Antibody data
- Antibody Data
- Antigen structure
- References [0]
- Comments [0]
- Validations
- Immunocytochemistry [1]
- Immunohistochemistry [3]
Submit
Validation data
Reference
Comment
Report error
- Product number
- MA5-56616 - Provider product page

- Provider
- Invitrogen Antibodies
- Product name
- C3a Receptor Recombinant Rabbit Monoclonal Antibody (HL2831)
- Antibody type
- Monoclonal
- Antigen
- Recombinant full-length protein
- Reactivity
- Human
- Host
- Rabbit
- Isotype
- IgG
- Antibody clone number
- HL2831
- Vial size
- 100 μL
- Concentration
- 1 mg/mL
- Storage
- -20°C, Avoid Freeze/Thaw Cycles
No comments: Submit comment
Supportive validation
- Submitted by
- Invitrogen Antibodies (provider)
- Main image

- Experimental details
- Immunocytochemistry analysis of C3a Receptor using C3a Receptor Recombinant Monoclonal Antibody (Product # MA5-56616) in Mock and transfected 293T cells fixed in ice-cold MeOH for 5 min. C3a Receptor antibody diluted at 1:500. Blue: Fluoroshield with DAPI.
Supportive validation
- Submitted by
- Invitrogen Antibodies (provider)
- Main image

- Experimental details
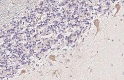
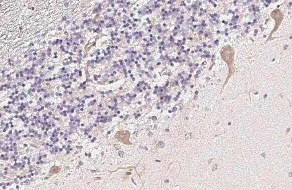
- Immunohistochemistry (Paraffin) analysis of C3a Receptor stained by C3a Receptor Recombinant Monoclonal Antibody (Product # MA5-56616). C3a Receptor antibody detects C3a Receptor protein on Paraffin-embedded human cerebellum diluted at 1:100. Antigen Retrieval: Citrate buffer, pH 6.0, 15 min.
- Submitted by
- Invitrogen Antibodies (provider)
- Main image

- Experimental details
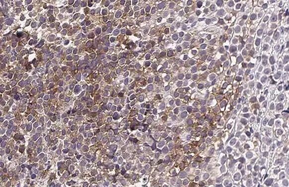
- Immunohistochemistry (Paraffin) analysis of C3a Receptor stained by C3a Receptor Recombinant Monoclonal Antibody (Product # MA5-56616). C3a Receptor antibody detects C3a Receptor protein at cell membrane and cytoplasm on Paraffin-embedded human glioblastoma diluted at 1:100. Antigen Retrieval: Citrate buffer, pH 6.0, 15 min.
- Submitted by
- Invitrogen Antibodies (provider)
- Main image

- Experimental details
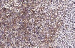
- Immunohistochemistry (Paraffin) analysis of C3a Receptor stained by C3a Receptor Recombinant Monoclonal Antibody (Product # MA5-56616). C3a Receptor antibody detects C3a Receptor protein at cell membrane and cytoplasm on Paraffin-embedded HL-60 xenograft diluted at 1:100. Antigen Retrieval: Citrate buffer, pH 6.0, 15 min.