Antibody data
- Antibody Data
- Antigen structure
- References [12]
- Comments [0]
- Validations
- Western blot [3]
- Immunohistochemistry [1]
Submit
Validation data
Reference
Comment
Report error
- Product number
- AF3798 - Provider product page

- Provider
- R&D Systems
- Product name
- Human/Mouse/Rat Glutathione Peroxidase 1/GPX1 Antibody
- Antibody type
- Polyclonal
- Description
- Antigen Affinity-purified. Detects endogenous human, mouse, and rat GPX1. In Western blots, this antibody shows no cross-reactivity with recombinant human GPX2 or GPX3.
- Reactivity
- Human, Mouse, Rat
- Host
- Goat
- Conjugate
- Unconjugated
- Antigen sequence
P07203- Isotype
- IgG
- Vial size
- 100 ug
- Concentration
- LYOPH
- Storage
- Use a manual defrost freezer and avoid repeated freeze-thaw cycles. 12 months from date of receipt, -20 to -70 °C as supplied. 1 month, 2 to 8 °C under sterile conditions after reconstitution. 6 months, -20 to -70 °C under sterile conditions after reconstitution.
Submitted references Sexual Dimorphism in the Selenocysteine Lyase Knockout Mouse.
Partial involvement of Nrf2 in skeletal muscle mitohormesis as an adaptive response to mitochondrial uncoupling.
Evidence supporting oxidative stress in a moderately affected area of the brain in Alzheimer's disease.
Dietary tetrahydrocurcumin reduces renal fibrosis and cardiac hypertrophy in 5/6 nephrectomized rats.
LCZ696 (Sacubitril/valsartan) ameliorates oxidative stress, inflammation, fibrosis and improves renal function beyond angiotensin receptor blockade in CKD.
Global survey of cell death mechanisms reveals metabolic regulation of ferroptosis.
Isoform-specific binding of selenoprotein P to the β-propeller domain of apolipoprotein E receptor 2 mediates selenium supply.
Mice lacking selenoprotein P and selenocysteine lyase exhibit severe neurological dysfunction, neurodegeneration, and audiogenic seizures.
Evaluation of selenite effects on selenoproteins and cytokinome in human hepatoma cell lines.
Disruption of the selenocysteine lyase-mediated selenium recycling pathway leads to metabolic syndrome in mice.
Prostaglandin H synthase-2-catalyzed oxygenation of 2-arachidonoylglycerol is more sensitive to peroxide tone than oxygenation of arachidonic acid.
Resveratrol reduces endothelial oxidative stress by modulating the gene expression of superoxide dismutase 1 (SOD1), glutathione peroxidase 1 (GPx1) and NADPH oxidase subunit (Nox4).
Ogawa-Wong AN, Hashimoto AC, Ha H, Pitts MW, Seale LA, Berry MJ
Nutrients 2018 Jan 31;10(2)
Nutrients 2018 Jan 31;10(2)
Partial involvement of Nrf2 in skeletal muscle mitohormesis as an adaptive response to mitochondrial uncoupling.
Coleman V, Sa-Nguanmoo P, Koenig J, Schulz TJ, Grune T, Klaus S, Kipp AP, Ost M
Scientific reports 2018 Feb 5;8(1):2446
Scientific reports 2018 Feb 5;8(1):2446
Evidence supporting oxidative stress in a moderately affected area of the brain in Alzheimer's disease.
Youssef P, Chami B, Lim J, Middleton T, Sutherland GT, Witting PK
Scientific reports 2018 Aug 1;8(1):11553
Scientific reports 2018 Aug 1;8(1):11553
Dietary tetrahydrocurcumin reduces renal fibrosis and cardiac hypertrophy in 5/6 nephrectomized rats.
Lau WL, Khazaeli M, Savoj J, Manekia K, Bangash M, Thakurta RG, Dang A, Vaziri ND, Singh B
Pharmacology research & perspectives 2018 Apr;6(2):e00385
Pharmacology research & perspectives 2018 Apr;6(2):e00385
LCZ696 (Sacubitril/valsartan) ameliorates oxidative stress, inflammation, fibrosis and improves renal function beyond angiotensin receptor blockade in CKD.
Jing W, Vaziri ND, Nunes A, Suematsu Y, Farzaneh T, Khazaeli M, Moradi H
American journal of translational research 2017;9(12):5473-5484
American journal of translational research 2017;9(12):5473-5484
Global survey of cell death mechanisms reveals metabolic regulation of ferroptosis.
Shimada K, Skouta R, Kaplan A, Yang WS, Hayano M, Dixon SJ, Brown LM, Valenzuela CA, Wolpaw AJ, Stockwell BR
Nature chemical biology 2016 Jul;12(7):497-503
Nature chemical biology 2016 Jul;12(7):497-503
Isoform-specific binding of selenoprotein P to the β-propeller domain of apolipoprotein E receptor 2 mediates selenium supply.
Kurokawa S, Bellinger FP, Hill KE, Burk RF, Berry MJ
The Journal of biological chemistry 2014 Mar 28;289(13):9195-207
The Journal of biological chemistry 2014 Mar 28;289(13):9195-207
Mice lacking selenoprotein P and selenocysteine lyase exhibit severe neurological dysfunction, neurodegeneration, and audiogenic seizures.
Byrns CN, Pitts MW, Gilman CA, Hashimoto AC, Berry MJ
The Journal of biological chemistry 2014 Apr 4;289(14):9662-74
The Journal of biological chemistry 2014 Apr 4;289(14):9662-74
Evaluation of selenite effects on selenoproteins and cytokinome in human hepatoma cell lines.
Rusolo F, Pucci B, Colonna G, Capone F, Guerriero E, Milone MR, Nazzaro M, Volpe MG, Di Bernardo G, Castello G, Costantini S
Molecules (Basel, Switzerland) 2013 Feb 26;18(3):2549-62
Molecules (Basel, Switzerland) 2013 Feb 26;18(3):2549-62
Disruption of the selenocysteine lyase-mediated selenium recycling pathway leads to metabolic syndrome in mice.
Seale LA, Hashimoto AC, Kurokawa S, Gilman CL, Seyedali A, Bellinger FP, Raman AV, Berry MJ
Molecular and cellular biology 2012 Oct;32(20):4141-54
Molecular and cellular biology 2012 Oct;32(20):4141-54
Prostaglandin H synthase-2-catalyzed oxygenation of 2-arachidonoylglycerol is more sensitive to peroxide tone than oxygenation of arachidonic acid.
Musee J, Marnett LJ
The Journal of biological chemistry 2012 Oct 26;287(44):37383-94
The Journal of biological chemistry 2012 Oct 26;287(44):37383-94
Resveratrol reduces endothelial oxidative stress by modulating the gene expression of superoxide dismutase 1 (SOD1), glutathione peroxidase 1 (GPx1) and NADPH oxidase subunit (Nox4).
Spanier G, Xu H, Xia N, Tobias S, Deng S, Wojnowski L, Forstermann U, Li H
Journal of physiology and pharmacology : an official journal of the Polish Physiological Society 2009 Oct;60 Suppl 4:111-6
Journal of physiology and pharmacology : an official journal of the Polish Physiological Society 2009 Oct;60 Suppl 4:111-6
No comments: Submit comment
Supportive validation
- Submitted by
- R&D Systems (provider)
- Main image

