatin represses glioma growth by inhibiting formation of VM-like structures.
Dual-function chimeric antigen receptor T cells targeting c-Met and PD-1 exhibit potent anti-tumor efficacy in solid tumors.
Rapamycin ameliorates corneal injury after alkali burn through methylation modification in mouse TSC1 and mTOR genes.
Vascular endothelial growth factor alleviates mitochondrial dysfunction and suppression of mitochondrial biogenesis in models of Alzheimer's disease.
Fork head box M1 regulates vascular endothelial growth factor-A expression to promote the angiogenesis and tumor cell growth of gallbladder cancer.
Dual-targeting tumor cells and tumor associated macrophages with lipid coated calcium zoledronate for enhanced lung cancer chemoimmunotherapy.
Recombinant thrombomodulin domain 1 rescues pathological angiogenesis by inhibition of HIF-1α-VEGF pathway.
Myrtenol improves brain damage and promotes angiogenesis in rats with cerebral infarction by activating the ERK1/2 signalling pathway.
Knockdown of growth factor receptor bound protein 7 suppresses angiogenesis by inhibiting the secretion of vascular endothelial growth factor A in ovarian cancer cells.
Visfatin promotes intervertebral disc degeneration by inducing IL-6 expression through the ERK/JNK/p38 signalling pathways.
The angiogenic properties of human amniotic membrane stem cells are enhanced in gestational diabetes and associate with fetal adiposity.
17β-Estradiol promotes angiogenesis of stria vascular in cochlea of C57BL/6J mice.
The protein 4.1R downregulates VEGFA in M2 macrophages to inhibit colon cancer metastasis.
Resveratrol attenuates retinal ganglion cell loss in a mouse model of retinal ischemia reperfusion injury via multiple pathways.
MSC-Derived Exosomes can Enhance the Angiogenesis of Human Brain MECs and Show Therapeutic Potential in a Mouse Model of Parkinson's Disease.
The extract of concentrated growth factor enhances osteogenic activity of osteoblast through PI3K/AKT pathway and promotes bone regeneration in vivo.
Enriched environment remedies cognitive dysfunctions and synaptic plasticity through NMDAR-Ca(2+)-Activin A circuit in chronic cerebral hypoperfusion rats.
Phytogalactolipid dLGG Inhibits Mouse Melanoma Brain Metastasis through Regulating Oxylipin Activity and Re-Programming Macrophage Polarity in the Tumor Microenvironment.
The Hippo-TAZ axis mediates vascular endothelial growth factor C in glioblastoma-derived exosomes to promote angiogenesis.
Amelioration of diabetic retinopathy in db/db mice by treatment with different proportional three active ingredients from Tibetan medicine Berberis dictyophylla F.
Maternal supply of cysteamine alleviates oxidative stress and enhances angiogenesis in porcine placenta.
Exosomal miR-27 negatively regulates ROS production and promotes granulosa cells apoptosis by targeting SPRY2 in OHSS.
Curcumin inhibits the growth of liver cancer by impairing myeloid-derived suppressor cells in murine tumor tissues.
Melatonin exerts protective effects on diabetic retinopathy via inhibition of Wnt/β-catenin pathway as revealed by quantitative proteomics.
A novel cystathionine γ-lyase inhibitor, I194496, inhibits the growth and metastasis of human TNBC via downregulating multiple signaling pathways.
Copper Sulfide Nanoparticles-Incorporated Hyaluronic Acid Injectable Hydrogel With Enhanced Angiogenesis to Promote Wound Healing.
MicroRNA-29b-3p inhibits cell proliferation and angiogenesis by targeting VEGFA and PDGFB in retinal microvascular endothelial cells.
Placentae for Low Birth Weight Piglets Are Vulnerable to Oxidative Stress, Mitochondrial Dysfunction, and Impaired Angiogenesis.
PPAR-γ Mediates Ta-VNS-Induced Angiogenesis and Subsequent Functional Recovery after Experimental Stroke in Rats.
Effects of Botulinum Toxin Type A on Microvessels in Hypertrophic Scar Models on Rabbit Ears.
Activating CD137 Signaling Promotes Sprouting Angiogenesis via Increased VEGFA Secretion and the VEGFR2/Akt/eNOS Pathway.
Resveratrol promotes osteoblastic differentiation in a rat model of postmenopausal osteoporosis by regulating autophagy.
Protective effects of essential oil from Fructus Alpiniae zerumbet on retinal Müller gliosis via the PPAR-γ-p-CREB signaling pathway.
Clopidogrel-Induced Gastric Injury in Rats is Attenuated by Stable Gastric Pentadecapeptide BPC 157.
1,25(OH)(2)D(3) Strengthens the Vasculogenesis of Multipotent Mesenchymal Stromal Cells from Rat Bone Marrow by Regulating the PI3K/AKT Pathway.
RPL38 Regulates the Proliferation and Apoptosis of Gastric Cancer via miR-374b-5p/VEGF Signal Pathway.
Chronic Unpredictable Mild Stress Accelerates the Growth of Bladder Cancer in a Xenograft Mouse Model.
MiR-935/HIF1α Feedback Loop Inhibits the Proliferation and Invasiveness of Glioma.
Activated STAT3 Could Reduce Survival in Patients with Esophageal Squamous Cell Carcinoma by Up-regulating VEGF and Cyclin D1 Expression.
Distinct Roles of VEGFA and ANGPT2 in Lung Adenocarcinoma and Squamous Cell Carcinoma.
SDF-1α/MicroRNA-134 Axis Regulates Nonfunctioning Pituitary Neuroendocrine Tumor Growth via Targeting VEGFA.
Dandelion Polysaccharide Exerts Anti-Angiogenesis Effect on Hepatocellular Carcinoma by Regulating VEGF/HIF-1α Expression.
Deciphering the Pharmacological Mechanisms of Taohe-Chengqi Decoction Extract Against Renal Fibrosis Through Integrating Network Pharmacology and Experimental Validation In Vitro and In Vivo.
Theta-burst transcranial magnetic stimulation promotes stroke recovery by vascular protection and neovascularization.
Exosomes derived from GDNF-modified human adipose mesenchymal stem cells ameliorate peritubular capillary loss in tubulointerstitial fibrosis by activating the SIRT1/eNOS signaling pathway.
Sucralose Promotes Colitis-Associated Colorectal Cancer Risk in a Murine Model Along With Changes in Microbiota.
Forkhead Box Q1 Is Critical to Angiogenesis and Macrophage Recruitment of Colorectal Cancer.
Steroid 5α-Reductase Type I Induces Cell Viability and Migration via Nuclear Factor-κB/Vascular Endothelial Growth Factor Signaling Pathway in Colorectal Cancer.
Conditional ablation of MAPK7 expression in chondrocytes impairs endochondral bone formation in limbs and adaptation of chondrocytes to hypoxia.
Antitumor effects of aconitine in A2780 cells via estrogen receptor β‑mediated apoptosis, DNA damage and migration.
RNA N6-methyladenosine reader IGF2BP3 regulates cell cycle and angiogenesis in colon cancer.
2-Methoxy-5((3,4,5-trimethosyphenyl)seleninyl) phenol (SQ) inhibits cancer cell metastasis behavior of TNBC via suppressing EMT and VEGF.
Arachidonic Acid Metabolites of CYP450 Enzymes and HIF-1α Modulate Endothelium-Dependent Vasorelaxation in Sprague-Dawley Rats under Acute and Intermittent Hyperbaric Oxygenation.
Genome-wide pathogenesis interpretation using a heat diffusion-based systems genetics method and implications for gene function annotation.
Hypoxia-autophagy axis induces VEGFA by peritoneal mesothelial cells to promote gastric cancer peritoneal metastasis through an integrin α5-fibronectin pathway.
Sestrin2 promotes angiogenesis to alleviate brain injury by activating Nrf2 through regulating the interaction between p62 and Keap1 following photothrombotic stroke in rats.
Reciprocal Interaction between Vascular Filopodia and Neural Stem Cells Shapes Neurogenesis in the Ventral Telencephalon.
miR-15a-5p suppresses peritoneal fibrosis induced by peritoneal dialysis via targeting VEGF in rats.
STAT3 signaling pathway is involved in the pathogenesis of miscarriage.
Magnesium Calcium Phosphate Cement Incorporating Citrate for Vascularized Bone Regeneration.
Small extracellular vesicle-bound vascular endothelial growth factor secreted by carcinoma-associated fibroblasts promotes angiogenesis in a bevacizumab-resistant manner.
KGF-2 and FGF-21 poloxamer 407 hydrogel coordinates inflammation and proliferation homeostasis to enhance wound repair of scalded skin in diabetic rats.
The role and mechanism of asymmetric dimethylarginine in fetal growth restriction via interference with endothelial function and angiogenesis.
Chitosan-calcium alginate dressing promotes wound healing: A preliminary study.
Pirfenidone ameliorates the formation of choroidal neovascularization in mice.
Exosomal encapsulation of miR-125a-5p inhibited trophoblast cell migration and proliferation by regulating the expression of VEGFA in preeclampsia.
Inhibition of miR-9 decreases osteosarcoma cell proliferation.
Human-like collagen promotes the healing of acetic acid-induced gastric ulcers in rats by regulating NOS and growth factors.
Synthesis and biological evaluation of novel 5,6,7-trimethoxy flavonoid salicylate derivatives as potential anti-tumor agents.
Inhibition of TRPA1 Promotes Cardiac Repair in Mice After Myocardial Infarction.
Ophiopogonin D promotes bone regeneration by stimulating CD31(hi) EMCN(hi) vessel formation.
PINCH-1 interacts with myoferlin to promote breast cancer progression and metastasis.
DKC1 enhances angiogenesis by promoting HIF-1α transcription and facilitates metastasis in colorectal cancer.
PTEN inhibitor VO-OHpic attenuates GC-associated endothelial progenitor cell dysfunction and osteonecrosis of the femoral head via activating Nrf2 signaling and inhibiting mitochondrial apoptosis pathway.
Genome-wide translational reprogramming of genes important for myocyte functions in overload-induced heart failure.
The effect of combining Endostar with radiotherapy on blood vessels, tumor-associated macrophages, and T cells in brain metastases of Lewis lung cancer.
The Inhibition of Protein Kinase C β Contributes to the Pathogenesis of Preeclampsia by Activating Autophagy.
Cytotoxic necrotizing factor 1 promotes bladder cancer angiogenesis through activating RhoC.
The efficacy and safety of cold atmospheric plasma as a novel therapy for diabetic wound in vitro and in vivo.
Exosomal circSHKBP1 promotes gastric cancer progression via regulating the miR-582-3p/HUR/VEGF axis and suppressing HSP90 degradation.
Genetic Deletion of Vasohibin-2 Exacerbates Ischemia-Reperfusion-Induced Acute Kidney Injury.
HnRNP A1 - mediated alternative splicing of CCDC50 contributes to cancer progression of clear cell renal cell carcinoma via ZNF395.
Major depression accompanied with inflammation and multiple cytokines alterations: Evidences from clinical patients to macaca fascicularis and LPS-induced depressive mice model.
Resveratrol inhibits the malignant progression of hepatocellular carcinoma via MARCH1-induced regulation of PTEN/AKT signaling.
Knockdown of KRT17 decreases osteosarcoma cell proliferation and the Warburg effect via the AKT/mTOR/HIF1α pathway.
An Endostatin-lentivirus (ES-LV)-EPC gene therapy agent for suppression of neovascularization in oxygen-induced retinopathy rat model.
Transplantation of Human Adipose Stem Cells Using Acellular Human Amniotic Membrane Improves Angiogenesis in Injured Endometrial Tissue in a Rat Intrauterine Adhesion Model.
Circular RNA circ_001621 promotes osteosarcoma cells proliferation and migration by sponging miR-578 and regulating VEGF expression.
LncRNA LINC00662 promotes colon cancer tumor growth and metastasis by competitively binding with miR-340-5p to regulate CLDN8/IL22 co-expression and activating ERK signaling pathway.
B7-H3 promotes colorectal cancer angiogenesis through activating the NF-κB pathway to induce VEGFA expression.
Losartan protects against intermittent hypoxia-induced peritubular capillary loss by modulating the renal renin-angiotensin system and angiogenesis factors.
MCP-1/CCR-2 axis in adipocytes and cancer cell respectively facilitates ovarian cancer peritoneal metastasis.
Knockdown of FBXO22 inhibits melanoma cell migration, invasion and angiogenesis via the HIF-1α/VEGF pathway.
Glass-activated regeneration of volumetric muscle loss.
Prodrug-Loaded Zirconium Carbide Nanosheets as a Novel Biophotonic Nanoplatform for Effective Treatment of Cancer.
Anti-angiogenic activity of ShengMaBieJia decoction in vitro and in acute myeloid leukaemia tumour-bearing mouse models.
The kinesin motor protein KIF4A as a potential therapeutic target in renal cell carcinoma.
Co-delivery of paclitaxel and anti-VEGF siRNA by tripeptide lipid nanoparticle to enhance the anti-tumor activity for lung cancer therapy.
Calcium dobesilate mediates renal interstitial fibrosis and delay renal peritubular capillary loss through Sirt1/p53 signaling pathway.
DHPAC, a novel microtubule depolymerizing agent, suppresses angiogenesis and vasculogenic mimicry formation of human non-small cell lung cancer.
Qingjie Fuzheng Granules regulates cancer cell proliferation, apoptosis and tumor angiogenesis in colorectal cancer xenograft mice via Sonic Hedgehog pathway.
Acorus tatarinowii Schott extract reduces cerebral edema caused by ischemia-reperfusion injury in rats: involvement in regulation of astrocytic NKCC1/AQP4 and JNK/iNOS-mediated signaling.
Bioactive multi-engineered hydrogel offers simultaneous promise against antibiotic resistance and wound damage.
Regorafenib suppresses epidermal growth factor receptor signaling-modulated progression of colorectal cancer.
Human salivary histatin-1 (Hst1) promotes bone morphogenetic protein 2 (BMP2)-induced osteogenesis and angiogenesis.
Intravenous anti-VEGF agents with RGD peptide-targeted core cross-linked star (CCS) polymers modified with indocyanine green for imaging and treatment of laser-induced choroidal neovascularization.
Magnetic targeting enhances the cutaneous wound healing effects of human mesenchymal stem cell-derived iron oxide exosomes.
Upregulation of miRNA-9-5p Promotes Angiogenesis after Traumatic Brain Injury by Inhibiting Ptch-1.
Reduction of FoxP3(+) Tregs by an immunosuppressive protocol of rapamycin plus Thymalfasin and Huaier extract predicts positive survival benefits in a rat model of hepatocellular carcinoma.
MicroRNA-574-5p in gastric cancer cells promotes angiogenesis by targeting protein tyrosine phosphatase non-receptor type 3 (PTPN3).
Intravaginal Administration of Human Type III Collagen-Derived Biomaterial with High Cell-Adhesion Activity to Treat Vaginal Atrophy in Rats.
Oncogenic MSH6-CXCR4-TGFB1 Feedback Loop: A Novel Therapeutic Target of Photothermal Therapy in Glioblastoma Multiforme.
Upregulation of OTUD7B (Cezanne) Promotes Tumor Progression via AKT/VEGF Pathway in Lung Squamous Carcinoma and Adenocarcinoma.
CAPE-pNO(2) Inhibited the Growth and Metastasis of Triple-Negative Breast Cancer via the EGFR/STAT3/Akt/E-Cadherin Signaling Pathway.
Unfolded Protein Response Pathways Correlatively Modulate Endoplasmic Reticulum Stress Responses in Rat Retinal Müller Cells.
VEGF Induce Vasculogenic Mimicry of Choroidal Melanoma through the PI3k Signal Pathway.
Maternal Diet-Induced Obesity Compromises Oxidative Stress Status and Angiogenesis in the Porcine Placenta by Upregulating Nox2 Expression.
FBXO22 Suppresses Metastasis in Human Renal Cell Carcinoma via Inhibiting MMP-9-Mediated Migration and Invasion and VEGF-Mediated Angiogenesis.
Metformin Promotes the Survival of Random-Pattern Skin Flaps by Inducing Autophagy via the AMPK-mTOR-TFEB signaling pathway.
Therapeutic potential of pravastatin for random skin flaps necrosis: involvement of promoting angiogenesis and inhibiting apoptosis and oxidative stress.
NLRP3 inflammasome activation by estrogen promotes the progression of human endometrial cancer.
Synergistic protection of tetramethylpyrazine phosphate and borneol on brain microvascular endothelium cells injured by hypoxia.
The effects of local injection of exosomes derived from BMSCs on random skin flap in rats.
Protective effects of resveratrol on random-pattern skin flap survival: an experimental study.
TINAGL1 promotes hepatocellular carcinogenesis through the activation of TGF-β signaling-medicated VEGF expression.
Catalpol Exerts a Neuroprotective Effect in the MPTP Mouse Model of Parkinson's Disease.
HIF1α/miR-520a-3p/AKT1/mTOR Feedback Promotes The Proliferation And Glycolysis Of Gastric Cancer Cells.
Monitoring the Early Antiproliferative Effect of the Analgesic-Antitumor Peptide, BmK AGAP on Breast Cancer Using Intravoxel Incoherent Motion With a Reduced Distribution of Four b-Values.
Cumingianoside A, a Phyto-Triterpenoid Saponin Inhibits Acquired BRAF Inhibitor Resistant Melanoma Growth via Programmed Cell Death.
Betulinic Acid Enhances the Viability of Random-Pattern Skin Flaps by Activating Autophagy.
RasGRP1 is a target for VEGF to induce angiogenesis and involved in the endothelial-protective effects of metformin under high glucose in HUVECs.
Protective effects of leonurine against ischemic stroke in mice by activating nuclear factor erythroid 2-related factor 2 pathway.
LINC00628 suppresses migration and invasion of hepatocellular carcinoma by its conserved region interacting with the promoter of VEGFA.
HOXA11-AS regulates JAK-STAT pathway by miR-15a-3p/STAT3 axis to promote the growth and metastasis in liver cancer.
Astilbin reduces ROS accumulation and VEGF expression through Nrf2 in psoriasis-like skin disease.
Downregulation of exosomal CLEC3B in hepatocellular carcinoma promotes metastasis and angiogenesis via AMPK and VEGF signals.
Vanillic acid attenuates cartilage degeneration by regulating the MAPK and PI3K/AKT/NF-κB pathways.
Apatinib inhibits glycolysis by suppressing the VEGFR2/AKT1/SOX5/GLUT4 signaling pathway in ovarian cancer cells.
A novel tetravalent bispecific antibody targeting programmed death 1 and tyrosine-protein kinase Met for treatment of gastric cancer.
CXCL12 promotes human ovarian cancer cell invasion through suppressing ARHGAP10 expression.
IL-10 knockdown with siRNA enhances the efficacy of Doxorubicin chemotherapy in EBV-positive tumors by inducing lytic cycle via PI3K/p38 MAPK/NF-kB pathway.
Repurposing propranolol as an antitumor agent in von Hippel-Lindau disease.
PinX1 represses renal cancer angiogenesis via the mir-125a-3p/VEGF signaling pathway.
Inhibiting Hypoxia and Chemotherapy-Induced Cancer Cell Metastasis under a Valid Therapeutic Effect by an Assistance of Biomimetic Oxygen Delivery.
Targeting Angiogenesis by Blocking the ATM-SerRS-VEGFA Pathway for UV-Induced Skin Photodamage and Melanoma Growth.
FGF21 augments autophagy in random-pattern skin flaps via AMPK signaling pathways and improves tissue survival.
LKB1/p53/TIGAR/autophagy-dependent VEGF expression contributes to PM2.5-induced pulmonary inflammatory responses.
Glycyrrhetinic acid-modified graphene oxide mediated siRNA delivery for enhanced liver-cancer targeting therapy.
Angiopoietin-like 4 binds neuropilins and cooperates with VEGF to induce diabetic macular edema.
Hypoxia promotes vasculogenic mimicry formation by vascular endothelial growth factor A mediating epithelial-mesenchymal transition in salivary adenoid cystic carcinoma.
SSRP1 promotes colorectal cancer progression and is negatively regulated by miR-28-5p.
Nano hydroxyapatite induces glioma cell apoptosis by suppressing NF-κB signaling pathway.
Sinomenine mitigates collagen-induced arthritis mice by inhibiting angiogenesis.
MiR-191 inhibit angiogenesis after acute ischemic stroke targeting VEZF1.
Cryogenic free-form extrusion bioprinting of decellularized small intestinal submucosa for potential applications in skin tissue engineering.
TFAP2B overexpression contributes to tumor growth and progression of thyroid cancer through the COX-2 signaling pathway.
VEGF Antagonism Attenuates Cerebral Ischemia/Reperfusion-Induced Injury via Inhibiting Endoplasmic Reticulum Stress-Mediated Apoptosis.
Oncostatin M-induced upregulation of SDF-1 improves Bone marrow stromal cell migration in a rat middle cerebral artery occlusion stroke model.
Autologous nanofat transplantation accelerates foot wound healing in diabetic rats.
Nuciferine inhibits the progression of glioblastoma by suppressing the SOX2-AKT/STAT3-Slug signaling pathway.
Dl-3-N-butylphthalide promotes angiogenesis and upregulates sonic hedgehog expression after cerebral ischemia in rats.
miR-15a-5p suppresses inflammation and fibrosis of peritoneal mesothelial cells induced by peritoneal dialysis via targeting VEGFA.
PTPN2 improved renal injury and fibrosis by suppressing STAT-induced inflammation in early diabetic nephropathy.
Highly Porous Microcarriers for Minimally Invasive In Situ Skeletal Muscle Cell Delivery.
Isocitrate dehydrogenase1 mutation reduces the pericyte coverage of microvessels in astrocytic tumours.
circ-CSPP1 promotes proliferation, invasion and migration of ovarian cancer cells by acting as a miR-1236-3p sponge.
Patient-derived bladder cancer xenograft models reveal VEGF and CDK4 enhancing tumor metastasis behavior.
Overexpression of the aryl hydrocarbon receptor nuclear translocator partially rescues fetoplacental angiogenesis in severe fetal growth restriction.
Metallothionein 3 Controls the Phenotype and Metabolic Programming of Alternatively Activated Macrophages.
The effects of cooking oil fumes-derived PM(2.5) on blood vessel formation through ROS-mediated NLRP3 inflammasome pathway in human umbilical vein endothelial cells.
The effect of intervertebral disc degenerative change on biological characteristics of nucleus pulposus mesenchymal stem cell: an in vitro study in rats.
Cancer-associated fibroblasts show heterogeneous gene expression and induce vascular endothelial growth factor A (VEGFA) in response to environmental stimuli.
Long-term pulmonary exposure to multi-walled carbon nanotubes promotes breast cancer metastatic cascades.
PTBP3 contributes to colorectal cancer growth and metastasis via translational activation of HIF-1α.
Exosomal miR-1229 derived from colorectal cancer cells promotes angiogenesis by targeting HIPK2.
Topical application of phenytoin or nifedipine-loaded PLGA microspheres promotes periodontal regeneration in vivo.
Human amnion-derived mesenchymal stem cell (hAD-MSC) transplantation improves ovarian function in rats with premature ovarian insufficiency (POI) at least partly through a paracrine mechanism.
Anti-breast Cancer Activity of SPG-56 from Sweet Potato in MCF-7 Bearing Mice in Situ through Promoting Apoptosis and Inhibiting Metastasis.
Regulatory effects of dermal papillary pluripotent stem cells on polarization of macrophages from M1 to M2 phenotype in vitro.
Osterix promotes the migration and angiogenesis of breast cancer by upregulation of S100A4 expression.
Exosome-mediated targeted delivery of miR-210 for angiogenic therapy after cerebral ischemia in mice.
Nano-Gold Loaded with Resveratrol Enhance the Anti-Hepatoma Effect of Resveratrol In Vitro and In Vivo.
Carpesium abrotanoides (L.) Root as a Potential Source of Natural Anticancer Compounds: Targeting Glucose Metabolism and PKM2/HIF-1α Axis of Breast Cancer Cells.
Vascular endothelial growth factor A/Vascular endothelial growth factor receptor 2 axis promotes human dental pulp stem cell migration via the FAK/PI3K/Akt and p38 MAPK signalling pathways.
STRIP2 silencing inhibits vascular smooth muscle cell proliferation and migration via P38-AKT-MMP-2 signaling pathway.
CircRhoC promotes tumorigenicity and progression in ovarian cancer by functioning as a miR-302e sponge to positively regulate VEGFA.
Fufang Xueshuantong protects retinal vascular endothelial cells from high glucose by targeting YAP.
Extremely Effective Chemoradiotherapy by Inducing Immunogenic Cell Death and Radio-Triggered Drug Release under Hypoxia Alleviation.
PRMT4 overexpression aggravates cardiac remodeling following myocardial infarction by promoting cardiomyocyte apoptosis.
FAM46B suppresses proliferation, migration and invasion of non-small cell lung cancer via β-catenin/MMP7 signaling.
Cystathionine‑γ‑lyase promotes the metastasis of breast cancer via the VEGF signaling pathway.
Curcumin suppresses intestinal microvascular endothelial cells invasion and angiogenesis induced by activated platelets.
Krüppel-like factor 3 inhibition by mutated lncRNA Reg1cp results in human high bone mass syndrome.
Astaxanthin ameliorates renal interstitial fibrosis and peritubular capillary rarefaction in unilateral ureteral obstruction.
Rapamycin improves bone mass in high-turnover osteoporosis with iron accumulation through positive effects on osteogenesis and angiogenesis.
Mild thermotherapy and hyperbaric oxygen enhance sensitivity of TMZ/PSi nanoparticles via decreasing the stemness in glioma.
Targeted Delivery of miRNA 155 to Tumor Associated Macrophages for Tumor Immunotherapy.
Salvianolic Acid B Promotes the Survival of Random-Pattern Skin Flaps in Rats by Inducing Autophagy.
Fangchinoline Ameliorates the Expressions of Angiogenic Molecule in Cerebral Ischemia Induced Neuronal Degeneration in Neonatal Rats.
Ligand Activation of PPARγ by Ligustrazine Suppresses Pericyte Functions of Hepatic Stellate Cells via SMRT-Mediated Transrepression of HIF-1α.
In Vitro and In Vivo Inhibitory Effect of Gujin Xiaoliu Tang in Non-Small Cell Lung Cancer.
Wenyang Huazhuo Tongluo formula inhibits fibrosis via suppressing Wnt/β-catenin signaling pathway in a Bleomycin-induced systemic sclerosis mouse model.
Comparative study of nanostructured carriers of calcium phosphate and magnesium phosphate loaded with SRT1720 for the protection of H(2)O(2)-induced senescent endothelium.
miR-125a-5p suppresses colorectal cancer progression by targeting VEGFA.
Recombinant human maspin inhibits high glucose-induced oxidative stress and angiogenesis of human retinal microvascular endothelial cells via PI3K/AKT pathway.
MiR-140-5p inhibits larynx carcinoma invasion and angiogenesis by targeting VEGF-A.
LncRNA TDRG1 enhances tumorigenicity in endometrial carcinoma by binding and targeting VEGF-A protein.
Impact of G-CSF on expressions of Egr-1 and VEGF in acute ischemic cerebral injury.
Protective roles of NRF2 signaling pathway in cobalt chloride-induced hypoxic cytotoxicity in human HaCaT keratinocytes.
Maternal obesity aggravates the abnormality of porcine placenta by increasing N(6)-methyladenosine.
Catalpol Promotes the Survival and VEGF Secretion of Bone Marrow-Derived Stem Cells and Their Role in Myocardial Repair After Myocardial Infarction in Rats.
Low-Dose Radiation Enhanced Inhibition of Breast Tumor Xenograft and Reduced Myocardial Injury Induced by Doxorubicin.
Melanoma cell-secreted exosomal miR-155-5p induce proangiogenic switch of cancer-associated fibroblasts via SOCS1/JAK2/STAT3 signaling pathway.
MicroRNA-9 modified bone marrow-derived mesenchymal stem cells (BMSCs) repair severe acute pancreatitis (SAP) via inducing angiogenesis in rats.
Effects of l-arginine on endometrial microvessel density in nutrient-restricted Hu sheep.
CRISPR/Cas9‑mediated hypoxia inducible factor‑1α knockout enhances the antitumor effect of transarterial embolization in hepatocellular carcinoma.
Synchronous delivery of oxygen and photosensitizer for alleviation of hypoxia tumor microenvironment and dramatically enhanced photodynamic therapy.
Hypoxic tumor therapy by hemoglobin-mediated drug delivery and reversal of hypoxia-induced chemoresistance.
The relationship between lncRNA PCGEM1 and STAT3 during the occurrence and development of endometrial carcinoma.
Arsenic Trioxide Suppressed Migration and Angiogenesis by Targeting FOXO3a in Gastric Cancer Cells.
Sericin hydrogels promote skin wound healing with effective regeneration of hair follicles and sebaceous glands after complete loss of epidermis and dermis.
Autocrine IL-1β mediates the promotion of corneal neovascularization by senescent fibroblasts.
Modification of α2,6-sialylation mediates the invasiveness and tumorigenicity of non-small cell lung cancer cells in vitro and in vivo via Notch1/Hes1/MMPs pathway.
Positive-Feedback Regulation of Subchondral H-Type Vessel Formation by Chondrocyte Promotes Osteoarthritis Development in Mice.
Slit2/Robo1 signaling is involved in angiogenesis of glomerular endothelial cells exposed to a diabetic-like environment.
Activation of AMPK by simvastatin inhibited breast tumor angiogenesis via impeding HIF-1α-induced pro-angiogenic factor.
CCN1/Cyr61 enhances the function of hepatic stellate cells in promoting the progression of hepatocellular carcinoma.
Molecular Mechanisms Underlying the Inhibitory Effects of Qingzaojiufei Decoction on Tumor Growth in Lewis Lung Carcinoma.
NaoXinTong Capsules inhibit the development of diabetic nephropathy in db/db mice.
Atrazine exposure improves the proliferation of H22 cells in vitro and in vivo.
AMPK/GSK3β/β-catenin cascade-triggered overexpression of CEMIP promotes migration and invasion in anoikis-resistant prostate cancer cells by enhancing metabolic reprogramming.
Expression of TBC1D16 Is Associated with Favorable Prognosis of Epithelial Ovarian Cancer.
The effect of gap junction-mediated transfer of miR-200b on osteogenesis and angiogenesis in a co-culture of MSCs and HUVECs.
Angiogenesis and Full-Thickness Wound Healing Efficiency of a Copper-Doped Borate Bioactive Glass/Poly(lactic- co-glycolic acid) Dressing Loaded with Vitamin E in Vivo and in Vitro.
Role of c-Met in the progression of human oral squamous cell carcinoma and its potential as a therapeutic target.
Repulsive guidance molecule a suppresses angiogenesis after ischemia/reperfusion injury of middle cerebral artery occlusion in rats.
HMGB1-induced angiogenesis in perforated disc cells of human temporomandibular joint.
PUM1 promotes ovarian cancer proliferation, migration and invasion.
ATAD2 silencing decreases VEGFA secretion through targeting has-miR-520a to inhibit angiogenesis in colorectal cancer.
Metformin suppresses hypoxia‑induced migration via the HIF‑1α/VEGF pathway in gallbladder cancer in vitro and in vivo.
Combination antitumor immunotherapy with VEGF and PIGF siRNA via systemic delivery of multi-functionalized nanoparticles to tumor-associated macrophages and breast cancer cells.
4'-hydroxywogonin inhibits colorectal cancer angiogenesis by disrupting PI3K/AKT signaling.
Tamoxifen attenuates dialysate-induced peritoneal fibrosis by inhibiting GSK-3β/β-catenin axis activation.
Low dosage of arsenic trioxide (As(2)O(3)) inhibits angiogenesis in epithelial ovarian cancer without cell apoptosis.
LncRNA ABHD11-AS1 promotes the development of endometrial carcinoma by targeting cyclin D1.
PEP06 polypeptide 30 exerts antitumour effect in colorectal carcinoma via inhibiting epithelial-mesenchymal transition.
Triptolide inhibits vascular endothelial growth factor-mediated angiogenesis in human breast cancer cells.
Mini-peptide RPL41 attenuated retinal neovascularization by inducing degradation of ATF4 in oxygen-induced retinopathy mice.
Progesterone attenuates airway remodeling and glucocorticoid resistance in a murine model of exposing to ozone.
TLR9 (Toll-Like Receptor 9) Agonist Suppresses Angiogenesis by Differentially Regulating VEGFA (Vascular Endothelial Growth Factor A) and sFLT1 (Soluble Vascular Endothelial Growth Factor Receptor 1) in Preeclampsia.
Generation of an anti-angiogenic endothelial progenitor cell line via endostatin gene transfer.
Notch activity mediates oestrogen-induced stromal cell invasion in endometriosis.
Double Knockdown of PHD1 and Keap1 Attenuated Hypoxia-Induced Injuries in Hepatocytes.
Triptolide Inhibits the AR Signaling Pathway to Suppress the Proliferation of Enzalutamide Resistant Prostate Cancer Cells.
Liposomal Nanoparticles Carrying anti-IL6R Antibody to the Tumour Microenvironment Inhibit Metastasis in Two Molecular Subtypes of Breast Cancer Mouse Models.
β-Catenin Cooperates with CREB Binding Protein to Promote the Growth of Tumor Cells.
CCR7/p-ERK1/2/VEGF signaling promotes retinal neovascularization in a mouse model of oxygen-induced retinopathy.
Expression and significance of GRHL2 in esophageal cancer.
Astilbin decreases proliferation and improves differentiation in HaCaT keratinocytes.
Early changes in retinal structure and BMP2 expression in the retina and crystalline lens of streptozotocin-induced diabetic pigs.
CircHIPK3 sponges miR-558 to suppress heparanase expression in bladder cancer cells.
Suppression of hypoxia-induced excessive angiogenesis by metformin via elevating tumor blood perfusion.
A highly bioactive bone extracellular matrix-biomimetic nanofibrous system with rapid angiogenesis promotes diabetic wound healing.
Autophagy-induced KDR/VEGFR-2 activation promotes the formation of vasculogenic mimicry by glioma stem cells.
Juglone reduces growth and migration of U251 glioblastoma cells and disrupts angiogenesis.
Effects of lentivirus-mediated endostatin on endothelial progenitor cells.
Inhibited effects of CAPE-pNO(2) on cervical carcinoma in vivo and in vitro and its detected metabolites.
Fascaplysin inhibit ovarian cancer cell proliferation and metastasis through inhibiting CDK4.
The transcription factor FOXA1 induces epithelial ovarian cancer tumorigenesis and progression.
Canonical hedgehog signalling regulates hepatic stellate cell-mediated angiogenesis in liver fibrosis.
Activation of E-prostanoid 3 receptor in macrophages facilitates cardiac healing after myocardial infarction.
Renal cell carcinoma with synchronous ipsilateral urothelial carcinoma of the renal pelvis.
Increased levels of LAPTM4B, VEGF and survivin are correlated with tumor progression and poor prognosis in breast cancer patients.
The synthetic antihyperlipidemic drug potassium piperate selectively kills breast cancer cells through inhibiting G1-S-phase transition and inducing apoptosis.
In vivo inhibitory activity of andrographolide derivative ADN-9 against liver cancer and its mechanisms involved in inhibition of tumor angiogenesis.
Simvastatin inhibits tumor angiogenesis in HER2-overexpressing human colorectal cancer.
Hyaluronidase 2 Deficiency Causes Increased Mesenchymal Cells, Congenital Heart Defects, and Heart Failure.
Efficacy of Ciji Hua'ai Baosheng formula on the expressions of vascular endothelial growth factor, kinase insert domain-containing receptor and basic fibroblast growth factor in mouse models of H(22) hepatocellular carcinoma.
VEGF treatment promotes bone marrow-derived CXCR4(+) mesenchymal stromal stem cell differentiation into vessel endothelial cells.
MicroRNA-29c functions as a tumor suppressor by targeting VEGFA in lung adenocarcinoma.
LncRNA MEG3 inhibit endometrial carcinoma tumorigenesis and progression through PI3K pathway.
Hyperthermia with different temperatures inhibits proliferation and promotes apoptosis through the EGFR/STAT3 pathway in C6 rat glioma cells.
Effects of quercetin on the expression of MCP-1, MMP-9 and VEGF in rats with diabetic retinopathy.
Anti-colon cancer effect of caffeic acid p-nitro-phenethyl ester in vitro and in vivo and detection of its metabolites.
IL-6 promotes epithelial-to-mesenchymal transition of human peritoneal mesothelial cells possibly through the JAK2/STAT3 signaling pathway.
GHK-Cu-liposomes accelerate scald wound healing in mice by promoting cell proliferation and angiogenesis.
SRT1720, a SIRT1 specific activator, protected H2O2-induced senescent endothelium.
Impaired VEGF Signaling in Lungs with Hypoplastic Esophageal Atresia and Effects on Branching Morphogenesis.
MACC-1 Promotes Endothelium-Dependent Angiogenesis in Gastric Cancer by Activating TWIST1/VEGF-A Signal Pathway.
ZEB1 Upregulates VEGF Expression and Stimulates Angiogenesis in Breast Cancer.
IL-1β-regulating angiogenic factors expression in perforated temporomandibular disk cells via NF-κB pathway.
Evodiamine exerts anti-tumor effects against hepatocellular carcinoma through inhibiting β-catenin-mediated angiogenesis.
Effects of Sanguis Draconis on Perforator Flap Survival in Rats.
Microtubule-associated protein 4 is an important regulator of cell invasion/migration and a potential therapeutic target in esophageal squamous cell carcinoma.
CDK5 functions as a tumor promoter in human colorectal cancer via modulating the ERK5-AP-1 axis.
Tetraiodothyroacetic acid and transthyretin silencing inhibit pro-metastatic effect of L-thyroxin in anoikis-resistant prostate cancer cells through regulation of MAPK/ERK pathway.
A DNA dual lock-and-key strategy for cell-subtype-specific siRNA delivery.
Quantitative proteomics reveals molecular mechanism of gamabufotalin and its potential inhibition on Hsp90 in lung cancer.
Atrazine promotes RM1 prostate cancer cell proliferation by activating STAT3 signaling.
Association between the expression of HIF-1α and VEGF and prognostic implications in primary liver cancer.
Recombinant adeno-associated virus-delivered anginex inhibits angiogenesis and growth of HUVECs by regulating the Akt, JNK and NF-κB signaling pathways.
Treatment of diabetes mellitus-induced erectile dysfunction using endothelial progenitor cells genetically modified with human telomerase reverse transcriptase.
Pigment epithelium-derived factor (PEDF): a novel trophoblast-derived factor limiting feto-placental angiogenesis in late pregnancy.
Hypergravity Effects on the Retina and Intraocular Pressure in Mice.
Overexpression of YB1 C-terminal domain inhibits proliferation, angiogenesis and tumorigenicity in a SK-BR-3 breast cancer xenograft mouse model.
