Antibody data
- Antibody Data
- Antigen structure
- References [0]
- Comments [0]
- Validations
- Immunohistochemistry [2]
- Blocking/Neutralizing [1]
Submit
Validation data
Reference
Comment
Report error
- Product number
- LS-C404548 - Provider product page

- Provider
- LSBio
- Product name
- ARC / Arg3.1 Antibody LS-C404548
- Antibody type
- Polyclonal
- Description
- Affinity purification
- Reactivity
- Human, Mouse
- Host
- Rabbit
- Isotype
- IgG
- Storage
- Store at -20°C. Avoid freeze-thaw cycles.
No comments: Submit comment
Supportive validation
- Submitted by
- LSBio (provider)
- Main image

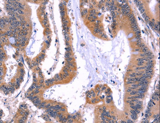
- Experimental details
- Immunohistochemistry of paraffin-embedded Human colon cancer using ARC Polyclonal Antibody at dilution of 1:50.
- Submitted by
- LSBio (provider)
- Main image

- Experimental details
- Immunohistochemistry of paraffin-embedded Human liver cancer using ARC Polyclonal Antibody at dilution of 1:50.
Supportive validation
- Submitted by
- LSBio (provider)
- Main image

- Experimental details
- Western blot analysis of Mouse brain tissue, using ARC Polyclonal Antibody at dilution of 1:597.