Antibody data
- Antibody Data
- Antigen structure
- References [4]
- Comments [0]
- Validations
- Western blot [1]
- Immunoprecipitation [1]
- Immunohistochemistry [2]
Submit
Validation data
Reference
Comment
Report error
- Product number
- GTX121502 - Provider product page

- Provider
- GeneTex
- Proper citation
- GeneTex Cat#GTX121502, RRID:AB_11163915
- Product name
- CD168 / RHAMM antibody [N1N2], N-term
- Antibody type
- Polyclonal
- Reactivity
- Human, Rat
- Host
- Rabbit
Submitted references Targeting Long Noncoding RNA HMMR-AS1 Suppresses and Radiosensitizes Glioblastoma.
Elucidating Mechanisms of Bladder Repair after Hyaluronan Instillation in Ketamine-Induced Ulcerative Cystitis in Animal Model.
FAM83D, a microtubule-associated protein, promotes tumor growth and progression of human gastric cancer.
COX-2/sEH dual inhibitor PTUPB suppresses glioblastoma growth by targeting epidermal growth factor receptor and hyaluronan mediated motility receptor.
Li J, Ji X, Wang H
Neoplasia (New York, N.Y.) 2018 May;20(5):456-466
Neoplasia (New York, N.Y.) 2018 May;20(5):456-466
Elucidating Mechanisms of Bladder Repair after Hyaluronan Instillation in Ketamine-Induced Ulcerative Cystitis in Animal Model.
Lee YL, Lin KL, Chuang SM, Lee YC, Lu MC, Wu BN, Wu WJ, Yuan SF, Ho WT, Juan YS
The American journal of pathology 2017 Sep;187(9):1945-1959
The American journal of pathology 2017 Sep;187(9):1945-1959
FAM83D, a microtubule-associated protein, promotes tumor growth and progression of human gastric cancer.
Huang M, Ma X, Shi H, Hu L, Fan Z, Pang L, Zhu F, Yang X, Xu W, Liu B, Zhu Z, Li C
Oncotarget 2017 Sep 26;8(43):74479-74493
Oncotarget 2017 Sep 26;8(43):74479-74493
COX-2/sEH dual inhibitor PTUPB suppresses glioblastoma growth by targeting epidermal growth factor receptor and hyaluronan mediated motility receptor.
Li J, Zhou Y, Wang H, Gao Y, Li L, Hwang SH, Ji X, Hammock BD
Oncotarget 2017 Oct 20;8(50):87353-87363
Oncotarget 2017 Oct 20;8(50):87353-87363
No comments: Submit comment
Supportive validation
- Submitted by
- GeneTex (provider)
- Main image

- Experimental details
- Sample (20 ug of whole cell lysate) A: human ESC 7.5% SDS PAGE GTX121502 diluted at 1:1000
Supportive validation
- Submitted by
- GeneTex (provider)
- Main image

- Experimental details
- Immunoprecipitation of RHAMM protein from 293T whole cell extracts using 5 £gg of RHAMM antibody [N1N2], N-term (GTX121502).Western blot analysis was performed using RHAMM antibody [N1N2], N-term (GTX121502).EasyBlot anti-Rabbit IgG (GTX221666-01) was used as a secondary reagent.
Supportive validation
- Submitted by
- GeneTex (provider)
- Main image

- Experimental details
- Immunohistochemical analysis of paraffin-embedded human breast cancer, using RHAMM(GTX121502) antibody at 1:500 dilution.
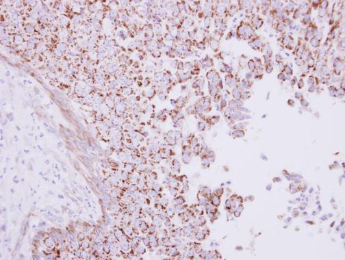
- Submitted by
- GeneTex (provider)
- Main image

- Experimental details
- RHAMM antibody [N1N2], N-term detects RHAMM protein at cytosol on human breast carcinoma by immunohistochemical analysis. Sample: Paraffin-embedded human breast carcinoma. RHAMM antibody [N1N2], N-term (GTX121502) dilution: 1:250.Scale bar = 100 £gm.