Placental NRP1 and VEGF expression in pre-eclamptic women and in a homocysteine-treated mouse model of pre-eclampsia.
Effect of vascular endothelial growth factor siRNA and wild‑type p53 co‑expressing plasmid in MDA‑MB‑231 cells.
The epigenetic regulation of HIF-1α by SIRT1 in MPP(+) treated SH-SY5Y cells.
MicroRNA-101 targets von Hippel-Lindau tumor suppressor (VHL) to induce HIF1α mediated apoptosis and cell cycle arrest in normoxia condition.
Osteoblasts secrete Cxcl9 to regulate angiogenesis in bone.
Conditional Deletion of Smad1 Ameliorates Glomerular Injury in Progressive Glomerulonephritis.
Activation of G protein-coupled estrogen receptor 1 (GPER-1) ameliorates blood-brain barrier permeability after global cerebral ischemia in ovariectomized rats.
The mTOR/AP-1/VEGF signaling pathway regulates vascular endothelial cell growth.
Upregulation of proangiogenic factors expression in the synovium of temporomandibular joint condylar hyperplasia.
Selenium-substituted hydroxyapatite nanoparticles and their in vivo antitumor effect on hepatocellular carcinoma.
Pulsed electromagnetic field improves postnatal neovascularization in response to hindlimb ischemia.
Progranulin promotes colorectal cancer proliferation and angiogenesis through TNFR2/Akt and ERK signaling pathways.
Bone Marrow-Derived Mesenchymal Stem Cells Repair Necrotic Pancreatic Tissue and Promote Angiogenesis by Secreting Cellular Growth Factors Involved in the SDF-1 α /CXCR4 Axis in Rats.
FOXQ1 mediates the crosstalk between TGF-β and Wnt signaling pathways in the progression of colorectal cancer.
Pericytes contribute to the disruption of the cerebral endothelial barrier via increasing VEGF expression: implications for stroke.
MiR-497 suppresses angiogenesis and metastasis of hepatocellular carcinoma by inhibiting VEGFA and AEG-1.
Characterization of the metastatic phenotype of a panel of established osteosarcoma cells.
Transarterial chemoembolization aggravated peritumoral fibrosis via hypoxia-inducible factor-1α dependent pathway in hepatocellular carcinoma.
Administration of Danhong Injection to diabetic db/db mice inhibits the development of diabetic retinopathy and nephropathy.
Molecular mechanism of epigallocatechin-3-gallate in human esophageal squamous cell carcinoma in vitro and in vivo.
Impaired fetoplacental angiogenesis in growth-restricted fetuses with abnormal umbilical artery doppler velocimetry is mediated by aryl hydrocarbon receptor nuclear translocator (ARNT).
Expression profile of apoptotic and proliferative proteins in hypoxic HUVEC treated with statins.
Knee loading protects against osteonecrosis of the femoral head by enhancing vessel remodeling and bone healing.
Suppression of tumor angiogenesis by metformin treatment via a mechanism linked to targeting of HER2/HIF-1α/VEGF secretion axis.
Folic acid attenuates dexamethasone-induced placental growth restriction.
Tongxinluo protects against pressure overload-induced heart failure in mice involving VEGF/Akt/eNOS pathway activation.
MicroRNA-410 reduces the expression of vascular endothelial growth factor and inhibits oxygen-induced retinal neovascularization.
Maternal protein restriction alters VEGF signaling and decreases pulmonary alveolar in fetal rats.
Angiogenesis effect of therapeutic ultrasound on ischemic hind limb in mice.
Small islets transplantation superiority to large ones: implications from islet microcirculation and revascularization.
The oncoprotein HBXIP enhances angiogenesis and growth of breast cancer through modulating FGF8 and VEGF.
Overexpression of FOXM1 predicts poor prognosis and promotes cancer cell proliferation, migration and invasion in epithelial ovarian cancer.
Genome-wide analysis of miRNA-mRNA interactions in marrow stromal cells.
Matrine-induced apoptosis of human nasopharyngeal carcinoma cells via in vitro vascular endothelial growth factor-A/extracellular signal-regulated kinase1/2 pathway inactivation.
Up-regulated isocitrate dehydrogenase 1 suppresses proliferation, migration and invasion in osteosarcoma: in vitro and in vivo.
Tongxinluo Improves Cardiac Function and Ameliorates Ventricular Remodeling in Mice Model of Myocardial Infarction through Enhancing Angiogenesis.
Expression of ATF4 and VEGF in chorionic villus tissue in early spontaneous abortion.
c-myc but not Hif-1α-dependent downregulation of VEGF influences the proliferation and differentiation of HL-60 cells induced by ATRA.
MicroRNA-503 targets FGF2 and VEGFA and inhibits tumor angiogenesis and growth.
Necrosis degree displayed in computed tomography images correlated with hypoxia and angiogenesis in breast cancer.
Upregulation of nucleus HDGF predicts poor prognostic outcome in patients with penile squamous cell carcinoma bypass VEGF-A and Ki-67.
Liu Y, Wang Z, Tang Z, Fu Y, Wang L
Current cancer drug targets 2024;24(4):463-475
Current cancer drug targets 2024;24(4):463-475
Huaier suppresses cell viability, migration and invasion in human non-small cell lung cancer via lncRNA DLEU2/miR-212-5p/ELF3 axis.
Wu T, Liu S, Chen W, Zhao D, Lu Z
International journal of medical sciences 2024;21(2):319-331
International journal of medical sciences 2024;21(2):319-331
The anti-tumor activity of tangeretin in esophageal squamous cell carcinoma by inhibiting GLI2-mediated transcription of GPNMB.
Yang D, Zhang Q, Kuang H, Liu J, Wu S, Wei L, Yao W
PloS one 2024;19(6):e0291531
PloS one 2024;19(6):e0291531
Trimethylamine N-oxide aggravates vascular permeability and endothelial cell dysfunction under diabetic condition: in vitro and in vivo study.
Jiang JY, Liu WM, Zhang QP, Ren H, Yao QY, Liu GQ, Lu PR
International journal of ophthalmology 2024;17(1):25-33
International journal of ophthalmology 2024;17(1):25-33
Engineered therapeutic antibodies with mannose 6-phosphate analogues as a tool to degrade extracellular proteins.
Daurat M, Gauthier C, El Cheikh K, Ali LMA, Morère E, Bettache N, Gary-Bobo M, Morère A, Garcia M, Maynadier M, Basile I
Frontiers in immunology 2024;15:1273280
Frontiers in immunology 2024;15:1273280
Exosomes Derived from Meningitic Escherichia coli-Infected Brain Microvascular Endothelial Cells Facilitate Astrocyte Activation.
Yang R, Qu X, Zhi S, Wang J, Fu J, Tan C, Chen H, Wang X
Molecular neurobiology 2024 Sep;61(9):7195-7210
Molecular neurobiology 2024 Sep;61(9):7195-7210
Enhancing Fat Transplantation Efficiency in a Mouse Model through Pretreatment of Adipose-Derived Stem Cells with RIP3 Inhibitors.
Yang Z, Lu H, Gao Q, Yuan X, Hu Y, Qi Z
Aesthetic plastic surgery 2024 Sep;48(17):3488-3499
Aesthetic plastic surgery 2024 Sep;48(17):3488-3499
Bevacizumab induces ferroptosis and enhances CD8(+) T cell immune activity in liver cancer via modulating HAT1 and increasing IL-9.
Hou CY, Lv P, Yuan HF, Zhao LN, Wang YF, Zhang HH, Yang G, Zhang XD
Acta pharmacologica Sinica 2024 Sep;45(9):1951-1963
Acta pharmacologica Sinica 2024 Sep;45(9):1951-1963
Elucidating the molecular mechanisms behind the therapeutic impact of median nerve stimulation on cognitive dysfunction post-traumatic brain injury.
Zhong YJ, Liu LL, Zhao Y, Feng Z, Liu Y
Experimental gerontology 2024 Sep;194:112500
Experimental gerontology 2024 Sep;194:112500
Foxp1 suppresses cortical angiogenesis and attenuates HIF-1alpha signaling to promote neural progenitor cell maintenance.
Buth JE, Dyevich CE, Rubin A, Wang C, Gao L, Marks T, Harrison MR, Kong JH, Ross ME, Novitch BG, Pearson CA
EMBO reports 2024 May;25(5):2202-2219
EMBO reports 2024 May;25(5):2202-2219
Homocysteine potentiates amyloid β -induced death receptor 4- and 5-mediated cerebral endothelial cell apoptosis, blood brain barrier dysfunction and angiogenic impairment.
Carey A, Parodi-Rullan R, Vazquez-Torres R, Canepa E, Fossati S
Aging cell 2024 May;23(5):e14106
Aging cell 2024 May;23(5):e14106
Endorepellin downregulation promotes angiogenesis after experimental traumatic brain injury.
Zhang Q, Jing Y, Gong Q, Cai L, Wang R, Yang D, Wang L, Qu M, Chen H, Tang Y, Tian H, Ding J, Xu Z
Neural regeneration research 2024 May;19(5):1092-1097
Neural regeneration research 2024 May;19(5):1092-1097
Electrospun Biomimetic Periosteum Capable of Controlled Release of Multiple Agents for Programmed Promoting Bone Regeneration.
Zhao X, Zhuang Y, Cao Y, Cai F, Lv Y, Zheng Y, Yang J, Shi X
Advanced healthcare materials 2024 May;13(12):e2303134
Advanced healthcare materials 2024 May;13(12):e2303134
Vasorin promotes endothelial differentiation of glioma stem cells via stimulating the transcription of VEGFR2.
Qin Z, Zhong Y, Li P, Ma Z, Kang H, Huang Y, Zhong Y, Wang L
FASEB journal : official publication of the Federation of American Societies for Experimental Biology 2024 May 31;38(10):e23682
FASEB journal : official publication of the Federation of American Societies for Experimental Biology 2024 May 31;38(10):e23682
Human Umbilical Cord Mesenchymal Stromal Cell-Derived Extracellular Vesicles Induce Fetal Wound Healing Features Revealed by Single-Cell RNA Sequencing.
Liu Y, Zhang M, Wang C, Chen H, Su D, Yang C, Tao Y, Lv X, Zhou Z, Li J, Liao Y, You J, Wang Z, Cheng F, Yang R
ACS nano 2024 May 28;18(21):13696-13713
ACS nano 2024 May 28;18(21):13696-13713
The Therapeutic Effects of Baicalein on the Hepatopulmonary Syndrome in the Rat Model of Chronic Common Bile Duct Ligation.
Zeng Z, Lei Y, Yang C, Wu X, Zhang L, Yang Z, Chen L, Wang X, Belguise K, Li Y, Yi B
Journal of clinical and translational hepatology 2024 May 28;12(5):496-504
Journal of clinical and translational hepatology 2024 May 28;12(5):496-504
A recombinant plasmid encoding human hepatocyte growth factor promotes healing of combined radiation-trauma skin injury involved in regulating Nrf2 pathway in mice.
Li D, Lu Y, Xiao F, Cheng X, Hu C, Zhu X, Wang X, Duan H, Du L, Zhang Q
Journal of radiation research 2024 May 23;65(3):279-290
Journal of radiation research 2024 May 23;65(3):279-290
Detoxification and Activating Blood Circulation Decoction Promotes Reendothelialization of Damaged Blood Vessels via VEGF Signaling Pathway Activation by miRNA-126.
Liu Z, Xie G, Li Z, Luo H, Zhou J, Cheng J, Wang X, Huang X, Zou G
Biological & pharmaceutical bulletin 2024 May 15;47(5):955-964
Biological & pharmaceutical bulletin 2024 May 15;47(5):955-964
Knee Osteotomy Decreases Joint Inflammation Based on Synovial Histology and Synovial Fluid Analysis.
Watanabe S, Matsushita T, Nishida K, Nagai K, Hoshino Y, Matsumoto T, Kuroda R
Arthroscopy : the journal of arthroscopic & related surgery : official publication of the Arthroscopy Association of North America and the International Arthroscopy Association 2024 Mar;40(3):830-843
Arthroscopy : the journal of arthroscopic & related surgery : official publication of the Arthroscopy Association of North America and the International Arthroscopy Association 2024 Mar;40(3):830-843
Photothermal and Photocatalytic Glycol Chitosan and Polydopamine-Grafted Oxygen Vacancy Bismuth Oxyiodide (BiO(1-x) I) Nanoparticles for the Diagnosis and Targeted Therapy of Diabetic Wounds.
Kong J, Ma S, Chu R, Liu J, Yu H, Mao M, Ge X, Sun Y, Wang Y
Advanced materials (Deerfield Beach, Fla.) 2024 Mar;36(11):e2307695
Advanced materials (Deerfield Beach, Fla.) 2024 Mar;36(11):e2307695
Engineered mesenchymal stem cell-derived small extracellular vesicles for diabetic retinopathy therapy through HIF-1α/EZH2/PGC-1α pathway.
Sun F, Sun Y, Wang X, Zhu J, Chen S, Yu Y, Zhu M, Xu W, Qian H
Bioactive materials 2024 Mar;33:444-459
Bioactive materials 2024 Mar;33:444-459
Enhancement of de novo lipogenesis by the IDH1 and IDH2-dependent reverse TCA cycle maintains the growth and angiogenic capacity of bone marrow-derived endothelial progenitor cells under hypoxia.
He Q, Yu T, Chen J, Liang J, Lin D, Yan K, Xie Z, Song Y, Chen Z
Free radical biology & medicine 2024 Mar;213:327-342
Free radical biology & medicine 2024 Mar;213:327-342
ADSC-Exos enhance functional recovery after spinal cord injury by inhibiting ferroptosis and promoting the survival and function of endothelial cells through the NRF2/SLC7A11/GPX4 pathway.
Wu S, Chen Z, Wu Y, Shi Q, Yang E, Zhang B, Qian Y, Lian X, Xu J
Biomedicine & pharmacotherapy = Biomedecine & pharmacotherapie 2024 Mar;172:116225
Biomedicine & pharmacotherapy = Biomedecine & pharmacotherapie 2024 Mar;172:116225
The hydroxamic acid derivative YPX-C-05 alleviates hypertension and vascular dysfunction through the PI3K/Akt/eNOS pathway.
Pang PP, Sun H, Yu PX, Yang WM, Zheng YT, Li X, Zheng CB
Vascular pharmacology 2024 Mar;154:107251
Vascular pharmacology 2024 Mar;154:107251
Characterization of Chitosan-Gallic Acid Graft Copolymer for Periodontal Dressing Hydrogel Application.
Feng M, Zeng X, Lin Q, Wang Y, Wei H, Yang S, Wang G, Chen X, Guo M, Yang X, Hu J, Zhang Y, Yang X, Du Y, Zhao Y
Advanced healthcare materials 2024 Mar;13(7):e2302877
Advanced healthcare materials 2024 Mar;13(7):e2302877
3D Printed Photothermal Scaffold Sandwiching Bacteria Inside and Outside Improves The Infected Microenvironment and Repairs Bone Defects.
Zhao Y, Kang H, Xia Y, Sun L, Li F, Dai H
Advanced healthcare materials 2024 Mar;13(6):e2302879
Advanced healthcare materials 2024 Mar;13(6):e2302879
Interleukin-22 Contributes to Blood-Brain Barrier Disruption via STAT3/VEGFA Activation in Escherichia coli Meningitis.
Yang R, Chen J, Qu X, Liu H, Wang X, Tan C, Chen H, Wang X
ACS infectious diseases 2024 Mar 8;10(3):988-999
ACS infectious diseases 2024 Mar 8;10(3):988-999
Co-targeting CD47 and VEGF elicited potent anti-tumor effects in gastric cancer.
Zhang K, Xu Y, Chang X, Xu C, Xue W, Ding D, Nie M, Cai H, Xu J, Zhan L, Han J, Cai T, Ju D, Feng L, Zhang X, Yin K
Cancer immunology, immunotherapy : CII 2024 Mar 27;73(4):75
Cancer immunology, immunotherapy : CII 2024 Mar 27;73(4):75
Protective Effect of Pemafibrate Treatment against Diabetic Retinopathy in Spontaneously Diabetic Torii Fatty Rats.
Tanaka Y, Takagi R, Mitou S, Shimmura M, Hasegawa T, Amarume J, Shinohara M, Kageyama Y, Sasase T, Ohta T, Muramatsu SI, Kakehashi A, Kaburaki T
Biological & pharmaceutical bulletin 2024 Mar 27;47(3):713-722
Biological & pharmaceutical bulletin 2024 Mar 27;47(3):713-722
Roseburia intestinalis sensitizes colorectal cancer to radiotherapy through the butyrate/OR51E1/RALB axis.
Dong J, Wang B, Xiao Y, Liu J, Wang Q, Xiao H, Jin Y, Liu Z, Chen Z, Li Y, Fan S, Li Y, Cui M
Cell reports 2024 Mar 26;43(3):113846
Cell reports 2024 Mar 26;43(3):113846
Cordyceps sinensis relieves non-small cell lung cancer by inhibiting the MAPK pathway.
Lu T, Zhou L, Chu Z, Song Y, Wang Q, Zhao M, Dai C, Chen L, Cheng G, Wang J, Guo Q
Chinese medicine 2024 Mar 25;19(1):54
Chinese medicine 2024 Mar 25;19(1):54
FBXO22 promotes glioblastoma malignant progression by mediating VHL ubiquitination and degradation.
Shen Z, Dong T, Yong H, Deng C, Chen C, Chen X, Chen M, Chu S, Zheng J, Li Z, Bai J
Cell death discovery 2024 Mar 23;10(1):151
Cell death discovery 2024 Mar 23;10(1):151
Cathepsin K inhibition alleviates periodontal bone resorption by promoting type H vessel formation through PDGF-BB/PDGFR-β axis.
Zhou H, Zhang YF, Zhang QQ, Liu F, Zhang JY, Chen Y
Oral diseases 2024 Mar 11;
Oral diseases 2024 Mar 11;
The mechanism of EGFL7 regulating neovascularization in diabetic retinopathy through the PI3K/AKT/VEGFA pathway.
Xian Y, Wang X, Yu Y, Chen X
Life sciences 2024 Mar 1;340:122483
Life sciences 2024 Mar 1;340:122483
Tracing the Change and Contribution of Subcutaneous Adipose to Skin Expansion Using a Luciferase-Transgenic Fat Transplantation Model.
Zhou SB, Zhang PQ, Zhang XJ, Tan PC, Kobayashi E, Li QF
Plastic and reconstructive surgery 2024 Mar 1;153(3):558e-567e
Plastic and reconstructive surgery 2024 Mar 1;153(3):558e-567e
Celastrol enhances the viability of random-pattern skin flaps by regulating autophagy through the AMPK-mTOR-TFEB axis.
Gu M, Li C, Deng Q, Chen X, Lei R
Phytotherapy research : PTR 2024 Jun;38(6):3020-3036
Phytotherapy research : PTR 2024 Jun;38(6):3020-3036
Cupric-polymeric nanoreactors integrate into copper metabolism to promote chronic diabetic wounds healing.
Tang Q, Tan Y, Leng S, Liu Q, Zhu L, Wang C
Materials today. Bio 2024 Jun;26:101087
Materials today. Bio 2024 Jun;26:101087
Modeling blood-brain barrier formation and cerebral cavernous malformations in human PSC-derived organoids.
Dao L, You Z, Lu L, Xu T, Sarkar AK, Zhu H, Liu M, Calandrelli R, Yoshida G, Lin P, Miao Y, Mierke S, Kalva S, Zhu H, Gu M, Vadivelu S, Zhong S, Huang LF, Guo Z
Cell stem cell 2024 Jun 6;31(6):818-833.e11
Cell stem cell 2024 Jun 6;31(6):818-833.e11
Cytokine Levels in Experimental Branch Retinal Vein Occlusion Treated With Either Bevacizumab or Triamcinolone Acetonide.
McAllister IL, Vijayasekaran S, McLenachan S, Bhikoo R, Chen FK, Zhang D, Kanagalingam E, Yu DY
Translational vision science & technology 2024 Jun 3;13(6):13
Translational vision science & technology 2024 Jun 3;13(6):13
Proangiogenic effect and underlying mechanism of holmium oxide nanoparticles: a new biomaterial for tissue engineering.
Luo Y, Zheng Y, Chen Z, Mo M, Xie J, Zhou X, Wu Y, Yang Q, Zheng M, Hu X, Chen L, Lan Z
Journal of nanobiotechnology 2024 Jun 21;22(1):357
Journal of nanobiotechnology 2024 Jun 21;22(1):357
RAS protein activator-like 2 (RASAL2) initiates peritubular capillary rarefaction in hypoxic renal interstitial fibrosis.
Zhang Y, Yang Y, Hu X, Wei B, Shen Q, Shi C, Chen P
Translational research : the journal of laboratory and clinical medicine 2024 Jul;269:14-30
Translational research : the journal of laboratory and clinical medicine 2024 Jul;269:14-30
GBP2 inhibits pathological angiogenesis in the retina via the AKT/mTOR/VEGFA axis.
Xu X, Ding X, Wang Z, Ye S, Xu J, Liang Z, Luo R, Xu J, Li X, Ren Z
Microvascular research 2024 Jul;154:104689
Microvascular research 2024 Jul;154:104689
Single-cell transcriptomic Atlas of aging macaque ocular outflow tissues.
Wu J, Wang C, Sun S, Ren T, Pan L, Liu H, Hou S, Wu S, Yan X, Zhang J, Zhao X, Liu W, Zhu S, Wei S, Zhang C, Jia X, Zhang Q, Yu Z, Zhuo Y, Zhao Q, Yang C, Wang N
Protein & cell 2024 Jul 20;15(8):594-611
Protein & cell 2024 Jul 20;15(8):594-611
Vasorin Exocytosed from Glioma Cells Facilitates Angiogenesis via VEGFR2/AKT Signaling Pathway.
Zhong Y, Kang H, Ma Z, Li J, Qin Z, Zhang Z, Li P, Zhong Y, Wang L
Molecular cancer research : MCR 2024 Jul 2;22(7):668-681
Molecular cancer research : MCR 2024 Jul 2;22(7):668-681
The demethylase ALKBH5 mediates ZKSCAN3 expression through the m(6)A modification to activate VEGFA transcription and thus participates in MNNG-induced gastric cancer progression.
Wang Q, Huang Y, Jiang M, Tang Y, Wang Q, Bai L, Yu C, Yang X, Ding K, Wang W, Bai J, Chen Y
Journal of hazardous materials 2024 Jul 15;473:134690
Journal of hazardous materials 2024 Jul 15;473:134690
Fangji Huangqi Decoction alleviates rheumatoid arthritis through regulating HIF-1α mediated the angiogenesis and the balance between autophagy and apoptosis.
Xu Y, Li S, Wang Y, Pu W, Liu Q, Zhang Y, Liu Y, Hao H
Journal of ethnopharmacology 2024 Jul 15;329:118061
Journal of ethnopharmacology 2024 Jul 15;329:118061
Pleiotropic effects of nitric oxide sustained-release system for peripheral nerve repair.
Huo Y, Cheng Y, Dong X, Cheng Q, Liang X, Duan P, Yu Y, Yan L, Qiu T, Pan Z, Dai H
Acta biomaterialia 2024 Jul 1;182:28-41
Acta biomaterialia 2024 Jul 1;182:28-41
IL-21 promoting angiogenesis contributes to the development of psoriasis.
Han D, Li F, Zhao Y, Wang B, Wang J, Liu B, Mou K, Meng L, Zheng Y, Lu S, Zhu W, Zhou Y
FASEB journal : official publication of the Federation of American Societies for Experimental Biology 2024 Jan;38(1):e23375
FASEB journal : official publication of the Federation of American Societies for Experimental Biology 2024 Jan;38(1):e23375
KIRREL promotes the proliferation of gastric cancer cells and angiogenesis through the PI3K/AKT/mTOR pathway.
Wang T, Chen S, Wang Z, Li S, Fei X, Wang T, Zhang M
Journal of cellular and molecular medicine 2024 Jan;28(1):e18020
Journal of cellular and molecular medicine 2024 Jan;28(1):e18020
A hyaluronic acid / chitosan composite functionalized hydrogel based on enzyme-catalyzed and Schiff base reaction for promoting wound healing.
Li J, Su J, Liang J, Zhang K, Xie M, Cai B, Li J
International journal of biological macromolecules 2024 Jan;255:128284
International journal of biological macromolecules 2024 Jan;255:128284
Vasculogenic mimicry-associated novel gene signature predicted prognosis and response to immunotherapy in lung adenocarcinoma.
Zhang L, Wu J, Yin WW, Hu J, Liao L, Ma J, Xu Z, Wu S
Pathology, research and practice 2024 Jan;253:155048
Pathology, research and practice 2024 Jan;253:155048
Injectable Multifunctional Composite Hydrogel as a Combination Therapy for Preventing Postsurgical Adhesion.
Lv K, Lou P, Liu S, Wang Y, Yang J, Zhou P, Zhou X, Lu Y, Wang H, Cheng J, Liu J
Small (Weinheim an der Bergstrasse, Germany) 2024 Jan;20(1):e2303425
Small (Weinheim an der Bergstrasse, Germany) 2024 Jan;20(1):e2303425
Bushen Antai recipe alleviates embryo absorption by enhancing immune tolerance and angiogenesis at the maternal-fetal interface via mobilizing MDSCs in abortion-prone mice.
Liu Z, Geng Y, Huang Y, Hu R, Li F, Ding J, Ma W, Dong H, Song K, Xu X, Wu X, Song Y, Zhang M
Phytomedicine : international journal of phytotherapy and phytopharmacology 2024 Jan;123:155164
Phytomedicine : international journal of phytotherapy and phytopharmacology 2024 Jan;123:155164
A Mammalian Conserved Circular RNA CircLARP1B Regulates Hepatocellular Carcinoma Metastasis and Lipid Metabolism.
Li J, Wang X, Shi L, Liu B, Sheng Z, Chang S, Cai X, Shan G
Advanced science (Weinheim, Baden-Wurttemberg, Germany) 2024 Jan;11(2):e2305902
Advanced science (Weinheim, Baden-Wurttemberg, Germany) 2024 Jan;11(2):e2305902
Regulation of the immune microenvironment by pioglitazone-loaded polylactic glycolic acid nanosphere composite scaffolds to promote vascularization and bone regeneration.
Fan S, Tan Y, Yuan X, Liu C, Wu X, Dai T, Ni S, Wang J, Weng Y, Zhao H
Journal of tissue engineering 2024 Jan-Dec;15:20417314241231452
Journal of tissue engineering 2024 Jan-Dec;15:20417314241231452
Integrating network pharmacology and bioinformatics to explore and experimentally verify the regulatory effect of Buyang Huanwu decoction on glycolysis and angiogenesis after cerebral infarction.
Tian F, Yi J, Liu Y, Chen B, Wang X, Ouyang Y, Liu J, Tang Y, Long H, Liu B
Journal of ethnopharmacology 2024 Jan 30;319(Pt 3):117218
Journal of ethnopharmacology 2024 Jan 30;319(Pt 3):117218
A Self-Homing and Traceable Cardiac Patch Leveraging Ferumoxytol for Spatiotemporal Therapeutic Delivery.
Li M, Liu Y, Huang B, Zhou G, Pan M, Jin J, Wang F, Wang Y, Ren X, Xu B, Hu B, Gu N
ACS nano 2024 Jan 30;18(4):3073-3086
ACS nano 2024 Jan 30;18(4):3073-3086
Egr-1 is a key regulator of the blood-brain barrier damage induced by meningitic Escherichia coli.
Yang R, Wang X, Liu H, Chen J, Tan C, Chen H, Wang X
Cell communication and signaling : CCS 2024 Jan 17;22(1):44
Cell communication and signaling : CCS 2024 Jan 17;22(1):44
HOOK3 suppresses proliferation and metastasis in gastric cancer via the SP1/VEGFA axis.
Yang K, Li J, Zhu J, Chen Y, He Y, Wang J, Shen K, Wang K, Shi T, Chen W
Cell death discovery 2024 Jan 16;10(1):33
Cell death discovery 2024 Jan 16;10(1):33
YBX1 promotes type H vessel-dependent bone formation in an m5C-dependent manner.
Li YJ, Guo Q, Ye MS, Cai G, Xiao WF, Deng S, Xiao Y
JCI insight 2024 Jan 11;9(4)
JCI insight 2024 Jan 11;9(4)
A transcriptome based molecular classification scheme for cholangiocarcinoma and subtype-derived prognostic biomarker.
Fan Z, Zou X, Wang G, Liu Y, Jiang Y, Wang H, Zhang P, Wei F, Du X, Wang M, Sun X, Ji B, Hu X, Chen L, Zhou P, Wang D, Bai J, Xiao X, Zuo L, Xia X, Yi X, Lv G
Nature communications 2024 Jan 11;15(1):484
Nature communications 2024 Jan 11;15(1):484
Cold atmospheric plasma sensitizes head and neck cancer to chemotherapy and immune checkpoint blockade therapy.
Wang Y, Mang X, Li D, Wang Z, Chen Y, Cai Z, Tan F
Redox biology 2024 Feb;69:102991
Redox biology 2024 Feb;69:102991
Exosomal circ_0037104 derived from Hu-MSCs inhibits cholangiocarcinoma progression by sponging miR-620 and targeting AFAP1.
Yuan Z, Xiong B, Liu L, Lu Y, Liu Y, Wang G, Qian Y, Diao B, Tu M
Journal of biochemical and molecular toxicology 2024 Feb;38(2):e23656
Journal of biochemical and molecular toxicology 2024 Feb;38(2):e23656
Differential Proteomic Profiles of Coronary Serum Exosomes in Acute Myocardial Infarction Patients with or Without Diabetes Mellitus: ANGPTL6 Accelerates Regeneration of Endothelial Cells Treated with Rapamycin via MAPK Pathways.
Wang W, Zhao Y, Zhu P, Jia X, Wang C, Zhang Q, Li H, Wang J, Hou Y
Cardiovascular drugs and therapy 2024 Feb;38(1):13-29
Cardiovascular drugs and therapy 2024 Feb;38(1):13-29
Microbiota derived D-malate inhibits skeletal muscle growth and angiogenesis during aging via acetylation of Cyclin A.
Li P, Feng J, Jiang H, Feng X, Yang J, Yuan Y, Ma Z, Xu G, Xu C, Zhu C, Wang S, Gao P, Shu G, Jiang Q
EMBO reports 2024 Feb;25(2):524-543
EMBO reports 2024 Feb;25(2):524-543
Chitosan-crosslinked polyvinyl alcohol anti-swelling hydrogel designed to prevent abdominal wall adhesion.
Huang Y, Zheng J, Zeng G, Xu H, Lv Y, Liang X, Jin L, Jiang X
Materials today. Bio 2024 Feb;24:100931
Materials today. Bio 2024 Feb;24:100931
Hyaluronic Acid-Based Reactive Oxygen Species-Responsive Multifunctional Injectable Hydrogel Platform Accelerating Diabetic Wound Healing.
Shi C, Zhang Y, Wu G, Zhu Z, Zheng H, Sun X, Heng Y, Pan S, Xiu H, Zhang J, Yin Z, Yu Z, Liang B
Advanced healthcare materials 2024 Feb;13(4):e2302626
Advanced healthcare materials 2024 Feb;13(4):e2302626
The augmentation of cytotoxic immune cell functionality through physical exertion bolsters the potency of chemotherapy in models of mammary carcinoma.
Qin B, He Z, Xie L, Feng S, Ye J, Gui J, Sun X, Sang M
Cancer medicine 2024 Feb;13(3):e6951
Cancer medicine 2024 Feb;13(3):e6951
Three Birds, One Stone: An Osteo-Microenvironment Stage-Regulative Scaffold for Bone Defect Repair through Modulating Early Osteo-Immunomodulation, Middle Neovascularization, and Later Osteogenesis.
Yuan Y, Xu Y, Mao Y, Liu H, Ou M, Lin Z, Zhao R, Long H, Cheng L, Sun B, Zhao S, Zeng M, Lu B, Lu H, Zhu Y, Chen C
Advanced science (Weinheim, Baden-Wurttemberg, Germany) 2024 Feb;11(6):e2306428
Advanced science (Weinheim, Baden-Wurttemberg, Germany) 2024 Feb;11(6):e2306428
Multi-omics sequencing revealed endostar combined with cisplatin treated non small cell lung cancer via anti-angiogenesis.
Wang Y, Ren H
BMC cancer 2024 Feb 8;24(1):187
BMC cancer 2024 Feb 8;24(1):187
Ginseng-Sanqi-Chuanxiong (GSC) extracts attenuate d-galactose-induced vascular aging in mice via inhibition of endothelial progenitor cells senescence.
Liu Y, Liu Y, Wang X, Xiu C, Hu Y, Wang J, Lei Y, Yang J
Heliyon 2024 Feb 29;10(4):e25253
Heliyon 2024 Feb 29;10(4):e25253
Integrin α(4) Positive Subpopulation in Adipose Derived Stem Cells Effectively Reduces Infarct Size through Enhanced Engraftment into Myocardial Infarction.
Yuan Z, Tan J, Wang J
International journal of stem cells 2024 Feb 28;17(1):70-79
International journal of stem cells 2024 Feb 28;17(1):70-79
Putrescine promotes MMP9-induced angiogenesis in skeletal muscle through hydrogen peroxide/METTL3 pathway.
Hu C, Ji F, Lv R, Zhou H, Hou G, Xu T
Free radical biology & medicine 2024 Feb 20;212:433-447
Free radical biology & medicine 2024 Feb 20;212:433-447
Anti-cancer activity and cellular uptake of 7,3',4'- and 7,8,4'-trihydroxyisoflavone in HepG2 cells under hypoxic conditions.
Tzeng WS, Teng WL, Huang PH, Yen FL, Shiue YL
Journal of enzyme inhibition and medicinal chemistry 2024 Dec;39(1):2288806
Journal of enzyme inhibition and medicinal chemistry 2024 Dec;39(1):2288806
Alleviatory Role of Panax Notoginseng Saponins in Modulating Inflammation and Pulmonary Vascular Remodeling in Chronic Obstructive Pulmonary Disease: mechanisms and Implications.
Hu Y, Fan Q, Qiao B, Xu O, Lv B, Han N, Zhang X
COPD 2024 Dec;21(1):2329282
COPD 2024 Dec;21(1):2329282
Silicon-induced biofilm improves peripheral nerve defect in rats mediated by VEGF/VEGFR2/ERK.
Wang J, Mao D, Dai B, Rui Y
Neurological research 2024 Aug;46(8):743-751
Neurological research 2024 Aug;46(8):743-751
A gelatin methacryloyl (GelMA) treated with gallic acid and coated with specially designed nanoparticles derived from ginseng enhances the healing of wounds in diabetic rats.
Yu YL, Zheng JC, Duan P, Cheng YN, Zhang H, Zheng L, Yu ZR, Xu JM, Hu HX, Pan ZY
International journal of biological macromolecules 2024 Aug;274(Pt 1):133372
International journal of biological macromolecules 2024 Aug;274(Pt 1):133372
Therapeutic potential of flavopiridol in diabetic retinopathy: Targeting DDX58.
Zhang X, Hu Q, Peng H, Huang J, Sang W, Guan J, Huang Z, Jiang B, Sun D
International immunopharmacology 2024 Aug 20;137:112504
International immunopharmacology 2024 Aug 20;137:112504
The FOXO1/G6PC axis promotes gastric cancer progression and mediates 5-fluorouracil resistance by targeting the PI3K/AKT/mTOR signaling pathway.
Han A, Liu T, Du P, Wang M, Liu J, Chen L
Molecular carcinogenesis 2024 Apr;63(4):688-700
Molecular carcinogenesis 2024 Apr;63(4):688-700
A bioactive composite hydrogel dressing that promotes healing of both acute and chronic diabetic skin wounds.
Shang S, Zhuang K, Chen J, Zhang M, Jiang S, Li W
Bioactive materials 2024 Apr;34:298-310
Bioactive materials 2024 Apr;34:298-310
A parathyroid hormone related supramolecular peptide for multi-functionalized osteoregeneration.
Hao Z, Feng Q, Wang Y, Wang Y, Li H, Hu Y, Chen T, Wang J, Chen R, Lv X, Yang Z, Chen J, Guo X, Li J
Bioactive materials 2024 Apr;34:181-203
Bioactive materials 2024 Apr;34:181-203
Decreased FGF23 inhibits placental angiogenesis via the ERK1/2-EGR-1 signaling pathway in preeclampsia.
Zhao S, Zhou J, Chen R, Zhou W, Geng H, Huang Y, Shi S, Yuan L, Wang Z, Wang D
Cytokine 2024 Apr;176:156508
Cytokine 2024 Apr;176:156508
Biodegradable Zn-5Dy Alloy with Enhanced Osteo/Angio-Genic Activity and Osteointegration Effect via Regulation of SIRT4-Dependent Mitochondrial Function.
Han Y, Tong X, Zhou R, Wang Y, Chen Y, Chen L, Hong X, Wu L, Lin Z, Zhang Y, Zhang X, Hu C, Li B, Ping Y, Cao Z, Ye Z, Song Z, Li Y, Wen C, Zhou Y, Lin J, Huang S
Advanced science (Weinheim, Baden-Wurttemberg, Germany) 2024 Apr;11(13):e2307812
Advanced science (Weinheim, Baden-Wurttemberg, Germany) 2024 Apr;11(13):e2307812
Exploring the mechanism of Bushen Huoxue prescription in the treatment of early diabetic retinal edema from the perspective of inner blood-retinal barrier injury.
Li J, Guo X, Huang Y, Ren Y, Liang H, Xie X, Zhang M
Journal of ethnopharmacology 2024 Apr 6;323:117658
Journal of ethnopharmacology 2024 Apr 6;323:117658
Senescent-like macrophages mediate angiogenesis for endplate sclerosis via IL-10 secretion in male mice.
Fan Y, Zhang W, Huang X, Fan M, Shi C, Zhao L, Pi G, Zhang H, Ni S
Nature communications 2024 Apr 5;15(1):2939
Nature communications 2024 Apr 5;15(1):2939
Fibroblast regulates angiogenesis in assembled oral cancer organoid: A possible role of NNMT.
Holkom M, Yang X, Li R, Chen Y, Zhao H, Shang Z
Oral diseases 2024 Apr 3;
Oral diseases 2024 Apr 3;
4D label-free proteomics analysis of oxygen-induced retinopathy with or without anti-VEGF treatment.
Xu Z, Wu Y, Mao J, Chen Y, Chen H, Zhang S, Yu J, Deng X, Shen L
BMC genomics 2024 Apr 26;25(1):415
BMC genomics 2024 Apr 26;25(1):415
Diterpenoid tanshinones inhibit gastric cancer angiogenesis through the PI3K/Akt/mTOR signaling pathway.
Yu JR, Liu YY, Gao YY, Qian LH, Qiu JL, Wang PP, Zhang GJ
Journal of ethnopharmacology 2024 Apr 24;324:117791
Journal of ethnopharmacology 2024 Apr 24;324:117791
Butylphthalide improves brain damage induced by renal ischemia-reperfusion injury rats through Nrf2/HO-1 and NOD2/MAPK/NF-κB pathways.
