Antibody data
- Antibody Data
- Antigen structure
- References [0]
- Comments [0]
- Validations
- Western blot [2]
- ELISA [3]
- Immunohistochemistry [6]
Submit
Validation data
Reference
Comment
Report error
- Product number
- LS-C359315 - Provider product page

- Provider
- LSBio
- Product name
- YAP / YAP1 Antibody (clone 1A12) LS-C359315
- Antibody type
- Monoclonal
- Description
- Ammonium sulfate precipitation
- Reactivity
- Human
- Host
- Mouse
- Isotype
- IgG
- Antibody clone number
- 1A12
- Storage
- Short term: store at 4°C. Long term: aliquot and store at -20°C. Avoid freeze-thaw cycles.
No comments: Submit comment
Enhanced validation
- Submitted by
- LSBio (provider)
- Enhanced method
- Genetic validation
- Main image

- Experimental details
- Western Blot: YAP1 Antibody (1A12) - Western blot analysis using YAP1 mouse mAb against HeLa (1), C6 (2) and Cos7 (3) cell lysate.
- Submitted by
- LSBio (provider)
- Enhanced method
- Genetic validation
- Main image

- Experimental details
- Western Blot: YAP1 Antibody (1A12) - Western blot analysis using YAP1 mAb against human YAP1 (AA: 250-447) recombinant protein. (Expected MW is 54.4 kDa)
Supportive validation
- Submitted by
- LSBio (provider)
- Enhanced method
- Genetic validation
- Main image

- Experimental details
- ELISA: YAP1 Antibody (1A12) - Red: Control Antigen (100ng); Purple: Antigen (10ng); Green: Antigen (50ng); Blue: Antigen (100ng).
- Submitted by
- LSBio (provider)
- Main image

- Experimental details
- ELISA: YAP1 Antibody (1A12) - Red: Control Antigen (100ng); Purple: Antigen (10ng); Green: Antigen (50ng); Blue: Antigen (100ng).
- Submitted by
- LSBio (provider)
- Main image

- Experimental details
- ELISA: YAP1 Antibody (1A12) - Red: Control Antigen (100ng); Purple: Antigen (10ng); Green: Antigen (50ng); Blue: Antigen (100ng).
Supportive validation
- Submitted by
- LSBio (provider)
- Enhanced method
- Genetic validation
- Main image

- Experimental details
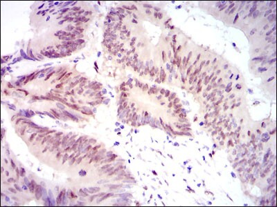
- Immunohistochemistry-Paraffin: YAP1 Antibody (1A12) - Immunohistochemical analysis of paraffin-embedded rectum cancer tissues using YAP1 mouse mAb with DAB staining.
- Submitted by
- LSBio (provider)
- Enhanced method
- Genetic validation
- Main image

- Experimental details
- Immunohistochemistry-Paraffin: YAP1 Antibody (1A12) - Immunohistochemical analysis of paraffin-embedded prostate cancer tissues using YAP1 mouse mAb with DAB staining.
- Submitted by
- LSBio (provider)
- Enhanced method
- Genetic validation
- Main image

- Experimental details
- Immunohistochemistry-Paraffin: YAP1 Antibody (1A12) - Immunohistochemical analysis of paraffin-embedded rectum cancer tissues using YAP1 mouse mAb with DAB staining.
- Submitted by
- LSBio (provider)
- Enhanced method
- Genetic validation
- Main image

- Experimental details
- Immunohistochemistry-Paraffin: YAP1 Antibody (1A12) - Immunohistochemical analysis of paraffin-embedded prostate cancer tissues using YAP1 mouse mAb with DAB staining.
- Submitted by
- LSBio (provider)
- Enhanced method
- Genetic validation
- Main image

- Experimental details
- Immunohistochemistry-Paraffin: YAP1 Antibody (1A12) - Immunohistochemical analysis of paraffin-embedded rectum cancer tissues using YAP1 mouse mAb with DAB staining.
- Submitted by
- LSBio (provider)
- Enhanced method
- Genetic validation
- Main image

- Experimental details
- Immunohistochemistry-Paraffin: YAP1 Antibody (1A12) - Immunohistochemical analysis of paraffin-embedded prostate cancer tissues using YAP1 mouse mAb with DAB staining.