Antibody data
- Antibody Data
- Antigen structure
- References [0]
- Comments [0]
- Validations
- Western blot [1]
- Immunohistochemistry [2]
Submit
Validation data
Reference
Comment
Report error
- Product number
- LS-C40521 - Provider product page

- Provider
- LSBio
- Proper citation
- LifeSpan Cat#LS-C40521, RRID:AB_2155946
- Product name
- Mineralocorticoid Receptor Antibody (aa651-700) LS-C40521
- Antibody type
- Polyclonal
- Description
- Protein A purified
- Reactivity
- Human
- Host
- Rabbit
- Isotype
- IgG
- Storage
- Short term: Store at 2-8°C. Long term: Aliquot and store at -20°C. Avoid freeze/thaw cycles.
No comments: Submit comment
Enhanced validation
- Submitted by
- LSBio (provider)
- Enhanced method
- Genetic validation
- Main image

- Experimental details
- NR3C2 antibody ARP45599_T100-NP_000892-NR3C2(nuclear receptor subfamily 3, group C, member 2) Antibody Western blot of A172 cell lysate. This image was taken for the unconjugated form of this product. Other forms have not been tested.
Enhanced validation
- Submitted by
- LSBio (provider)
- Enhanced method
- Genetic validation
- Main image

- Experimental details
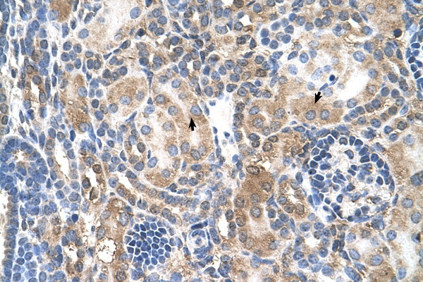
- NR3C2 antibody ARP45599_T100-NP_000892-NR3C2(nuclear receptor subfamily 3, group C, member 2) Antibody IHC of formalin-fixed, paraffin-embedded human Kidney. Positive label: Epithelial cells of renal tubule indicated with arrows. Antibody concentration 4-8 ug/ml. Magnification 400X. This image was taken for the unconjugated form of this product. Other forms have not been tested.
- Submitted by
- LSBio (provider)
- Main image

- Experimental details
- NR3C2 antibody ARP45599_T100-NP_000892-NR3C2(nuclear receptor subfamily 3, group C, member 2) Antibody IHC of formalin-fixed, paraffin-embedded human Kidney. Positive label: Epithelial cells of renal tubule indicated with arrows. Antibody concentration 4-8 ug/ml. Magnification 400X. This image was taken for the unconjugated form of this product. Other forms have not been tested.