Min J, Chen Q, Pan M, Liu T, Gu Q, Zhang D, Sun R
Renal failure 2023;45(2):2259234
Renal failure 2023;45(2):2259234
Fisetin Prevents Angiogenesis in Diabetic Retinopathy by Downregulating VEGF.
Lai M, Lan C, Zhong J, Wu L, Lin C
Journal of ophthalmology 2023;2023:7951928
Journal of ophthalmology 2023;2023:7951928
Therapeutic Efficiency of Nasal Mucosa-Derived Ectodermal Mesenchymal Stem Cells in Rats with Acute Hepatic Failure.
Xiang W, Wang X, Yu X, Xie Y, Zhang L, Lu N, Jiang W
Stem cells international 2023;2023:6890299
Stem cells international 2023;2023:6890299
Pluronic F-127 Hydrogel Loaded with Human Adipose-Derived Stem Cell-Derived Exosomes Improve Fat Graft Survival via HIF-1α-Mediated Enhancement of Angiogenesis.
Yang F, Li Z, Cai Z, He Y, Ke C, Wang J, Lin M, Li L
International journal of nanomedicine 2023;18:6781-6796
International journal of nanomedicine 2023;18:6781-6796
Down-regulation of histone deacetylase 7 reduces biological activities of retinal microvascular endothelial cells under high glucose condition and related mechanism.
Ning JY, Yang HY, Xie TK, Chen YX, Han J
International journal of ophthalmology 2023;16(8):1210-1217
International journal of ophthalmology 2023;16(8):1210-1217
Acupotomy Improves Synovial Hypoxia, Synovitis and Angiogenesis in KOA Rabbits.
Guo Y, Xu Y, He M, Chen X, Xing L, Hu T, Zhang Y, Du M, Zhang D, Zhang Q, Li B
Journal of pain research 2023;16:749-760
Journal of pain research 2023;16:749-760
Dihydroartemisinin Potentiates VEGFR-TKIs Antitumorigenic Effect on Osteosarcoma by Regulating Loxl2/VEGFA Expression and Lipid Metabolism Pathway.
Ding X, Zhang Y, Liang J, Li Q, Hu H, Zhou Y, Zhang B
Journal of Cancer 2023;14(5):809-820
Journal of Cancer 2023;14(5):809-820
Neutrophil infiltration associated genes on the prognosis and tumor immune microenvironment of lung adenocarcinoma.
Liu R, Zhu G, Sun Y, Li M, Hu Z, Cao P, Li X, Song Z, Chen J
Frontiers in immunology 2023;14:1304529
Frontiers in immunology 2023;14:1304529
Development and validation of cuproptosis-related lncRNAs associated with pancreatic cancer immune microenvironment based on single-cell.
Sun Y, Yao L, Man C, Gao Z, He R, Fan Y
Frontiers in immunology 2023;14:1220760
Frontiers in immunology 2023;14:1220760
Elevated MPP6 expression correlates with an unfavorable prognosis, angiogenesis and immune evasion in hepatocellular carcinoma.
Cheng Q, Wang W, Liu J, Lv Z, Ji W, Yu J, Zhang W, Yang Y
Frontiers in immunology 2023;14:1173848
Frontiers in immunology 2023;14:1173848
Effect of acupuncture on the opening time of implantation window and endometrial receptivity in controlled ovarian hyperstimulation rats during peri-implantation period.
Hu R, Huang Y, Song Y, Wu X, Song K, Huang G, Zhang M, Dong H
Frontiers in endocrinology 2023;14:1110266
Frontiers in endocrinology 2023;14:1110266
Pien-tze-huang promotes wound healing in streptozotocin-induced diabetes models associated with improving oxidative stress via the Nrf2/ARE pathway.
Liu Y, Mo J, Liang F, Jiang S, Xiong J, Meng X, Mo Z
Frontiers in pharmacology 2023;14:1062664
Frontiers in pharmacology 2023;14:1062664
Small-molecule exhibits anti-tumor activity by targeting the RNA m(6)A reader IGF2BP3 in ovarian cancer.
Shu C, Gu MH, Zeng C, Shao WG, Li HY, Ma XH, Li MX, Cao YY, Zhang MJ, Zhao W, Zhao SL
American journal of cancer research 2023;13(10):4888-4902
American journal of cancer research 2023;13(10):4888-4902
Micropatterned composite membrane guides oriented cell growth and vascularization for accelerating wound healing.
Li J, Liu X, Tao W, Li Y, Du Y, Zhang S
Regenerative biomaterials 2023;10:rbac108
Regenerative biomaterials 2023;10:rbac108
Overexpression and potential roles of midkine via regulation of vascular endothelial growth factor A in psoriasis.
Li L, Shucheng H, Fu L, Pei B, Xu W, Jiang X
Experimental dermatology 2023 Sep;32(9):1383-1393
Experimental dermatology 2023 Sep;32(9):1383-1393
Xanthine derivative KMUP-1 ameliorates retinopathy.
Yeh JL, Kuo CH, Shih PW, Hsu JH, I-Chen P, Huang YH
Biomedicine & pharmacotherapy = Biomedecine & pharmacotherapie 2023 Sep;165:115109
Biomedicine & pharmacotherapy = Biomedecine & pharmacotherapie 2023 Sep;165:115109
CSNK2A2 promotes hepatocellular carcinoma progression through activation of NF-κB pathway.
Yang S, Peng LR, Yu AQ, Li J
Annals of hepatology 2023 Sep-Oct;28(5):101118
Annals of hepatology 2023 Sep-Oct;28(5):101118
LINC00460 promotes angiogenesis by enhancing NF-κB-mediated VEGFA expression in cervical cancer cells.
Li F, Zhu W
Biochemical and biophysical research communications 2023 Sep 3;671:146-152
Biochemical and biophysical research communications 2023 Sep 3;671:146-152
DUOX2-Induced Oxidative Stress Inhibits Intestinal Angiogenesis through MMP3 in a Low-Birth-Weight Piglet Model.
Zou D, Yang Y, Ji F, Lv R, Xu T, Hu C
Antioxidants (Basel, Switzerland) 2023 Sep 25;12(10)
Antioxidants (Basel, Switzerland) 2023 Sep 25;12(10)
Distinct aneuploid evolution of astrocytoma and glioblastoma during recurrence.
Zhang J, Feng Y, Li G, Zhang J, Zhang X, Zhang Y, Qin Z, Zhuang D, Qiu T, Shi Z, Zhu W, Zhang R, Wu Y, Liu H, Cao D, Hua W, Mao Y
NPJ precision oncology 2023 Sep 23;7(1):97
NPJ precision oncology 2023 Sep 23;7(1):97
δ-Tocotrienol preconditioning improves the capability of bone marrow-derived mesenchymal stem cells in promoting wound healing by inhibiting BACH1-related ferroptosis.
He X, Wang D, Yi Y, Tan Y, Wu M, Wang H, Hu W, Chen H, Zhang Q, Wu Y
Cell death discovery 2023 Sep 22;9(1):349
Cell death discovery 2023 Sep 22;9(1):349
Ki67-targeted oncolytic adenovirus expressing IL-15 improves intratumoral T cell infiltration and PD-L1 expression in glioblastoma.
Zhang Q, Zhang J, Tian Y, Wang J, Jin G, Liu F
Virology 2023 Oct;587:109885
Virology 2023 Oct;587:109885
Fisetin treatment alleviates kidney injury in mice with diabetes-exacerbated atherosclerosis through inhibiting CD36/fibrosis pathway.
Zou TF, Liu ZG, Cao PC, Zheng SH, Guo WT, Wang TX, Chen YL, Duan YJ, Li QS, Liao CZ, Xie ZL, Han JH, Yang XX
Acta pharmacologica Sinica 2023 Oct;44(10):2065-2074
Acta pharmacologica Sinica 2023 Oct;44(10):2065-2074
LINC02774 inhibits glycolysis in glioma to destabilize HIF-1α dependent on transcription factor RP58.
Chen Y, Liu Y, Xiong J, Ouyang L, Tang M, Mao C, Li L, Xiao D, Liu S, Yang Z, Huang J, Tao Y
MedComm 2023 Oct;4(5):e364
MedComm 2023 Oct;4(5):e364
A nano-conductive osteogenic hydrogel to locally promote calcium influx for electro-inspired bone defect regeneration.
Yu C, Ying X, Shahbazi MA, Yang L, Ma Z, Ye L, Yang W, Sun R, Gu T, Tang R, Fan S, Yao S
Biomaterials 2023 Oct;301:122266
Biomaterials 2023 Oct;301:122266
ACLY promotes gastric tumorigenesis and accelerates peritoneal metastasis of gastric cancer regulated by HIF-1A.
Yan Z, Liu K, Xu P, Chen Z, Zhang P, Pei S, Cheng Q, Huang S, Li B, Lv J, Xu Z, Xu H, Yang L, Zhang D
Cell cycle (Georgetown, Tex.) 2023 Oct;22(20):2288-2301
Cell cycle (Georgetown, Tex.) 2023 Oct;22(20):2288-2301
Mechanism of the HIF-1α/VEGF/VEGFR-2 pathway in the proliferation and apoptosis of human haemangioma endothelial cells.
Zhang W, Sun L, Gao H, Wang S
International journal of experimental pathology 2023 Oct;104(5):258-268
International journal of experimental pathology 2023 Oct;104(5):258-268
Exploring the chondroprotective effect of Chaenomeles speciosa on Glucose-6-Phosphate Isomerase model mice using an integrated approach of network pharmacology and experimental validation.
Duan Z, Jin C, Deng Y, Liu J, Gu C, Wang J, Cai X, Li S, Zhou Y
Journal of ethnopharmacology 2023 Oct 5;314:116553
Journal of ethnopharmacology 2023 Oct 5;314:116553
Moutai Distiller's grains Polyphenol extracts and rutin alleviate DSS-induced colitis in mice: Modulation of gut microbiota and intestinal barrier function (R2).
Chen JH, Zhao CL, Li YS, Yang YB, Luo JG, Zhang C, Wang L
Heliyon 2023 Nov;9(11):e22186
Heliyon 2023 Nov;9(11):e22186
USP51 facilitates colorectal cancer stemness and chemoresistance by forming a positive feed-forward loop with HIF1A.
Mu M, Zhang Q, Li J, Zhao C, Li X, Chen Z, Sun X, Yu J
Cell death and differentiation 2023 Nov;30(11):2393-2407
Cell death and differentiation 2023 Nov;30(11):2393-2407
Integrated network pharmacology to investigate the mechanism of Salvia miltiorrhiza Bunge in the treatment of myocardial infarction.
Huang X, Zhang M, Song Y, Sun B, Lin L, Song X, Li C
Journal of cellular and molecular medicine 2023 Nov;27(22):3514-3525
Journal of cellular and molecular medicine 2023 Nov;27(22):3514-3525
SIRT6 mediated histone H3K9ac deacetylation involves myocardial remodelling through regulating myocardial energy metabolism in TAC mice.
Wu S, Zhang J, Peng C, Ma Y, Tian X
Journal of cellular and molecular medicine 2023 Nov;27(22):3451-3464
Journal of cellular and molecular medicine 2023 Nov;27(22):3451-3464
Fucoidan promotes angiogenesis and accelerates wound healing through AKT/Nrf2/HIF-1α signalling pathway.
Wen W, Yang L, Wang X, Zhang H, Wu F, Xu K, Chen S, Liao Z
International wound journal 2023 Nov;20(9):3606-3618
International wound journal 2023 Nov;20(9):3606-3618
An experimental study for quantitative assessment of fatty infiltration and blood flow perfusion in quadriceps muscle of rats using IDEAL-IQ and BOLD-MRI for early diagnosis of sarcopenia.
Huang XC, Huang YL, Guo YT, Li SY, Gao C, Chen JX, Ma JY, He B
Experimental gerontology 2023 Nov;183:112322
Experimental gerontology 2023 Nov;183:112322
Lychee seed polyphenol ameliorates DR via inhibiting inflammasome/apoptosis and angiogenesis in hRECs and db/db mice.
Xiang XH, Wei J, Wang XF, Xu Q, Yu CL, He CL, Long T, Guo MS, Chen X, Zhou XG, Wu JM, Qin DL, Wu AG, Tang Y, Lv HB
Biomedicine & pharmacotherapy = Biomedecine & pharmacotherapie 2023 Nov;167:115478
Biomedicine & pharmacotherapy = Biomedecine & pharmacotherapie 2023 Nov;167:115478
Therapeutic potential of mesenchymal stem cell-derived exosomal miR-296-5p and miR-337-3p in age-related erectile dysfunction via regulating PTEN/PI3K/AKT pathway.
Li K, Li R, Zhao Z, Feng C, Liu S, Fu Q
Biomedicine & pharmacotherapy = Biomedecine & pharmacotherapie 2023 Nov;167:115449
Biomedicine & pharmacotherapy = Biomedecine & pharmacotherapie 2023 Nov;167:115449
A positive feedback loop between miR-574-3p and HIF-1α in promoting angiogenesis under hypoxia.
Zhang R, Miao Z, Liu Y, Zhang X, Yang Q
Microvascular research 2023 Nov;150:104589
Microvascular research 2023 Nov;150:104589
Wnt/β-catenin signaling pathway promotes abnormal activation of fibroblast-like synoviocytes and angiogenesis in rheumatoid arthritis and the intervention of Er Miao San.
Chen S, Wang J, Wang J, Jia X, Xuan Z, Cheng Z, Meng X, Su W
Phytomedicine : international journal of phytotherapy and phytopharmacology 2023 Nov;120:155064
Phytomedicine : international journal of phytotherapy and phytopharmacology 2023 Nov;120:155064
A Novel PTH-Related Peptide Combined With 3D Printed Macroporous Titanium Alloy Scaffold Enhances Osteoporotic Osseointegration.
Wang J, Chen R, Ren B, Feng Q, Li B, Hao Z, Chen T, Hu Y, Huang Y, Zhang Q, Wang Y, Huang J, Li J
Advanced healthcare materials 2023 Nov;12(29):e2301604
Advanced healthcare materials 2023 Nov;12(29):e2301604
3D Prestress Bioprinting of Directed Tissues.
Li Y, Wu J, He C, He H, Xie M, Yao K, He J, Duan Y, Zhaung L, Wang P, He Y
Advanced healthcare materials 2023 Nov;12(28):e2301487
Advanced healthcare materials 2023 Nov;12(28):e2301487
Novel specific anti-ESM1 antibodies overcome tumor bevacizumab resistance by suppressing angiogenesis and metastasis.
Kang N, Fan B, Sun Y, Xue P, Liu Y
Cancer science 2023 Nov;114(11):4413-4425
Cancer science 2023 Nov;114(11):4413-4425
ADAMTS12 promotes oxaliplatin chemoresistance and angiogenesis in gastric cancer through VEGF upregulation.
Jiang Y, Huang J, Huang Z, Li W, Tan R, Li T, Chen Z, Tang X, Zhao Y, Qiu J, Li C, Chen H, Yang Z
Cellular signalling 2023 Nov;111:110866
Cellular signalling 2023 Nov;111:110866
Photothermal-Ionic-Pharmacotherapy of Myocardial Infarction with Enhanced Angiogenesis and Antiapoptosis.
Feng K, Ruan Y, Zhang X, Wu X, Liu Z, Sun X
ACS applied materials & interfaces 2023 Nov 29;
ACS applied materials & interfaces 2023 Nov 29;
Synergistic anti-tumour activity of ginsenoside Rg3 and doxorubicin on proliferation, metastasis and angiogenesis in osteosarcoma by modulating mTOR/HIF-1α/VEGF and EMT signalling pathways.
Zeng X, Liu S, Yang H, Jia M, Liu W, Zhu W
The Journal of pharmacy and pharmacology 2023 Nov 23;75(11):1405-1417
The Journal of pharmacy and pharmacology 2023 Nov 23;75(11):1405-1417
HDAC1 suppresses radiotherapy sensitivity in cervical cancer via regulating HIF-1α/VEGF signaling pathway.
Liu L, Gu K, Hua D
Cellular and molecular biology (Noisy-le-Grand, France) 2023 Nov 15;69(11):132-140
Cellular and molecular biology (Noisy-le-Grand, France) 2023 Nov 15;69(11):132-140
Exploring the effect and mechanism of Haizao Yuhu decoction containing three variants of glycyrrhiza on goiter using an integrated strategy of network pharmacology and RNA sequencing.
Li M, Xiu L, Liao W, Ren Y, Huo M, Liu H, Chen S, Li N, Gao Y, Yu X, Fan A, Zhong G
Journal of ethnopharmacology 2023 Nov 15;316:116750
Journal of ethnopharmacology 2023 Nov 15;316:116750
Antibacterial-Antioxidative Thiolated Gelatin/Methacrylated Silk Fibroin Hydrogels with Nitric Oxide Release Catalyzed by Metal-Polyphenol Nanoparticles for MRSA-Infected Wound Healing.
Zeng Z, Guo J, Shen G, Guo C, Pei D, Lu D, Geng Z, Huang J, Yu S
Biomacromolecules 2023 Nov 13;24(11):5116-5131
Biomacromolecules 2023 Nov 13;24(11):5116-5131
Accelerating Wound Closure With Metrnl in Normal and Diabetic Mouse Skin.
Song L, Chang X, Hu L, Liu L, Wang G, Huang Y, Xu L, Jin B, Song J, Hu L, Zhang T, Wang Y, Xiao Y, Zhang F, Shi M, Liu L, Chen Q, Guo B, Zhou Y
Diabetes 2023 Nov 1;72(11):1692-1706
Diabetes 2023 Nov 1;72(11):1692-1706
Dihydroartemisinin inhibits the activation and proliferation of hepatic stellate cells by regulating miR‑29b‑3p.
Huan S, Sun S, Song S, Dai J, Zhu G, Zhong Y, Ji Y, Zheng S, Yin G
International journal of molecular medicine 2023 May;51(5)
International journal of molecular medicine 2023 May;51(5)
OTUB1 Catalytic-Independently Deubiquitinates TGFBI and Mediates the Angiogenesis in Infantile Hemangioma by Regulating Glycolysis.
Li M, Wang X, Yang E, Li Y, Geng Y, Chen Z, Huang S, Zhang D, Wu H
Arteriosclerosis, thrombosis, and vascular biology 2023 May;43(5):654-673
Arteriosclerosis, thrombosis, and vascular biology 2023 May;43(5):654-673
Novel insights into the angiogenic function of JMJD2B in diabetic hind limb ischemia: involvement of activating Wnt/β-catenin pathway.
Wang Z, Li M, Liu Y, Qiao Z, Zu X, Cao T, Bai T
Human cell 2023 May;36(3):1011-1023
Human cell 2023 May;36(3):1011-1023
Mechanism of piR-1245/PIWI-like protein-2 regulating Janus kinase-2/signal transducer and activator of transcription-3/vascular endothelial growth factor signaling pathway in retinal neovascularization.
Yu Y, Xia LK, Di Y, Nie QZ, Chen XL
Neural regeneration research 2023 May;18(5):1132-1138
Neural regeneration research 2023 May;18(5):1132-1138
Bone marrow mesenchymal stem cells and exercise restore motor function following spinal cord injury by activating PI3K/AKT/mTOR pathway.
Sun X, Huang LY, Pan HX, Li LJ, Wang L, Pei GQ, Wang Y, Zhang Q, Cheng HX, He CQ, Wei Q
Neural regeneration research 2023 May;18(5):1067-1075
Neural regeneration research 2023 May;18(5):1067-1075
LncRNA H19 mediates BMP9-induced angiogenesis in mesenchymal stem cells by promoting the p53-Notch1 angiogenic signaling axis.
Du C, Cheng Q, Zhao P, Wang C, Zhu Z, Wu X, Gao S, Chen B, Zou J, Huang W, Liao J
Genes & diseases 2023 May;10(3):1040-1054
Genes & diseases 2023 May;10(3):1040-1054
Venlafaxine antagonizes the noradrenaline-promoted colon cancer progression by inhibiting the norepinephrine transporter.
Zhang H, Han J, Zhang J, Miao J, Li F, Tang K, Zhou K, Duan B, Li W, Cheng J, Sun Y, Hou N, Huang C
Cell death discovery 2023 May 8;9(1):152
Cell death discovery 2023 May 8;9(1):152
TMT-based quantitative proteomic analysis of spheroid cells of endometrial cancer possessing cancer stem cell properties.
Cao M, Liu Z, You D, Pan Y, Zhang Q
Stem cell research & therapy 2023 May 4;14(1):119
Stem cell research & therapy 2023 May 4;14(1):119
Atypical Pseudo-Meigs' Syndrome without Pleural Effusion Due to Ovarian Metastasis from Sigmoid Colon Cancer.
Omori G, Arihara Y, Abe T, Takada K, Suzuki N, Shibuya R, Ikeda Y, Yamada M, Ono M, Fujita M, Sugita S, Maeda M
Internal medicine (Tokyo, Japan) 2023 May 15;62(10):1487-1493
Internal medicine (Tokyo, Japan) 2023 May 15;62(10):1487-1493
Cysteamine and N-Acetyl-cysteine Alleviate Placental Oxidative Stress and Barrier Function Damage Induced by Deoxynivalenol.
Huang S, Zhang L, Luo J, Wu D, Ma K, Chen Y, Ma S, Feng L, Li F, Liu D, Deng J, Tan C
Journal of agricultural and food chemistry 2023 May 10;71(18):6846-6858
Journal of agricultural and food chemistry 2023 May 10;71(18):6846-6858
Hyaluronic acid-g-lipoic acid granular gel for promoting diabetic wound healing.
Zhang S, Pan Y, Mao Z, Zhang J, Zhang K, Yin J, Wang C
Bioengineering & translational medicine 2023 Mar;8(2):e10402
Bioengineering & translational medicine 2023 Mar;8(2):e10402
Sinomenine promotes flap survival by upregulating eNOS and eNOS-mediated autophagy via PI3K/AKT pathway.
Zhang D, Jin C, Han T, Chen J, Ali Raza M, Li B, Wang L, Yan H
International immunopharmacology 2023 Mar;116:109752
International immunopharmacology 2023 Mar;116:109752
Protein disulfide-isomerase A4 confers glioblastoma angiogenesis promotion capacity and resistance to anti-angiogenic therapy.
Tu Z, Wang C, Hu Q, Tao C, Fang Z, Lin L, Lei K, Luo M, Sheng Y, Long X, Li J, Wu L, Huang K, Zhu X
Journal of experimental & clinical cancer research : CR 2023 Mar 30;42(1):77
Journal of experimental & clinical cancer research : CR 2023 Mar 30;42(1):77
FBXW7 loss of function promotes esophageal squamous cell carcinoma progression via elevating MAP4 and ERK phosphorylation.
Pan Y, Liu J, Gao Y, Guo Y, Wang C, Liang Z, Wu M, Qian Y, Li Y, Shen J, Lu C, Ma S
Journal of experimental & clinical cancer research : CR 2023 Mar 29;42(1):75
Journal of experimental & clinical cancer research : CR 2023 Mar 29;42(1):75
Atf4 regulates angiogenic differences between alveolar bone and long bone macrophages by regulating M1 polarization, based on single-cell RNA sequencing, RNA-seq and ATAC-seq analysis.
Gu L, Wang Z, Gu H, Wang H, Liu L, Zhang WB
Journal of translational medicine 2023 Mar 14;21(1):193
Journal of translational medicine 2023 Mar 14;21(1):193
Vascular Endothelial Growth Factor A Contributes to Increased Mammalian Respiratory Epithelial Permeability Induced by Pasteurella multocida Infection.
Lin L, Yang J, Zhang D, Lv Q, Wang F, Liu P, Wang M, Shi C, Huang X, Liang W, Tan C, Wang X, Chen H, Wilson BA, Wu B, Peng Z
Microbiology spectrum 2023 Mar 14;11(2):e0455422
Microbiology spectrum 2023 Mar 14;11(2):e0455422
An innovative immunotherapeutic strategy for rheumatoid arthritis: Selectively suppressing angiogenesis and osteoclast differentiation by fully human antibody targeting thymocyte antigen-1.
Hu X, Li M, Zhang Y, Sang K, Zhang Y, Li W, Liu B, Wan L, Du B, Qian J, Meng F, Fu Y, Dai M, Gao G, Ye H
Experimental cell research 2023 Mar 1;424(1):113490
Experimental cell research 2023 Mar 1;424(1):113490
Exercise protects aged mice against coronary endothelial senescence via FUNDC1-dependent mitophagy.
Ma L, Li K, Wei W, Zhou J, Li Z, Zhang T, Wangsun Y, Tian F, Dong Q, Zhang H, Xing W
Redox biology 2023 Jun;62:102693
Redox biology 2023 Jun;62:102693
Adenosine-ADORA2A Promotes Ang-Induced Angiogenesis in Intrauterine Growth Restriction Placenta via the Stat3/Akt Pathway.
Wu Z, Xiang Q, Feng L, Wu D, Huang S, Zhang L, Rao S, Luo J, Xiong W, Deng J, Zhou K, Yin Y, Shi W, Tan C
Arteriosclerosis, thrombosis, and vascular biology 2023 Jun;43(6):e190-e209
Arteriosclerosis, thrombosis, and vascular biology 2023 Jun;43(6):e190-e209
Glycoside combinations of Buyang Huanwu decoction ameliorate atherosclerosis via STAT3, HIF-1, and VEGF.
Yan F, Ding H, Sun Z, Liu J, Li J, Zhou D, Zhang W
Naunyn-Schmiedeberg's archives of pharmacology 2023 Jun;396(6):1187-1203
Naunyn-Schmiedeberg's archives of pharmacology 2023 Jun;396(6):1187-1203
Tanshinone IIA enhances the therapeutic efficacy of mesenchymal stem cells derived exosomes in myocardial ischemia/reperfusion injury via up-regulating miR-223-5p.
Li S, Yang K, Cao W, Guo R, Liu Z, Zhang J, Fan A, Huang Y, Ma C, Li L, Fan G
Journal of controlled release : official journal of the Controlled Release Society 2023 Jun;358:13-26
Journal of controlled release : official journal of the Controlled Release Society 2023 Jun;358:13-26
Dietary adenosine supplementation improves placental angiogenesis in IUGR piglets by up-regulating adenosine A2a receptor.
Wu Z, Nie J, Wu D, Huang S, Chen J, Liang H, Hao X, Feng L, Luo H, Tan C
Animal nutrition (Zhongguo xu mu shou yi xue hui) 2023 Jun;13:282-288
Animal nutrition (Zhongguo xu mu shou yi xue hui) 2023 Jun;13:282-288
Characterizing the specific mechanism of series processed Coptidis Rhizoma by multi-organ metabolomics combined with network pharmacology and molecular docking.
Zhou N, Wang Y, Zhang Z, Feng W, Liu T, Cao Y, Zhang J, Zhang B, Zheng X, Li K
Phytomedicine : international journal of phytotherapy and phytopharmacology 2023 Jun;114:154804
Phytomedicine : international journal of phytotherapy and phytopharmacology 2023 Jun;114:154804
A copper complex that combats triple negative breast cancer by restraining angiogenesis.
Zheng H, Hu C, Quan Y, Ye X, Shi X, Guo Z, Wang X
Dalton transactions (Cambridge, England : 2003) 2023 Jun 6;52(22):7626-7634
Dalton transactions (Cambridge, England : 2003) 2023 Jun 6;52(22):7626-7634
Preparation of nanocomposite membranes loaded with taxifolin liposome and its mechanism of wound healing in diabetic mice.
Ding Q, Ding C, Liu X, Zheng Y, Zhao Y, Zhang S, Sun S, Peng Z, Liu W
International journal of biological macromolecules 2023 Jun 30;241:124537
International journal of biological macromolecules 2023 Jun 30;241:124537
Role of TGF-beta1 and TNF-alpha1 produced by neoplastic cells in the pathogenesis of fibrosis in patients with hematologic neoplasms.
Takizawa H, Araki Y, Fujishiro M, Tomita S, Kishikawa S, Hashizume A, Mitsumori T, Nitta H, Iizuka-Honma H, Sawada T, Okubo M, Sekiguchi Y, Ando M, Noguchi M
Journal of clinical and experimental hematopathology : JCEH 2023 Jun 28;63(2):83-89
Journal of clinical and experimental hematopathology : JCEH 2023 Jun 28;63(2):83-89
Patrinia villosa treat colorectal cancer by activating PI3K/Akt signaling pathway.
Li XC, Wang S, Yang XX, Li TJ, Gu JX, Zhao L, Bao YR, Meng XS
Journal of ethnopharmacology 2023 Jun 12;309:116264
Journal of ethnopharmacology 2023 Jun 12;309:116264
Skin precursor-derived Schwann cells accelerate in vivo prevascularization of tissue-engineered nerves to promote peripheral nerve regeneration.
Li M, Cheng X, Feng S, Zhu H, Lu P, Zhang P, Cai X, Qiao P, Gu X, Wang G, Xue C, Wang H
Glia 2023 Jul;71(7):1755-1769
Glia 2023 Jul;71(7):1755-1769
The role of TOP2A in immunotherapy and vasculogenic mimicry in non-small cell lung cancer and its potential mechanism.
Wu J, Zhang L, Li W, Wang L, Jia Q, Shi F, Li K, Liao L, Shi Y, Wu S
Scientific reports 2023 Jul 5;13(1):10906
Scientific reports 2023 Jul 5;13(1):10906
Hyperin promotes proliferation, migration, and invasion of HTR-8/SVneo trophoblast cells via activation of JAK1/STAT3 pathway in recurrent spontaneous abortions.
Mu Z, Shen S, Tang L, Liu Y, Zhou Z, Lei L
Heliyon 2023 Jan;9(1):e12958
Heliyon 2023 Jan;9(1):e12958
Telocyte-Derived Exosomes Provide an Important Source of Wnts That Inhibits Fibrosis and Supports Regeneration and Repair of Endometrium.
Chen TQ, Wei XJ, Liu HY, Zhan SH, Yang XJ
Cell transplantation 2023 Jan-Dec;32:9636897231212746
Cell transplantation 2023 Jan-Dec;32:9636897231212746
Promotion of the genipin crosslinked chitosan-fiber hydrogel loaded with sustained release of clemastine fumarate in diabetic wound repair.
Zuo R, Shi J, Jiang S, Chu M, Wang Q, Kong L, Kang Q, Guo Y, Guan J
International journal of biological macromolecules 2023 Jan 31;226:900-914
International journal of biological macromolecules 2023 Jan 31;226:900-914
Enzymatic one-pot preparation of carboxylmethyl chitosan-based hydrogel with inherent antioxidant and antibacterial properties for accelerating wound healing.
Wei Q, Ma J, Jia L, Zhao H, Dong Y, Jiang Y, Zhang W, Hu Z
International journal of biological macromolecules 2023 Jan 31;226:823-832
International journal of biological macromolecules 2023 Jan 31;226:823-832
Dietary fiber supplementation during the last 50 days of gestation improves the farrowing performance of gilts by modulating insulin sensitivity, gut microbiota, and placental function.
Huang S, Wu D, Hao X, Nie J, Huang Z, Ma S, Chen Y, Chen S, Wu J, Sun J, Ao H, Gao B, Tan C
Journal of animal science 2023 Jan 3;101
Journal of animal science 2023 Jan 3;101
Protein kinase D1 promotes the survival of random-pattern skin flaps in rats.
Chen J, Chen H, Muhammad I, Han T, Zhang D, Li B, Zhou X, Zhou F
Biochemical and biophysical research communications 2023 Jan 22;641:67-76
Biochemical and biophysical research communications 2023 Jan 22;641:67-76
Targeting Tumor Hypoxia Inhibits Aggressive Phenotype of Dedifferentiated Thyroid Cancer.
Ma B, Wen S, Luo Y, Zhang T, Yang Y, Shen C, Zhang Y, Ji Q, Qu N, Wang Y
The Journal of clinical endocrinology and metabolism 2023 Jan 17;108(2):368-384
The Journal of clinical endocrinology and metabolism 2023 Jan 17;108(2):368-384
LncRNA BCAR4 promotes migration, invasion, and chemo-resistance by inhibiting miR-644a in breast cancer.
Wu T, Li X, Yan G, Tan Z, Zhao D, Liu S, Wang H, Xiang Y, Chen W, Lu H, Liao X, Li Y, Lu Z
Journal of experimental & clinical cancer research : CR 2023 Jan 10;42(1):14
Journal of experimental & clinical cancer research : CR 2023 Jan 10;42(1):14
The promoting effect of modified Dioscorea pills on vascular remodeling in chronic cerebral hypoperfusion via the Ang/Tie signaling pathway.
Kuang G, Shu Z, Zhu C, Li H, Zhang C
Translational neuroscience 2023 Jan 1;14(1):20220302
Translational neuroscience 2023 Jan 1;14(1):20220302
Tongluo Shenggu capsule promotes angiogenesis to ameliorate glucocorticoid-induced femoral head necrosis via upregulating VEGF signaling pathway.
Yang C, Wang J, Chen L, Xu T, Ming R, Hu Z, Fang L, Wang X, Li Q, Sun C, Liu C, Lin N
Phytomedicine : international journal of phytotherapy and phytopharmacology 2023 Feb;110:154629
Phytomedicine : international journal of phytotherapy and phytopharmacology 2023 Feb;110:154629
Differential Gene Expression Profiling in Alveolar Echinococcosis Identifies Potential Biomarkers Associated With Angiogenesis.
Yimingjiang M, Aini A, Tuergan T, Zhang W
Open forum infectious diseases 2023 Feb;10(2):ofad031
Open forum infectious diseases 2023 Feb;10(2):ofad031
Novel fusion protein PK5-RL-Gal-3C inhibits hepatocellular carcinoma via anti-angiogenesis and cytotoxicity.
Gao X, Jiang P, Wei X, Zhang W, Zheng J, Sun S, Yao H, Liu X, Zhang Q
BMC cancer 2023 Feb 15;23(1):154
BMC cancer 2023 Feb 15;23(1):154
Facile preparation of polyphenol-crosslinked chitosan-based hydrogels for cutaneous wound repair.
Wei Q, Zhao Y, Wei Y, Wang Y, Jin Z, Ma G, Jiang Y, Zhang W, Hu Z
International journal of biological macromolecules 2023 Feb 15;228:99-110
International journal of biological macromolecules 2023 Feb 15;228:99-110
The Possibility of IPC to Prevent Ischemic-Reperfusion Injury in Skeletal Muscle in a Rat.
Morikawa T, Shimasaki M, Ichiseki T, Ueda S, Ueda Y, Takahashi K
Journal of clinical medicine 2023 Feb 14;12(4)
Journal of clinical medicine 2023 Feb 14;12(4)
Network pharmacology analysis combined with experimental validation to explore the therapeutic mechanism of Schisandra Chinensis Mixture on diabetic nephropathy.
Ma Y, Deng Y, Li N, Dong A, Li H, Chen S, Zhang S, Zhang M
Journal of ethnopharmacology 2023 Feb 10;302(Pt A):115768
Journal of ethnopharmacology 2023 Feb 10;302(Pt A):115768
Extracellular vesicle-derived circCEBPZOS attenuates postmyocardial infarction remodeling by promoting angiogenesis via the miR-1178-3p/PDPK1 axis.
Yu L, Liang Y, Zhang M, Yang PC, Hinek A, Mao S
Communications biology 2023 Feb 1;6(1):133
Communications biology 2023 Feb 1;6(1):133
Glucose-responsive, antioxidative HA-PBA-FA/EN106 hydrogel enhanced diabetic wound healing through modulation of FEM1b-FNIP1 axis and promoting angiogenesis.
Zhang W, Zha K, Xiong Y, Hu W, Chen L, Lin Z, Yu C, Zhou W, Cao F, Hu H, Mi B, Liu G
Bioactive materials 2023 Dec;30:29-45
Bioactive materials 2023 Dec;30:29-45
Exploring the mechanism of resistance to vincristine in breast cancer cells using transcriptome sequencing technology.
Chen Y, Yang L, Wang C, Wang C
Oncology letters 2023 Dec;26(6):502
Oncology letters 2023 Dec;26(6):502
Effects of fresh bone marrow mononuclear cell therapy in rat model of retinopathy of prematurity.
Tanourlouee SB, Nasirzadeh M, Zolbin MM, Azimzadeh A, Babaei JF, Bitaraf M, Kajbafzadeh AM, Masoumi A, Hassani S, Mirnia K
Regenerative therapy 2023 Dec;24:43-53
Regenerative therapy 2023 Dec;24:43-53
Protocatechuic aldehyde increases pericyte coverage and mitigates pericyte damage to enhance the atherosclerotic plaque stability.
Zhang L, Li Y, Yang W, Lin L, Li J, Liu D, Li C, Wu J, Li Y
Biomedicine & pharmacotherapy = Biomedecine & pharmacotherapie 2023 Dec;168:115742
Biomedicine & pharmacotherapy = Biomedecine & pharmacotherapie 2023 Dec;168:115742
Inhibitory effect of telocyte-induced M1 macrophages on endometriosis: Targeting angiogenesis and invasion.
Wei XJ, Huang YL, Chen TQ, Yang XJ
Acta histochemica 2023 Dec;125(8):152099
Acta histochemica 2023 Dec;125(8):152099
Retinoic Acid-PPARα Mediates β-Carotene Resistance to Placental Dysfunction Induced by Deoxynivalenol.
Zhang L, Huang S, Ma K, Chen Y, Wei T, Ye H, Wu J, Liu L, Deng J, Luo H, Tan C
Journal of agricultural and food chemistry 2023 Dec 6;71(48):18696-18708
Journal of agricultural and food chemistry 2023 Dec 6;71(48):18696-18708
Functionalized MoS(2)-nanosheets with NIR-Triggered nitric oxide delivery and photothermal activities for synergistic antibacterial and regeneration-promoting therapy.
Mu Z, Jin T, Chu T, Lu H, Chen Y, Li S, Zeng B, Huang C, Lei K, Cai X, Deng H, Hu R
Journal of nanobiotechnology 2023 Dec 4;21(1):463
Journal of nanobiotechnology 2023 Dec 4;21(1):463
Tetrahydropalmatine: Orchestrating survival - Regulating autophagy and apoptosis via the PI3K/AKT/mTOR pathway in perforator flaps.
Chen X, Fu K, Lai Y, Dong C, Chen Z, Huang Y, Li G, Jiang R, Wu H, Wang A, Huang S, Shen L, Gao W, Li S
Biomedicine & pharmacotherapy = Biomedecine & pharmacotherapie 2023 Dec 31;169:115887
Biomedicine & pharmacotherapy = Biomedecine & pharmacotherapie 2023 Dec 31;169:115887
Pan-cancer analysis of homeodomain-containing gene C10 and its carcinogenesis in lung adenocarcinoma.
