Antibody data
- Antibody Data
- Antigen structure
- References [0]
- Comments [0]
- Validations
- Western blot [1]
- ELISA [1]
- Immunocytochemistry [1]
- Immunohistochemistry [3]
Submit
Validation data
Reference
Comment
Report error
- Product number
- AM20983PU-N - Provider product page

- Provider
- OriGene
- Product name
- YAP1 mouse monoclonal antibody, clone 2H1
- Antibody type
- Monoclonal
- Description
- YAP1 mouse monoclonal antibody, clone 2H1
- Host
- Mouse
- Conjugate
- Unconjugated
- Epitope
- YAP1
- Isotype
- IgG
- Antibody clone number
- 2H1
- Vial size
- 50 µg
- Concentration
- 0.5 mg/ml
No comments: Submit comment
Supportive validation
- Submitted by
- OriGene (provider)
- Main image

- Experimental details
- YAP1 monoclonal antibody, clone 2H1 Western Blot analysis of YAP1 expression in Hela NE.
- Validation comment
- WB
Supportive validation
- Submitted by
- OriGene (provider)
- Main image

- Experimental details
- Detection limit for recombinant GST tagged YAP1 is approximately 0.03 ng/ml as a capture antibody.
- Validation comment
- ELISA
Supportive validation
- Submitted by
- OriGene (provider)
- Main image

- Experimental details
- Immunofluorescence of monoclonal antibody to YAP1 on HeLa cell (antibody concentration 40 ug/ml).
- Validation comment
- IF
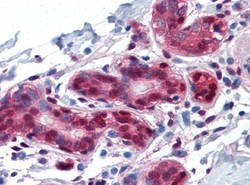
Supportive validation
- Submitted by
- OriGene (provider)
- Main image

- Experimental details
- Human Uterus: Formalin-Fixed, Paraffin-Embedded (FFPE)
- Validation comment
- IHC
- Submitted by
- OriGene (provider)
- Main image

- Experimental details
- Human Colon, muscularis mucosa: Formalin-Fixed, Paraffin-Embedded (FFPE)
- Validation comment
- IHC
- Submitted by
- OriGene (provider)
- Main image

- Experimental details
- Human Breast: Formalin-Fixed, Paraffin-Embedded (FFPE)
- Validation comment
- IHC