Antibody data
- Antibody Data
- Antigen structure
- References [0]
- Comments [0]
- Validations
- Western blot [1]
- ELISA [1]
- Immunocytochemistry [1]
- Immunohistochemistry [1]
Submit
Validation data
Reference
Comment
Report error
- Product number
- H00010413-M03 - Provider product page

- Provider
- Abnova Corporation
- Proper citation
- Abnova Corporation Cat#H00010413-M03, RRID:AB_626507
- Product name
- YAP1 monoclonal antibody (M03), clone 2H1
- Antibody type
- Monoclonal
- Description
- Mouse monoclonal antibody raised against a partial recombinant YAP1.
- Antigen sequence
QIVHVRGDSETDLEALFNAVMNPKTANVPQTVPMR
LRKLPDSFFKPPEPKSHSRQASTDAGTAGALTPQH
VRAHSSPASLQLGAVSPGTLTPTGVVSGPAATPTA
QHLR- Isotype
- IgG
- Antibody clone number
- 2H1
- Storage
- Store at -20°C or lower. Aliquot to avoid repeated freezing and thawing.
No comments: Submit comment
Supportive validation
- Submitted by
- Abnova Corporation (provider)
- Main image

- Experimental details
- YAP1 monoclonal antibody (M03), clone 2H1 Western Blot analysis of YAP1 expression in Hela S3 NE ( Cat # L013V3 ).
Supportive validation
- Submitted by
- Abnova Corporation (provider)
- Main image

- Experimental details
- Detection limit for recombinant GST tagged YAP1 is approximately 0.03ng/ml as a capture antibody.
- Validation comment
- Sandwich ELISA (Recombinant protein)
- Protocol
- Protocol
Supportive validation
- Submitted by
- Abnova Corporation (provider)
- Main image

- Experimental details
- Immunofluorescence of monoclonal antibody to YAP1 on HeLa cell. [antibody concentration 40 ug/ml]
- Validation comment
- Immunofluorescence
- Protocol
- Protocol
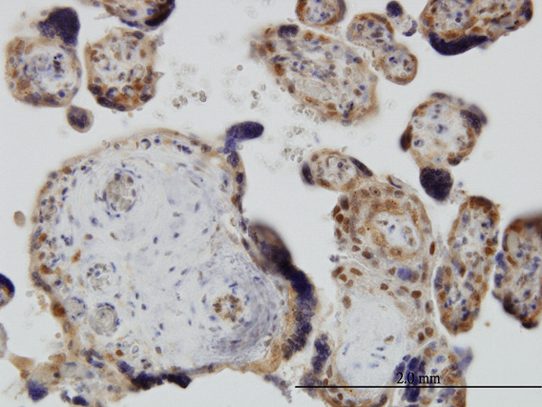
Supportive validation
- Submitted by
- Abnova Corporation (provider)
- Main image

- Experimental details
- Immunoperoxidase of monoclonal antibody to YAP1 on formalin-fixed paraffin-embedded human placenta. [antibody concentration 3 ug/ml]
- Validation comment
- Immunohistochemistry (Formalin/PFA-fixed paraffin-embedded sections)
- Protocol
- Protocol