Antibody data
- Antibody Data
- Antigen structure
- References [1]
- Comments [0]
- Validations
- Western blot [1]
- Immunohistochemistry [3]
Submit
Validation data
Reference
Comment
Report error
- Product number
- NB300-562 - Provider product page

- Provider
- Novus Biologicals
- Proper citation
- Novus Cat#NB300-562, RRID:AB_2155943
- Product name
- Mouse Monoclonal Mineralocorticoid R/NR3C2 Antibody
- Antibody type
- Monoclonal
- Description
- Protein A purified. Detects mineralocorticoid receptor (MR).
- Reactivity
- Human, Mouse, Rat, Chicken/Avian, Rabbit, Sheep
- Host
- Mouse
- Isotype
- IgG
- Vial size
- 100uL
- Concentration
- 1.4 mg/ml
- Storage
- Store at -20C. Avoid freeze-thaw cycles.
Submitted references Signaling pathways involved in the rapid biphasic effect of aldosterone on Na+/H+ exchanger in rat proximal tubule cells.
Leite-Dellova DCA, Szriber SJ, Merighe GKF, Polidoro JZ, Rebouças NA, Oliveira-Souza M, de Mello-Aires M
The Journal of steroid biochemistry and molecular biology 2018 Sep;182:87-94
The Journal of steroid biochemistry and molecular biology 2018 Sep;182:87-94
No comments: Submit comment
Supportive validation
- Submitted by
- Novus Biologicals (provider)
- Main image

- Experimental details
- Western Blot: Mineralocorticoid R/NR3C2 Antibody (H10E4C9F) [NB300-562] - Analysis of Mineralocorticoid Receptor.
Supportive validation
- Submitted by
- Novus Biologicals (provider)
- Main image

- Experimental details
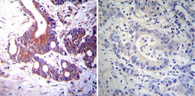
- Immunohistochemistry-Paraffin: Mineralocorticoid R/NR3C2 Antibody (H10E4C9F) [NB300-562] - Both normal and cancer biopsies of deparaffinized Human colon carcinoma tissues.
- Submitted by
- Novus Biologicals (provider)
- Main image

- Experimental details
- Immunohistochemistry-Paraffin: Mineralocorticoid R/NR3C2 Antibody (H10E4C9F) [NB300-562] - Both normal and cancer biopsies of deparaffinized Human kidney tissue tissues
- Submitted by
- Novus Biologicals (provider)
- Main image

- Experimental details
- Immunohistochemistry-Paraffin: Mineralocorticoid R/NR3C2 Antibody (H10E4C9F) [NB300-562] - Both normal and cancer biopsies of deparaffinized Human tonsil tissues.