Tan X, Li Z, Xie H, Chen J, Xiao J, Zhi Y, Mo H, Huang Y, Liu A
Aging 2023 Dec 27;15(24):15243-15266
Aging 2023 Dec 27;15(24):15243-15266
GM-CSF improves endometrial receptivity in a thin endometrium rat model by upregulating HOXA10.
Wei W, Wang N, Zhu Y, Liao M, Wang B, Du T, Zhang J, Mao X
Molecular human reproduction 2023 Dec 24;30(1)
Molecular human reproduction 2023 Dec 24;30(1)
Succinate-induced macrophage polarization and RBP4 secretion promote vascular sprouting in ocular neovascularization.
Shen T, Lin R, Hu C, Yu D, Ren C, Li T, Zhu M, Wan Z, Su T, Wu Y, Cai W, Yu J
Journal of neuroinflammation 2023 Dec 21;20(1):308
Journal of neuroinflammation 2023 Dec 21;20(1):308
A Study on the Pharmacological Effects and Mechanism of Rhodojaponin III in Rheumatoid Arthritis.
Liu X, Li S, Xu Y, Mei W, Zhou R
Frontiers in bioscience (Landmark edition) 2023 Dec 15;28(12):337
Frontiers in bioscience (Landmark edition) 2023 Dec 15;28(12):337
Heat Stress-Induced Fetal Intrauterine Growth Restriction Is Associated with Elevated LPS Levels Along the Maternal Intestine-Placenta-Fetus Axis in Pregnant Mice.
Zheng X, Ma W, Wang Y, Wu C, Wang J, Ma Z, Wei Y, Cui C, Zhang S, Guan W, Chen F
Journal of agricultural and food chemistry 2023 Dec 13;71(49):19592-19609
Journal of agricultural and food chemistry 2023 Dec 13;71(49):19592-19609
Fabrication of an Adhesive Small Intestinal Submucosa Acellular Matrix Hydrogel for Accelerating Diabetic Wound Healing.
Chen Y, Hu M, Hu H, Ji S, Huang L, Wei W, Zhao K, Teng C
ACS omega 2023 Dec 12;8(49):46653-46662
ACS omega 2023 Dec 12;8(49):46653-46662
A biomaterial-based therapy for lower limb ischemia using Sr/Si bioactive hydrogel that inhibits skeletal muscle necrosis and enhances angiogenesis.
Yuan Y, Zhang Z, Mo F, Yang C, Jiao Y, Wang E, Zhang Y, Lin P, Hu C, Fu W, Chang J, Wang L
Bioactive materials 2023 Aug;26:264-278
Bioactive materials 2023 Aug;26:264-278
Rapamycin inhibits corneal inflammatory response and neovascularization in a mouse model of corneal alkali burn.
Li J, Han J, Shi Y, Liu M
Experimental eye research 2023 Aug;233:109539
Experimental eye research 2023 Aug;233:109539
WTAP promotes macrophage recruitment and increases VEGF secretion via N6-methyladenosine modification in corneal neovascularization.
Bai Y, Jiao X, Hu J, Xue W, Zhou Z, Wang W
Biochimica et biophysica acta. Molecular basis of disease 2023 Aug;1869(6):166708
Biochimica et biophysica acta. Molecular basis of disease 2023 Aug;1869(6):166708
Neutrophils regulate tumor angiogenesis in oral squamous cell carcinoma and the role of Chemerin.
Gao F, Feng Y, Hu X, Zhang X, Li T, Wang Y, Ge S, Wang C, Chi J, Tan X, Wang N
International immunopharmacology 2023 Aug;121:110540
International immunopharmacology 2023 Aug;121:110540
Metformin accelerates bone fracture healing by promoting type H vessel formation through inhibition of YAP1/TAZ expression.
Ruan Z, Yin H, Wan TF, Lin ZR, Zhao SS, Long HT, Long C, Li ZH, Liu YQ, Luo H, Cheng L, Chen C, Zeng M, Lin ZY, Zhao RB, Chen CY, Wang ZX, Liu ZZ, Cao J, Wang YY, Jin L, Liu YW, Zhu GQ, Zou JT, Gong JS, Luo Y, Hu Y, Zhu Y, Xie H
Bone research 2023 Aug 16;11(1):45
Bone research 2023 Aug 16;11(1):45
Weizmannia coagulans JA845 improves atherosclerosis induced by vitamin D3 and high-fat diet in rats through modulating lipid metabolism, oxidative stress, and endothelial vascular injury.
Ma L, Zhao Z, Zhao Y, Gao Y, Zhao L, Li S
Journal of applied microbiology 2023 Aug 1;134(8)
Journal of applied microbiology 2023 Aug 1;134(8)
Bispecific GPC3/PD‑1 CAR‑T cells for the treatment of HCC.
Li D, Qin J, Zhou T, Li Y, Cheng X, Chen Z, Chen J, Zheng WV
International journal of oncology 2023 Apr;62(4)
International journal of oncology 2023 Apr;62(4)
Synergistic Effect of Magneto-Mechanical Bioengineered Stem Cells and Magnetic Field to Alleviate Osteoporosis.
Yu C, Yang W, Yang L, Ye L, Sun R, Gu T, Ying X, Wang M, Tang R, Fan S, Yao S
ACS applied materials & interfaces 2023 Apr 26;15(16):19976-19988
ACS applied materials & interfaces 2023 Apr 26;15(16):19976-19988
Nuclear translocation of cGAS orchestrates VEGF-A-mediated angiogenesis.
Luo J, Lu C, Chen Y, Wu X, Zhu C, Cui W, Yu S, Li N, Pan Y, Zhao W, Yang Q, Yang X
Cell reports 2023 Apr 25;42(4):112328
Cell reports 2023 Apr 25;42(4):112328
Whole-transcriptome sequencing analysis reveal mechanisms of Yiqi Huoxue Yangyin (YHY) decoction in ameliorating D-gal-induced cardiac aging.
Wang X, Zhang J, Xiu C, Yang J, Liu Y, Lei Y
Aging 2023 Apr 17;15(8):2906-2919
Aging 2023 Apr 17;15(8):2906-2919
Hypoxia preconditioned DPSC-derived exosomes regulate angiogenesis via transferring LOXL2.
Li B, Liang A, Zhou Y, Huang Y, Liao C, Zhang X, Gong Q
Experimental cell research 2023 Apr 15;425(2):113543
Experimental cell research 2023 Apr 15;425(2):113543
SHMT2 Promotes Gastric Cancer Development through Regulation of HIF1α/VEGF/STAT3 Signaling.
Wang W, Wang M, Du T, Hou Z, You S, Zhang S, Ji M, Xue N, Chen X
International journal of molecular sciences 2023 Apr 12;24(8)
International journal of molecular sciences 2023 Apr 12;24(8)
Effects of limonin treatment on the survival of random skin flaps in mice.
Zhang T, Huang Q, Gan K, Zhou K, Hu K, Ding W, Jin J, Li J
Frontiers in surgery 2022;9:1043239
Frontiers in surgery 2022;9:1043239
Tiaojing Cuyun Recipe Enhances Pregnancy Outcome via the VEGF/PI3K/AKT/eNOS Signaling Pathway in EID Mice.
Huang H, Xia L, Xia Y, Yan Y, Jiang Z, Zhao P, Dong L
Disease markers 2022;2022:9461444
Disease markers 2022;2022:9461444
A Network Pharmacology Approach for Uncovering the Antitumor Effects and Potential Mechanisms of the Sijunzi Decoction for the Treatment of Gastric Cancer.
Ding P, Guo Y, Wang C, Chen J, Guo C, Liu H, Shi Q
Evidence-based complementary and alternative medicine : eCAM 2022;2022:9364313
Evidence-based complementary and alternative medicine : eCAM 2022;2022:9364313
Upregulation of PNCK Promotes Metastasis and Angiogenesis via Activating NF-κB/VEGF Pathway in Nasopharyngeal Carcinoma.
Chen X, Weng Y, Li Y, Fu W, Huang Z, Pan Y, Hong W, Lin W, Lin X, Qiu S
Journal of oncology 2022;2022:8541582
Journal of oncology 2022;2022:8541582
The Hair Growth-Promoting Effect of Gardenia florida Fruit Extract and Its Molecular Regulation.
Liu X, Ji T, Hu H, Lv X, Zhu G
Evidence-based complementary and alternative medicine : eCAM 2022;2022:8498974
Evidence-based complementary and alternative medicine : eCAM 2022;2022:8498974
Effects of Infrared Combined with Methylcobalamin on the Vibratory Sensory Threshold and Nerve Conduction Velocity of the Lower Extremity in Patients with Diabetic Foot Treatment.
Wang Y, Lin S, Chen Z, Chen Q, Fu M
Disease markers 2022;2022:8287192
Disease markers 2022;2022:8287192
Protective Effects of Herba Houttuyniae Aqueous Extract against OVA-Induced Airway Hyperresponsiveness and Inflammation in Asthmatic Mice.
Yang Y, Lai Q, Wang C, Zhou G
Evidence-based complementary and alternative medicine : eCAM 2022;2022:7609785
Evidence-based complementary and alternative medicine : eCAM 2022;2022:7609785
Inhibition of Angiogenesis by MiR-524-5p through Suppression of AKT and ERK Activation by Targeting CXCR7 in Colon Cancer Cells.
Li X, Li Z, Li C, Fang Y, Zhang G, Yan Y, Zhao X, Song X, Zhang Z
Journal of oncology 2022;2022:7224840
Journal of oncology 2022;2022:7224840
Trimethylamine N-Oxide Promotes Cell Proliferation and Angiogenesis in Colorectal Cancer.
Yang S, Dai H, Lu Y, Li R, Gao C, Pan S
Journal of immunology research 2022;2022:7043856
Journal of immunology research 2022;2022:7043856
Influence of P(VDF-TrFE) Membranes with Different Surface Potentials on the Activity and Angiogenic Function of Human Umbilical Vein Endothelial Cells.
Xu Y, Cheng M, Zhu P, Yang S, Lai C, Xu S
BioMed research international 2022;2022:5693994
BioMed research international 2022;2022:5693994
Inhibition of KCTD10 Affects Diabetic Retinopathy Progression by Reducing VEGF and Affecting Angiogenesis.
Feng Y, Wang C, Wang G
Genetics research 2022;2022:4112307
Genetics research 2022;2022:4112307
Radix Actinidia chinensis Suppresses Renal Cell Carcinoma Progression: Network Pharmacology Prediction and In Vivo Experimental Validation.
Liu B, Zhang L
Analytical cellular pathology (Amsterdam) 2022;2022:3584445
Analytical cellular pathology (Amsterdam) 2022;2022:3584445
ATAD2 Upregulation Promotes Tumor Growth and Angiogenesis in Endometrial Cancer and Is Associated with Its Immune Infiltration.
Wang C, Yin Y, Sun Z, Wang Y, Li F, Wang Y, Zhang Z, Chen X
Disease markers 2022;2022:2334338
Disease markers 2022;2022:2334338
GLP-1 RA Improves Diabetic Retinopathy by Protecting the Blood-Retinal Barrier through GLP-1R-ROCK-p-MLC Signaling Pathway.
Wei L, Mo W, Lan S, Yang H, Huang Z, Liang X, Li L, Xian J, Xie X, Qin Y, Lin F, Luo Z
Journal of diabetes research 2022;2022:1861940
Journal of diabetes research 2022;2022:1861940
Tissue Kallikrein Protects Rat Prostate against the Inflammatory Damage in a Chronic Autoimmune Prostatitis Model via Restoring Endothelial Function in a Bradykinin Receptor B2-Dependent Way.
Zhang M, Lin D, Luo C, Wei P, Cui K, Chen Z
Oxidative medicine and cellular longevity 2022;2022:1247806
Oxidative medicine and cellular longevity 2022;2022:1247806
Low expression of microRNA-125b enhances the expression of STAT3 and contributes to cholesteatoma growth.
Zang J, Yang B, Feng S, Jiang X
Archives of medical science : AMS 2022;18(6):1596-1606
Archives of medical science : AMS 2022;18(6):1596-1606
Smart thermosensitive poloxamer hydrogels loaded with Nr-CWs for the treatment of diabetic wounds.
Wang J, Zhao B, Sun L, Jiang L, Li Q, Jin P
PloS one 2022;17(12):e0279727
PloS one 2022;17(12):e0279727
LncRNA LINC01857 reduces metastasis and angiogenesis in breast cancer cells via regulating miR-2052/CENPQ axis.
Qian W, Yang L, Ni Y, Yin F, Qin L, Yang Y
Open medicine (Warsaw, Poland) 2022;17(1):1357-1367
Open medicine (Warsaw, Poland) 2022;17(1):1357-1367
Rapamycin Liposomes Combined with 5-Fluorouracil Inhibits Angiogenesis and Tumor Growth of APC ((Min/+)) Mice and AOM/DSS-Induced Colorectal Cancer Mice.
Liu XM, Zhu WT, Jia ML, Li YT, Hong Y, Liu ZQ, Yan PK
International journal of nanomedicine 2022;17:5049-5061
International journal of nanomedicine 2022;17:5049-5061
Antidepressant-Like Effect and Mechanism of Ginsenoside Rd on Rodent Models of Depression.
Li Y, Wang ML, Zhang B, Fan XX, Tang Q, Yu X, Li LN, Fan AR, Chang HS, Zhang LZ
Drug design, development and therapy 2022;16:843-861
Drug design, development and therapy 2022;16:843-861
Chitosan/Sodium Alginate/Velvet Antler Blood Peptides Hydrogel Promotes Diabetic Wound Healing via Regulating Angiogenesis, Inflammatory Response and Skin Flora.
Hao M, Ding C, Sun S, Peng X, Liu W
Journal of inflammation research 2022;15:4921-4938
Journal of inflammation research 2022;15:4921-4938
Identification of a novel immune gene panel in tongue squamous cell carcinoma.
Sun J, Guo F, Tang Q, Chen G, Peng J, Shen Y, Zhang J, Hu J, Yang C
American journal of translational research 2022;14(5):2801-2824
American journal of translational research 2022;14(5):2801-2824
Bevacizumab is an Efficient Therapeutic Approach with Low Side Effects in Patient-Derived Xenografts of Adenoid Cystic Carcinoma of the Lacrimal Gland.
Zhang J, Yan X, Liu R, Wu S, Liu Q, Li J, Ma J
Cancer management and research 2022;14:1023-1032
Cancer management and research 2022;14:1023-1032
Analysis of the absorbed constituents and mechanism of liquidambaris fructus extract on hepatocellular carcinoma.
Wang S, Yang XX, Li TJ, Zhao L, Bao YR, Meng XS
Frontiers in pharmacology 2022;13:999935
Frontiers in pharmacology 2022;13:999935
Modified Qing' e Pills exerts anti-osteoporosis effects and prevents bone loss by enhancing type H blood vessel formation.
Lu J, Hu D, Ma C, Xu X, Shen L, Rong J, Zhao J, Shuai B
Frontiers in endocrinology 2022;13:998971
Frontiers in endocrinology 2022;13:998971
Endoglin aggravates peritoneal fibrosis by regulating the activation of TGF-β/ALK/Smads signaling.
Huang Q, Xiao R, Lu J, Zhang Y, Xu L, Gao J, Sun J, Wang H
Frontiers in pharmacology 2022;13:973182
Frontiers in pharmacology 2022;13:973182
Honokiol improves depression-like behaviors in rats by HIF-1α- VEGF signaling pathway activation.
Fan XX, Sun WY, Li Y, Tang Q, Li LN, Yu X, Wang SY, Fan AR, Xu XQ, Chang HS
Frontiers in pharmacology 2022;13:968124
Frontiers in pharmacology 2022;13:968124
TAZ Induces Migration of Microglia and Promotes Neurological Recovery After Spinal Cord Injury.
Hu X, Huang J, Li Y, Dong L, Chen Y, Ouyang F, Li J, Li Z, Jing J, Cheng L
Frontiers in pharmacology 2022;13:938416
Frontiers in pharmacology 2022;13:938416
Dandelion Seed Extract Affects Tumor Progression and Enhances the Sensitivity of Cisplatin in Esophageal Squamous Cell Carcinoma.
Li Y, Deng Y, Zhang X, Fu H, Han X, Guo W, Zhao W, Zhao X, Yu C, Li H, Lei K, Wang T
Frontiers in pharmacology 2022;13:897465
Frontiers in pharmacology 2022;13:897465
HIF1α/VEGF Feedback Loop Contributes to 5-Fluorouracil Resistance.
Shi B, Xu FF, Xiang CP, Li CY, Fan P, Wang H
Frontiers in pharmacology 2022;13:851401
Frontiers in pharmacology 2022;13:851401
The Effect of Blood Flow-Restricted Low Resistance Training on Microvascular Circulation of Myocardium in Spontaneously Hypertensive Rats.
Tan Z, Zhao Y, Zheng Y, Pan Y
Frontiers in physiology 2022;13:829718
Frontiers in physiology 2022;13:829718
Baohuoside I Inhibits Tumor Angiogenesis in Multiple Myeloma via the Peroxisome Proliferator-Activated Receptor γ/Vascular Endothelial Growth Factor Signaling Pathway.
Chen Y, Zhang L, Zang X, Shen X, Li J, Chen L
Frontiers in pharmacology 2022;13:822082
Frontiers in pharmacology 2022;13:822082
Diallyl Trisulfide Enhances the Survival of Multiterritory Perforator Skin Flaps.
Dong C, Chen Z, Zhu L, Bsoul N, Wu H, Jiang J, Chen X, Lai Y, Yu G, Gu Y, Guo X, Gao W
Frontiers in pharmacology 2022;13:809034
Frontiers in pharmacology 2022;13:809034
Astragalus propinquus schischkin and Salvia miltiorrhiza bunge promote angiogenesis to treat myocardial ischemia via Ang-1/Tie-2/FAK pathway.
Zhang MX, Huang XY, Song Y, Xu WL, Li YL, Li C
Frontiers in pharmacology 2022;13:1103557
Frontiers in pharmacology 2022;13:1103557
Fenofibrate suppresses corneal neovascularization by regulating lipid metabolism through PPARα signaling pathway.
Zhou T, Yan K, Zhang Y, Zhu L, Liao Y, Zheng X, Chen Y, Li X, Liu Z, Zhang Z
Frontiers in pharmacology 2022;13:1000254
Frontiers in pharmacology 2022;13:1000254
E2F1-mediated GINS2 transcriptional activation promotes tumor progression through PI3K/AKT/mTOR pathway in hepatocellular carcinoma.
Zhang Y, Hao X, Han G, Lu Y, Chen Z, Zhang L, Wu J, Wang X
American journal of cancer research 2022;12(4):1707-1726
American journal of cancer research 2022;12(4):1707-1726
Combination of Radiofrequency Ablation With Resiquimod to Treat Hepatocellular Carcinoma Via Inflammation of Tumor Immune Microenvironment and Suppression of Angiogenesis.
Tian Z, Hong B, Chen J, Tang Z
Frontiers in oncology 2022;12:891724
Frontiers in oncology 2022;12:891724
Aerobic exercise-induced circulating extracellular vesicle combined decellularized dermal matrix hydrogel facilitates diabetic wound healing by promoting angiogenesis.
Liu H, Wu B, Shi X, Cao Y, Zhao X, Liang D, Qin Q, Liang X, Lu W, Wang D, Liu J
Frontiers in bioengineering and biotechnology 2022;10:903779
Frontiers in bioengineering and biotechnology 2022;10:903779
Theaflavin Attenuates TBHP-Induced Endothelial Cells Oxidative Stress by Activating PI3K/AKT/Nrf2 and Accelerates Wound Healing in Rats.
Chen D, Wu Z, Wu LN, Jiang J, Hu GN
Frontiers in bioengineering and biotechnology 2022;10:830574
Frontiers in bioengineering and biotechnology 2022;10:830574
Enhanced effect of combining bone marrow mesenchymal stem cells (BMMSCs) and pulsed electromagnetic fields (PEMF) to promote recovery after spinal cord injury in mice.
Huang L, Sun X, Wang L, Pei G, Wang Y, Zhang Q, Liang Z, Wang D, Fu C, He C, Wei Q
MedComm 2022 Sep;3(3):e160
MedComm 2022 Sep;3(3):e160
Multifunctional hydrogels for wound dressings using xanthan gum and polyacrylamide.
Tang S, Gong Z, Wang Z, Gao X, Zhang X
International journal of biological macromolecules 2022 Sep 30;217:944-955
International journal of biological macromolecules 2022 Sep 30;217:944-955
Antitumor effect of Escherichia coli-derived outer membrane vesicles on neuroblastoma in vitro and in vivo.
Jin L, Zhang Z, Tan X, Wang Z, Tang B, Wang Z, Li M, Mi T, Shen L, Long C, Wei G, He D
Acta biochimica et biophysica Sinica 2022 Sep 25;54(9):1301-1313
Acta biochimica et biophysica Sinica 2022 Sep 25;54(9):1301-1313
Effects of dietary supplementation of gestating sows with adenosine 5'-monophosphate or adenosine on placental angiogenesis and vitality of their offspring.
Wu D, Feng L, Hao X, Huang S, Wu Z, Ma S, Yin Y, Tan C
Journal of animal science 2022 Sep 1;100(9)
Journal of animal science 2022 Sep 1;100(9)
EP300 promotes renal tubular epithelial cell fibrosis by increasing HIF2α expression in diabetic nephropathy.
Gong Y, Dou Y, Wang L, Wang X, Zhao Z
Cellular signalling 2022 Oct;98:110407
Cellular signalling 2022 Oct;98:110407
A3 adenosine receptor allosteric modulator CF602 reverses erectile dysfunction in a diabetic rat model.
Itzhak I, Cohen S, Fishman S, Fishman P
Andrologia 2022 Oct;54(9):e14498
Andrologia 2022 Oct;54(9):e14498
Environmental exposure to microcystin-LR increases the risks of urinary bladder proliferation and carcinogenesis: Evidence from case control, animal, and in vitro studies.
Pan C, Qin H, Jin H, Chen W, Guo H, Han X
Toxicology 2022 Oct;480:153326
Toxicology 2022 Oct;480:153326
Protective effects of ZIP8 on Toxoplasma gondii-induced acute hepatocyte injury in mice.
Wang Y, Wang C, Chen H, Zhang Y, Gao N, Yu Y, Xing Y, Xie L, Wang Z, Cai Y
Acta tropica 2022 Oct;234:106629
Acta tropica 2022 Oct;234:106629
Exosomes Derived from Bone Marrow Mesenchymal Stem Cells Alleviate Ischemia-Reperfusion Injury and Promote Survival of Skin Flaps in Rats.
Niu Q, Yang Y, Li D, Guo W, Wang C, Xu H, Feng Z, Han Z
Life (Basel, Switzerland) 2022 Oct 9;12(10)
Life (Basel, Switzerland) 2022 Oct 9;12(10)
Shengyu Decoction treating vascular cognitive impairment by promoting AKT/HIF-1α/VEGF related cerebrovascular generation and ameliorating MAPK/NF-κB mediated neuroinflammation.
Fang C, Liu J, Feng M, Jia Z, Li Y, Dai Y, Zhu M, Huang B, Liu L, Wei Z, Wang X, Xiao H
Journal of ethnopharmacology 2022 Oct 5;296:115441
Journal of ethnopharmacology 2022 Oct 5;296:115441
Hypoxia-Activated Prodrugs with Dual COX-2/CA Inhibitory Effects on Attenuating Cardiac Inflammation under Hypoxia.
Zhou W, Wang C, Liu Z, Gou S
Journal of medicinal chemistry 2022 Oct 13;65(19):13436-13451
Journal of medicinal chemistry 2022 Oct 13;65(19):13436-13451
Activation of Piezo1 contributes to matrix stiffness-induced angiogenesis in hepatocellular carcinoma.
Li M, Zhang X, Wang M, Wang Y, Qian J, Xing X, Wang Z, You Y, Guo K, Chen J, Gao D, Zhao Y, Zhang L, Chen R, Cui J, Ren Z
Cancer communications (London, England) 2022 Nov;42(11):1162-1184
Cancer communications (London, England) 2022 Nov;42(11):1162-1184
Endothelial-Specific Molecule 1 Inhibition Lessens Productive Angiogenesis and Tumor Metastasis to Overcome Bevacizumab Resistance.
Kang N, Liang X, Fan B, Zhao C, Shen B, Ji X, Liu Y
Cancers 2022 Nov 18;14(22)
Cancers 2022 Nov 18;14(22)
Programmed death ligand 1 and tumor-infiltrating CD8(+) T lymphocytes are associated with the clinical features in meningioma.
Zhang Y, Wang X, Shi M, Song Y, Yu J, Han S
BMC cancer 2022 Nov 12;22(1):1171
BMC cancer 2022 Nov 12;22(1):1171
Polarization and β-Glucan Reprogram Immunomodulatory Metabolism in Human Macrophages and Ex Vivo in Human Lung Cancer Tissues.
Fan TW, Daneshmandi S, Cassel TA, Uddin MB, Sledziona J, Thompson PT, Lin P, Higashi RM, Lane AN
Journal of immunology (Baltimore, Md. : 1950) 2022 Nov 1;209(9):1674-1690
Journal of immunology (Baltimore, Md. : 1950) 2022 Nov 1;209(9):1674-1690
Endothelial regulation of calmodulin expression and eNOS-calmodulin interaction in vascular smooth muscle.
Stencel MG, VerMeer M, Giles J, Tran QK
Molecular and cellular biochemistry 2022 May;477(5):1489-1498
Molecular and cellular biochemistry 2022 May;477(5):1489-1498
Intraoperative Hypothermia Induces Vascular Dysfunction in the CA1 Region of Rat Hippocampus.
Li T, Xu G, Yi J, Huang Y
Brain sciences 2022 May 27;12(6)
Brain sciences 2022 May 27;12(6)
m6A methylated EphA2 and VEGFA through IGF2BP2/3 regulation promotes vasculogenic mimicry in colorectal cancer via PI3K/AKT and ERK1/2 signaling.
Liu X, He H, Zhang F, Hu X, Bi F, Li K, Yu H, Zhao Y, Teng X, Li J, Wang L, Zhang Y, Wu Q
Cell death & disease 2022 May 21;13(5):483
Cell death & disease 2022 May 21;13(5):483
Cystathionine-β-synthase (CBS)/H2S system promotes lymph node metastasis of esophageal squamous cell carcinoma (ESCC) by activating SIRT1.
Liu Y, Pan L, Li Y, Deng Y, Han X, Fu H, Wang T
Carcinogenesis 2022 May 19;43(4):382-392
Carcinogenesis 2022 May 19;43(4):382-392
Metformin regulates macrophage polarization via the Shh signaling pathway to improve pulmonary vascular development in bronchopulmonary dysplasia.
Xiang X, Zhou L, Lin Z, Qu X, Chen Y, Xia H
IUBMB life 2022 Mar;74(3):259-271
IUBMB life 2022 Mar;74(3):259-271
iASPP is essential for HIF-1α stabilization to promote angiogenesis and glycolysis via attenuating VHL-mediated protein degradation.
Zhao D, Zheng S, Wang X, Liu H, Zhao K, Li L, Hu Y
Oncogene 2022 Mar;41(13):1944-1958
Oncogene 2022 Mar;41(13):1944-1958
Vitamin C Deficiency Causes Cell Type-Specific Epigenetic Reprogramming and Acute Tubular Necrosis in a Mouse Model.
Yu Z, Xu Z, Liang Y, Yin P, Shi Y, Yu J, Hao J, Wang T, Ci W
Journal of the American Society of Nephrology : JASN 2022 Mar;33(3):531-546
Journal of the American Society of Nephrology : JASN 2022 Mar;33(3):531-546
Downregulation of miR-491-5p promotes neovascularization after traumatic brain injury.
Tang W, Guo ZD, Chai WN, Du DL, Yang XM, Cao L, Chen H, Zhou C, Cheng CJ, Sun XC, Huang ZJ, Zhong JJ
Neural regeneration research 2022 Mar;17(3):577-586
Neural regeneration research 2022 Mar;17(3):577-586
Injectable multifunctional CMC/HA-DA hydrogel for repairing skin injury.
Cui L, Li J, Guan S, Zhang K, Zhang K, Li J
Materials today. Bio 2022 Mar;14:100257
Materials today. Bio 2022 Mar;14:100257
Hepatoprotective mechanism of Silybum marianum on nonalcoholic fatty liver disease based on network pharmacology and experimental verification.
Jiang G, Sun C, Wang X, Mei J, Li C, Zhan H, Liao Y, Zhu Y, Mao J
Bioengineered 2022 Mar;13(3):5216-5235
Bioengineered 2022 Mar;13(3):5216-5235
Inhibition of RIP3 increased ADSC viability under OGD and modified the competency of adipogenesis, angiogenesis, and inflammation regulation.
Yang Z, Qi Z, Yang X, Gao Q, Hu Y, Yuan X
Bioscience reports 2022 Mar 31;42(3)
Bioscience reports 2022 Mar 31;42(3)
SPIONs mediated magnetic actuation promotes nerve regeneration by inducing and maintaining repair-supportive phenotypes in Schwann cells.
Liu T, Wang Y, Lu L, Liu Y
Journal of nanobiotechnology 2022 Mar 27;20(1):159
Journal of nanobiotechnology 2022 Mar 27;20(1):159
The molecular mechanism of baicalein repressing progression of gastric cancer mediating miR-7/FAK/AKT signaling pathway.
Qiao D, Xing J, Duan Y, Wang S, Yao G, Zhang S, Jin J, Lin Z, Chen L, Piao Y
Phytomedicine : international journal of phytotherapy and phytopharmacology 2022 Jun;100:154046
Phytomedicine : international journal of phytotherapy and phytopharmacology 2022 Jun;100:154046
Functionalized injectable hyaluronic acid hydrogel with antioxidative and photothermal antibacterial activity for infected wound healing.
Ren Y, Ma S, Zhang D, Guo S, Chang R, He Y, Yao M, Guan F
International journal of biological macromolecules 2022 Jun 15;210:218-232
International journal of biological macromolecules 2022 Jun 15;210:218-232
Effects of STAT3 on aging-dependent neovascularization impairment following limb ischemia: from bedside to bench.
Chang WT, Lin YC, Hong CS, Huang PS, Lin YW, Chen ZC, Lin TH, Chao TH
Aging 2022 Jun 13;14(11):4897-4913
Aging 2022 Jun 13;14(11):4897-4913
Hypoxia-inducible factor protects against acute kidney injury via the Wnt/β-catenin signaling pathway.
Xu ZH, Wang C, He YX, Mao XY, Zhang MZ, Hou YP, Li B
American journal of physiology. Renal physiology 2022 Jun 1;322(6):F611-F624
American journal of physiology. Renal physiology 2022 Jun 1;322(6):F611-F624
A dual crosslinked hydrogel-mediated integrated peptides and BMSC therapy for myocardial regeneration.
Zheng Z, Guo Z, Zhong F, Wang B, Liu L, Ma W, Yu CY, Wei H
Journal of controlled release : official journal of the Controlled Release Society 2022 Jul;347:127-142
Journal of controlled release : official journal of the Controlled Release Society 2022 Jul;347:127-142
Exercise promotes angiogenesis by enhancing endothelial cell fatty acid utilization via liver-derived extracellular vesicle miR-122-5p.
Lou J, Wu J, Feng M, Dang X, Wu G, Yang H, Wang Y, Li J, Zhao Y, Shi C, Liu J, Zhao L, Zhang X, Gao F
Journal of sport and health science 2022 Jul;11(4):495-508
Journal of sport and health science 2022 Jul;11(4):495-508
Identifying the anti-metastasis effect of Anhydroicaritin on breast cancer: Coupling network pharmacology with experimental validation.
Shi Y, Wu Y, Li F, Zhang Y, Hua C, Yang J, Zheng J, Chen L, Wei Z, Yue H, Sun C, Zhou X, Liu S
Journal of ethnopharmacology 2022 Jul 15;293:115326
Journal of ethnopharmacology 2022 Jul 15;293:115326
GCN5 participates in KLF4-VEGFA feedback to promote endometrial angiogenesis.
Cao C, Zhou Y, Zhang Y, Ma Y, Du S, Fan L, Niu R, Zhang Y, He M
iScience 2022 Jul 15;25(7):104509
iScience 2022 Jul 15;25(7):104509
Combination of mitochondria impairment and inflammation blockade to combat metastasis.
Yi X, Yan Y, Li L, Zhou R, Shen X, Huang Y
Journal of controlled release : official journal of the Controlled Release Society 2022 Jan;341:753-768
Journal of controlled release : official journal of the Controlled Release Society 2022 Jan;341:753-768
TRPS1 knockdown inhibits angiogenic vascular mimicry in human triple negative breast cancer cells.
Wu M, Sun X, Wang T, Zhang M, Li P
Clinical & translational oncology : official publication of the Federation of Spanish Oncology Societies and of the National Cancer Institute of Mexico 2022 Jan;24(1):145-153
Clinical & translational oncology : official publication of the Federation of Spanish Oncology Societies and of the National Cancer Institute of Mexico 2022 Jan;24(1):145-153
Facile preparation of polysaccharides-based adhesive hydrogel with antibacterial and antioxidant properties for promoting wound healing.
Wei Q, Chen K, Zhang X, Ma G, Zhang W, Hu Z
Colloids and surfaces. B, Biointerfaces 2022 Jan;209(Pt 1):112208
Colloids and surfaces. B, Biointerfaces 2022 Jan;209(Pt 1):112208
Lycium barbarum polysaccharides attenuates high glucose-induced diabetic retinal angiogenesis by rescuing the expression of miR-15a-5p in RF/6A cells.
Zhu Y, Zhao Q, Jiang Y
Journal of ethnopharmacology 2022 Jan 30;283:114652
Journal of ethnopharmacology 2022 Jan 30;283:114652
Vitamin D(3) protects intrauterine growth restriction induced by cooking oil fume derived fine particulate matters.
Ding R, Li J, Zhang Q, Zhang C, Li N, Sun S, Li C, Shen C, Zhao Q, Chen H, Hao J, Cao J
Ecotoxicology and environmental safety 2022 Jan 1;229:113103
Ecotoxicology and environmental safety 2022 Jan 1;229:113103
LPS-pretreatment adipose-derived mesenchymal stromal cells promote wound healing in diabetic rats by improving angiogenesis.
Wang K, Chen Z, Jin L, Zhao L, Meng L, Kong F, He C, Kong F, Zheng L, Liang F
Injury 2022 Dec;53(12):3920-3929
Injury 2022 Dec;53(12):3920-3929
Role of GADD45A in myocardial ischemia/reperfusion through mediation of the JNK/p38 MAPK and STAT3/VEGF pathways.
Wang Y, Gao H, Cao X, Li Z, Kuang Y, Ji Y, Li Y
International journal of molecular medicine 2022 Dec;50(6)
International journal of molecular medicine 2022 Dec;50(6)
Effect of hydroxychloroquine on antiphospholipid antibodies-inhibited endometrial angiogenesis.
Dong Y, Lu Y, Xia Y, Wang X
The journal of maternal-fetal & neonatal medicine : the official journal of the European Association of Perinatal Medicine, the Federation of Asia and Oceania Perinatal Societies, the International Society of Perinatal Obstetricians 2022 Dec;35(25):7084-7092
The journal of maternal-fetal & neonatal medicine : the official journal of the European Association of Perinatal Medicine, the Federation of Asia and Oceania Perinatal Societies, the International Society of Perinatal Obstetricians 2022 Dec;35(25):7084-7092
A silk fibroin/chitosan/nanohydroxyapatite biomimetic bone scaffold combined with autologous concentrated growth factor promotes the proliferation and osteogenic differentiation of BMSCs and repair of critical bone defects.
Zhou Y, Liu X, She H, Wang R, Bai F, Xiang B
Regenerative therapy 2022 Dec;21:307-321
Regenerative therapy 2022 Dec;21:307-321
Extracellular vesicles derived from human umbilical cord mesenchymal stem cells stimulate angiogenesis in myocardial infarction via the microRNA-423-5p/EFNA3 axis.
Gao T, Fan H, Wang J, Wang R
Postepy w kardiologii interwencyjnej = Advances in interventional cardiology 2022 Dec;18(4):373-391
Postepy w kardiologii interwencyjnej = Advances in interventional cardiology 2022 Dec;18(4):373-391
Perinatal exposure to glyphosate-based herbicides impairs progeny health and placental angiogenesis by disturbing mitochondrial function.
Bai G, Jiang X, Qin J, Zou Y, Zhang W, Teng T, Shi B, Sun H
Environment international 2022 Dec;170:107579
Environment international 2022 Dec;170:107579
Bacteria-mediated tumor-targeted delivery of tumstatin (54-132) significantly suppresses tumor growth in mouse model by inhibiting angiogenesis and promoting apoptosis.
Bao F, Liu M, Gai W, Hua Y, Li J, Han C, Zai Z, Li J, Hua Z
Frontiers of medicine 2022 Dec;16(6):873-882
Frontiers of medicine 2022 Dec;16(6):873-882
Nanoscale CaO(2) materials for synergistic transarterial chemoembolization in a VX2 orthotopic rabbit liver cancer model.
Wang Y, He X, Zhou C, Bai Y, Li T, Liu J, Ju S, Wang C, Xiang G, Xiong B
Acta biomaterialia 2022 Dec;154:536-548
Acta biomaterialia 2022 Dec;154:536-548
Halide-containing bioactive glasses enhance osteogenesis in vitro and in vivo.
Chen X, Liu Y, Zhao Y, Ouyang Z, Zhou H, Li L, Li L, Li F, Xie X, Hill RG, Wang S, Chen X
Biomaterials advances 2022 Dec;143:213173
Biomaterials advances 2022 Dec;143:213173
Melatonin improves pregnancy outcomes in adenomyosis mice by restoring endometrial receptivity via NF-κB/apoptosis signaling.
Guan X, Liu D, Zhou H, Dai C, Wang T, Fang Y, Jia Y, Li K
Annals of translational medicine 2022 Dec;10(24):1317
Annals of translational medicine 2022 Dec;10(24):1317
Effect of hypoxia on HIF-1α/MDR1/VEGF expression in gastric cancer cells treated with 5-fluorouracil.
Wang L, Xing W, Qi J, Lu Y, Xiang L, Zhou Y
Zhong nan da xue xue bao. Yi xue ban = Journal of Central South University. Medical sciences 2022 Dec 28;47(12):1629-1636
Zhong nan da xue xue bao. Yi xue ban = Journal of Central South University. Medical sciences 2022 Dec 28;47(12):1629-1636
CPSF4 promotes tumor-initiating phenotype by enhancing VEGF/NRP2/TAZ signaling in lung cancer.
Song Y, Sun K, Gong L, Shi L, Qin T, Wang S, Deng W, Chen W, Zheng F, Li G
Medical oncology (Northwood, London, England) 2022 Dec 26;40(1):62
Medical oncology (Northwood, London, England) 2022 Dec 26;40(1):62
Targeting regulation of VEGF by BPTF in non-small cell lung cancer and its potential clinical significance.
