Antibody data
- Antibody Data
- Antigen structure
- References [6]
- Comments [0]
- Validations
- Immunohistochemistry [1]
Submit
Validation data
Reference
Comment
Report error
- Product number
- sc-13979 - Provider product page

- Provider
- Santa Cruz Biotechnology
- Proper citation
- Santa Cruz Biotechnology Cat#sc-13979, RRID:AB_2185502
- Product name
- Anti-SFTPC
- Antibody type
- Polyclonal
- Antigen
- Recombinant full-length protein
- Reactivity
- Human
- Host
- Rabbit
Submitted references Role of GABA receptors in fetal lung development in rats.
Lunatic Fringe-mediated Notch signaling is required for lung alveogenesis.
Mechanical stretch promotes fetal type II epithelial cell differentiation via shedding of HB-EGF and TGF-alpha.
HIF1alpha is essential for normal intrauterine differentiation of alveolar epithelium and surfactant production in the newborn lung of mice.
Phosphatidylinositol 3-kinase mediates bronchioalveolar stem cell expansion in mouse models of oncogenic K-ras-induced lung cancer.
Role of phosphocholine cytidylyltransferase alpha in lung development.
Chintagari NR, Jin N, Gao L, Wang Y, Xi D, Liu L
PloS one 2010 Nov 30;5(11):e14171
PloS one 2010 Nov 30;5(11):e14171
Lunatic Fringe-mediated Notch signaling is required for lung alveogenesis.
Xu K, Nieuwenhuis E, Cohen BL, Wang W, Canty AJ, Danska JS, Coultas L, Rossant J, Wu MY, Piscione TD, Nagy A, Gossler A, Hicks GG, Hui CC, Henkelman RM, Yu LX, Sled JG, Gridley T, Egan SE
American journal of physiology. Lung cellular and molecular physiology 2010 Jan;298(1):L45-56
American journal of physiology. Lung cellular and molecular physiology 2010 Jan;298(1):L45-56
Mechanical stretch promotes fetal type II epithelial cell differentiation via shedding of HB-EGF and TGF-alpha.
Wang Y, Maciejewski BS, Soto-Reyes D, Lee HS, Warburton D, Sanchez-Esteban J
The Journal of physiology 2009 Apr 15;587(Pt 8):1739-53
The Journal of physiology 2009 Apr 15;587(Pt 8):1739-53
HIF1alpha is essential for normal intrauterine differentiation of alveolar epithelium and surfactant production in the newborn lung of mice.
Saini Y, Harkema JR, LaPres JJ
The Journal of biological chemistry 2008 Nov 28;283(48):33650-7
The Journal of biological chemistry 2008 Nov 28;283(48):33650-7
Phosphatidylinositol 3-kinase mediates bronchioalveolar stem cell expansion in mouse models of oncogenic K-ras-induced lung cancer.
Yang Y, Iwanaga K, Raso MG, Wislez M, Hanna AE, Wieder ED, Molldrem JJ, Wistuba II, Powis G, Demayo FJ, Kim CF, Kurie JM
PloS one 2008 May 21;3(5):e2220
PloS one 2008 May 21;3(5):e2220
Role of phosphocholine cytidylyltransferase alpha in lung development.
Tian Y, Zhou R, Rehg JE, Jackowski S
Molecular and cellular biology 2007 Feb;27(3):975-82
Molecular and cellular biology 2007 Feb;27(3):975-82
No comments: Submit comment
Supportive validation
- Submitted by
- per
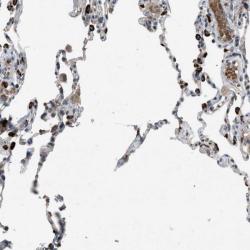
- Main image

- Experimental details
- Immunohistochemical staining of human lung shows cytoplasmic positivity in type II alveolar cells.
- Validation comment
- Staining pattern partly consistent with experimental and/or bioinformatic data.