Antibody data
- Antibody Data
- Antigen structure
- References [0]
- Comments [0]
- Validations
- Immunohistochemistry [1]
- Other assay [1]
Submit
Validation data
Reference
Comment
Report error
- Product number
- A302-841A - Provider product page

- Provider
- Invitrogen Antibodies
- Product name
- TRAF4 Polyclonal Antibody
- Antibody type
- Polyclonal
- Antigen
- Other
- Reactivity
- Human
- Host
- Rabbit
- Isotype
- IgG
- Vial size
- 100 µL
- Concentration
- 1 mg/mL
- Storage
- 4° C
No comments: Submit comment
Supportive validation
- Submitted by
- Invitrogen Antibodies (provider)
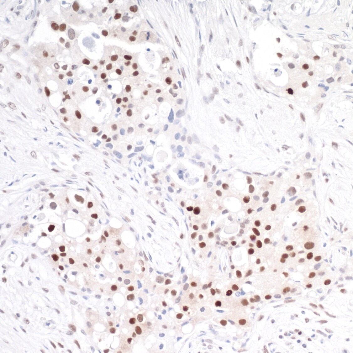
- Main image

- Experimental details
- Detection of human TRAF4 by immunohistochemistry. Sample: FFPE section of human lung cancer. Antibody: Affinity purified rabbit anti-TRAF4 (Cat. No. A302-841A Lot2) used at a dilution of 1:1,000 (1µg/ml). Detection: DAB.
Supportive validation
- Submitted by
- Invitrogen Antibodies (provider)
- Main image

- Experimental details
- Detection of human TRAF4 by western blot of immunoprecipitates. Samples:Whole cell lysate (1.0 mg per IP reaction; 20% of IP loaded) from HeLa cells prepared using NETN lysis buffer. Antibodies: Affinity purified rabbit anti-TRAF4 antibody A302-841A (lot A302-841A-2) used for IP at 3 µg per reaction. TRAF4 was also immunoprecipitated by rabbit anti-TRAF4 antibody A302-840A. For blotting immunoprecipitated TRAF4, A302-840A was used at 1 µg/ml. Detection:Chemiluminescence with an exposure time of 30 seconds.