AF592
antibody from R&D Systems
Targeting: FRZB
FRE, FRITZ, FRP-3, FRZB-1, FRZB-PEN, FRZB1, FZRB, hFIZ, SFRP3, SRFP3
Antibody data
- Antibody Data
- Antigen structure
- References [1]
- Comments [0]
- Validations
- Immunohistochemistry [1]
Submit
Validation data
Reference
Comment
Report error
- Product number
- AF592 - Provider product page

- Provider
- R&D Systems
- Product name
- Mouse sFRP-3 Antibody
- Antibody type
- Polyclonal
- Description
- Immunogen affinity purified. Detects mouse sFRP-3 in direct ELISAs and Western blots.
- Reactivity
- Mouse
- Host
- Goat
- Conjugate
- Unconjugated
- Antigen sequence
P97401- Isotype
- IgG
- Vial size
- 100 ug
- Concentration
- LYOPH
- Storage
- Use a manual defrost freezer and avoid repeated freeze-thaw cycles. 12 months from date of receipt, -20 to -70 °C as supplied. 1 month, 2 to 8 °C under sterile conditions after reconstitution. 6 months, -20 to -70 °C under sterile conditions after reconstitution.
Submitted references Activator protein-1 activity regulates epithelial tumor cell identity.
Gerdes MJ, Myakishev M, Frost NA, Rishi V, Moitra J, Acharya A, Levy MR, Park SW, Glick A, Yuspa SH, Vinson C
Cancer research 2006 Aug 1;66(15):7578-88
Cancer research 2006 Aug 1;66(15):7578-88
No comments: Submit comment
Supportive validation
- Submitted by
- R&D Systems (provider)
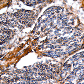
- Main image

- Experimental details
- sFRP-3 in Mouse Embryo. sFRP-3 was detected in immersion fixed frozen sections of mouse embryo (E15) using Mouse sFRP-3 Antigen Affinity-purified Polyclonal Antibody (Catalog # AF592) at 15 µg/mL overnight at 4 °C. Tissue was stained using the Anti-Goat HRP-DAB Cell & Tissue Staining Kit (brown; Catalog # CTS008) and counterstained with hematoxylin (blue). Specific staining was localized to dorsal root ganglia. View our protocol for Chromogenic IHC Staining of Frozen Tissue Sections.