Dai M, Hua C, Wang M, Gao L, Jiang L, Liu Y
European journal of medical research 2022 Dec 19;27(1):299
European journal of medical research 2022 Dec 19;27(1):299
Inactivation of Yes-Associated Protein Mediates Trophoblast Dysfunction: A New Mechanism of Pregnancy Loss Associated with Anti-Phospholipid Antibodies?
Huang Z, Tang Z, Guan H, Leung W, Wang L, Xia H, Zhang W
Biomedicines 2022 Dec 19;10(12)
Biomedicines 2022 Dec 19;10(12)
Endothelial PDGF-BB/PDGFR-β signaling promotes osteoarthritis by enhancing angiogenesis-dependent abnormal subchondral bone formation.
Cui Z, Wu H, Xiao Y, Xu T, Jia J, Lin H, Lin R, Chen K, Lin Y, Li K, Wu X, Li C, Yu B
Bone research 2022 Aug 29;10(1):58
Bone research 2022 Aug 29;10(1):58
Extracellular Vesicles Isolated From Hypoxia-Preconditioned Adipose-Derived Stem Cells Promote Hypoxia-Inducible Factor 1α-Mediated Neovascularization of Random Skin Flap in Rats.
Wu S, Hu X, Wang ZH, Zhu YZ, Wang JW, Nie JY, Yang JM, Yi YY
Annals of plastic surgery 2022 Aug 1;89(2):225-229
Annals of plastic surgery 2022 Aug 1;89(2):225-229
Targeting Vascular endothelial growth factor A with soluble vascular endothelial growth factor receptor 1 ameliorates nerve injury-induced neuropathic pain.
Peng Z, Yang F, Huang S, Tang Y, Wan L
Molecular pain 2022 Apr;18:17448069221094528
Molecular pain 2022 Apr;18:17448069221094528
TIM-1 promotes proliferation and metastasis, and inhibits apoptosis, in cervical cancer through the PI3K/AKT/p53 pathway.
Chen L, Qing J, Xiao Y, Huang X, Chi Y, Chen Z
BMC cancer 2022 Apr 7;22(1):370
BMC cancer 2022 Apr 7;22(1):370
miR-218-5p in endometrial microenvironment prevents the migration of ectopic endometrial stromal cells by inhibiting LASP1.
Zhang Z, Wang Y, Zeng L, Yu K, Wang Y, Luo Y, Liu F, Yang B, Zou Y, Wang L, Huang O
Reproductive biology and endocrinology : RB&E 2022 Apr 4;20(1):64
Reproductive biology and endocrinology : RB&E 2022 Apr 4;20(1):64
Investigating the mechanism of Xian-ling-lian-xia-fang for inhibiting vasculogenic mimicry in triple negative breast cancer via blocking VEGF/MMPs pathway.
Li F, Shi Y, Zhang Y, Yang X, Wang Y, Jiang K, Hua C, Wu C, Sun C, Qin Y, Liu S
Chinese medicine 2022 Apr 4;17(1):44
Chinese medicine 2022 Apr 4;17(1):44
miRNA-29 aggravates myocardial infarction via inhibiting the PI3K/mTOR/HIF1α/VEGF pathway.
Wang X, Liu Y, Hou H, Shao W, Huang D, Hao Z, Xue H, Ye Y
Aging 2022 Apr 4;14(7):3129-3142
Aging 2022 Apr 4;14(7):3129-3142
ADAMTS8 inhibited lung cancer progression through suppressing VEGFA.
Zhang Y, Hu K, Qu Z, Xie Z, Tian F
Biochemical and biophysical research communications 2022 Apr 2;598:1-8
Biochemical and biophysical research communications 2022 Apr 2;598:1-8
Hypoxia Alters the Proteome Profile and Enhances the Angiogenic Potential of Dental Pulp Stem Cell-Derived Exosomes.
Li B, Xian X, Lin X, Huang L, Liang A, Jiang H, Gong Q
Biomolecules 2022 Apr 14;12(4)
Biomolecules 2022 Apr 14;12(4)
A novel promoter-associated non-coding small RNA paGLI1 recruits FUS/P65 to transactivate GLI1 gene expression and promotes infiltrating glioma progression.
Zhong J, Xu M, Su Z, Zhang M, Yu T, Nie L, Gong J, Chen X, Chen N, Zhou Q
Cancer letters 2022 Apr 1;530:68-84
Cancer letters 2022 Apr 1;530:68-84
LncRNA NEAT1 Promotes Gastric Cancer Progression Through miR-17-5p/TGFβR2 Axis Up-Regulated Angiogenesis.
Xu Y, Li Y, Qiu Y, Sun F, Zhu G, Sun J, Cai G, Lin W, Fu Y, Wu H, Jiang S, Wen Z, Feng F, Luo J, Yang Y, Zhang Q
Frontiers in cell and developmental biology 2021;9:705697
Frontiers in cell and developmental biology 2021;9:705697
Electroacupuncture Reduces Oocyte Number and Maintains Vascular Barrier Against Ovarian Hyperstimulation Syndrome by Regulating CD200.
Chen L, Huang X, Wang L, Wang C, Tang X, Gu M, Jing J, Ma R, Ge X, Yao B
Frontiers in cell and developmental biology 2021;9:648578
Frontiers in cell and developmental biology 2021;9:648578
The mechanism and candidate compounds of aged citrus peel (chenpi) preventing chronic obstructive pulmonary disease and its progression to lung cancer.
Zhou L, Gu W, Kui F, Gao F, Niu Y, Li W, Zhang Y, Guo L, Wang J, Guo Z, Du G
Food & nutrition research 2021;65
Food & nutrition research 2021;65
Heme Oxygenase-1-Modified Bone Marrow Mesenchymal Stem Cells Combined with Normothermic Machine Perfusion Repairs Bile Duct Injury in a Rat Model of DCD Liver Transplantation via Activation of Peribiliary Glands through the Wnt Pathway.
Tian X, Cao H, Wu L, Zheng W, Yuan M, Li X, Song H, Shen Z
Stem cells international 2021;2021:9935370
Stem cells international 2021;2021:9935370
Y-Box Binding Protein 1 Regulates Angiogenesis in Bladder Cancer via miR-29b-3p-VEGFA Pathway.
Gao D, Niu Q, Gong Y, Guo Q, Zhang S, Wang Y, Liu S, Wang H, Svatek R, Rodriguez R, Ma J, Wang Z
Journal of oncology 2021;2021:9913015
Journal of oncology 2021;2021:9913015
Apelin/APJ-Manipulated CaMKK/AMPK/GSK3β Signaling Works as an Endogenous Counterinjury Mechanism in Promoting the Vitality of Random-Pattern Skin Flaps.
Lou ZL, Zhang CX, Li JF, Chen RH, Wu WJ, Hu XF, Shi HC, Gao WY, Zhao QF
Oxidative medicine and cellular longevity 2021;2021:8836058
Oxidative medicine and cellular longevity 2021;2021:8836058
Correlationship between Ki67, VEGF, and p53 and Hepatocellular Carcinoma Recurrence in Liver Transplant Patients.
Zhang X, Wu Z, Peng Y, Li D, Jiang Y, Pan F, Li Y, Lai Y, Cui Z, Zhang K
BioMed research international 2021;2021:6651397
BioMed research international 2021;2021:6651397
Gastrodin Promotes the Survival of Random-Pattern Skin Flaps via Autophagy Flux Stimulation.
Chen H, Chen B, Li B, Luo X, Wu H, Zhang C, Liu J, Jiang J, Zhao B
Oxidative medicine and cellular longevity 2021;2021:6611668
Oxidative medicine and cellular longevity 2021;2021:6611668
Liraglutide, a TFEB-Mediated Autophagy Agonist, Promotes the Viability of Random-Pattern Skin Flaps.
Zhu X, Hu X, Lou J, Li J, Xu Y, Yu G, Wu C, Ding J, Gao W, Xiao J, Zhou K, Jia C
Oxidative medicine and cellular longevity 2021;2021:6610603
Oxidative medicine and cellular longevity 2021;2021:6610603
Retinal Neuropathy in IGT Stage of OLETF Rats: Another Characteristic Change of Diabetic Retinopathy.
Guo Z, Sun X, Yang J, Xie J, Zhong F, Li X, Zhang Y, Han F, Yang X, Yang S, Zhou W, Chang B
Journal of diabetes research 2021;2021:3181347
Journal of diabetes research 2021;2021:3181347
Long noncoding RNA SH3PXD2A-AS1 promotes colorectal cancer progression by regulating p53-mediated gene transcription.
Hou P, Lin T, Meng S, Shi M, Chen F, Jiang T, Li Z, Li M, Chu S, Zheng J, Bai J
International journal of biological sciences 2021;17(8):1979-1994
International journal of biological sciences 2021;17(8):1979-1994
Generation of VEGF knock-in Cashmere goat via the CRISPR/Cas9 system.
Hu X, Hao F, Li X, Xun Z, Gao Y, Ren B, Cang M, Liang H, Liu D
International journal of biological sciences 2021;17(4):1026-1040
International journal of biological sciences 2021;17(4):1026-1040
Effect of luteolin on apoptosis and vascular endothelial growth factor in human choroidal melanoma cells.
Shi ML, Chen YF, Liao HF
International journal of ophthalmology 2021;14(2):186-193
International journal of ophthalmology 2021;14(2):186-193
Development and Validation of a Novel Gene Signature for Predicting the Prognosis by Identifying m5C Modification Subtypes of Cervical Cancer.
Yu J, Liang LL, Liu J, Liu TT, Li J, Xiu L, Zeng J, Wang TT, Wang D, Liang LJ, Xie DW, Chen DX, An JS, Wu LY
Frontiers in genetics 2021;12:733715
Frontiers in genetics 2021;12:733715
Angelica Dahurica Regulated the Polarization of Macrophages and Accelerated Wound Healing in Diabetes: A Network Pharmacology Study and In Vivo Experimental Validation.
Hu Y, Lei S, Yan Z, Hu Z, Guo J, Guo H, Sun B, Pan C
Frontiers in pharmacology 2021;12:678713
Frontiers in pharmacology 2021;12:678713
Pseudoginsenoside F11 Enhances the Viability of Random-Pattern Skin Flaps by Promoting TFEB Nuclear Translocation Through AMPK-mTOR Signal Pathway.
Zhou F, Zhang X, Jiang L, Li S, Chen Y, Wu J
Frontiers in pharmacology 2021;12:667524
Frontiers in pharmacology 2021;12:667524
Synergic Neuroprotection Between Ligusticum Chuanxiong Hort and Borneol Against Ischemic Stroke by Neurogenesis via Modulating Reactive Astrogliosis and Maintaining the Blood-Brain Barrier.
Yu B, Yao Y, Zhang X, Ruan M, Zhang Z, Xu L, Liang T, Lu J
Frontiers in pharmacology 2021;12:666790
Frontiers in pharmacology 2021;12:666790
Dl-3-n-Butylphthalide Ameliorates Diabetic Nephropathy by Ameliorating Excessive Fibrosis and Podocyte Apoptosis.
Xu J, Tang Z, He Y, Cai S, Wang B, Zhang S, Wu M, Qian K, Zhang K, Chai B, Chen G, Xu K, Ji H, Xiao J, Wu Y
Frontiers in pharmacology 2021;12:628950
Frontiers in pharmacology 2021;12:628950
Fuyuan Xingnao Decoction Promotes Angiogenesis Through the Rab1/AT1R Pathway in Diabetes Mellitus Complicated With Cerebral Infarction.
Deng D, Qu Y, Sun L, Jia L, Bu J, Ye M, Chen Z, Geng Y, Zhou S, Fang B
Frontiers in pharmacology 2021;12:616165
Frontiers in pharmacology 2021;12:616165
TPL Inhibits the Invasion and Migration of Drug-Resistant Ovarian Cancer by Targeting the PI3K/AKT/NF-κB-Signaling Pathway to Inhibit the Polarization of M2 TAMs.
Le F, Yang L, Han Y, Zhong Y, Zhan F, Feng Y, Hu H, Chen T, Tan B
Frontiers in oncology 2021;11:704001
Frontiers in oncology 2021;11:704001
Genetic Manipulation of Sirtuin 3 Causes Alterations of Key Metabolic Regulators in Melanoma.
Singh CK, George J, Chhabra G, Nihal M, Chang H, Ahmad N
Frontiers in oncology 2021;11:676077
Frontiers in oncology 2021;11:676077
Development of bispecific anti-c-Met/PD-1 diabodies for the treatment of solid tumors and the effect of c-Met binding affinity on efficacy.
Yuan Q, Liang Q, Sun Z, Yuan X, Hou W, Wang Y, Wang H, Yu M
Oncoimmunology 2021;10(1):1914954
Oncoimmunology 2021;10(1):1914954
Hyperoxia-induced S1P(1) signaling reduced angiogenesis by suppression of TIE-2 leading to experimental bronchopulmonary dysplasia.
Sudhadevi T, Jafri A, Ha AW, Basa P, Thomas JM, Fu P, Wary K, Mehta D, Natarajan V, Harijith A
Cell biochemistry and biophysics 2021 Sep;79(3):561-573
Cell biochemistry and biophysics 2021 Sep;79(3):561-573
Development of a novel RNAi therapy: Engineered miR-31 exosomes promoted the healing of diabetic wounds.
Huang J, Yu M, Yin W, Liang B, Li A, Li J, Li X, Zhao S, Liu F
Bioactive materials 2021 Sep;6(9):2841-2853
Bioactive materials 2021 Sep;6(9):2841-2853
Positive feedback regulation of lncRNA PVT1 and HIF2α contributes to clear cell renal cell carcinoma tumorigenesis and metastasis.
Zhang MX, Zhang LZ, Fu LM, Yao HH, Tan L, Feng ZH, Li JY, Lu J, Pan YH, Shu GN, Li PJ, Tang YM, Liao ZY, Wei JH, Chen W, Guo JP, Luo JH, Chen ZH
Oncogene 2021 Sep;40(37):5639-5650
Oncogene 2021 Sep;40(37):5639-5650
IGF-1-Expressing Placenta-Derived Mesenchymal Stem Cells Promote Scalding Wound Healing.
Cheng S, Lv R, Xu J, Hirman AR, Du L
The Journal of surgical research 2021 Sep;265:100-113
The Journal of surgical research 2021 Sep;265:100-113
Microglia modulation with 1070-nm light attenuates Aβ burden and cognitive impairment in Alzheimer's disease mouse model.
Tao L, Liu Q, Zhang F, Fu Y, Zhu X, Weng X, Han H, Huang Y, Suo Y, Chen L, Gao X, Wei X
Light, science & applications 2021 Sep 8;10(1):179
Light, science & applications 2021 Sep 8;10(1):179
Combination of Electroacupuncture and Constraint-Induced Movement Therapy Enhances Functional Recovery After Ischemic Stroke in Rats.
Wang D, Li L, Zhang Q, Liang Z, Huang L, He C, Wei Q
Journal of molecular neuroscience : MN 2021 Oct;71(10):2116-2125
Journal of molecular neuroscience : MN 2021 Oct;71(10):2116-2125
Assessing the protective effects of cryptotanshinone on CoCl(2)‑induced hypoxia in RPE cells.
Gu Y, Liu W, Liu G, Li X, Lu P
Molecular medicine reports 2021 Oct;24(4)
Molecular medicine reports 2021 Oct;24(4)
Angelica sinensis extract promotes neuronal survival by enhancing p38 MAPK-mediated hippocampal neurogenesis and dendritic growth in the chronic phase of transient global cerebral ischemia in rats.
Cheng CY, Huang HC, Kao ST, Lee YC
Journal of ethnopharmacology 2021 Oct 5;278:114301
Journal of ethnopharmacology 2021 Oct 5;278:114301
Oral microbiota affects the efficacy and prognosis of radiotherapy for colorectal cancer in mouse models.
Dong J, Li Y, Xiao H, Zhang S, Wang B, Wang H, Li Y, Fan S, Cui M
Cell reports 2021 Oct 26;37(4):109886
Cell reports 2021 Oct 26;37(4):109886
Exosomal microRNA-1246 from human umbilical cord mesenchymal stem cells potentiates myocardial angiogenesis in chronic heart failure.
Wang Z, Gao D, Wang S, Lin H, Wang Y, Xu W
Cell biology international 2021 Nov;45(11):2211-2225
Cell biology international 2021 Nov;45(11):2211-2225
Human amniotic fluid stem cells can improve cerebral vascular remodelling and neurological function after focal cerebral ischaemia in diabetic rats.
Liang CC, Shaw SW, Huang YH, Lee TH
Journal of cellular and molecular medicine 2021 Nov;25(21):10185-10196
Journal of cellular and molecular medicine 2021 Nov;25(21):10185-10196
The anti-neoplastic activities of aloperine in HeLa cervical cancer cells are associated with inhibition of the IL-6-JAK1-STAT3 feedback loop.
Chen YD, Cai FY, Mao YZ, Yang YS, Xu K, Liu XF, Fan WW, Chen W, Jiang FQ, Zhang H
Chinese journal of natural medicines 2021 Nov;19(11):815-824
Chinese journal of natural medicines 2021 Nov;19(11):815-824
Si-Wu-Tang facilitates ovarian function through improving ovarian microenvironment and angiogenesis in a mouse model of premature ovarian failure.
Zhou F, Song Y, Liu X, Zhang C, Li F, Hu R, Huang Y, Ma W, Song K, Zhang M
Journal of ethnopharmacology 2021 Nov 15;280:114431
Journal of ethnopharmacology 2021 Nov 15;280:114431
In vivo fluorescence molecular imaging of the vascular endothelial growth factor in rats with early diabetic retinopathy.
Zhang L, Ding Y, Chen X, Xiang D, Shi F, Chen Y, Yan S, Zhang X, Tian J, Sivaprasad S, Du Y, Yang Z, Tian B
Biomedical optics express 2021 Nov 1;12(11):7185-7198
Biomedical optics express 2021 Nov 1;12(11):7185-7198
HMGB1 contributes to osteoarthritis of temporomandibular joint by inducing synovial angiogenesis.
Feng Y, Hu S, Liu L, Ke J, Long X
Journal of oral rehabilitation 2021 May;48(5):551-559
Journal of oral rehabilitation 2021 May;48(5):551-559
Cellular and physical microenvironments regulate the aggressiveness and sunitinib chemosensitivity of clear cell renal cell carcinoma.
Nagase K, Akutagawa T, Rikitake-Yamamoto M, Morito S, Futamata M, Tobu S, Noguchi M, Toda S, Aoki S
The Journal of pathology 2021 May;254(1):46-56
The Journal of pathology 2021 May;254(1):46-56
Exenatide improves random-pattern skin flap survival via TFE3 mediated autophagy augment.
Li J, Chen H, Lou J, Bao G, Wu C, Lou Z, Wang X, Ding J, Li Z, Xiao J, Xu H, Gao W, Zhou K
Journal of cellular physiology 2021 May;236(5):3641-3659
Journal of cellular physiology 2021 May;236(5):3641-3659
Cross-talk between synovial fibroblasts and chondrocytes in condylar hyperplasia: an in vitro pilot study.
Guo H, Li H, Feng Y, Ke J, Fang W, Li C, Long X
Oral surgery, oral medicine, oral pathology and oral radiology 2021 May;131(5):558-564
Oral surgery, oral medicine, oral pathology and oral radiology 2021 May;131(5):558-564
Bifunctional hydrogel for potential vascularized bone tissue regeneration.
Gaihre B, Liu X, Li L, Lee Miller Ii A, Camilleri ET, Li Y, Waletzki B, Lu L
Materials science & engineering. C, Materials for biological applications 2021 May;124:112075
Materials science & engineering. C, Materials for biological applications 2021 May;124:112075
Exosomal HMGB1 derived from hypoxia-conditioned bone marrow mesenchymal stem cells increases angiogenesis via the JNK/HIF-1α pathway.
Gao W, He R, Ren J, Zhang W, Wang K, Zhu L, Liang T
FEBS open bio 2021 May;11(5):1364-1373
FEBS open bio 2021 May;11(5):1364-1373
Anti-angiogenesis and anti-metastasis effects of Polyphyllin VII on Hepatocellular carcinoma cells in vitro and in vivo.
Zhang C, Li Q, Qin G, Zhang Y, Li C, Han L, Wang R, Wang S, Chen H, Liu K, He C
Chinese medicine 2021 May 31;16(1):41
Chinese medicine 2021 May 31;16(1):41
BMI1 regulates multiple myeloma-associated macrophage's pro-myeloma functions.
Zhang D, Huang J, Wang F, Ding H, Cui Y, Yang Y, Xu J, Luo H, Gao Y, Pan L, Wu Y, Gong Y, Xie L, Liu Z, Qu Y, Zhang L, Liu W, Zhang W, Zhao S, Yi Q, Niu T, Zheng Y
Cell death & disease 2021 May 15;12(5):495
Cell death & disease 2021 May 15;12(5):495
Three phytosterols from sweet potato inhibit MCF7-xenograft-tumor growth through modulating gut microbiota homeostasis and SCFAs secretion.
Han B, Jiang P, Jiang L, Li X, Ye X
Food research international (Ottawa, Ont.) 2021 Mar;141:110147
Food research international (Ottawa, Ont.) 2021 Mar;141:110147
Effects of PI3K/AKT/mTOR pathway regulation of HIF-1α on Lanthanum-induced neurotoxicity in rats.
Ding Z, Zhang J, Hu Y, Li N, Yu S, Zheng L, Lin L
Brain research 2021 Mar 9;:147400
Brain research 2021 Mar 9;:147400
Autophagy-induced p62 accumulation is required for curcumol to regulate KLF5-mediated angiogenesis in liver sinusoidal endothelial cells.
Gao L, Yang X, Liang B, Jia Y, Tan S, Chen A, Cao P, Zhang Z, Zheng S, Sun L, Zhang F, Shao J
Toxicology 2021 Mar 30;452:152707
Toxicology 2021 Mar 30;452:152707
Sesquiterpene Lactone Deoxyelephantopin Isolated from Elephantopus scaber and Its Derivative DETD-35 Suppress BRAF(V600E) Mutant Melanoma Lung Metastasis in Mice.
Cvetanova B, Li MY, Yang CC, Hsiao PW, Yang YC, Feng JH, Shen YC, Nakagawa-Goto K, Lee KH, Shyur LF
International journal of molecular sciences 2021 Mar 22;22(6)
International journal of molecular sciences 2021 Mar 22;22(6)
Carbon monoxide alleviates senescence in diabetic nephropathy by improving autophagy.
Chen L, Mei G, Jiang C, Cheng X, Li D, Zhao Y, Chen H, Wan C, Yao P, Gao C, Tang Y
Cell proliferation 2021 Jun;54(6):e13052
Cell proliferation 2021 Jun;54(6):e13052
Protein kinase N1 promotes proliferation and invasion of liver cancer.
Wang X, Ge Y, Shi M, Dai H, Liu W, Wang P
Experimental and therapeutic medicine 2021 Jun;21(6):651
Experimental and therapeutic medicine 2021 Jun;21(6):651
Long noncoding RNA AFAP1-AS1 promotes tumor progression and invasion by regulating the miR-2110/Sp1 axis in triple-negative breast cancer.
Zhang X, Li F, Zhou Y, Mao F, Lin Y, Shen S, Li Y, Zhang S, Sun Q
Cell death & disease 2021 Jun 18;12(7):627
Cell death & disease 2021 Jun 18;12(7):627
Distal Arterialized Venous Supercharging Improves Perfusion and Survival in an Extended Dorsal Three-Perforasome Perforator Flap Rat Model.
Wu H, Zhang C, Chen Z, Lou J, Ding J, Wang L, Xie C, Gao W, Lin D
Plastic and reconstructive surgery 2021 Jun 1;147(6):957e-966e
Plastic and reconstructive surgery 2021 Jun 1;147(6):957e-966e
PRMT4 drives post-ischemic angiogenesis via YB1/VEGF signaling.
Yan S, Hu J, Li J, Wang P, Wang Y, Wang Z
Journal of molecular medicine (Berlin, Germany) 2021 Jul;99(7):993-1008
Journal of molecular medicine (Berlin, Germany) 2021 Jul;99(7):993-1008
Anti-anemia drug FG4592 retards the AKI-to-CKD transition by improving vascular regeneration and antioxidative capability.
Wu M, Chen W, Miao M, Jin Q, Zhang S, Bai M, Fan J, Zhang Y, Zhang A, Jia Z, Huang S
Clinical science (London, England : 1979) 2021 Jul 30;135(14):1707-1726
Clinical science (London, England : 1979) 2021 Jul 30;135(14):1707-1726
MSH6 Aggravates the Hypoxic Microenvironment via Regulating HIF1A to Promote the Metastasis of Glioblastoma Multiforme.
Shi Y, Jiang J, Cui Y, Chen Y, Dong T, An H, Liu P
DNA and cell biology 2021 Jan;40(1):93-100
DNA and cell biology 2021 Jan;40(1):93-100
Blocking VRK2 suppresses pulmonary adenocarcinoma progression via ERK1/2/AKT signal pathway by targeting miR-145-5p.
Mu Y, Liu WJ, Bie LY, Mu XQ, Zhao YQ
European review for medical and pharmacological sciences 2021 Jan;25(1):145-153
European review for medical and pharmacological sciences 2021 Jan;25(1):145-153
Mesenchymal Stem Cell-Derived Extracellular Vesicles Attenuate Mitochondrial Damage and Inflammation by Stabilizing Mitochondrial DNA.
Zhao M, Liu S, Wang C, Wang Y, Wan M, Liu F, Gong M, Yuan Y, Chen Y, Cheng J, Lu Y, Liu J
ACS nano 2021 Jan 26;15(1):1519-1538
ACS nano 2021 Jan 26;15(1):1519-1538
Inhibition of Hippo Signaling Improves Skin Lesions in a Rosacea-Like Mouse Model.
Lee J, Jung Y, Jeong SW, Jeong GH, Moon GT, Kim M
International journal of molecular sciences 2021 Jan 19;22(2)
International journal of molecular sciences 2021 Jan 19;22(2)
Bushen Huoxue recipe attenuates early pregnancy loss via activating endometrial COX2-PGE2 angiogenic signaling in mice.
Song Y, Zhou F, Tan X, Liu X, Ding J, Zhang C, Li F, Zhu W, Ma W, Hu R, Zhang M
BMC complementary medicine and therapies 2021 Jan 14;21(1):36
BMC complementary medicine and therapies 2021 Jan 14;21(1):36
Canstatin represses glioma growth by inhibiting formation of VM-like structures.
Ma Y, Wu T, Zhou H, He G, Li Y, Wang B, Guo Q, Chen B, Li W
Translational neuroscience 2021 Jan 1;12(1):309-319
Translational neuroscience 2021 Jan 1;12(1):309-319
Dual-function chimeric antigen receptor T cells targeting c-Met and PD-1 exhibit potent anti-tumor efficacy in solid tumors.
Yuan X, Sun Z, Yuan Q, Hou W, Liang Q, Wang Y, Mo W, Wang H, Yu M
Investigational new drugs 2021 Feb;39(1):34-51
Investigational new drugs 2021 Feb;39(1):34-51
Rapamycin ameliorates corneal injury after alkali burn through methylation modification in mouse TSC1 and mTOR genes.
Li J, Du S, Shi Y, Han J, Niu Z, Wei L, Yang P, Chen L, Tian H, Gao L
Experimental eye research 2021 Feb;203:108399
Experimental eye research 2021 Feb;203:108399
Vascular endothelial growth factor alleviates mitochondrial dysfunction and suppression of mitochondrial biogenesis in models of Alzheimer's disease.
Liu X, Chu B, Jin S, Li M, Xu Y, Yang H, Feng Z, Bi J, Wang P
The International journal of neuroscience 2021 Feb;131(2):154-162
The International journal of neuroscience 2021 Feb;131(2):154-162
Fork head box M1 regulates vascular endothelial growth factor-A expression to promote the angiogenesis and tumor cell growth of gallbladder cancer.
Wang RT, Miao RC, Zhang X, Yang GH, Mu YP, Zhang ZY, Qu K, Liu C
World journal of gastroenterology 2021 Feb 28;27(8):692-707
World journal of gastroenterology 2021 Feb 28;27(8):692-707
Dual-targeting tumor cells and tumor associated macrophages with lipid coated calcium zoledronate for enhanced lung cancer chemoimmunotherapy.
Zang X, Zhou J, Zhang X, Chen D, Han Y, Chen X
International journal of pharmaceutics 2021 Feb 1;594:120174
International journal of pharmaceutics 2021 Feb 1;594:120174
Recombinant thrombomodulin domain 1 rescues pathological angiogenesis by inhibition of HIF-1α-VEGF pathway.
Huang YH, Kuo CH, Peng IC, Chang YS, Tseng SH, Conway EM, Wu HL
Cellular and molecular life sciences : CMLS 2021 Dec;78(23):7681-7692
Cellular and molecular life sciences : CMLS 2021 Dec;78(23):7681-7692
Myrtenol improves brain damage and promotes angiogenesis in rats with cerebral infarction by activating the ERK1/2 signalling pathway.
Huang S, Tan Z, Cai J, Wang Z, Tian Y
Pharmaceutical biology 2021 Dec;59(1):584-593
Pharmaceutical biology 2021 Dec;59(1):584-593
Knockdown of growth factor receptor bound protein 7 suppresses angiogenesis by inhibiting the secretion of vascular endothelial growth factor A in ovarian cancer cells.
Xu Q, Liu Z, Zhu ZQ, Fan Y, Chen R, Xie XH, Cheng M
Bioengineered 2021 Dec;12(2):12179-12190
Bioengineered 2021 Dec;12(2):12179-12190
Visfatin promotes intervertebral disc degeneration by inducing IL-6 expression through the ERK/JNK/p38 signalling pathways.
Cui H, Du X, Liu C, Chen S, Cui H, Liu H, Wang J, Zheng Z
Adipocyte 2021 Dec;10(1):201-215
Adipocyte 2021 Dec;10(1):201-215
The angiogenic properties of human amniotic membrane stem cells are enhanced in gestational diabetes and associate with fetal adiposity.
Klid S, Algaba-Chueca F, Maymó-Masip E, Guarque A, Ballesteros M, Diaz-Perdigones C, Gutierrez C, Vendrell J, Megía A, Fernández-Veledo S
Stem cell research & therapy 2021 Dec 20;12(1):608
Stem cell research & therapy 2021 Dec 20;12(1):608
17β-Estradiol promotes angiogenesis of stria vascular in cochlea of C57BL/6J mice.
Feng ZY, Huang TL, Li XR, Chen L, Deng S, Xu SR, Ma KT, Li L, Si JQ
European journal of pharmacology 2021 Dec 15;913:174642
European journal of pharmacology 2021 Dec 15;913:174642
The protein 4.1R downregulates VEGFA in M2 macrophages to inhibit colon cancer metastasis.
Lu Y, Fan D, Wang W, Gao X, Li H, Guo S, Zhao L, Guo Y, Li B, Zhong Y, Zhang B, Liu J, Dai L, Kang Q, Ji Z
Experimental cell research 2021 Dec 1;409(1):112896
Experimental cell research 2021 Dec 1;409(1):112896
Resveratrol attenuates retinal ganglion cell loss in a mouse model of retinal ischemia reperfusion injury via multiple pathways.
Ji K, Li Z, Lei Y, Xu W, Ouyang L, He T, Xing Y
Experimental eye research 2021 Aug;209:108683
Experimental eye research 2021 Aug;209:108683
MSC-Derived Exosomes can Enhance the Angiogenesis of Human Brain MECs and Show Therapeutic Potential in a Mouse Model of Parkinson's Disease.
Xue C, Li X, Ba L, Zhang M, Yang Y, Gao Y, Sun Z, Han Q, Zhao RC
Aging and disease 2021 Aug;12(5):1211-1222
Aging and disease 2021 Aug;12(5):1211-1222
The extract of concentrated growth factor enhances osteogenic activity of osteoblast through PI3K/AKT pathway and promotes bone regeneration in vivo.
Dong K, Zhou WJ, Liu ZH, Hao PJ
International journal of implant dentistry 2021 Aug 4;7(1):70
International journal of implant dentistry 2021 Aug 4;7(1):70
Enriched environment remedies cognitive dysfunctions and synaptic plasticity through NMDAR-Ca(2+)-Activin A circuit in chronic cerebral hypoperfusion rats.
Zhang X, Shi X, Wang J, Xu Z, He J
Aging 2021 Aug 30;13(16):20748-20761
Aging 2021 Aug 30;13(16):20748-20761
Phytogalactolipid dLGG Inhibits Mouse Melanoma Brain Metastasis through Regulating Oxylipin Activity and Re-Programming Macrophage Polarity in the Tumor Microenvironment.
Yang CC, Chang MT, Chang CK, Shyur LF
Cancers 2021 Aug 16;13(16)
Cancers 2021 Aug 16;13(16)
The Hippo-TAZ axis mediates vascular endothelial growth factor C in glioblastoma-derived exosomes to promote angiogenesis.
Wang Z, Yuan Y, Ji X, Xiao X, Li Z, Yi X, Zhu Y, Guo T, Wang Y, Chen L, Liu Y
Cancer letters 2021 Aug 10;513:1-13
Cancer letters 2021 Aug 10;513:1-13
Amelioration of diabetic retinopathy in db/db mice by treatment with different proportional three active ingredients from Tibetan medicine Berberis dictyophylla F.
Li R, Ai X, Hou Y, Lai X, Meng X, Wang X
Journal of ethnopharmacology 2021 Aug 10;276:114190
Journal of ethnopharmacology 2021 Aug 10;276:114190
Maternal supply of cysteamine alleviates oxidative stress and enhances angiogenesis in porcine placenta.
Huang S, Wu Z, Huang Z, Hao X, Zhang L, Hu C, Wei J, Deng J, Tan C
Journal of animal science and biotechnology 2021 Aug 10;12(1):91
Journal of animal science and biotechnology 2021 Aug 10;12(1):91
Exosomal miR-27 negatively regulates ROS production and promotes granulosa cells apoptosis by targeting SPRY2 in OHSS.
Liu K, Yang W, Hu M, Xie W, Huang J, Cui M, He X, Nie X
Journal of cellular and molecular medicine 2021 Apr;25(8):3976-3990
Journal of cellular and molecular medicine 2021 Apr;25(8):3976-3990
Curcumin inhibits the growth of liver cancer by impairing myeloid-derived suppressor cells in murine tumor tissues.
Tian S, Liao L, Zhou Q, Huang X, Zheng P, Guo Y, Deng T, Tian X
Oncology letters 2021 Apr;21(4):286
Oncology letters 2021 Apr;21(4):286
Melatonin exerts protective effects on diabetic retinopathy via inhibition of Wnt/β-catenin pathway as revealed by quantitative proteomics.
Yan M, Wang H, Gu Y, Li X, Tao L, Lu P
Experimental eye research 2021 Apr;205:108521
Experimental eye research 2021 Apr;205:108521
A novel cystathionine γ-lyase inhibitor, I194496, inhibits the growth and metastasis of human TNBC via downregulating multiple signaling pathways.
Liu Y, Wang L, Zhang X, Deng Y, Pan L, Li H, Shi X, Wang T
Scientific reports 2021 Apr 26;11(1):8963
Scientific reports 2021 Apr 26;11(1):8963
Copper Sulfide Nanoparticles-Incorporated Hyaluronic Acid Injectable Hydrogel With Enhanced Angiogenesis to Promote Wound Healing.
Zhou W, Zi L, Cen Y, You C, Tian M
Frontiers in bioengineering and biotechnology 2020;8:417
Frontiers in bioengineering and biotechnology 2020;8:417
MicroRNA-29b-3p inhibits cell proliferation and angiogenesis by targeting VEGFA and PDGFB in retinal microvascular endothelial cells.
Tang W, Guo J, Gu R, Lei B, Ding X, Ma J, Xu G
Molecular vision 2020;26:64-75
Molecular vision 2020;26:64-75
Placentae for Low Birth Weight Piglets Are Vulnerable to Oxidative Stress, Mitochondrial Dysfunction, and Impaired Angiogenesis.
Hu C, Yang Y, Deng M, Yang L, Shu G, Jiang Q, Zhang S, Li X, Yin Y, Tan C, Wu G
Oxidative medicine and cellular longevity 2020;2020:8715412
Oxidative medicine and cellular longevity 2020;2020:8715412
PPAR-γ Mediates Ta-VNS-Induced Angiogenesis and Subsequent Functional Recovery after Experimental Stroke in Rats.
Li J, Zhang K, Zhang Q, Zhou X, Wen L, Ma J, Niu L, Li C
BioMed research international 2020;2020:8163789
BioMed research international 2020;2020:8163789
Effects of Botulinum Toxin Type A on Microvessels in Hypertrophic Scar Models on Rabbit Ears.
Zhou N, Li D, Luo Y, Li J, Wang Y
BioMed research international 2020;2020:2170750
BioMed research international 2020;2020:2170750
Activating CD137 Signaling Promotes Sprouting Angiogenesis via Increased VEGFA Secretion and the VEGFR2/Akt/eNOS Pathway.
Li B, Zhang Y, Yin R, Zhong W, Chen R, Yan J
Mediators of inflammation 2020;2020:1649453
Mediators of inflammation 2020;2020:1649453
Resveratrol promotes osteoblastic differentiation in a rat model of postmenopausal osteoporosis by regulating autophagy.
Wang W, Zhang LM, Guo C, Han JF
Nutrition & metabolism 2020;17:29
Nutrition & metabolism 2020;17:29
Protective effects of essential oil from Fructus Alpiniae zerumbet on retinal Müller gliosis via the PPAR-γ-p-CREB signaling pathway.
Yang H, Gan S, Jiang Z, Song X, Chen T, Xu Y, Fu L, Zhang Y, Tao L, Shen X
Chinese medicine 2020;15:4
Chinese medicine 2020;15:4
Clopidogrel-Induced Gastric Injury in Rats is Attenuated by Stable Gastric Pentadecapeptide BPC 157.
Wu H, Wei M, Li N, Lu Q, Shrestha SM, Tan J, Zhang Z, Wu G, Shi R
Drug design, development and therapy 2020;14:5599-5610
Drug design, development and therapy 2020;14:5599-5610
1,25(OH)(2)D(3) Strengthens the Vasculogenesis of Multipotent Mesenchymal Stromal Cells from Rat Bone Marrow by Regulating the PI3K/AKT Pathway.
Ye B, Weng Y, Lin S, Lin J, Huang Z, Huang W, Cai X
Drug design, development and therapy 2020;14:1157-1167
Drug design, development and therapy 2020;14:1157-1167
RPL38 Regulates the Proliferation and Apoptosis of Gastric Cancer via miR-374b-5p/VEGF Signal Pathway.
Ji H, Zhang X
OncoTargets and therapy 2020;13:6131-6141
OncoTargets and therapy 2020;13:6131-6141
Chronic Unpredictable Mild Stress Accelerates the Growth of Bladder Cancer in a Xenograft Mouse Model.
