Antibody data
- Antibody Data
- Antigen structure
- References [0]
- Comments [0]
- Validations
- Western blot [1]
- Immunohistochemistry [2]
Submit
Validation data
Reference
Comment
Report error
- Product number
- LS-C412088 - Provider product page

- Provider
- LSBio
- Product name
- ABHD4 Antibody LS-C412088
- Antibody type
- Polyclonal
- Description
- Immunoaffinity purified
- Reactivity
- Human, Mouse, Rat
- Host
- Rabbit
- Storage
- Short term: store at 4°C. Long term: aliquot and store at -20°C. Avoid freeze-thaw cycles.
No comments: Submit comment
Enhanced validation
- Submitted by
- LSBio (provider)
- Enhanced method
- Genetic validation
- Main image

- Experimental details
- Western blot of ABHD4 antibody at 1:500 dilution. Lane 1: HEK293T whole cell lysate. Lane 2: RAW264.7 whole cell lysate.
Supportive validation
- Submitted by
- LSBio (provider)
- Enhanced method
- Genetic validation
- Main image

- Experimental details
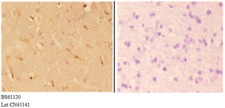
- Immunohistochemistry (IHC) analysis of ABHD4 antibody in paraffin-embedded mouse brain carcinoma tissue at 1:50, showing cytoplasmic and membrane staining. Negative control (the right) using PBS instead of primary antibody. Secondary antibody is Goat Anti-Rabbit.
- Submitted by
- LSBio (provider)
- Enhanced method
- Genetic validation
- Main image

- Experimental details
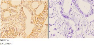
- Immunohistochemistry (IHC) analysis of ABHD4 antibody in paraffin-embedded human rectum carcinoma tissue at 1:50, showing cytoplasmic and membrane staining. Negative control (the right) using PBS instead of primary antibody. Secondary antibody is Goat Anti-Rabbit.