- Experimental details
- Detection of Human and Mouse Glutathione Peroxidase 1/GPX1 by Simple WesternTM. Simple Western lane view shows lysates of human liver tissue and mouse liver tissue, loaded at 0.2 mg/mL. A specific band was detected for Glutathione Peroxidase 1/GPX1 at approximately 30 kDa (as indicated) using 10 µg/mL of Goat Anti-Human/Mouse/Rat Glutathione Peroxidase 1/GPX1 Antigen Affinity-purified Polyclonal Antibody (Catalog # AF3798) followed by 1:50 dilution of HRP-conjugated Anti-Goat IgG Secondary Antibody (Catalog # HAF109). This experiment was conducted under reducing conditions and using the 12-230 kDa separation system.
- Submitted by
- R&D Systems (provider)
- Main image

- Experimental details
- Detection of Human/Mouse/Rat Glutathione Peroxidase 1 by Western Blot. Western blot shows lysates of human, mouse and rat liver tissue. PVDF membrane was probed with 1 µg/mL of Goat Anti-Human/Mouse/Rat Glutathione Peroxidase 1 Antigen Affinity-purified Polyclonal Antibody (Catalog # AF3798) followed by HRP-conjugated Anti-Goat IgG Secondary Antibody (Catalog # HAF017). A specific band was detected for Glutathione Peroxidase 1 at approximately 22 kDa (as indicated). This experiment was conducted under reducing conditions and using Immunoblot Buffer Group 2.
- Submitted by
- R&D Systems (provider)
- Main image

- Experimental details
- Western Blot Shows Human Glutathione Peroxidase 1/GPX1 Specificity by Using Knockout Cell Line. Western blot shows lysates of HEK293T human embryonic kidney parental cell line and Glutathione Peroxidase 1/GPX1 knockout HEK293T cell line (KO). PVDF membrane was probed with 1 µg/mL of Goat Anti-Human/Mouse/Rat Glutathione Peroxidase 1/GPX1 Antigen Affinity-purified Polyclonal Antibody (Catalog # AF3798) followed by HRP-conjugated Anti-Goat IgG Secondary Antibody (Catalog # HAF017). A specific band was detected for Glutathione Peroxidase 1/GPX1 at approximately 24 kDa (as indicated) in the parental HEK293T cell line, but is not detectable in knockout HEK293T cell line. GAPDH (Catalog # AF5718) is shown as a loading control. This experiment was conducted under reducing conditions and using Immunoblot Buffer Group 1.
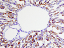
Supportive validation
- Submitted by
- R&D Systems (provider)
- Main image

- Experimental details
- Glutathione Peroxidase 1/GPX1 in Rat Liver. Glutathione Peroxidase 1/GPX1 was detected in perfusion fixed frozen sections of rat liver using 15 µg/mL Goat Anti-Human/Mouse/Rat Glutathione Peroxidase 1/GPX1 Antigen Affinity-purified Polyclonal Antibody (Catalog # AF3798) overnight at 4 °C. Tissue was stained with the Anti-Goat HRP-DAB Cell & Tissue Staining Kit (brown; Catalog # CTS008) and counterstained with hematoxylin (blue). Specific labeling was localized to the cytoplasm in hepatocytes. View our protocol for Chromogenic IHC Staining of Frozen Tissue Sections.