Zhou Q, Ding W, Qian Z, Jiang G, Sun C, Xu K
Psychology research and behavior management 2020;13:1289-1297
Psychology research and behavior management 2020;13:1289-1297
MiR-935/HIF1α Feedback Loop Inhibits the Proliferation and Invasiveness of Glioma.
Huang G, Chen J, Liu J, Zhang X, Duan H, Fang Q
OncoTargets and therapy 2020;13:10817-10828
OncoTargets and therapy 2020;13:10817-10828
Activated STAT3 Could Reduce Survival in Patients with Esophageal Squamous Cell Carcinoma by Up-regulating VEGF and Cyclin D1 Expression.
Zhang N, Zhang M, Wang Z, Gao W, Sun ZG
Journal of Cancer 2020;11(7):1859-1868
Journal of Cancer 2020;11(7):1859-1868
Distinct Roles of VEGFA and ANGPT2 in Lung Adenocarcinoma and Squamous Cell Carcinoma.
Qin S, Yi M, Jiao D, Li A, Wu K
Journal of Cancer 2020;11(1):153-167
Journal of Cancer 2020;11(1):153-167
SDF-1α/MicroRNA-134 Axis Regulates Nonfunctioning Pituitary Neuroendocrine Tumor Growth via Targeting VEGFA.
Wang X, Fang Y, Zhou Y, Guo X, Xu K, Li C, Zhang J, Hong Y
Frontiers in endocrinology 2020;11:566761
Frontiers in endocrinology 2020;11:566761
Dandelion Polysaccharide Exerts Anti-Angiogenesis Effect on Hepatocellular Carcinoma by Regulating VEGF/HIF-1α Expression.
Ren F, Wu K, Yang Y, Yang Y, Wang Y, Li J
Frontiers in pharmacology 2020;11:460
Frontiers in pharmacology 2020;11:460
Deciphering the Pharmacological Mechanisms of Taohe-Chengqi Decoction Extract Against Renal Fibrosis Through Integrating Network Pharmacology and Experimental Validation In Vitro and In Vivo.
Zhou S, Ai Z, Li W, You P, Wu C, Li L, Hu Y, Ba Y
Frontiers in pharmacology 2020;11:425
Frontiers in pharmacology 2020;11:425
Theta-burst transcranial magnetic stimulation promotes stroke recovery by vascular protection and neovascularization.
Zong X, Li Y, Liu C, Qi W, Han D, Tucker L, Dong Y, Hu S, Yan X, Zhang Q
Theranostics 2020;10(26):12090-12110
Theranostics 2020;10(26):12090-12110
Exosomes derived from GDNF-modified human adipose mesenchymal stem cells ameliorate peritubular capillary loss in tubulointerstitial fibrosis by activating the SIRT1/eNOS signaling pathway.
Chen L, Wang Y, Li S, Zuo B, Zhang X, Wang F, Sun D
Theranostics 2020;10(20):9425-9442
Theranostics 2020;10(20):9425-9442
Sucralose Promotes Colitis-Associated Colorectal Cancer Risk in a Murine Model Along With Changes in Microbiota.
Li X, Liu Y, Wang Y, Li X, Liu X, Guo M, Tan Y, Qin X, Wang X, Jiang M
Frontiers in oncology 2020;10:710
Frontiers in oncology 2020;10:710
Forkhead Box Q1 Is Critical to Angiogenesis and Macrophage Recruitment of Colorectal Cancer.
Tang H, Zheng J, Bai X, Yue KL, Liang JH, Li DY, Wang LP, Wang JL, Guo Q
Frontiers in oncology 2020;10:564298
Frontiers in oncology 2020;10:564298
Steroid 5α-Reductase Type I Induces Cell Viability and Migration via Nuclear Factor-κB/Vascular Endothelial Growth Factor Signaling Pathway in Colorectal Cancer.
Wei R, Zhong S, Qiao L, Guo M, Shao M, Wang S, Jiang B, Yang Y, Gu C
Frontiers in oncology 2020;10:1501
Frontiers in oncology 2020;10:1501
Conditional ablation of MAPK7 expression in chondrocytes impairs endochondral bone formation in limbs and adaptation of chondrocytes to hypoxia.
Yang X, Zhong D, Gao W, Liao Z, Chen Y, Zhang S, Zhou H, Su P, Xu C
Cell & bioscience 2020;10:103
Cell & bioscience 2020;10:103
Antitumor effects of aconitine in A2780 cells via estrogen receptor β‑mediated apoptosis, DNA damage and migration.
Wang X, Lin Y, Zheng Y
Molecular medicine reports 2020 Sep;22(3):2318-2328
Molecular medicine reports 2020 Sep;22(3):2318-2328
RNA N6-methyladenosine reader IGF2BP3 regulates cell cycle and angiogenesis in colon cancer.
Yang Z, Wang T, Wu D, Min Z, Tan J, Yu B
Journal of experimental & clinical cancer research : CR 2020 Sep 29;39(1):203
Journal of experimental & clinical cancer research : CR 2020 Sep 29;39(1):203
2-Methoxy-5((3,4,5-trimethosyphenyl)seleninyl) phenol (SQ) inhibits cancer cell metastasis behavior of TNBC via suppressing EMT and VEGF.
Zheng D, Wu Z, Han J, Guan Q, Li Z, Zuo D, Zhang W, Wu Y
Chemico-biological interactions 2020 Sep 25;329:109202
Chemico-biological interactions 2020 Sep 25;329:109202
Arachidonic Acid Metabolites of CYP450 Enzymes and HIF-1α Modulate Endothelium-Dependent Vasorelaxation in Sprague-Dawley Rats under Acute and Intermittent Hyperbaric Oxygenation.
Mihaljević Z, Matić A, Stupin A, Frkanec R, Tavčar B, Kelava V, Tartaro Bujak I, Kolobarić N, Kibel A, Drenjančević I
International journal of molecular sciences 2020 Sep 1;21(17)
International journal of molecular sciences 2020 Sep 1;21(17)
Genome-wide pathogenesis interpretation using a heat diffusion-based systems genetics method and implications for gene function annotation.
Quan Y, Zhang QY, Lv BM, Xu RF, Zhang HY
Molecular genetics & genomic medicine 2020 Oct;8(10):e1456
Molecular genetics & genomic medicine 2020 Oct;8(10):e1456
Hypoxia-autophagy axis induces VEGFA by peritoneal mesothelial cells to promote gastric cancer peritoneal metastasis through an integrin α5-fibronectin pathway.
Wang X, Che X, Yu Y, Cheng Y, Bai M, Yang Z, Guo Q, Xie X, Li D, Guo M, Hou K, Guo W, Qu X, Cao L
Journal of experimental & clinical cancer research : CR 2020 Oct 20;39(1):221
Journal of experimental & clinical cancer research : CR 2020 Oct 20;39(1):221
Sestrin2 promotes angiogenesis to alleviate brain injury by activating Nrf2 through regulating the interaction between p62 and Keap1 following photothrombotic stroke in rats.
Li Y, Wu J, Yu S, Zhu J, Zhou Y, Wang P, Li L, Zhao Y
Brain research 2020 Oct 15;1745:146948
Brain research 2020 Oct 15;1745:146948
Reciprocal Interaction between Vascular Filopodia and Neural Stem Cells Shapes Neurogenesis in the Ventral Telencephalon.
Di Marco B, Crouch EE, Shah B, Duman C, Paredes MF, Ruiz de Almodovar C, Huang EJ, Alfonso J
Cell reports 2020 Oct 13;33(2):108256
Cell reports 2020 Oct 13;33(2):108256
miR-15a-5p suppresses peritoneal fibrosis induced by peritoneal dialysis via targeting VEGF in rats.
He Q, Wen L, Wang L, Zhang Y, Yu W, Zhang F, Zhang W, Xiao J, Wen X, Zhao Z
Renal failure 2020 Nov;42(1):932-943
Renal failure 2020 Nov;42(1):932-943
STAT3 signaling pathway is involved in the pathogenesis of miscarriage.
Fang Y, Feng X, Xue N, Cao Y, Zhou P, Wei Z
Placenta 2020 Nov;101:30-38
Placenta 2020 Nov;101:30-38
Magnesium Calcium Phosphate Cement Incorporating Citrate for Vascularized Bone Regeneration.
Wu X, Dai H, Yu S, Zhao Y, Long Y, Li W, Tu J
ACS biomaterials science & engineering 2020 Nov 9;6(11):6299-6308
ACS biomaterials science & engineering 2020 Nov 9;6(11):6299-6308
Small extracellular vesicle-bound vascular endothelial growth factor secreted by carcinoma-associated fibroblasts promotes angiogenesis in a bevacizumab-resistant manner.
Li J, Liu X, Zang S, Zhou J, Zhang F, Sun B, Qi D, Li X, Kong J, Jin D, Yang X, Luo Y, Lu Y, Lin B, Niu W, Liu T
Cancer letters 2020 Nov 1;492:71-83
Cancer letters 2020 Nov 1;492:71-83
KGF-2 and FGF-21 poloxamer 407 hydrogel coordinates inflammation and proliferation homeostasis to enhance wound repair of scalded skin in diabetic rats.
Yang X, Yang R, Chen M, Zhou Q, Zheng Y, Lu C, Bi J, Sun W, Huang T, Li L, Gong J, Li X, Hui Q, Wang X
BMJ open diabetes research & care 2020 May;8(1)
BMJ open diabetes research & care 2020 May;8(1)
The role and mechanism of asymmetric dimethylarginine in fetal growth restriction via interference with endothelial function and angiogenesis.
Dai Y, Zhang J, Liu R, Xu N, Yan SB, Chen Y, Li TH
Journal of assisted reproduction and genetics 2020 May;37(5):1083-1095
Journal of assisted reproduction and genetics 2020 May;37(5):1083-1095
Chitosan-calcium alginate dressing promotes wound healing: A preliminary study.
Zhao WY, Fang QQ, Wang XF, Wang XW, Zhang T, Shi BH, Zheng B, Zhang DD, Hu YY, Ma L, Tan WQ
Wound repair and regeneration : official publication of the Wound Healing Society [and] the European Tissue Repair Society 2020 May;28(3):326-337
Wound repair and regeneration : official publication of the Wound Healing Society [and] the European Tissue Repair Society 2020 May;28(3):326-337
Pirfenidone ameliorates the formation of choroidal neovascularization in mice.
Bao Y, Huang L, Huang X, Gao C, Chen Y, Wu L, Zhu S, Song Y
Molecular medicine reports 2020 May;21(5):2162-2170
Molecular medicine reports 2020 May;21(5):2162-2170
Exosomal encapsulation of miR-125a-5p inhibited trophoblast cell migration and proliferation by regulating the expression of VEGFA in preeclampsia.
Xueya Z, Yamei L, Sha C, Dan C, Hong S, Xingyu Y, Weiwei C
Biochemical and biophysical research communications 2020 May 7;525(3):646-653
Biochemical and biophysical research communications 2020 May 7;525(3):646-653
Inhibition of miR-9 decreases osteosarcoma cell proliferation.
Gang W, Tanjun W, Yong H, Jiajun Q, Yi Z, Hao H
Bosnian journal of basic medical sciences 2020 May 1;20(2):218-225
Bosnian journal of basic medical sciences 2020 May 1;20(2):218-225
Human-like collagen promotes the healing of acetic acid-induced gastric ulcers in rats by regulating NOS and growth factors.
Xing M, Fu R, Liu Y, Wang P, Ma P, Zhu C, Fan D
Food & function 2020 May 1;11(5):4123-4137
Food & function 2020 May 1;11(5):4123-4137
Synthesis and biological evaluation of novel 5,6,7-trimethoxy flavonoid salicylate derivatives as potential anti-tumor agents.
Liu R, Deng X, Peng Y, Feng W, Xiong R, Zou Y, Lei X, Zheng X, Xie Z, Tang G
Bioorganic chemistry 2020 Mar;96:103652
Bioorganic chemistry 2020 Mar;96:103652
Inhibition of TRPA1 Promotes Cardiac Repair in Mice After Myocardial Infarction.
Li R, Liu R, Yan F, Zhuang X, Shi H, Gao X
Journal of cardiovascular pharmacology 2020 Mar;75(3):240-249
Journal of cardiovascular pharmacology 2020 Mar;75(3):240-249
Ophiopogonin D promotes bone regeneration by stimulating CD31(hi) EMCN(hi) vessel formation.
Yang M, Li CJ, Xiao Y, Guo Q, Huang Y, Su T, Luo XH, Jiang TJ
Cell proliferation 2020 Mar;53(3):e12784
Cell proliferation 2020 Mar;53(3):e12784
PINCH-1 interacts with myoferlin to promote breast cancer progression and metastasis.
Qian T, Liu C, Ding Y, Guo C, Cai R, Wang X, Wang R, Zhang K, Zhou L, Deng Y, Wu C, Sun Y
Oncogene 2020 Mar;39(10):2069-2087
Oncogene 2020 Mar;39(10):2069-2087
DKC1 enhances angiogenesis by promoting HIF-1α transcription and facilitates metastasis in colorectal cancer.
Hou P, Shi P, Jiang T, Yin H, Chu S, Shi M, Bai J, Song J
British journal of cancer 2020 Mar;122(5):668-679
British journal of cancer 2020 Mar;122(5):668-679
PTEN inhibitor VO-OHpic attenuates GC-associated endothelial progenitor cell dysfunction and osteonecrosis of the femoral head via activating Nrf2 signaling and inhibiting mitochondrial apoptosis pathway.
Yao X, Yu S, Jing X, Guo J, Sun K, Guo F, Ye Y
Stem cell research & therapy 2020 Mar 30;11(1):140
Stem cell research & therapy 2020 Mar 30;11(1):140
Genome-wide translational reprogramming of genes important for myocyte functions in overload-induced heart failure.
Guo Q, Zhang Y, Zhang S, Jin J, Pang S, Wu X, Zhang W, Bi X, Zhang Y, Zhang Q, Jiang F
Biochimica et biophysica acta. Molecular basis of disease 2020 Mar 1;1866(3):165649
Biochimica et biophysica acta. Molecular basis of disease 2020 Mar 1;1866(3):165649
The effect of combining Endostar with radiotherapy on blood vessels, tumor-associated macrophages, and T cells in brain metastases of Lewis lung cancer.
Peng L, Wang Y, Fei S, Wei C, Tong F, Wu G, Ma H, Dong X
Translational lung cancer research 2020 Jun;9(3):745-760
Translational lung cancer research 2020 Jun;9(3):745-760
The Inhibition of Protein Kinase C β Contributes to the Pathogenesis of Preeclampsia by Activating Autophagy.
Zhao H, Gong L, Wu S, Jing T, Xiao X, Cui Y, Xu H, Lu H, Tang Y, Zhang J, Zhou Q, Ma D, Li X
EBioMedicine 2020 Jun;56:102813
EBioMedicine 2020 Jun;56:102813
Cytotoxic necrotizing factor 1 promotes bladder cancer angiogenesis through activating RhoC.
Guo Y, Wang J, Zhou K, Lv J, Wang L, Gao S, Keller ET, Zhang ZS, Wang Q, Yao Z
FASEB journal : official publication of the Federation of American Societies for Experimental Biology 2020 Jun;34(6):7927-7940
FASEB journal : official publication of the Federation of American Societies for Experimental Biology 2020 Jun;34(6):7927-7940
The efficacy and safety of cold atmospheric plasma as a novel therapy for diabetic wound in vitro and in vivo.
He R, Li Q, Shen W, Wang T, Lu H, Lu J, Lu F, Luo M, Zhang J, Gao H, Wang D, Xing W, Jia W, Liu F
International wound journal 2020 Jun;17(3):851-863
International wound journal 2020 Jun;17(3):851-863
Exosomal circSHKBP1 promotes gastric cancer progression via regulating the miR-582-3p/HUR/VEGF axis and suppressing HSP90 degradation.
Xie M, Yu T, Jing X, Ma L, Fan Y, Yang F, Ma P, Jiang H, Wu X, Shu Y, Xu T
Molecular cancer 2020 Jun 29;19(1):112
Molecular cancer 2020 Jun 29;19(1):112
Genetic Deletion of Vasohibin-2 Exacerbates Ischemia-Reperfusion-Induced Acute Kidney Injury.
Miyake H, Tanabe K, Tanimura S, Nakashima Y, Morioka T, Masuda K, Sugiyama H, Sato Y, Wada J
International journal of molecular sciences 2020 Jun 26;21(12)
International journal of molecular sciences 2020 Jun 26;21(12)
HnRNP A1 - mediated alternative splicing of CCDC50 contributes to cancer progression of clear cell renal cell carcinoma via ZNF395.
Sun G, Zhou H, Chen K, Zeng J, Zhang Y, Yan L, Yao W, Hu J, Wang T, Xing J, Xiao K, Wu L, Ye Z, Xu H
Journal of experimental & clinical cancer research : CR 2020 Jun 19;39(1):116
Journal of experimental & clinical cancer research : CR 2020 Jun 19;39(1):116
Major depression accompanied with inflammation and multiple cytokines alterations: Evidences from clinical patients to macaca fascicularis and LPS-induced depressive mice model.
He Y, Li W, Wang Y, Tian Y, Chen X, Wu Z, Lan T, Li Y, Bai M, Liu J, Cheng K, Xie P
Journal of affective disorders 2020 Jun 15;271:262-271
Journal of affective disorders 2020 Jun 15;271:262-271
Resveratrol inhibits the malignant progression of hepatocellular carcinoma via MARCH1-induced regulation of PTEN/AKT signaling.
Dai H, Li M, Yang W, Sun X, Wang P, Wang X, Su J, Wang X, Hu X, Zhao M
Aging 2020 Jun 12;12(12):11717-11731
Aging 2020 Jun 12;12(12):11717-11731
Knockdown of KRT17 decreases osteosarcoma cell proliferation and the Warburg effect via the AKT/mTOR/HIF1α pathway.
Yan X, Yang C, Hu W, Chen T, Wang Q, Pan F, Qiu B, Tang B
Oncology reports 2020 Jul;44(1):103-114
Oncology reports 2020 Jul;44(1):103-114
An Endostatin-lentivirus (ES-LV)-EPC gene therapy agent for suppression of neovascularization in oxygen-induced retinopathy rat model.
Ai J, Ma J, Chen ZQ, Sun JH, Yao K
BMC molecular and cell biology 2020 Jul 29;21(1):57
BMC molecular and cell biology 2020 Jul 29;21(1):57
Transplantation of Human Adipose Stem Cells Using Acellular Human Amniotic Membrane Improves Angiogenesis in Injured Endometrial Tissue in a Rat Intrauterine Adhesion Model.
Han X, Ma Y, Lu X, Li W, Xia E, Li TC, Zhang H, Huang X
Cell transplantation 2020 Jan-Dec;29:963689720952055
Cell transplantation 2020 Jan-Dec;29:963689720952055
Circular RNA circ_001621 promotes osteosarcoma cells proliferation and migration by sponging miR-578 and regulating VEGF expression.
Ji X, Shan L, Shen P, He M
Cell death & disease 2020 Jan 6;11(1):18
Cell death & disease 2020 Jan 6;11(1):18
LncRNA LINC00662 promotes colon cancer tumor growth and metastasis by competitively binding with miR-340-5p to regulate CLDN8/IL22 co-expression and activating ERK signaling pathway.
Cheng B, Rong A, Zhou Q, Li W
Journal of experimental & clinical cancer research : CR 2020 Jan 3;39(1):5
Journal of experimental & clinical cancer research : CR 2020 Jan 3;39(1):5
B7-H3 promotes colorectal cancer angiogenesis through activating the NF-κB pathway to induce VEGFA expression.
Wang R, Ma Y, Zhan S, Zhang G, Cao L, Zhang X, Shi T, Chen W
Cell death & disease 2020 Jan 23;11(1):55
Cell death & disease 2020 Jan 23;11(1):55
Losartan protects against intermittent hypoxia-induced peritubular capillary loss by modulating the renal renin-angiotensin system and angiogenesis factors.
Wu J, Chu Y, Jiang Z, Yu Q
Acta biochimica et biophysica Sinica 2020 Jan 2;52(1):38-48
Acta biochimica et biophysica Sinica 2020 Jan 2;52(1):38-48
MCP-1/CCR-2 axis in adipocytes and cancer cell respectively facilitates ovarian cancer peritoneal metastasis.
Sun C, Li X, Guo E, Li N, Zhou B, Lu H, Huang J, Xia M, Shan W, Wang B, Li K, Weng D, Xu X, Gao Q, Wang S, Hu J, Lu Y, Mills GB, Chen G
Oncogene 2020 Feb;39(8):1681-1695
Oncogene 2020 Feb;39(8):1681-1695
Knockdown of FBXO22 inhibits melanoma cell migration, invasion and angiogenesis via the HIF-1α/VEGF pathway.
Zheng Y, Chen H, Zhao Y, Zhang X, Liu J, Pan Y, Bai J, Zhang H
Investigational new drugs 2020 Feb;38(1):20-28
Investigational new drugs 2020 Feb;38(1):20-28
Glass-activated regeneration of volumetric muscle loss.
Jia W, Hu H, Li A, Deng H, Hogue CL, Mauro JC, Zhang C, Fu Q
Acta biomaterialia 2020 Feb;103:306-317
Acta biomaterialia 2020 Feb;103:306-317
Prodrug-Loaded Zirconium Carbide Nanosheets as a Novel Biophotonic Nanoplatform for Effective Treatment of Cancer.
Liu Q, Xie Z, Qiu M, Shim I, Yang Y, Xie S, Yang Q, Wang D, Chen S, Fan T, Ding B, Guo Z, Adah D, Yao X, Zhang Y, Wu H, Wu Z, Wei C, Wang H, Kim HS, Zou Q, Yan Q, Cai Z, Kim JS, Liu LP, Zhang H, Cao Y
Advanced science (Weinheim, Baden-Wurttemberg, Germany) 2020 Dec;7(24):2001191
Advanced science (Weinheim, Baden-Wurttemberg, Germany) 2020 Dec;7(24):2001191
Anti-angiogenic activity of ShengMaBieJia decoction in vitro and in acute myeloid leukaemia tumour-bearing mouse models.
Wang M, Ma B, Dai X, Zhang H, Dai H, Wang J, Liu L, Sun X
Pharmaceutical biology 2020 Dec;58(1):454-464
Pharmaceutical biology 2020 Dec;58(1):454-464
The kinesin motor protein KIF4A as a potential therapeutic target in renal cell carcinoma.
Liu G, Lu Y, Li L, Jiang T, Chu S, Hou P, Bai J, Chen M
Investigational new drugs 2020 Dec;38(6):1730-1742
Investigational new drugs 2020 Dec;38(6):1730-1742
Co-delivery of paclitaxel and anti-VEGF siRNA by tripeptide lipid nanoparticle to enhance the anti-tumor activity for lung cancer therapy.
Zhang C, Zhao Y, Zhang E, Jiang M, Zhi D, Chen H, Cui S, Zhen Y, Cui J, Zhang S
Drug delivery 2020 Dec;27(1):1397-1411
Drug delivery 2020 Dec;27(1):1397-1411
Calcium dobesilate mediates renal interstitial fibrosis and delay renal peritubular capillary loss through Sirt1/p53 signaling pathway.
Wang Y, Zuo B, Wang N, Li S, Liu C, Sun D
Biomedicine & pharmacotherapy = Biomedecine & pharmacotherapie 2020 Dec;132:110798
Biomedicine & pharmacotherapy = Biomedecine & pharmacotherapie 2020 Dec;132:110798
DHPAC, a novel microtubule depolymerizing agent, suppresses angiogenesis and vasculogenic mimicry formation of human non-small cell lung cancer.
Gong FL, Wang L, Yu LG, Dang YF, Jiang XN, Zhao L, Guo XL
Journal of cellular biochemistry 2020 Dec;121(12):4756-4771
Journal of cellular biochemistry 2020 Dec;121(12):4756-4771
Qingjie Fuzheng Granules regulates cancer cell proliferation, apoptosis and tumor angiogenesis in colorectal cancer xenograft mice via Sonic Hedgehog pathway.
Zhu XQ, Yang H, Lin MH, Shang HX, Peng J, Chen WJ, Chen XZ, Lin JM
Journal of gastrointestinal oncology 2020 Dec;11(6):1123-1134
Journal of gastrointestinal oncology 2020 Dec;11(6):1123-1134
Acorus tatarinowii Schott extract reduces cerebral edema caused by ischemia-reperfusion injury in rats: involvement in regulation of astrocytic NKCC1/AQP4 and JNK/iNOS-mediated signaling.
Lee YC, Kao ST, Cheng CY
BMC complementary medicine and therapies 2020 Dec 9;20(1):374
BMC complementary medicine and therapies 2020 Dec 9;20(1):374
Bioactive multi-engineered hydrogel offers simultaneous promise against antibiotic resistance and wound damage.
Zhang J, Ge J, Xu Y, Chen J, Zhou A, Sun L, Gao Y, Zhang Y, Gu T, Ning X
International journal of biological macromolecules 2020 Dec 1;164:4466-4474
International journal of biological macromolecules 2020 Dec 1;164:4466-4474
Regorafenib suppresses epidermal growth factor receptor signaling-modulated progression of colorectal cancer.
Liu YC, Tsai JJ, Weng YS, Hsu FT
Biomedicine & pharmacotherapy = Biomedecine & pharmacotherapie 2020 Aug;128:110319
Biomedicine & pharmacotherapy = Biomedecine & pharmacotherapie 2020 Aug;128:110319
Human salivary histatin-1 (Hst1) promotes bone morphogenetic protein 2 (BMP2)-induced osteogenesis and angiogenesis.
Sun P, Shi A, Shen C, Liu Y, Wu G, Feng J
FEBS open bio 2020 Aug;10(8):1503-1515
FEBS open bio 2020 Aug;10(8):1503-1515
Intravenous anti-VEGF agents with RGD peptide-targeted core cross-linked star (CCS) polymers modified with indocyanine green for imaging and treatment of laser-induced choroidal neovascularization.
Cai W, Chen Q, Shen T, Yang Q, Hu W, Zhao P, Yu J
Biomaterials science 2020 Aug 21;8(16):4481-4491
Biomaterials science 2020 Aug 21;8(16):4481-4491
Magnetic targeting enhances the cutaneous wound healing effects of human mesenchymal stem cell-derived iron oxide exosomes.
Li X, Wang Y, Shi L, Li B, Li J, Wei Z, Lv H, Wu L, Zhang H, Yang B, Xu X, Jiang J
Journal of nanobiotechnology 2020 Aug 14;18(1):113
Journal of nanobiotechnology 2020 Aug 14;18(1):113
Upregulation of miRNA-9-5p Promotes Angiogenesis after Traumatic Brain Injury by Inhibiting Ptch-1.
Wu J, He J, Tian X, Li H, Wen Y, Shao Q, Cheng C, Wang G, Sun X
Neuroscience 2020 Aug 1;440:160-174
Neuroscience 2020 Aug 1;440:160-174
Reduction of FoxP3(+) Tregs by an immunosuppressive protocol of rapamycin plus Thymalfasin and Huaier extract predicts positive survival benefits in a rat model of hepatocellular carcinoma.
Zhou L, Pan LC, Zheng YG, Zhang XX, Liu ZJ, Meng X, Shi HD, Du GS, He Q
Annals of translational medicine 2020 Apr;8(7):472
Annals of translational medicine 2020 Apr;8(7):472
MicroRNA-574-5p in gastric cancer cells promotes angiogenesis by targeting protein tyrosine phosphatase non-receptor type 3 (PTPN3).
Zhang S, Zhang R, Xu R, Shang J, He H, Yang Q
Gene 2020 Apr 5;733:144383
Gene 2020 Apr 5;733:144383
Intravaginal Administration of Human Type III Collagen-Derived Biomaterial with High Cell-Adhesion Activity to Treat Vaginal Atrophy in Rats.
You S, Liu S, Dong X, Li H, Zhu Y, Hu L
ACS biomaterials science & engineering 2020 Apr 13;6(4):1977-1988
ACS biomaterials science & engineering 2020 Apr 13;6(4):1977-1988
Oncogenic MSH6-CXCR4-TGFB1 Feedback Loop: A Novel Therapeutic Target of Photothermal Therapy in Glioblastoma Multiforme.
Chen Y, Liu P, Sun P, Jiang J, Zhu Y, Dong T, Cui Y, Tian Y, An T, Zhang J, Li Z, Yang X
Theranostics 2019;9(5):1453-1473
Theranostics 2019;9(5):1453-1473
Upregulation of OTUD7B (Cezanne) Promotes Tumor Progression via AKT/VEGF Pathway in Lung Squamous Carcinoma and Adenocarcinoma.
Lin DD, Shen Y, Qiao S, Liu WW, Zheng L, Wang YN, Cui N, Wang YF, Zhao S, Shi JH
Frontiers in oncology 2019;9:862
Frontiers in oncology 2019;9:862
CAPE-pNO(2) Inhibited the Growth and Metastasis of Triple-Negative Breast Cancer via the EGFR/STAT3/Akt/E-Cadherin Signaling Pathway.
Huang Q, Li S, Zhang L, Qiao X, Zhang Y, Zhao X, Xiao G, Li Z
Frontiers in oncology 2019;9:461
Frontiers in oncology 2019;9:461
Unfolded Protein Response Pathways Correlatively Modulate Endoplasmic Reticulum Stress Responses in Rat Retinal Müller Cells.
Wu S, Zhu X, Guo B, Zheng T, Ren J, Zeng W, Chen X, Ke M
Journal of ophthalmology 2019;2019:9028483
Journal of ophthalmology 2019;2019:9028483
VEGF Induce Vasculogenic Mimicry of Choroidal Melanoma through the PI3k Signal Pathway.
Xu X, Zong Y, Gao Y, Sun X, Zhao H, Luo W, Jia S
BioMed research international 2019;2019:3909102
BioMed research international 2019;2019:3909102
Maternal Diet-Induced Obesity Compromises Oxidative Stress Status and Angiogenesis in the Porcine Placenta by Upregulating Nox2 Expression.
Hu C, Yang Y, Li J, Wang H, Cheng C, Yang L, Li Q, Deng J, Liang Z, Yin Y, Xie Z, Tan C
Oxidative medicine and cellular longevity 2019;2019:2481592
Oxidative medicine and cellular longevity 2019;2019:2481592
FBXO22 Suppresses Metastasis in Human Renal Cell Carcinoma via Inhibiting MMP-9-Mediated Migration and Invasion and VEGF-Mediated Angiogenesis.
Guo F, Liu J, Han X, Zhang X, Lin T, Wang Y, Bai J, Han J
International journal of biological sciences 2019;15(3):647-656
International journal of biological sciences 2019;15(3):647-656
Metformin Promotes the Survival of Random-Pattern Skin Flaps by Inducing Autophagy via the AMPK-mTOR-TFEB signaling pathway.
Wu H, Ding J, Li S, Lin J, Jiang R, Lin C, Dai L, Xie C, Lin D, Xu H, Gao W, Zhou K
International journal of biological sciences 2019;15(2):325-340
International journal of biological sciences 2019;15(2):325-340
Therapeutic potential of pravastatin for random skin flaps necrosis: involvement of promoting angiogenesis and inhibiting apoptosis and oxidative stress.
Lin J, Jia C, Wang Y, Jiang S, Jia Z, Chen N, Sheng S, Li S, Jiang L, Xu H, Zhou K, Chen Y
Drug design, development and therapy 2019;13:1461-1472
Drug design, development and therapy 2019;13:1461-1472
NLRP3 inflammasome activation by estrogen promotes the progression of human endometrial cancer.
Liu SG, Wu XX, Hua T, Xin XY, Feng DL, Chi SQ, Wang XX, Wang HB
OncoTargets and therapy 2019;12:6927-6936
OncoTargets and therapy 2019;12:6927-6936
Synergistic protection of tetramethylpyrazine phosphate and borneol on brain microvascular endothelium cells injured by hypoxia.
Yu B, Zhong FM, Yao Y, Deng SQ, Xu HQ, Lu JF, Ruan M, Shen XC
American journal of translational research 2019;11(4):2168-2180
American journal of translational research 2019;11(4):2168-2180
The effects of local injection of exosomes derived from BMSCs on random skin flap in rats.
Xie L, Wang J, Zhang Y, Chen H, Lin D, Ding J, Xuan J, Chen Q, Cai L
American journal of translational research 2019;11(11):7063-7073
American journal of translational research 2019;11(11):7063-7073
Protective effects of resveratrol on random-pattern skin flap survival: an experimental study.
Lin J, Lin R, Li S, Wu H, Ding J, Xiang G, Li S, Wang Y, Lin D, Gao W, Kong J, Xu H, Zhou K
American journal of translational research 2019;11(1):379-392
American journal of translational research 2019;11(1):379-392
TINAGL1 promotes hepatocellular carcinogenesis through the activation of TGF-β signaling-medicated VEGF expression.
Sun L, Dong Z, Gu H, Guo Z, Yu Z
Cancer management and research 2019;11:767-775
Cancer management and research 2019;11:767-775
Catalpol Exerts a Neuroprotective Effect in the MPTP Mouse Model of Parkinson's Disease.
Wang LY, Yu X, Li XX, Zhao YN, Wang CY, Wang ZY, He ZY
Frontiers in aging neuroscience 2019;11:316
Frontiers in aging neuroscience 2019;11:316
HIF1α/miR-520a-3p/AKT1/mTOR Feedback Promotes The Proliferation And Glycolysis Of Gastric Cancer Cells.
Pan C, Liu Q, Wu X
Cancer management and research 2019;11:10145-10156
Cancer management and research 2019;11:10145-10156
Monitoring the Early Antiproliferative Effect of the Analgesic-Antitumor Peptide, BmK AGAP on Breast Cancer Using Intravoxel Incoherent Motion With a Reduced Distribution of Four b-Values.
Doudou NR, Kampo S, Liu Y, Ahmmed B, Zeng D, Zheng M, Mohamadou A, Wen QP, Wang S
Frontiers in physiology 2019;10:708
Frontiers in physiology 2019;10:708
Cumingianoside A, a Phyto-Triterpenoid Saponin Inhibits Acquired BRAF Inhibitor Resistant Melanoma Growth via Programmed Cell Death.
Cvetanova B, Shen YC, Shyur LF
Frontiers in pharmacology 2019;10:30
Frontiers in pharmacology 2019;10:30
Betulinic Acid Enhances the Viability of Random-Pattern Skin Flaps by Activating Autophagy.
Li J, Bao G, ALyafeai E, Ding J, Li S, Sheng S, Shen Z, Jia Z, Lin C, Zhang C, Lou Z, Xu H, Gao W, Zhou K
Frontiers in pharmacology 2019;10:1017
Frontiers in pharmacology 2019;10:1017
RasGRP1 is a target for VEGF to induce angiogenesis and involved in the endothelial-protective effects of metformin under high glucose in HUVECs.
Xu J, Liu M, Yu M, Shen J, Zhou J, Hu J, Zhou Y, Zhang W
IUBMB life 2019 Sep;71(9):1391-1400
IUBMB life 2019 Sep;71(9):1391-1400
Protective effects of leonurine against ischemic stroke in mice by activating nuclear factor erythroid 2-related factor 2 pathway.
Xie YZ, Zhang XJ, Zhang C, Yang Y, He JN, Chen YX
CNS neuroscience & therapeutics 2019 Sep;25(9):1006-1017
CNS neuroscience & therapeutics 2019 Sep;25(9):1006-1017
LINC00628 suppresses migration and invasion of hepatocellular carcinoma by its conserved region interacting with the promoter of VEGFA.
Chen Q, Wang D, Li Y, Yan S, Dang H, Yue H, Ling J, Chen F, Zhao Y, Gou L, Tang P, Huang A, Tang H
Journal of cellular physiology 2019 Sep;234(9):15751-15762
Journal of cellular physiology 2019 Sep;234(9):15751-15762
HOXA11-AS regulates JAK-STAT pathway by miR-15a-3p/STAT3 axis to promote the growth and metastasis in liver cancer.
Wang S, Zhang S, He Y, Huang X, Hui Y, Tang Y
Journal of cellular biochemistry 2019 Sep;120(9):15941-15951
Journal of cellular biochemistry 2019 Sep;120(9):15941-15951
Astilbin reduces ROS accumulation and VEGF expression through Nrf2 in psoriasis-like skin disease.
Wang W, Yuhai, Wang H, Chasuna, Bagenna
Biological research 2019 Sep 6;52(1):49
Biological research 2019 Sep 6;52(1):49
Downregulation of exosomal CLEC3B in hepatocellular carcinoma promotes metastasis and angiogenesis via AMPK and VEGF signals.
Dai W, Wang Y, Yang T, Wang J, Wu W, Gu J
Cell communication and signaling : CCS 2019 Sep 2;17(1):113
Cell communication and signaling : CCS 2019 Sep 2;17(1):113
Vanillic acid attenuates cartilage degeneration by regulating the MAPK and PI3K/AKT/NF-κB pathways.
Huang X, Xi Y, Mao Z, Chu X, Zhang R, Ma X, Ni B, Cheng H, You H
European journal of pharmacology 2019 Sep 15;859:172481
European journal of pharmacology 2019 Sep 15;859:172481
Apatinib inhibits glycolysis by suppressing the VEGFR2/AKT1/SOX5/GLUT4 signaling pathway in ovarian cancer cells.
Chen L, Cheng X, Tu W, Qi Z, Li H, Liu F, Yang Y, Zhang Z, Wang Z
Cellular oncology (Dordrecht, Netherlands) 2019 Oct;42(5):679-690
Cellular oncology (Dordrecht, Netherlands) 2019 Oct;42(5):679-690
A novel tetravalent bispecific antibody targeting programmed death 1 and tyrosine-protein kinase Met for treatment of gastric cancer.
Hou W, Yuan Q, Yuan X, Wang Y, Mo W, Wang H, Yu M
Investigational new drugs 2019 Oct;37(5):876-889
Investigational new drugs 2019 Oct;37(5):876-889
CXCL12 promotes human ovarian cancer cell invasion through suppressing ARHGAP10 expression.
Luo N, Chen DD, Liu L, Li L, Cheng ZP
Biochemical and biophysical research communications 2019 Oct 20;518(3):416-422
Biochemical and biophysical research communications 2019 Oct 20;518(3):416-422
IL-10 knockdown with siRNA enhances the efficacy of Doxorubicin chemotherapy in EBV-positive tumors by inducing lytic cycle via PI3K/p38 MAPK/NF-kB pathway.
Gao L, Han H, Wang H, Cao L, Feng WH
Cancer letters 2019 Oct 10;462:12-22
Cancer letters 2019 Oct 10;462:12-22
Repurposing propranolol as an antitumor agent in von Hippel-Lindau disease.
Shepard MJ, Bugarini A, Edwards NA, Lu J, Zhang Q, Wu T, Zhuang Z, Chittiboina P
Journal of neurosurgery 2019 Oct 1;131(4):1106-1114
Journal of neurosurgery 2019 Oct 1;131(4):1106-1114
PinX1 represses renal cancer angiogenesis via the mir-125a-3p/VEGF signaling pathway.
