Antibody data
- Antibody Data
- Antigen structure
- References [0]
- Comments [0]
- Validations
- Immunohistochemistry [1]
Submit
Validation data
Reference
Comment
Report error
- Product number
- AP09585PU-M - Provider product page

- Provider
- Acris Antibodies GmbH
- Proper citation
- Acris Antibodies GmbH Cat#AP09585PU-M, RRID:AB_10977774
- Product name
- anti TOP1 / SCL-70
- Antibody type
- Polyclonal
- Antigen
- A synthetic peptide derived from internal region of human topoisomerase I protein.
- Reactivity
- Human
- Host
- Rabbit
- Isotype
- IgG
- Vial size
- 0.5 ml
No comments: Submit comment
Supportive validation
- Submitted by
- Acris Antibodies GmbH (provider)
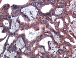
- Main image

- Experimental details
- Human breast carcinoma stained with anti-topoisomerase I antibody