Antibody data
- Antibody Data
- Antigen structure
- References [2]
- Comments [0]
- Validations
- Western blot [1]
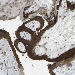
- Immunohistochemistry [1]
Submit
Validation data
Reference
Comment
Report error
- Product number
- sc-13982 - Provider product page

- Provider
- Santa Cruz Biotechnology
- Proper citation
- Santa Cruz Biotechnology Cat#sc-13982, RRID:AB_638976
- Product name
- Anti-DAB2
- Antibody type
- Polyclonal
- Antigen
- Recombinant full-length protein
- Reactivity
- Human
- Host
- Rabbit
Submitted references Sequence-specific regulator Prdm14 safeguards mouse ESCs from entering extraembryonic endoderm fates
Epigenetic downregulation of human disabled homolog 2 switches TGF-beta from a tumor suppressor to a tumor promoter.
Ziyang Ma, Tomek Swigut, Anton Valouev, Alvaro Rada-Iglesias, Joanna Wysocka
Nature Structural & Molecular Biology 2010 Dec;18(2):120-127
Nature Structural & Molecular Biology 2010 Dec;18(2):120-127
Epigenetic downregulation of human disabled homolog 2 switches TGF-beta from a tumor suppressor to a tumor promoter.
Hannigan A, Smith P, Kalna G, Lo Nigro C, Orange C, O'Brien DI, Shah R, Syed N, Spender LC, Herrera B, Thurlow JK, Lattanzio L, Monteverde M, Maurer ME, Buffa FM, Mann J, Chu DC, West CM, Patridge M, Oien KA, Cooper JA, Frame MC, Harris AL, Hiller L, Nicholson LJ, Gasco M, Crook T, Inman GJ
The Journal of clinical investigation 2010 Aug;120(8):2842-57
The Journal of clinical investigation 2010 Aug;120(8):2842-57
No comments: Submit comment
Supportive validation
- Submitted by
- per
- Main image

- Experimental details
- Western blot analysis of antibody specificity using a routine panel composed of IgG/HSA-depleted human plasma and protein lysates from selected human tissues and cell lines.
- Validation comment
- Band of predicted size in kDa (+/-20%) with additional bands present.
- Primary Ab dilution
- 1:500
- Secondary Ab dilution
- 1:3000
- Lane 1
- Marker [kDa]: 213, 118, 83, 50, 33, 26, 18
- Lane 2
- RT-4
- Lane 3
- U-251MG sp
- Lane 4
- Human Plasma
- Lane 5
- Liver
- Lane 6
- Tonsil
- Theoretical target weight
- [kDa] 82
Supportive validation
- Submitted by
- per
- Main image

- Experimental details
- Immunohistochemical staining of human placenta shows strong cytoplasmic positivity in trophoblastic cells.
- Validation comment
- Staining pattern consistent with experimental and/or bioinformatic data.