Hou P, Li H, Yong H, Chen F, Chu S, Zheng J, Bai J
Angiogenesis 2019 Nov;22(4):507-519
Angiogenesis 2019 Nov;22(4):507-519
Inhibiting Hypoxia and Chemotherapy-Induced Cancer Cell Metastasis under a Valid Therapeutic Effect by an Assistance of Biomimetic Oxygen Delivery.
Jiang MS, Yin XY, Qin B, Xuan SY, Yuan XL, Yin H, Zhu C, Li X, Yang J, Du YZ, Luo LH, You J
Molecular pharmaceutics 2019 Nov 4;16(11):4530-4541
Molecular pharmaceutics 2019 Nov 4;16(11):4530-4541
Targeting Angiogenesis by Blocking the ATM-SerRS-VEGFA Pathway for UV-Induced Skin Photodamage and Melanoma Growth.
Song Y, Lu H, Wang Q, Xiang R
Cancers 2019 Nov 22;11(12)
Cancers 2019 Nov 22;11(12)
FGF21 augments autophagy in random-pattern skin flaps via AMPK signaling pathways and improves tissue survival.
Zhou K, Chen H, Lin J, Xu H, Wu H, Bao G, Li J, Deng X, Shui X, Gao W, Ding J, Xiao J, Xu H
Cell death & disease 2019 Nov 18;10(12):872
Cell death & disease 2019 Nov 18;10(12):872
LKB1/p53/TIGAR/autophagy-dependent VEGF expression contributes to PM2.5-induced pulmonary inflammatory responses.
Xu H, Xu X, Wang H, Qimuge A, Liu S, Chen Y, Zhang C, Hu M, Song L
Scientific reports 2019 Nov 12;9(1):16600
Scientific reports 2019 Nov 12;9(1):16600
Glycyrrhetinic acid-modified graphene oxide mediated siRNA delivery for enhanced liver-cancer targeting therapy.
Qu Y, Sun F, He F, Yu C, Lv J, Zhang Q, Liang D, Yu C, Wang J, Zhang X, Xu A, Wu J
European journal of pharmaceutical sciences : official journal of the European Federation for Pharmaceutical Sciences 2019 Nov 1;139:105036
European journal of pharmaceutical sciences : official journal of the European Federation for Pharmaceutical Sciences 2019 Nov 1;139:105036
Angiopoietin-like 4 binds neuropilins and cooperates with VEGF to induce diabetic macular edema.
Sodhi A, Ma T, Menon D, Deshpande M, Jee K, Dinabandhu A, Vancel J, Lu D, Montaner S
The Journal of clinical investigation 2019 Nov 1;129(11):4593-4608
The Journal of clinical investigation 2019 Nov 1;129(11):4593-4608
Hypoxia promotes vasculogenic mimicry formation by vascular endothelial growth factor A mediating epithelial-mesenchymal transition in salivary adenoid cystic carcinoma.
Wang HF, Wang SS, Zheng M, Dai LL, Wang K, Gao XL, Cao MX, Yu XH, Pang X, Zhang M, Wu JB, Wu JS, Yang X, Tang YJ, Chen Y, Tang YL, Liang XH
Cell proliferation 2019 May;52(3):e12600
Cell proliferation 2019 May;52(3):e12600
SSRP1 promotes colorectal cancer progression and is negatively regulated by miR-28-5p.
Wu W, He K, Guo Q, Chen J, Zhang M, Huang K, Yang D, Wu L, Deng Y, Luo X, Yu H, Ding Q, Xiang G
Journal of cellular and molecular medicine 2019 May;23(5):3118-3129
Journal of cellular and molecular medicine 2019 May;23(5):3118-3129
Nano hydroxyapatite induces glioma cell apoptosis by suppressing NF-κB signaling pathway.
Guo G, Tian A, Lan X, Fu C, Yan Z, Wang C
Experimental and therapeutic medicine 2019 May;17(5):4080-4088
Experimental and therapeutic medicine 2019 May;17(5):4080-4088
Sinomenine mitigates collagen-induced arthritis mice by inhibiting angiogenesis.
Feng ZT, Yang T, Hou XQ, Wu HY, Feng JT, Ou BJ, Cai SJ, Li J, Mei ZG
Biomedicine & pharmacotherapy = Biomedecine & pharmacotherapie 2019 May;113:108759
Biomedicine & pharmacotherapy = Biomedecine & pharmacotherapie 2019 May;113:108759
MiR-191 inhibit angiogenesis after acute ischemic stroke targeting VEZF1.
Du K, Zhao C, Wang L, Wang Y, Zhang KZ, Shen XY, Sun HX, Gao W, Lu X
Aging 2019 May 7;11(9):2762-2786
Aging 2019 May 7;11(9):2762-2786
Cryogenic free-form extrusion bioprinting of decellularized small intestinal submucosa for potential applications in skin tissue engineering.
Shi L, Hu Y, Ullah MW, Ullah I, Ou H, Zhang W, Xiong L, Zhang X
Biofabrication 2019 May 31;11(3):035023
Biofabrication 2019 May 31;11(3):035023
TFAP2B overexpression contributes to tumor growth and progression of thyroid cancer through the COX-2 signaling pathway.
Fu X, Zhang H, Chen Z, Yang Z, Shi D, Liu T, Chen W, Yao F, Su X, Deng W, Chen M, Yang A
Cell death & disease 2019 May 21;10(6):397
Cell death & disease 2019 May 21;10(6):397
VEGF Antagonism Attenuates Cerebral Ischemia/Reperfusion-Induced Injury via Inhibiting Endoplasmic Reticulum Stress-Mediated Apoptosis.
Feng SQ, Zong SY, Liu JX, Chen Y, Xu R, Yin X, Zhao R, Li Y, Luo TT
Biological & pharmaceutical bulletin 2019 May 1;42(5):692-702
Biological & pharmaceutical bulletin 2019 May 1;42(5):692-702
Oncostatin M-induced upregulation of SDF-1 improves Bone marrow stromal cell migration in a rat middle cerebral artery occlusion stroke model.
Han J, Feng Z, Xie Y, Li F, Lv B, Hua T, Zhang Z, Sun C, Su D, Ouyang Q, Cai Y, Zou Y, Tang Y, Sun H, Jiang X
Experimental neurology 2019 Mar;313:49-59
Experimental neurology 2019 Mar;313:49-59
Autologous nanofat transplantation accelerates foot wound healing in diabetic rats.
Chen L, Wang ZC, Ma JJ, Sun WJ, Wang SW, Gu ZC, Yang X
Regenerative medicine 2019 Mar;14(3):231-241
Regenerative medicine 2019 Mar;14(3):231-241
Nuciferine inhibits the progression of glioblastoma by suppressing the SOX2-AKT/STAT3-Slug signaling pathway.
Li Z, Chen Y, An T, Liu P, Zhu J, Yang H, Zhang W, Dong T, Jiang J, Zhang Y, Jiang M, Yang X
Journal of experimental & clinical cancer research : CR 2019 Mar 29;38(1):139
Journal of experimental & clinical cancer research : CR 2019 Mar 29;38(1):139
Dl-3-N-butylphthalide promotes angiogenesis and upregulates sonic hedgehog expression after cerebral ischemia in rats.
Zhou PT, Wang LP, Qu MJ, Shen H, Zheng HR, Deng LD, Ma YY, Wang YY, Wang YT, Tang YH, Tian HL, Zhang ZJ, Yang GY
CNS neuroscience & therapeutics 2019 Jun;25(6):748-758
CNS neuroscience & therapeutics 2019 Jun;25(6):748-758
miR-15a-5p suppresses inflammation and fibrosis of peritoneal mesothelial cells induced by peritoneal dialysis via targeting VEGFA.
Shang J, He Q, Chen Y, Yu D, Sun L, Cheng G, Liu D, Xiao J, Zhao Z
Journal of cellular physiology 2019 Jun;234(6):9746-9755
Journal of cellular physiology 2019 Jun;234(6):9746-9755
PTPN2 improved renal injury and fibrosis by suppressing STAT-induced inflammation in early diabetic nephropathy.
Li Y, Zhou H, Li Y, Han L, Song M, Chen F, Shang G, Wang D, Wang Z, Zhang W, Zhong M
Journal of cellular and molecular medicine 2019 Jun;23(6):4179-4195
Journal of cellular and molecular medicine 2019 Jun;23(6):4179-4195
Highly Porous Microcarriers for Minimally Invasive In Situ Skeletal Muscle Cell Delivery.
Kankala RK, Zhao J, Liu CG, Song XJ, Yang DY, Zhu K, Wang SB, Zhang YS, Chen AZ
Small (Weinheim an der Bergstrasse, Germany) 2019 Jun;15(25):e1901397
Small (Weinheim an der Bergstrasse, Germany) 2019 Jun;15(25):e1901397
Isocitrate dehydrogenase1 mutation reduces the pericyte coverage of microvessels in astrocytic tumours.
Sun C, Zhao Y, Shi J, Zhang J, Yuan Y, Gu Y, Zhang F, Gao X, Wang C, Wang Y, Wang Z, Hu P, Qin J, Xiao L, Chang T, Wang L, Xi Y, Yin H, Chen H, Zhang L, Cheng G, Lin J, Zhang M, Li Z, Ye J
Journal of neuro-oncology 2019 Jun;143(2):187-196
Journal of neuro-oncology 2019 Jun;143(2):187-196
circ-CSPP1 promotes proliferation, invasion and migration of ovarian cancer cells by acting as a miR-1236-3p sponge.
Li QH, Liu Y, Chen S, Zong ZH, Du YP, Sheng XJ, Zhao Y
Biomedicine & pharmacotherapy = Biomedecine & pharmacotherapie 2019 Jun;114:108832
Biomedicine & pharmacotherapy = Biomedecine & pharmacotherapie 2019 Jun;114:108832
Patient-derived bladder cancer xenograft models reveal VEGF and CDK4 enhancing tumor metastasis behavior.
Zhao Y, An M, Zhang H, Tan D, Chen X, Wu P, Qin W, Zhang C, Shi C
RSC advances 2019 Jun 4;9(31):17877-17884
RSC advances 2019 Jun 4;9(31):17877-17884
Overexpression of the aryl hydrocarbon receptor nuclear translocator partially rescues fetoplacental angiogenesis in severe fetal growth restriction.
Ji S, Xin H, Su EJ
Clinical science (London, England : 1979) 2019 Jun 28;133(12):1353-1365
Clinical science (London, England : 1979) 2019 Jun 28;133(12):1353-1365
Metallothionein 3 Controls the Phenotype and Metabolic Programming of Alternatively Activated Macrophages.
Chowdhury D, Alrefai H, Landero Figueroa JA, Candor K, Porollo A, Fecher R, Divanovic S, Deepe GS Jr, Subramanian Vignesh K
Cell reports 2019 Jun 25;27(13):3873-3886.e7
Cell reports 2019 Jun 25;27(13):3873-3886.e7
The effects of cooking oil fumes-derived PM(2.5) on blood vessel formation through ROS-mediated NLRP3 inflammasome pathway in human umbilical vein endothelial cells.
Shen C, Liu J, Zhu F, Lei R, Cheng H, Zhang C, Sui X, Ding L, Yang M, Chen H, Ding R, Cao J
Ecotoxicology and environmental safety 2019 Jun 15;174:690-698
Ecotoxicology and environmental safety 2019 Jun 15;174:690-698
The effect of intervertebral disc degenerative change on biological characteristics of nucleus pulposus mesenchymal stem cell: an in vitro study in rats.
Liu Y, Li Y, Huang ZN, Wang ZY, Nan LP, Wang F, Zhou SF, Wang JC, Feng XM, Zhang L
Connective tissue research 2019 Jul;60(4):376-388
Connective tissue research 2019 Jul;60(4):376-388
Cancer-associated fibroblasts show heterogeneous gene expression and induce vascular endothelial growth factor A (VEGFA) in response to environmental stimuli.
Inoue KI, Kishimoto S, Akimoto K, Sakuma M, Toyoda S, Inoue T, Yoshida KI, Shimoda M, Suzuki S
Annals of gastroenterological surgery 2019 Jul;3(4):416-425
Annals of gastroenterological surgery 2019 Jul;3(4):416-425
Long-term pulmonary exposure to multi-walled carbon nanotubes promotes breast cancer metastatic cascades.
Lu X, Zhu Y, Bai R, Wu Z, Qian W, Yang L, Cai R, Yan H, Li T, Pandey V, Liu Y, Lobie PE, Chen C, Zhu T
Nature nanotechnology 2019 Jul;14(7):719-727
Nature nanotechnology 2019 Jul;14(7):719-727
PTBP3 contributes to colorectal cancer growth and metastasis via translational activation of HIF-1α.
Hou P, Chen F, Yong H, Lin T, Li J, Pan Y, Jiang T, Li M, Chen Y, Song J, Zheng J, Bai J
Journal of experimental & clinical cancer research : CR 2019 Jul 10;38(1):301
Journal of experimental & clinical cancer research : CR 2019 Jul 10;38(1):301
Exosomal miR-1229 derived from colorectal cancer cells promotes angiogenesis by targeting HIPK2.
Hu HY, Yu CH, Zhang HH, Zhang SZ, Yu WY, Yang Y, Chen Q
International journal of biological macromolecules 2019 Jul 1;132:470-477
International journal of biological macromolecules 2019 Jul 1;132:470-477
Topical application of phenytoin or nifedipine-loaded PLGA microspheres promotes periodontal regeneration in vivo.
Zhao XH, Tay FR, Fang YJ, Meng LY, Bian Z
Archives of oral biology 2019 Jan;97:42-51
Archives of oral biology 2019 Jan;97:42-51
Human amnion-derived mesenchymal stem cell (hAD-MSC) transplantation improves ovarian function in rats with premature ovarian insufficiency (POI) at least partly through a paracrine mechanism.
Ling L, Feng X, Wei T, Wang Y, Wang Y, Wang Z, Tang D, Luo Y, Xiong Z
Stem cell research & therapy 2019 Jan 25;10(1):46
Stem cell research & therapy 2019 Jan 25;10(1):46
Anti-breast Cancer Activity of SPG-56 from Sweet Potato in MCF-7 Bearing Mice in Situ through Promoting Apoptosis and Inhibiting Metastasis.
Li Z, Yu Y, Wang M, Xu H, Han B, Jiang P, Ma H, Li Y, Tian C, Zhou D, Li X, Ye X
Scientific reports 2019 Jan 16;9(1):146
Scientific reports 2019 Jan 16;9(1):146
Regulatory effects of dermal papillary pluripotent stem cells on polarization of macrophages from M1 to M2 phenotype in vitro.
Li M, Xu J, Mei X, Chi G, Li L, Song Y, He X, Li Y
Transplant immunology 2019 Feb;52:57-67
Transplant immunology 2019 Feb;52:57-67
Osterix promotes the migration and angiogenesis of breast cancer by upregulation of S100A4 expression.
Qu S, Wu J, Bao Q, Yao B, Duan R, Chen X, Li L, Yuan H, Jin Y, Ma C
Journal of cellular and molecular medicine 2019 Feb;23(2):1116-1127
Journal of cellular and molecular medicine 2019 Feb;23(2):1116-1127
Exosome-mediated targeted delivery of miR-210 for angiogenic therapy after cerebral ischemia in mice.
Zhang H, Wu J, Wu J, Fan Q, Zhou J, Wu J, Liu S, Zang J, Ye J, Xiao M, Tian T, Gao J
Journal of nanobiotechnology 2019 Feb 19;17(1):29
Journal of nanobiotechnology 2019 Feb 19;17(1):29
Nano-Gold Loaded with Resveratrol Enhance the Anti-Hepatoma Effect of Resveratrol In Vitro and In Vivo.
Zhang D, Zhang J, Zeng J, Li Z, Zuo H, Huang C, Zhao X
Journal of biomedical nanotechnology 2019 Feb 1;15(2):288-300
Journal of biomedical nanotechnology 2019 Feb 1;15(2):288-300
Carpesium abrotanoides (L.) Root as a Potential Source of Natural Anticancer Compounds: Targeting Glucose Metabolism and PKM2/HIF-1α Axis of Breast Cancer Cells.
Chai XX, Le YF, Wang JC, Mei CX, Feng JF, Zhao H, Wang C, Lu DZ
Journal of food science 2019 Dec;84(12):3825-3832
Journal of food science 2019 Dec;84(12):3825-3832
Vascular endothelial growth factor A/Vascular endothelial growth factor receptor 2 axis promotes human dental pulp stem cell migration via the FAK/PI3K/Akt and p38 MAPK signalling pathways.
Sun X, Meng L, Qiao W, Yang R, Gao Q, Peng Y, Bian Z
International endodontic journal 2019 Dec;52(12):1691-1703
International endodontic journal 2019 Dec;52(12):1691-1703
STRIP2 silencing inhibits vascular smooth muscle cell proliferation and migration via P38-AKT-MMP-2 signaling pathway.
Dai L, Zhou J, Li T, Qian Y, Jin L, Zhu C, Li S
Journal of cellular physiology 2019 Dec;234(12):22463-22476
Journal of cellular physiology 2019 Dec;234(12):22463-22476
CircRhoC promotes tumorigenicity and progression in ovarian cancer by functioning as a miR-302e sponge to positively regulate VEGFA.
Wang LL, Zong ZH, Liu Y, Guan X, Chen S, Zhao Y
Journal of cellular and molecular medicine 2019 Dec;23(12):8472-8481
Journal of cellular and molecular medicine 2019 Dec;23(12):8472-8481
Fufang Xueshuantong protects retinal vascular endothelial cells from high glucose by targeting YAP.
Xing W, Song Y, Li H, Wang Z, Wu Y, Li C, Wang Y, Liu Y, Wang W, Han J
Biomedicine & pharmacotherapy = Biomedecine & pharmacotherapie 2019 Dec;120:109470
Biomedicine & pharmacotherapy = Biomedecine & pharmacotherapie 2019 Dec;120:109470
Extremely Effective Chemoradiotherapy by Inducing Immunogenic Cell Death and Radio-Triggered Drug Release under Hypoxia Alleviation.
Zhu C, Guo X, Luo L, Wu Z, Luo Z, Jiang M, Zhang J, Qin B, Shi Y, Lou Y, Qiu Y, You J
ACS applied materials & interfaces 2019 Dec 18;11(50):46536-46547
ACS applied materials & interfaces 2019 Dec 18;11(50):46536-46547
PRMT4 overexpression aggravates cardiac remodeling following myocardial infarction by promoting cardiomyocyte apoptosis.
Wang Y, Ju C, Hu J, Huang K, Yang L
Biochemical and biophysical research communications 2019 Dec 10;520(3):645-650
Biochemical and biophysical research communications 2019 Dec 10;520(3):645-650
FAM46B suppresses proliferation, migration and invasion of non-small cell lung cancer via β-catenin/MMP7 signaling.
Sang H, Wu S, Chen X, Cheng S, Li Q
Translational cancer research 2019 Aug;8(4):1497-1505
Translational cancer research 2019 Aug;8(4):1497-1505
Cystathionine‑γ‑lyase promotes the metastasis of breast cancer via the VEGF signaling pathway.
Wang L, Shi H, Liu Y, Zhang W, Duan X, Li M, Shi X, Wang T
International journal of oncology 2019 Aug;55(2):473-487
International journal of oncology 2019 Aug;55(2):473-487
Curcumin suppresses intestinal microvascular endothelial cells invasion and angiogenesis induced by activated platelets.
Xu S, Xu ZX, Yan S, Le J, Chen H, Ming L, Xu SG, Lin T
Experimental and therapeutic medicine 2019 Aug;18(2):1099-1106
Experimental and therapeutic medicine 2019 Aug;18(2):1099-1106
Krüppel-like factor 3 inhibition by mutated lncRNA Reg1cp results in human high bone mass syndrome.
Yang M, Guo Q, Peng H, Xiao YZ, Xiao Y, Huang Y, Li CJ, Su T, Zhang YL, Lei MX, Chen HL, Jiang TJ, Luo XH
The Journal of experimental medicine 2019 Aug 5;216(8):1944-1964
The Journal of experimental medicine 2019 Aug 5;216(8):1944-1964
Astaxanthin ameliorates renal interstitial fibrosis and peritubular capillary rarefaction in unilateral ureteral obstruction.
Zhao J, Meng M, Zhang J, Li L, Zhu X, Zhang L, Wang C, Gao M
Molecular medicine reports 2019 Apr;19(4):3168-3178
Molecular medicine reports 2019 Apr;19(4):3168-3178
Rapamycin improves bone mass in high-turnover osteoporosis with iron accumulation through positive effects on osteogenesis and angiogenesis.
Wu J, Wang A, Wang X, Li G, Jia P, Shen G, Chen B, Yuan Y, Zhang H, Yang F, Xu Y
Bone 2019 Apr;121:16-28
Bone 2019 Apr;121:16-28
Mild thermotherapy and hyperbaric oxygen enhance sensitivity of TMZ/PSi nanoparticles via decreasing the stemness in glioma.
Zeng X, Wang Q, Tan X, Jia L, Li Y, Hu M, Zhang Z, Bai X, Zhu Y, Yang X
Journal of nanobiotechnology 2019 Apr 1;17(1):47
Journal of nanobiotechnology 2019 Apr 1;17(1):47
Targeted Delivery of miRNA 155 to Tumor Associated Macrophages for Tumor Immunotherapy.
Zang X, Zhang X, Zhao X, Hu H, Qiao M, Deng Y, Chen D
Molecular pharmaceutics 2019 Apr 1;16(4):1714-1722
Molecular pharmaceutics 2019 Apr 1;16(4):1714-1722
Salvianolic Acid B Promotes the Survival of Random-Pattern Skin Flaps in Rats by Inducing Autophagy.
Lin J, Lin R, Li S, Wu H, Ding J, Xiang G, Li S, Wang Y, Lin D, Gao W, Kong J, Xu H, Zhou K
Frontiers in pharmacology 2018;9:1178
Frontiers in pharmacology 2018;9:1178
Fangchinoline Ameliorates the Expressions of Angiogenic Molecule in Cerebral Ischemia Induced Neuronal Degeneration in Neonatal Rats.
Daicheng H, Shiwen X, Huaping Z, Yong L, Qianqian Z, Changxia H
Translational neuroscience 2018;9:117-122
Translational neuroscience 2018;9:117-122
Ligand Activation of PPARγ by Ligustrazine Suppresses Pericyte Functions of Hepatic Stellate Cells via SMRT-Mediated Transrepression of HIF-1α.
Zhang F, Lu S, He J, Jin H, Wang F, Wu L, Shao J, Chen A, Zheng S
Theranostics 2018;8(3):610-626
Theranostics 2018;8(3):610-626
In Vitro and In Vivo Inhibitory Effect of Gujin Xiaoliu Tang in Non-Small Cell Lung Cancer.
Hou C, Zhou DH, Wu YJ, Dai XJ, Wang QY, Wu YQ, Zhang EX
Evidence-based complementary and alternative medicine : eCAM 2018;2018:8936108
Evidence-based complementary and alternative medicine : eCAM 2018;2018:8936108
Wenyang Huazhuo Tongluo formula inhibits fibrosis via suppressing Wnt/β-catenin signaling pathway in a Bleomycin-induced systemic sclerosis mouse model.
Wang Q, Zang W, Han L, Yang L, Ye S, Ouyang J, Zhang C, Bi Y, Zhang C, Bian H
Chinese medicine 2018;13:17
Chinese medicine 2018;13:17
Comparative study of nanostructured carriers of calcium phosphate and magnesium phosphate loaded with SRT1720 for the protection of H(2)O(2)-induced senescent endothelium.
Su ZX, Shi YQ, Lu ZY, Li RL, Wang XL, Ning BB, Duan JL, Hao LS, Duan JH, Li Y, Zhu YJ, Hao CN, Wang R
American journal of translational research 2018;10(7):2068-2077
American journal of translational research 2018;10(7):2068-2077
miR-125a-5p suppresses colorectal cancer progression by targeting VEGFA.
Yang X, Qiu J, Kang H, Wang Y, Qian J
Cancer management and research 2018;10:5839-5853
Cancer management and research 2018;10:5839-5853
Recombinant human maspin inhibits high glucose-induced oxidative stress and angiogenesis of human retinal microvascular endothelial cells via PI3K/AKT pathway.
Qiu F, Tong H, Wang Y, Tao J, Wang H, Chen L
Molecular and cellular biochemistry 2018 Sep;446(1-2):127-136
Molecular and cellular biochemistry 2018 Sep;446(1-2):127-136
MiR-140-5p inhibits larynx carcinoma invasion and angiogenesis by targeting VEGF-A.
Zhang JR, Zhu RH, Han XP
European review for medical and pharmacological sciences 2018 Sep;22(18):5994-6001
European review for medical and pharmacological sciences 2018 Sep;22(18):5994-6001
LncRNA TDRG1 enhances tumorigenicity in endometrial carcinoma by binding and targeting VEGF-A protein.
Chen S, Wang LL, Sun KX, Liu Y, Guan X, Zong ZH, Zhao Y
Biochimica et biophysica acta. Molecular basis of disease 2018 Sep;1864(9 Pt B):3013-3021
Biochimica et biophysica acta. Molecular basis of disease 2018 Sep;1864(9 Pt B):3013-3021
Impact of G-CSF on expressions of Egr-1 and VEGF in acute ischemic cerebral injury.
Zhou DG, Shi YH, Cui YQ
Experimental and therapeutic medicine 2018 Sep;16(3):2313-2318
Experimental and therapeutic medicine 2018 Sep;16(3):2313-2318
Protective roles of NRF2 signaling pathway in cobalt chloride-induced hypoxic cytotoxicity in human HaCaT keratinocytes.
Yang B, Cheng H, Wang L, Fu J, Zhang G, Guan D, Qi R, Gao X, Zhao R
Toxicology and applied pharmacology 2018 Sep 15;355:189-197
Toxicology and applied pharmacology 2018 Sep 15;355:189-197
Maternal obesity aggravates the abnormality of porcine placenta by increasing N(6)-methyladenosine.
Song T, Lu J, Deng Z, Xu T, Yang Y, Wei H, Li S, Jiang S, Peng J
International journal of obesity (2005) 2018 Oct;42(10):1812-1820
International journal of obesity (2005) 2018 Oct;42(10):1812-1820
Catalpol Promotes the Survival and VEGF Secretion of Bone Marrow-Derived Stem Cells and Their Role in Myocardial Repair After Myocardial Infarction in Rats.
Ju X, Xue D, Wang T, Ge B, Zhang Y, Li Z
Cardiovascular toxicology 2018 Oct;18(5):471-481
Cardiovascular toxicology 2018 Oct;18(5):471-481
Low-Dose Radiation Enhanced Inhibition of Breast Tumor Xenograft and Reduced Myocardial Injury Induced by Doxorubicin.
Jiang X, Du Y, Meng X, Zhang H, Zhao D, Zhao L, Chen J, Xiao S, Jiang H
Dose-response : a publication of International Hormesis Society 2018 Oct-Dec;16(4):1559325818813061
Dose-response : a publication of International Hormesis Society 2018 Oct-Dec;16(4):1559325818813061
Melanoma cell-secreted exosomal miR-155-5p induce proangiogenic switch of cancer-associated fibroblasts via SOCS1/JAK2/STAT3 signaling pathway.
Zhou X, Yan T, Huang C, Xu Z, Wang L, Jiang E, Wang H, Chen Y, Liu K, Shao Z, Shang Z
Journal of experimental & clinical cancer research : CR 2018 Oct 3;37(1):242
Journal of experimental & clinical cancer research : CR 2018 Oct 3;37(1):242
MicroRNA-9 modified bone marrow-derived mesenchymal stem cells (BMSCs) repair severe acute pancreatitis (SAP) via inducing angiogenesis in rats.
Qian D, Song G, Ma Z, Wang G, Jin L, Hu M, Song Z, Wang X
Stem cell research & therapy 2018 Oct 25;9(1):282
Stem cell research & therapy 2018 Oct 25;9(1):282
Effects of l-arginine on endometrial microvessel density in nutrient-restricted Hu sheep.
Gao XX, Li XH, Zhang QF, Zhu M, Guo YX, Deng KP, Zhang GM, Wang F
Theriogenology 2018 Oct 1;119:252-258
Theriogenology 2018 Oct 1;119:252-258
CRISPR/Cas9‑mediated hypoxia inducible factor‑1α knockout enhances the antitumor effect of transarterial embolization in hepatocellular carcinoma.
Liu Q, Fan D, Adah D, Wu Z, Liu R, Yan QT, Zhang Y, Du ZY, Wang D, Li Y, Bao SY, Liu LP
Oncology reports 2018 Nov;40(5):2547-2557
Oncology reports 2018 Nov;40(5):2547-2557
Synchronous delivery of oxygen and photosensitizer for alleviation of hypoxia tumor microenvironment and dramatically enhanced photodynamic therapy.
Guo X, Qu J, Zhu C, Li W, Luo L, Yang J, Yin X, Li Q, Du Y, Chen D, Qiu Y, Lou Y, You J
Drug delivery 2018 Nov;25(1):585-599
Drug delivery 2018 Nov;25(1):585-599
Hypoxic tumor therapy by hemoglobin-mediated drug delivery and reversal of hypoxia-induced chemoresistance.
Yang J, Li W, Luo L, Jiang M, Zhu C, Qin B, Yin H, Yuan X, Yin X, Zhang J, Luo Z, Du Y, You J
Biomaterials 2018 Nov;182:145-156
Biomaterials 2018 Nov;182:145-156
The relationship between lncRNA PCGEM1 and STAT3 during the occurrence and development of endometrial carcinoma.
Li Q, Shen F, Zhao L
Biomedicine & pharmacotherapy = Biomedecine & pharmacotherapie 2018 Nov;107:918-928
Biomedicine & pharmacotherapy = Biomedecine & pharmacotherapie 2018 Nov;107:918-928
Arsenic Trioxide Suppressed Migration and Angiogenesis by Targeting FOXO3a in Gastric Cancer Cells.
Zhang L, Liu L, Zhan S, Chen L, Wang Y, Zhang Y, Du J, Wu Y, Gu L
International journal of molecular sciences 2018 Nov 24;19(12)
International journal of molecular sciences 2018 Nov 24;19(12)
Sericin hydrogels promote skin wound healing with effective regeneration of hair follicles and sebaceous glands after complete loss of epidermis and dermis.
Qi C, Xu L, Deng Y, Wang G, Wang Z, Wang L
Biomaterials science 2018 Nov 1;6(11):2859-2870
Biomaterials science 2018 Nov 1;6(11):2859-2870
Autocrine IL-1β mediates the promotion of corneal neovascularization by senescent fibroblasts.
Dong M, Yang L, Qu M, Hu X, Duan H, Zhang X, Shi W, Zhou Q
American journal of physiology. Cell physiology 2018 Nov 1;315(5):C734-C743
American journal of physiology. Cell physiology 2018 Nov 1;315(5):C734-C743
Modification of α2,6-sialylation mediates the invasiveness and tumorigenicity of non-small cell lung cancer cells in vitro and in vivo via Notch1/Hes1/MMPs pathway.
Yuan Q, Chen X, Han Y, Lei T, Wu Q, Yu X, Wang L, Fan Z, Wang S
International journal of cancer 2018 Nov 1;143(9):2319-2330
International journal of cancer 2018 Nov 1;143(9):2319-2330
Positive-Feedback Regulation of Subchondral H-Type Vessel Formation by Chondrocyte Promotes Osteoarthritis Development in Mice.
Lu J, Zhang H, Cai D, Zeng C, Lai P, Shao Y, Fang H, Li D, Ouyang J, Zhao C, Xie D, Huang B, Yang J, Jiang Y, Bai X
Journal of bone and mineral research : the official journal of the American Society for Bone and Mineral Research 2018 May;33(5):909-920
Journal of bone and mineral research : the official journal of the American Society for Bone and Mineral Research 2018 May;33(5):909-920
Slit2/Robo1 signaling is involved in angiogenesis of glomerular endothelial cells exposed to a diabetic-like environment.
Liu J, Hou W, Guan T, Tang L, Zhu X, Li Y, Hou S, Zhang J, Chen H, Huang Y
Angiogenesis 2018 May;21(2):237-249
Angiogenesis 2018 May;21(2):237-249
Activation of AMPK by simvastatin inhibited breast tumor angiogenesis via impeding HIF-1α-induced pro-angiogenic factor.
Wang JC, Li XX, Sun X, Li GY, Sun JL, Ye YP, Cong LL, Li WM, Lu SY, Feng J, Liu PJ
Cancer science 2018 May;109(5):1627-1637
Cancer science 2018 May;109(5):1627-1637
CCN1/Cyr61 enhances the function of hepatic stellate cells in promoting the progression of hepatocellular carcinoma.
Li ZQ, Wu WR, Zhao C, Zhao C, Zhang XL, Yang Z, Pan J, Si WK
International journal of molecular medicine 2018 Mar;41(3):1518-1528
International journal of molecular medicine 2018 Mar;41(3):1518-1528
Molecular Mechanisms Underlying the Inhibitory Effects of Qingzaojiufei Decoction on Tumor Growth in Lewis Lung Carcinoma.
Xie B, Xie X, Rao B, Liu S, Liu H
Integrative cancer therapies 2018 Jun;17(2):467-476
Integrative cancer therapies 2018 Jun;17(2):467-476
NaoXinTong Capsules inhibit the development of diabetic nephropathy in db/db mice.
Yang S, Liu M, Chen Y, Ma C, Liu L, Zhao B, Wang Y, Li X, Zhu Y, Gao X, Kong D, Duan Y, Han J, Yang X
Scientific reports 2018 Jun 14;8(1):9158
Scientific reports 2018 Jun 14;8(1):9158
Atrazine exposure improves the proliferation of H22 cells in vitro and in vivo.
Tian Y, He J, Liu N, Huang D, Liu Z, Yang Y, Chen J, Zhao B, Zhao S, Liang B
RSC advances 2018 Jun 13;8(39):21759-21767
RSC advances 2018 Jun 13;8(39):21759-21767
AMPK/GSK3β/β-catenin cascade-triggered overexpression of CEMIP promotes migration and invasion in anoikis-resistant prostate cancer cells by enhancing metabolic reprogramming.
Zhang P, Song Y, Sun Y, Li X, Chen L, Yang L, Xing Y
FASEB journal : official publication of the Federation of American Societies for Experimental Biology 2018 Jul;32(7):3924-3935
FASEB journal : official publication of the Federation of American Societies for Experimental Biology 2018 Jul;32(7):3924-3935
Expression of TBC1D16 Is Associated with Favorable Prognosis of Epithelial Ovarian Cancer.
Yang Z, Shen H, He W, Ouyang L, Guo Y, Qian F, Xu B, Xie D, Yang G
The Tohoku journal of experimental medicine 2018 Jul;245(3):141-148
The Tohoku journal of experimental medicine 2018 Jul;245(3):141-148
The effect of gap junction-mediated transfer of miR-200b on osteogenesis and angiogenesis in a co-culture of MSCs and HUVECs.
Fan X, Teng Y, Ye Z, Zhou Y, Tan WS
Journal of cell science 2018 Jul 9;131(13)
Journal of cell science 2018 Jul 9;131(13)
Angiogenesis and Full-Thickness Wound Healing Efficiency of a Copper-Doped Borate Bioactive Glass/Poly(lactic- co-glycolic acid) Dressing Loaded with Vitamin E in Vivo and in Vitro.
Hu H, Tang Y, Pang L, Lin C, Huang W, Wang D, Jia W
ACS applied materials & interfaces 2018 Jul 11;10(27):22939-22950
ACS applied materials & interfaces 2018 Jul 11;10(27):22939-22950
Role of c-Met in the progression of human oral squamous cell carcinoma and its potential as a therapeutic target.
Sun Z, Liu Q, Ye D, Ye K, Yang Z, Li D
Oncology reports 2018 Jan;39(1):209-216
Oncology reports 2018 Jan;39(1):209-216
Repulsive guidance molecule a suppresses angiogenesis after ischemia/reperfusion injury of middle cerebral artery occlusion in rats.
Wang Y, Zhang R, Xing X, Guo J, Xie F, Zhang G, Qin X
Neuroscience letters 2018 Jan 1;662:318-323
Neuroscience letters 2018 Jan 1;662:318-323
HMGB1-induced angiogenesis in perforated disc cells of human temporomandibular joint.
Feng Y, Ke J, Cao P, Deng M, Li J, Cai H, Meng Q, Li Y, Long X
Journal of cellular and molecular medicine 2018 Feb;22(2):1283-1291
Journal of cellular and molecular medicine 2018 Feb;22(2):1283-1291
PUM1 promotes ovarian cancer proliferation, migration and invasion.
Guan X, Chen S, Liu Y, Wang LL, Zhao Y, Zong ZH
Biochemical and biophysical research communications 2018 Feb 26;497(1):313-318
Biochemical and biophysical research communications 2018 Feb 26;497(1):313-318
ATAD2 silencing decreases VEGFA secretion through targeting has-miR-520a to inhibit angiogenesis in colorectal cancer.
Hong S, Chen S, Wang X, Sun D, Yan Z, Tai J, Bi M
Biochemistry and cell biology = Biochimie et biologie cellulaire 2018 Dec;96(6):761-768
Biochemistry and cell biology = Biochimie et biologie cellulaire 2018 Dec;96(6):761-768
Metformin suppresses hypoxia‑induced migration via the HIF‑1α/VEGF pathway in gallbladder cancer in vitro and in vivo.
Ye J, Chen K, Qi L, Li R, Tang H, Zhou C, Zhai W
Oncology reports 2018 Dec;40(6):3501-3510
Oncology reports 2018 Dec;40(6):3501-3510
Combination antitumor immunotherapy with VEGF and PIGF siRNA via systemic delivery of multi-functionalized nanoparticles to tumor-associated macrophages and breast cancer cells.
Song Y, Tang C, Yin C
Biomaterials 2018 Dec;185:117-132
Biomaterials 2018 Dec;185:117-132
4'-hydroxywogonin inhibits colorectal cancer angiogenesis by disrupting PI3K/AKT signaling.
Sun D, Zhang F, Qian J, Shen W, Fan H, Tan J, Li L, Xu C, Yang Y, Cheng H
Chemico-biological interactions 2018 Dec 25;296:26-33
Chemico-biological interactions 2018 Dec 25;296:26-33
Tamoxifen attenuates dialysate-induced peritoneal fibrosis by inhibiting GSK-3β/β-catenin axis activation.
Yan P, Tang H, Chen X, Ji S, Jin W, Zhang J, Shen J, Deng H, Zhao X, Shen Q, Huang H
Bioscience reports 2018 Dec 21;38(6)
Bioscience reports 2018 Dec 21;38(6)
Low dosage of arsenic trioxide (As(2)O(3)) inhibits angiogenesis in epithelial ovarian cancer without cell apoptosis.
