Antibody data
- Antibody Data
- Antigen structure
- References [0]
- Comments [0]
- Validations
- Western blot [1]
- Immunohistochemistry [2]
Submit
Validation data
Reference
Comment
Report error
- Product number
- TA807521 - Provider product page

- Provider
- OriGene
- Proper citation
- OriGene Cat#TA807521, RRID:AB_2628487
- Product name
- TNNI1 mouse monoclonal antibody, clone OTI8H8 (formerly 8H8)
- Antibody type
- Monoclonal
- Description
- TNNI1 mouse monoclonal antibody, clone OTI8H8 (formerly 8H8)
- Host
- Mouse
- Conjugate
- Unconjugated
- Epitope
- TNNI1
- Isotype
- IgG
- Antibody clone number
- OTI8H8
- Vial size
- 100 µl
- Concentration
- 1 mg/ml
No comments: Submit comment
Supportive validation
- Submitted by
- OriGene (provider)
- Main image

- Experimental details
- HEK293T cells were transfected with the pCMV6-ENTRY control (Left lane) or pCMV6-ENTRY TNNI1 (RC203127, Right lane) cDNA for 48 hrs and lysed. Equivalent amounts of cell lysates (5 ug per lane) were separated by SDS-PAGE and immunoblotted with anti-TNNI1.
- Validation comment
- WB
Supportive validation
- Submitted by
- OriGene (provider)
- Main image

- Experimental details
- Immunohistochemical staining of paraffin-embedded Human adult heart tissue using anti-TNNI1 mouse monoclonal antibody. (Heat-induced epitope retrieval by 1 mM EDTA in 10mM Tris, pH8.5, 120C for 3min, TA807521)
- Validation comment
- IHC
- Submitted by
- OriGene (provider)
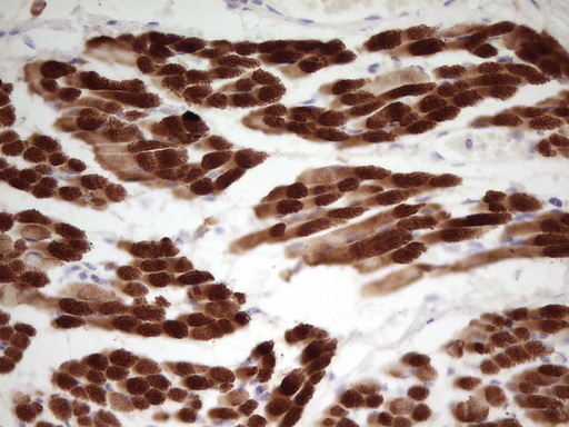
- Main image

- Experimental details
- Immunohistochemical staining of paraffin-embedded Human muscle tissue using anti-TNNI1 mouse monoclonal antibody. (Heat-induced epitope retrieval by 1 mM EDTA in 10mM Tris, pH8.5, 120C for 3min, TA807521)
- Validation comment
- IHC