Antibody data
- Antibody Data
- Antigen structure
- References [0]
- Comments [0]
- Validations
- Western blot [2]
- ELISA [1]
- Immunocytochemistry [1]
- Immunohistochemistry [2]
- Flow cytometry [1]
Submit
Validation data
Reference
Comment
Report error
- Product number
- GTX60530 - Provider product page

- Provider
- GeneTex
- Product name
- MSH6 antibody [3E1]
- Antibody type
- Monoclonal
- Reactivity
- Human
- Host
- Mouse
No comments: Submit comment
Supportive validation
- Submitted by
- GeneTex (provider)
- Main image

- Experimental details
- WB analysis of lysates from (1) HEK293, (2) HCT116, (3) A549, (4) A431, (5) MCF-7 and (6) HepG2 lysates using MSH6 antibody [3E1].
- Submitted by
- GeneTex (provider)
- Main image

- Experimental details
- WB analysis of human MSH6 (a.a. 217-395) recombinant protein using MSH6 antibody [3E1].
Supportive validation
- Submitted by
- GeneTex (provider)
- Main image

- Experimental details
- ELISA analysis of control antigen and antigen using MSH6 antibody [3E1].
Supportive validation
- Submitted by
- GeneTex (provider)
- Main image

- Experimental details
- ICC/IF analysis of HeLa cells using MSH6 antibody [3E1] (green), Alexa Fluor-555 phalloidin (red) and DRAQ5 fluorescent DNA dye (blue).
Supportive validation
- Submitted by
- GeneTex (provider)
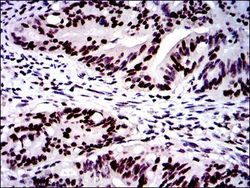
- Main image

- Experimental details
- IHC-P analysis of colon cancer tissues using MSH6 antibody [3E1].
- Submitted by
- GeneTex (provider)
- Main image

- Experimental details
- IHC-P analysis of rectum cancer tissues using MSH6 antibody [3E1].
Supportive validation
- Submitted by
- GeneTex (provider)
- Main image

- Experimental details
- FACS analysis of MCF-7 cells using MSH6 antibody [3E1] (green) or a negative control (red).