Luo D, Zhang X, Du R, Gao W, Luo N, Zhao S, Li Y, Chen R, Wang H, Bao Y, Yang W, Liu D, Shen W
Journal of biological inorganic chemistry : JBIC : a publication of the Society of Biological Inorganic Chemistry 2018 Aug;23(6):939-947
Journal of biological inorganic chemistry : JBIC : a publication of the Society of Biological Inorganic Chemistry 2018 Aug;23(6):939-947
LncRNA ABHD11-AS1 promotes the development of endometrial carcinoma by targeting cyclin D1.
Liu Y, Wang LL, Chen S, Zong ZH, Guan X, Zhao Y
Journal of cellular and molecular medicine 2018 Aug;22(8):3955-3964
Journal of cellular and molecular medicine 2018 Aug;22(8):3955-3964
PEP06 polypeptide 30 exerts antitumour effect in colorectal carcinoma via inhibiting epithelial-mesenchymal transition.
Yu S, Li L, Tian W, Nie D, Mu W, Qiu F, Liu Y, Liu X, Wang X, Du Z, Chu WF, Yang B
British journal of pharmacology 2018 Aug;175(15):3111-3130
British journal of pharmacology 2018 Aug;175(15):3111-3130
Triptolide inhibits vascular endothelial growth factor-mediated angiogenesis in human breast cancer cells.
Liu H, Tang L, Li X, Li H
Experimental and therapeutic medicine 2018 Aug;16(2):830-836
Experimental and therapeutic medicine 2018 Aug;16(2):830-836
Mini-peptide RPL41 attenuated retinal neovascularization by inducing degradation of ATF4 in oxygen-induced retinopathy mice.
Geng W, Qin F, Ren J, Xiao S, Wang A
Experimental cell research 2018 Aug 15;369(2):243-250
Experimental cell research 2018 Aug 15;369(2):243-250
Progesterone attenuates airway remodeling and glucocorticoid resistance in a murine model of exposing to ozone.
Zhang X, Bao W, Fei X, Zhang Y, Zhang G, Zhou X, Zhang M
Molecular immunology 2018 Apr;96:69-77
Molecular immunology 2018 Apr;96:69-77
TLR9 (Toll-Like Receptor 9) Agonist Suppresses Angiogenesis by Differentially Regulating VEGFA (Vascular Endothelial Growth Factor A) and sFLT1 (Soluble Vascular Endothelial Growth Factor Receptor 1) in Preeclampsia.
He B, Yang X, Li Y, Huang D, Xu X, Yang W, Dai Y, Zhang H, Chen Z, Cheng W
Hypertension (Dallas, Tex. : 1979) 2018 Apr;71(4):671-680
Hypertension (Dallas, Tex. : 1979) 2018 Apr;71(4):671-680
Generation of an anti-angiogenic endothelial progenitor cell line via endostatin gene transfer.
Ai J, Sun JH, Wan T, Ma J, Feng L, Yao K
Molecular medicine reports 2018 Apr;17(4):5814-5820
Molecular medicine reports 2018 Apr;17(4):5814-5820
Notch activity mediates oestrogen-induced stromal cell invasion in endometriosis.
Li N, Zhang L, Li Q, Du Y, Liu H, Liu Y, Xiong W
Reproduction (Cambridge, England) 2018 Apr 1;157(4):371-381
Reproduction (Cambridge, England) 2018 Apr 1;157(4):371-381
Double Knockdown of PHD1 and Keap1 Attenuated Hypoxia-Induced Injuries in Hepatocytes.
Liu J, Li Y, Liu L, Wang Z, Shi C, Cheng Z, Zhang X, Ding F, Chen PS
Frontiers in physiology 2017;8:291
Frontiers in physiology 2017;8:291
Triptolide Inhibits the AR Signaling Pathway to Suppress the Proliferation of Enzalutamide Resistant Prostate Cancer Cells.
Han Y, Huang W, Liu J, Liu D, Cui Y, Huang R, Yan J, Lei M
Theranostics 2017;7(7):1914-1927
Theranostics 2017;7(7):1914-1927
Liposomal Nanoparticles Carrying anti-IL6R Antibody to the Tumour Microenvironment Inhibit Metastasis in Two Molecular Subtypes of Breast Cancer Mouse Models.
Guo C, Chen Y, Gao W, Chang A, Ye Y, Shen W, Luo Y, Yang S, Sun P, Xiang R, Li N
Theranostics 2017;7(3):775-788
Theranostics 2017;7(3):775-788
β-Catenin Cooperates with CREB Binding Protein to Promote the Growth of Tumor Cells.
Yu W, Li L, Zheng F, Yang W, Zhao S, Tian C, Yin W, Chen Y, Guo W, Zou L, Deng W
Cellular physiology and biochemistry : international journal of experimental cellular physiology, biochemistry, and pharmacology 2017;44(2):467-478
Cellular physiology and biochemistry : international journal of experimental cellular physiology, biochemistry, and pharmacology 2017;44(2):467-478
CCR7/p-ERK1/2/VEGF signaling promotes retinal neovascularization in a mouse model of oxygen-induced retinopathy.
Yuan LH, Chen XL, Di Y, Liu ML
International journal of ophthalmology 2017;10(6):862-869
International journal of ophthalmology 2017;10(6):862-869
Expression and significance of GRHL2 in esophageal cancer.
Shao C, Ji C, Wang X, Hu B
OncoTargets and therapy 2017;10:2025-2031
OncoTargets and therapy 2017;10:2025-2031
Astilbin decreases proliferation and improves differentiation in HaCaT keratinocytes.
Zhang C, Xu Q, Tan X, Meng L, Wei G, Liu Y, Zhang C
Biomedicine & pharmacotherapy = Biomedecine & pharmacotherapie 2017 Sep;93:713-720
Biomedicine & pharmacotherapy = Biomedecine & pharmacotherapie 2017 Sep;93:713-720
Early changes in retinal structure and BMP2 expression in the retina and crystalline lens of streptozotocin-induced diabetic pigs.
Jeong JS, Lee WK, Moon YS, Kim NR
Laboratory animal research 2017 Sep;33(3):216-222
Laboratory animal research 2017 Sep;33(3):216-222
CircHIPK3 sponges miR-558 to suppress heparanase expression in bladder cancer cells.
Li Y, Zheng F, Xiao X, Xie F, Tao D, Huang C, Liu D, Wang M, Wang L, Zeng F, Jiang G
EMBO reports 2017 Sep;18(9):1646-1659
EMBO reports 2017 Sep;18(9):1646-1659
Suppression of hypoxia-induced excessive angiogenesis by metformin via elevating tumor blood perfusion.
Wang JC, Li GY, Li PP, Sun X, Li WM, Li Y, Lu SY, Liu PJ
Oncotarget 2017 Sep 26;8(43):73892-73904
Oncotarget 2017 Sep 26;8(43):73892-73904
A highly bioactive bone extracellular matrix-biomimetic nanofibrous system with rapid angiogenesis promotes diabetic wound healing.
Gao W, Jin W, Li Y, Wan L, Wang C, Lin C, Chen X, Lei B, Mao C
Journal of materials chemistry. B 2017 Sep 21;5(35):7285-7296
Journal of materials chemistry. B 2017 Sep 21;5(35):7285-7296
Autophagy-induced KDR/VEGFR-2 activation promotes the formation of vasculogenic mimicry by glioma stem cells.
Wu HB, Yang S, Weng HY, Chen Q, Zhao XL, Fu WJ, Niu Q, Ping YF, Wang JM, Zhang X, Yao XH, Bian XW
Autophagy 2017 Sep 2;13(9):1528-1542
Autophagy 2017 Sep 2;13(9):1528-1542
Juglone reduces growth and migration of U251 glioblastoma cells and disrupts angiogenesis.
Wang J, Liu K, Wang XF, Sun DJ
Oncology reports 2017 Oct;38(4):1959-1966
Oncology reports 2017 Oct;38(4):1959-1966
Effects of lentivirus-mediated endostatin on endothelial progenitor cells.
Ai J, Sun JH, Ma J, Yao K
Oncotarget 2017 Nov 7;8(55):94431-94439
Oncotarget 2017 Nov 7;8(55):94431-94439
Inhibited effects of CAPE-pNO(2) on cervical carcinoma in vivo and in vitro and its detected metabolites.
Yao X, Tang H, Ren Q, Zhao X, Zuo H, Li Z
Oncotarget 2017 Nov 7;8(55):94197-94209
Oncotarget 2017 Nov 7;8(55):94197-94209
Fascaplysin inhibit ovarian cancer cell proliferation and metastasis through inhibiting CDK4.
Chen S, Guan X, Wang LL, Li B, Sang XB, Liu Y, Zhao Y
Gene 2017 Nov 30;635:3-8
Gene 2017 Nov 30;635:3-8
The transcription factor FOXA1 induces epithelial ovarian cancer tumorigenesis and progression.
Wang LL, Xiu YL, Chen X, Sun KX, Chen S, Wu DD, Liu BL, Zhao Y
Tumour biology : the journal of the International Society for Oncodevelopmental Biology and Medicine 2017 May;39(5):1010428317706210
Tumour biology : the journal of the International Society for Oncodevelopmental Biology and Medicine 2017 May;39(5):1010428317706210
Canonical hedgehog signalling regulates hepatic stellate cell-mediated angiogenesis in liver fibrosis.
Zhang F, Hao M, Jin H, Yao Z, Lian N, Wu L, Shao J, Chen A, Zheng S
British journal of pharmacology 2017 Mar;174(5):409-423
British journal of pharmacology 2017 Mar;174(5):409-423
Activation of E-prostanoid 3 receptor in macrophages facilitates cardiac healing after myocardial infarction.
Tang J, Shen Y, Chen G, Wan Q, Wang K, Zhang J, Qin J, Liu G, Zuo S, Tao B, Yu Y, Wang J, Lazarus M, Yu Y
Nature communications 2017 Mar 3;8:14656
Nature communications 2017 Mar 3;8:14656
Renal cell carcinoma with synchronous ipsilateral urothelial carcinoma of the renal pelvis.
Lu Q, Zhuang J, Guo H
Oncology letters 2017 Jun;13(6):4521-4525
Oncology letters 2017 Jun;13(6):4521-4525
Increased levels of LAPTM4B, VEGF and survivin are correlated with tumor progression and poor prognosis in breast cancer patients.
Li S, Wang L, Meng Y, Chang Y, Xu J, Zhang Q
Oncotarget 2017 Jun 20;8(25):41282-41293
Oncotarget 2017 Jun 20;8(25):41282-41293
The synthetic antihyperlipidemic drug potassium piperate selectively kills breast cancer cells through inhibiting G1-S-phase transition and inducing apoptosis.
Fan L, Cao X, Yan H, Wang Q, Tian X, Zhang L, He X, Borjihan G, Morigen
Oncotarget 2017 Jul 18;8(29):47250-47268
Oncotarget 2017 Jul 18;8(29):47250-47268
In vivo inhibitory activity of andrographolide derivative ADN-9 against liver cancer and its mechanisms involved in inhibition of tumor angiogenesis.
Yang W, Zhao J, Wang Y, Xu H, Wu Z, Hu Y, Jiang K, Shen P, Ma C, Guan Z, Zhang Y, Ma J, Shang N, Yan G, Wang Z, Dai G
Toxicology and applied pharmacology 2017 Jul 15;327:1-12
Toxicology and applied pharmacology 2017 Jul 15;327:1-12
Simvastatin inhibits tumor angiogenesis in HER2-overexpressing human colorectal cancer.
Li G, Zheng J, Xu B, Ling J, Qiu W, Wang Y
Biomedicine & pharmacotherapy = Biomedecine & pharmacotherapie 2017 Jan;85:418-424
Biomedicine & pharmacotherapy = Biomedecine & pharmacotherapie 2017 Jan;85:418-424
Hyaluronidase 2 Deficiency Causes Increased Mesenchymal Cells, Congenital Heart Defects, and Heart Failure.
Chowdhury B, Xiang B, Liu M, Hemming R, Dolinsky VW, Triggs-Raine B
Circulation. Cardiovascular genetics 2017 Jan;10(1):e001598
Circulation. Cardiovascular genetics 2017 Jan;10(1):e001598
Efficacy of Ciji Hua'ai Baosheng formula on the expressions of vascular endothelial growth factor, kinase insert domain-containing receptor and basic fibroblast growth factor in mouse models of H(22) hepatocellular carcinoma.
Zhao X, Xi S, Wang Y, Xu Y, Pollock G, Su Y, Cheng Y, Loy G, Liu P
Journal of traditional Chinese medicine = Chung i tsa chih ying wen pan 2017 Feb;37(1):88-95
Journal of traditional Chinese medicine = Chung i tsa chih ying wen pan 2017 Feb;37(1):88-95
VEGF treatment promotes bone marrow-derived CXCR4(+) mesenchymal stromal stem cell differentiation into vessel endothelial cells.
Li Q, Xia S, Fang H, Pan J, Jia Y, Deng G
Experimental and therapeutic medicine 2017 Feb;13(2):449-454
Experimental and therapeutic medicine 2017 Feb;13(2):449-454
MicroRNA-29c functions as a tumor suppressor by targeting VEGFA in lung adenocarcinoma.
Liu L, Bi N, Wu L, Ding X, Men Y, Zhou W, Li L, Zhang W, Shi S, Song Y, Wang L
Molecular cancer 2017 Feb 28;16(1):50
Molecular cancer 2017 Feb 28;16(1):50
LncRNA MEG3 inhibit endometrial carcinoma tumorigenesis and progression through PI3K pathway.
Sun KX, Wu DD, Chen S, Zhao Y, Zong ZH
Apoptosis : an international journal on programmed cell death 2017 Dec;22(12):1543-1552
Apoptosis : an international journal on programmed cell death 2017 Dec;22(12):1543-1552
Hyperthermia with different temperatures inhibits proliferation and promotes apoptosis through the EGFR/STAT3 pathway in C6 rat glioma cells.
Chen YD, Zhang Y, Dong TX, Xu YT, Zhang W, An TT, Liu PF, Yang XH
Molecular medicine reports 2017 Dec;16(6):9401-9408
Molecular medicine reports 2017 Dec;16(6):9401-9408
Effects of quercetin on the expression of MCP-1, MMP-9 and VEGF in rats with diabetic retinopathy.
Chen B, He T, Xing Y, Cao T
Experimental and therapeutic medicine 2017 Dec;14(6):6022-6026
Experimental and therapeutic medicine 2017 Dec;14(6):6022-6026
Anti-colon cancer effect of caffeic acid p-nitro-phenethyl ester in vitro and in vivo and detection of its metabolites.
Tang H, Yao X, Yao C, Zhao X, Zuo H, Li Z
Scientific reports 2017 Aug 8;7(1):7599
Scientific reports 2017 Aug 8;7(1):7599
IL-6 promotes epithelial-to-mesenchymal transition of human peritoneal mesothelial cells possibly through the JAK2/STAT3 signaling pathway.
Xiao J, Gong Y, Chen Y, Yu D, Wang X, Zhang X, Dou Y, Liu D, Cheng G, Lu S, Yuan W, Li Y, Zhao Z
American journal of physiology. Renal physiology 2017 Aug 1;313(2):F310-F318
American journal of physiology. Renal physiology 2017 Aug 1;313(2):F310-F318
GHK-Cu-liposomes accelerate scald wound healing in mice by promoting cell proliferation and angiogenesis.
Wang X, Liu B, Xu Q, Sun H, Shi M, Wang D, Guo M, Yu J, Zhao C, Feng B
Wound repair and regeneration : official publication of the Wound Healing Society [and] the European Tissue Repair Society 2017 Apr;25(2):270-278
Wound repair and regeneration : official publication of the Wound Healing Society [and] the European Tissue Repair Society 2017 Apr;25(2):270-278
SRT1720, a SIRT1 specific activator, protected H2O2-induced senescent endothelium.
Li RL, Lu ZY, Huang JJ, Qi J, Hu A, Su ZX, Zhang L, Li Y, Shi YQ, Hao CN, Duan JL
American journal of translational research 2016;8(7):2876-88
American journal of translational research 2016;8(7):2876-88
Impaired VEGF Signaling in Lungs with Hypoplastic Esophageal Atresia and Effects on Branching Morphogenesis.
Liu X, Liu C, Ma T, Jiao Y, Miao J, Gao L
Cellular physiology and biochemistry : international journal of experimental cellular physiology, biochemistry, and pharmacology 2016;39(1):385-94
Cellular physiology and biochemistry : international journal of experimental cellular physiology, biochemistry, and pharmacology 2016;39(1):385-94
MACC-1 Promotes Endothelium-Dependent Angiogenesis in Gastric Cancer by Activating TWIST1/VEGF-A Signal Pathway.
Wang L, Zhou R, Zhao Y, Dong S, Zhang J, Luo Y, Huang N, Shi M, Bin J, Liao Y, Liao W
PloS one 2016;11(6):e0157137
PloS one 2016;11(6):e0157137
ZEB1 Upregulates VEGF Expression and Stimulates Angiogenesis in Breast Cancer.
Liu L, Tong Q, Liu S, Cui J, Zhang Q, Sun W, Yang S
PloS one 2016;11(2):e0148774
PloS one 2016;11(2):e0148774
IL-1β-regulating angiogenic factors expression in perforated temporomandibular disk cells via NF-κB pathway.
Xu J, Cai H, Meng Q, Li Y, Chen G, Fang W, Long X
Journal of oral pathology & medicine : official publication of the International Association of Oral Pathologists and the American Academy of Oral Pathology 2016 Sep;45(8):605-12
Journal of oral pathology & medicine : official publication of the International Association of Oral Pathologists and the American Academy of Oral Pathology 2016 Sep;45(8):605-12
Evodiamine exerts anti-tumor effects against hepatocellular carcinoma through inhibiting β-catenin-mediated angiogenesis.
Shi L, Yang F, Luo F, Liu Y, Zhang F, Zou M, Liu Q
Tumour biology : the journal of the International Society for Oncodevelopmental Biology and Medicine 2016 Sep;37(9):12791-12803
Tumour biology : the journal of the International Society for Oncodevelopmental Biology and Medicine 2016 Sep;37(9):12791-12803
Effects of Sanguis Draconis on Perforator Flap Survival in Rats.
Zhang Y, Cai X, Shen L, Huang X, Wang X, Lan Y, Shou D
Molecules (Basel, Switzerland) 2016 Sep 26;21(10)
Molecules (Basel, Switzerland) 2016 Sep 26;21(10)
Microtubule-associated protein 4 is an important regulator of cell invasion/migration and a potential therapeutic target in esophageal squamous cell carcinoma.
Jiang YY, Shang L, Shi ZZ, Zhang TT, Ma S, Lu CC, Zhang Y, Hao JJ, Shi C, Shi F, Xu X, Cai Y, Jia XM, Zhan QM, Wang MR
Oncogene 2016 Sep 15;35(37):4846-56
Oncogene 2016 Sep 15;35(37):4846-56
CDK5 functions as a tumor promoter in human colorectal cancer via modulating the ERK5-AP-1 axis.
Zhuang K, Zhang J, Xiong M, Wang X, Luo X, Han L, Meng Y, Zhang Y, Liao W, Liu S
Cell death & disease 2016 Oct 13;7(10):e2415
Cell death & disease 2016 Oct 13;7(10):e2415
Tetraiodothyroacetic acid and transthyretin silencing inhibit pro-metastatic effect of L-thyroxin in anoikis-resistant prostate cancer cells through regulation of MAPK/ERK pathway.
Zhang P, Chen L, Song Y, Li X, Sun Y, Xiao Y, Xing Y
Experimental cell research 2016 Oct 1;347(2):350-9
Experimental cell research 2016 Oct 1;347(2):350-9
A DNA dual lock-and-key strategy for cell-subtype-specific siRNA delivery.
Ren K, Liu Y, Wu J, Zhang Y, Zhu J, Yang M, Ju H
Nature communications 2016 Nov 24;7:13580
Nature communications 2016 Nov 24;7:13580
Quantitative proteomics reveals molecular mechanism of gamabufotalin and its potential inhibition on Hsp90 in lung cancer.
Zhang L, Yu Z, Wang Y, Wang X, Zhang L, Wang C, Yue Q, Wang X, Deng S, Huo X, Tian X, Huang S, Zhang B, Ma X
Oncotarget 2016 Nov 22;7(47):76551-76564
Oncotarget 2016 Nov 22;7(47):76551-76564
Atrazine promotes RM1 prostate cancer cell proliferation by activating STAT3 signaling.
Hu K, Tian Y, Du Y, Huang L, Chen J, Li N, Liu W, Liang Z, Zhao L
International journal of oncology 2016 May;48(5):2166-74
International journal of oncology 2016 May;48(5):2166-74
Association between the expression of HIF-1α and VEGF and prognostic implications in primary liver cancer.
Guo LY, Zhu P, Jin XP
Genetics and molecular research : GMR 2016 May 9;15(2)
Genetics and molecular research : GMR 2016 May 9;15(2)
Recombinant adeno-associated virus-delivered anginex inhibits angiogenesis and growth of HUVECs by regulating the Akt, JNK and NF-κB signaling pathways.
Ma K, Wang C, Geng Q, Fan Y, Ning J, Yang H, Dong X, Dong D, Guo Y, Wei X, Li E, Wu Y
Oncology reports 2016 Jun;35(6):3505-13
Oncology reports 2016 Jun;35(6):3505-13
Treatment of diabetes mellitus-induced erectile dysfunction using endothelial progenitor cells genetically modified with human telomerase reverse transcriptase.
Zhang Y, Chen Z, Wang T, Yang J, Li R, Wang S, Liu J, Ye Z
Oncotarget 2016 Jun 28;7(26):39302-39315
Oncotarget 2016 Jun 28;7(26):39302-39315
Pigment epithelium-derived factor (PEDF): a novel trophoblast-derived factor limiting feto-placental angiogenesis in late pregnancy.
Loegl J, Nussbaumer E, Hiden U, Majali-Martinez A, Ghaffari-Tabrizi-Wizy N, Cvitic S, Lang I, Desoye G, Huppertz B
Angiogenesis 2016 Jul;19(3):373-88
Angiogenesis 2016 Jul;19(3):373-88
Hypergravity Effects on the Retina and Intraocular Pressure in Mice.
Kim YJ, Chung JS, Jang TY, Kim YH, Chin HS
Aerospace medicine and human performance 2016 Jan;87(1):13-7
Aerospace medicine and human performance 2016 Jan;87(1):13-7
Overexpression of YB1 C-terminal domain inhibits proliferation, angiogenesis and tumorigenicity in a SK-BR-3 breast cancer xenograft mouse model.
Shi JH, Cui NP, Wang S, Zhao MZ, Wang B, Wang YN, Chen BP
FEBS open bio 2016 Jan;6(1):33-42
FEBS open bio 2016 Jan;6(1):33-42
Placental NRP1 and VEGF expression in pre-eclamptic women and in a homocysteine-treated mouse model of pre-eclampsia.
Xu X, Yang XY, He BW, Yang WJ, Cheng WW
European journal of obstetrics, gynecology, and reproductive biology 2016 Jan;196:69-75
European journal of obstetrics, gynecology, and reproductive biology 2016 Jan;196:69-75
Effect of vascular endothelial growth factor siRNA and wild‑type p53 co‑expressing plasmid in MDA‑MB‑231 cells.
Guo H, Li Y, Gu J, Wang Y, Liu L, Zhang P, Liu Y
Molecular medicine reports 2016 Jan;13(1):461-8
Molecular medicine reports 2016 Jan;13(1):461-8
The epigenetic regulation of HIF-1α by SIRT1 in MPP(+) treated SH-SY5Y cells.
Dong SY, Guo YJ, Feng Y, Cui XX, Kuo SH, Liu T, Wu YC
Biochemical and biophysical research communications 2016 Feb 5;470(2):453-459
Biochemical and biophysical research communications 2016 Feb 5;470(2):453-459
MicroRNA-101 targets von Hippel-Lindau tumor suppressor (VHL) to induce HIF1α mediated apoptosis and cell cycle arrest in normoxia condition.
Liu N, Xia WY, Liu SS, Chen HY, Sun L, Liu MY, Li LF, Lu HM, Fu YJ, Wang P, Wu H, Gao JX
Scientific reports 2016 Feb 4;6:20489
Scientific reports 2016 Feb 4;6:20489
Osteoblasts secrete Cxcl9 to regulate angiogenesis in bone.
Huang B, Wang W, Li Q, Wang Z, Yan B, Zhang Z, Wang L, Huang M, Jia C, Lu J, Liu S, Chen H, Li M, Cai D, Jiang Y, Jin D, Bai X
Nature communications 2016 Dec 14;7:13885
Nature communications 2016 Dec 14;7:13885
Conditional Deletion of Smad1 Ameliorates Glomerular Injury in Progressive Glomerulonephritis.
Araki M, Matsubara T, Abe H, Torikoshi K, Mima A, Iehara N, Fukatsu A, Kita T, Arai H, Doi T
Scientific reports 2016 Aug 5;6:31216
Scientific reports 2016 Aug 5;6:31216
Activation of G protein-coupled estrogen receptor 1 (GPER-1) ameliorates blood-brain barrier permeability after global cerebral ischemia in ovariectomized rats.
Lu D, Qu Y, Shi F, Feng D, Tao K, Gao G, He S, Zhao T
Biochemical and biophysical research communications 2016 Aug 19;477(2):209-14
Biochemical and biophysical research communications 2016 Aug 19;477(2):209-14
The mTOR/AP-1/VEGF signaling pathway regulates vascular endothelial cell growth.
Wang S, Lu J, You Q, Huang H, Chen Y, Liu K
Oncotarget 2016 Aug 16;7(33):53269-53276
Oncotarget 2016 Aug 16;7(33):53269-53276
Upregulation of proangiogenic factors expression in the synovium of temporomandibular joint condylar hyperplasia.
Guo H, Fang W, Chen G, Xu J, Li C, Feng Y, Li Y, Long X
Oral surgery, oral medicine, oral pathology and oral radiology 2016 Apr;121(4):e65-71
Oral surgery, oral medicine, oral pathology and oral radiology 2016 Apr;121(4):e65-71
Selenium-substituted hydroxyapatite nanoparticles and their in vivo antitumor effect on hepatocellular carcinoma.
Yanhua W, Hao H, Li Y, Zhang S
Colloids and surfaces. B, Biointerfaces 2016 Apr 1;140:297-306
Colloids and surfaces. B, Biointerfaces 2016 Apr 1;140:297-306
Pulsed electromagnetic field improves postnatal neovascularization in response to hindlimb ischemia.
Li RL, Huang JJ, Shi YQ, Hu A, Lu ZY, Weng L, Wang SQ, Han YP, Zhang L, Hao CN, Duan JL
American journal of translational research 2015;7(3):430-44
American journal of translational research 2015;7(3):430-44
Progranulin promotes colorectal cancer proliferation and angiogenesis through TNFR2/Akt and ERK signaling pathways.
Yang D, Wang LL, Dong TT, Shen YH, Guo XS, Liu CY, Liu J, Zhang P, Li J, Sun YP
American journal of cancer research 2015;5(10):3085-97
American journal of cancer research 2015;5(10):3085-97
Bone Marrow-Derived Mesenchymal Stem Cells Repair Necrotic Pancreatic Tissue and Promote Angiogenesis by Secreting Cellular Growth Factors Involved in the SDF-1 α /CXCR4 Axis in Rats.
Qian D, Gong J, He Z, Hua J, Lin S, Xu C, Meng H, Song Z
Stem cells international 2015;2015:306836
Stem cells international 2015;2015:306836
FOXQ1 mediates the crosstalk between TGF-β and Wnt signaling pathways in the progression of colorectal cancer.
Peng X, Luo Z, Kang Q, Deng D, Wang Q, Peng H, Wang S, Wei Z
Cancer biology & therapy 2015;16(7):1099-109
Cancer biology & therapy 2015;16(7):1099-109
Pericytes contribute to the disruption of the cerebral endothelial barrier via increasing VEGF expression: implications for stroke.
Bai Y, Zhu X, Chao J, Zhang Y, Qian C, Li P, Liu D, Han B, Zhao L, Zhang J, Buch S, Teng G, Hu G, Yao H
PloS one 2015;10(4):e0124362
PloS one 2015;10(4):e0124362
MiR-497 suppresses angiogenesis and metastasis of hepatocellular carcinoma by inhibiting VEGFA and AEG-1.
Yan JJ, Zhang YN, Liao JZ, Ke KP, Chang Y, Li PY, Wang M, Lin JS, He XX
Oncotarget 2015 Oct 6;6(30):29527-42
Oncotarget 2015 Oct 6;6(30):29527-42
Characterization of the metastatic phenotype of a panel of established osteosarcoma cells.
Ren L, Mendoza A, Zhu J, Briggs JW, Halsey C, Hong ES, Burkett SS, Morrow J, Lizardo MM, Osborne T, Li SQ, Luu HH, Meltzer P, Khanna C
Oncotarget 2015 Oct 6;6(30):29469-81
Oncotarget 2015 Oct 6;6(30):29469-81
Transarterial chemoembolization aggravated peritumoral fibrosis via hypoxia-inducible factor-1α dependent pathway in hepatocellular carcinoma.
Qu K, Yan Z, Wu Y, Chen Y, Qu P, Xu X, Yuan P, Huang X, Xing J, Zhang H, Liu C, Zhang J
Journal of gastroenterology and hepatology 2015 May;30(5):925-32
Journal of gastroenterology and hepatology 2015 May;30(5):925-32
Administration of Danhong Injection to diabetic db/db mice inhibits the development of diabetic retinopathy and nephropathy.
Liu M, Pan Q, Chen Y, Yang X, Zhao B, Jia L, Zhu Y, Zhang B, Gao X, Li X, Han J, Duan Y
Scientific reports 2015 Jun 10;5:11219
Scientific reports 2015 Jun 10;5:11219
Molecular mechanism of epigallocatechin-3-gallate in human esophageal squamous cell carcinoma in vitro and in vivo.
Liu L, Hou L, Gu S, Zuo X, Meng D, Luo M, Zhang X, Huang S, Zhao X
Oncology reports 2015 Jan;33(1):297-303
Oncology reports 2015 Jan;33(1):297-303
Impaired fetoplacental angiogenesis in growth-restricted fetuses with abnormal umbilical artery doppler velocimetry is mediated by aryl hydrocarbon receptor nuclear translocator (ARNT).
Su EJ, Xin H, Yin P, Dyson M, Coon J, Farrow KN, Mestan KK, Ernst LM
The Journal of clinical endocrinology and metabolism 2015 Jan;100(1):E30-40
The Journal of clinical endocrinology and metabolism 2015 Jan;100(1):E30-40
Expression profile of apoptotic and proliferative proteins in hypoxic HUVEC treated with statins.
Li X, Liu X, Xu Y, He Y, Liu J, Xie M
International journal of oncology 2015 Feb;46(2):677-84
International journal of oncology 2015 Feb;46(2):677-84
Knee loading protects against osteonecrosis of the femoral head by enhancing vessel remodeling and bone healing.
Liu D, Li X, Li J, Yang J, Yokota H, Zhang P
Bone 2015 Dec;81:620-631
Bone 2015 Dec;81:620-631
Suppression of tumor angiogenesis by metformin treatment via a mechanism linked to targeting of HER2/HIF-1α/VEGF secretion axis.
Wang J, Li G, Wang Y, Tang S, Sun X, Feng X, Li Y, Bao G, Li P, Mao X, Wang M, Liu P
Oncotarget 2015 Dec 29;6(42):44579-92
Oncotarget 2015 Dec 29;6(42):44579-92
Folic acid attenuates dexamethasone-induced placental growth restriction.
Zhang A, Zhou LF, Xiang XL, Wang K, Zhou Q, Duan T
European review for medical and pharmacological sciences 2015 Apr;19(7):1130-40
European review for medical and pharmacological sciences 2015 Apr;19(7):1130-40
Tongxinluo protects against pressure overload-induced heart failure in mice involving VEGF/Akt/eNOS pathway activation.
Wang B, Yang Q, Bai WW, Xing YF, Lu XT, Sun YY, Zhao YX
PloS one 2014;9(6):e98047
PloS one 2014;9(6):e98047
MicroRNA-410 reduces the expression of vascular endothelial growth factor and inhibits oxygen-induced retinal neovascularization.
Chen N, Wang J, Hu Y, Cui B, Li W, Xu G, Liu L, Liu S
PloS one 2014;9(4):e95665
PloS one 2014;9(4):e95665
Maternal protein restriction alters VEGF signaling and decreases pulmonary alveolar in fetal rats.
Liu X, Lin Y, Tian B, Miao J, Xi C, Liu C
International journal of clinical and experimental pathology 2014;7(6):3101-11
International journal of clinical and experimental pathology 2014;7(6):3101-11
Angiogenesis effect of therapeutic ultrasound on ischemic hind limb in mice.
Huang JJ, Shi YQ, Li RL, Hu A, Zhou HS, Cheng Q, Xu Z, Yang ZM, Hao CN, Duan JL
American journal of translational research 2014;6(6):703-13
American journal of translational research 2014;6(6):703-13
Small islets transplantation superiority to large ones: implications from islet microcirculation and revascularization.
Li W, Zhao R, Liu J, Tian M, Lu Y, He T, Cheng M, Liang K, Li X, Wang X, Sun Y, Chen L
Journal of diabetes research 2014;2014:192093
Journal of diabetes research 2014;2014:192093
The oncoprotein HBXIP enhances angiogenesis and growth of breast cancer through modulating FGF8 and VEGF.
Liu F, You X, Wang Y, Liu Q, Liu Y, Zhang S, Chen L, Zhang X, Ye L
Carcinogenesis 2014 May;35(5):1144-53
Carcinogenesis 2014 May;35(5):1144-53
Overexpression of FOXM1 predicts poor prognosis and promotes cancer cell proliferation, migration and invasion in epithelial ovarian cancer.
Wen N, Wang Y, Wen L, Zhao SH, Ai ZH, Wang Y, Wu B, Lu HX, Yang H, Liu WC, Li Y
Journal of translational medicine 2014 May 20;12:134
Journal of translational medicine 2014 May 20;12:134
Genome-wide analysis of miRNA-mRNA interactions in marrow stromal cells.
Balakrishnan I, Yang X, Brown J, Ramakrishnan A, Torok-Storb B, Kabos P, Hesselberth JR, Pillai MM
Stem cells (Dayton, Ohio) 2014 Mar;32(3):662-73
Stem cells (Dayton, Ohio) 2014 Mar;32(3):662-73
Matrine-induced apoptosis of human nasopharyngeal carcinoma cells via in vitro vascular endothelial growth factor-A/extracellular signal-regulated kinase1/2 pathway inactivation.
Xie M, He G, Wang R, Shi S, Chen J, Ye Y, Xie L, Yi X, Tang A
Hormone and metabolic research = Hormon- und Stoffwechselforschung = Hormones et metabolisme 2014 Jul;46(8):556-60
Hormone and metabolic research = Hormon- und Stoffwechselforschung = Hormones et metabolisme 2014 Jul;46(8):556-60
Up-regulated isocitrate dehydrogenase 1 suppresses proliferation, migration and invasion in osteosarcoma: in vitro and in vivo.
Hu X, Liu Y, Qin C, Pan Z, Luo J, Yu A, Cheng Z
Cancer letters 2014 Apr 28;346(1):114-21
Cancer letters 2014 Apr 28;346(1):114-21
Tongxinluo Improves Cardiac Function and Ameliorates Ventricular Remodeling in Mice Model of Myocardial Infarction through Enhancing Angiogenesis.
Bai WW, Xing YF, Wang B, Lu XT, Wang YB, Sun YY, Liu XQ, Guo T, Zhao YX
Evidence-based complementary and alternative medicine : eCAM 2013;2013:813247
Evidence-based complementary and alternative medicine : eCAM 2013;2013:813247
Expression of ATF4 and VEGF in chorionic villus tissue in early spontaneous abortion.
Chai L, Ling K, He X, Yang R
European journal of obstetrics, gynecology, and reproductive biology 2013 Oct;170(2):434-8
European journal of obstetrics, gynecology, and reproductive biology 2013 Oct;170(2):434-8
c-myc but not Hif-1α-dependent downregulation of VEGF influences the proliferation and differentiation of HL-60 cells induced by ATRA.
Song G, Li Y, Zhang Z, Ren X, Li H, Zhang W, Wei R, Pan S, Shi L, Bi K, Jiang G
Oncology reports 2013 Jun;29(6):2378-84
Oncology reports 2013 Jun;29(6):2378-84
MicroRNA-503 targets FGF2 and VEGFA and inhibits tumor angiogenesis and growth.
Zhou B, Ma R, Si W, Li S, Xu Y, Tu X, Wang Q
Cancer letters 2013 Jun 10;333(2):159-69
Cancer letters 2013 Jun 10;333(2):159-69
Necrosis degree displayed in computed tomography images correlated with hypoxia and angiogenesis in breast cancer.
Shan X, Wang D, Chen J, Xiao X, Jiang Y, Wang Y, Fan Y
Journal of computer assisted tomography 2013 Jan-Feb;37(1):22-8
Journal of computer assisted tomography 2013 Jan-Feb;37(1):22-8
Upregulation of nucleus HDGF predicts poor prognostic outcome in patients with penile squamous cell carcinoma bypass VEGF-A and Ki-67.
Li D, Han Z, Liu J, Zhang X, Ren J, Yan L, Liu H, Xu Z
Medical oncology (Northwood, London, England) 2013 Dec;30(4):702
Medical oncology (Northwood, London, England) 2013 Dec;30(4):702
No comments: Submit comment
Supportive validation
- Submitted by
- Proteintech Group (provider)
- Main image

- Experimental details
- PC-3 cells were subjected to SDS PAGE followed by western blot with 19003-1-AP(VEGFA antibody) at dilution of 1:800
- Sample type
- cell line
Supportive validation
- Submitted by
- Proteintech Group (provider)
- Main image

- Experimental details
- Immunofluorescent analysis of HepG2 cells, using VEGFA antibody 19003-1-AP at 1:25 dilution and Rhodamine-labeled goat anti-rabbit IgG (red).
- Sample type
- cell line
Supportive validation
- Submitted by
- Proteintech Group (provider)
- Main image

- Experimental details
- IP Result of anti-VEGFA (IP:19003-1-AP, 3ug; Detection:19003-1-AP 1:500) with MCF-7 cells lysate 2500ug.
- Sample type
- cell line
Supportive validation
- Submitted by
- Proteintech Group (provider)
- Main image

- Experimental details
- Immunohistochemical of paraffin-embedded human placenta using 19003-1-AP(VEGFA antibody) at dilution of 1:50 (under 10x lens)
- Sample type
- tissue
- Submitted by
- Proteintech Group (provider)
- Main image

- Experimental details
- Immunohistochemical of paraffin-embedded human placenta using 19003-1-AP(VEGFA antibody) at dilution of 1:50 (under 40x lens)
- Sample type
- tissue