Antibody data
- Antibody Data
- Antigen structure
- References [0]
- Comments [0]
- Validations
- Western blot [4]
- Immunohistochemistry [3]
- Other assay [1]
Submit
Validation data
Reference
Comment
Report error
- Product number
- 11911-1-AP - Provider product page

- Provider
- Invitrogen Antibodies
- Product name
- Uromodulin Polyclonal Antibody
- Antibody type
- Polyclonal
- Antigen
- Other
- Reactivity
- Human, Mouse, Rat
- Host
- Rabbit
- Isotype
- IgG
- Vial size
- 150 µL
- Concentration
- 0.13 mg/mL
- Storage
- -20°C
No comments: Submit comment
Supportive validation
- Submitted by
- Invitrogen Antibodies (provider)
- Main image

- Experimental details
- Human brain tissue were subjected to SDS PAGE followed by western blot with 11911-1-AP (Uromodulin antibody) at dilution of 1:500 incubated at room temperature for 1.5 hours.
- Submitted by
- Invitrogen Antibodies (provider)
- Main image

- Experimental details
- Human heart tissue were subjected to SDS PAGE followed by western blot with 11911-1-AP (Uromodulin antibody) at dilution of 1:500 incubated at room temperature for 1.5 hours.
- Submitted by
- Invitrogen Antibodies (provider)
- Main image

- Experimental details
- Human heart tissue were subjected to SDS PAGE followed by western blot with 11911-1-AP (Uromodulin antibody) at dilution of 1:400 incubated at room temperature for 1.5 hours.
- Submitted by
- Invitrogen Antibodies (provider)
- Main image

- Experimental details
- Mouse brain tissue were subjected to SDS PAGE followed by western blot with 11911-1-AP (Uromodulin antibody) at dilution of 1:500 incubated at room temperature for 1.5 hours.
Supportive validation
- Submitted by
- Invitrogen Antibodies (provider)
- Main image

- Experimental details
- Immunohistochemistry of paraffin-embedded human kidney tissue slide using 11911-1-AP (Uromodulin antibody) at dilution of 1:200 (under 0x lens) heat mediated antigen retrieved with Tris-EDTA buffer (pH 9).
- Submitted by
- Invitrogen Antibodies (provider)
- Main image

- Experimental details
- Immunohistochemistry of paraffin-embedded human kidney tissue slide using 11911-1-AP (Uromodulin antibody) at dilution of 1:200 (under 0x lens) heat mediated antigen retrieved with Tris-EDTA buffer (pH 9).
- Submitted by
- Invitrogen Antibodies (provider)
- Main image

- Experimental details
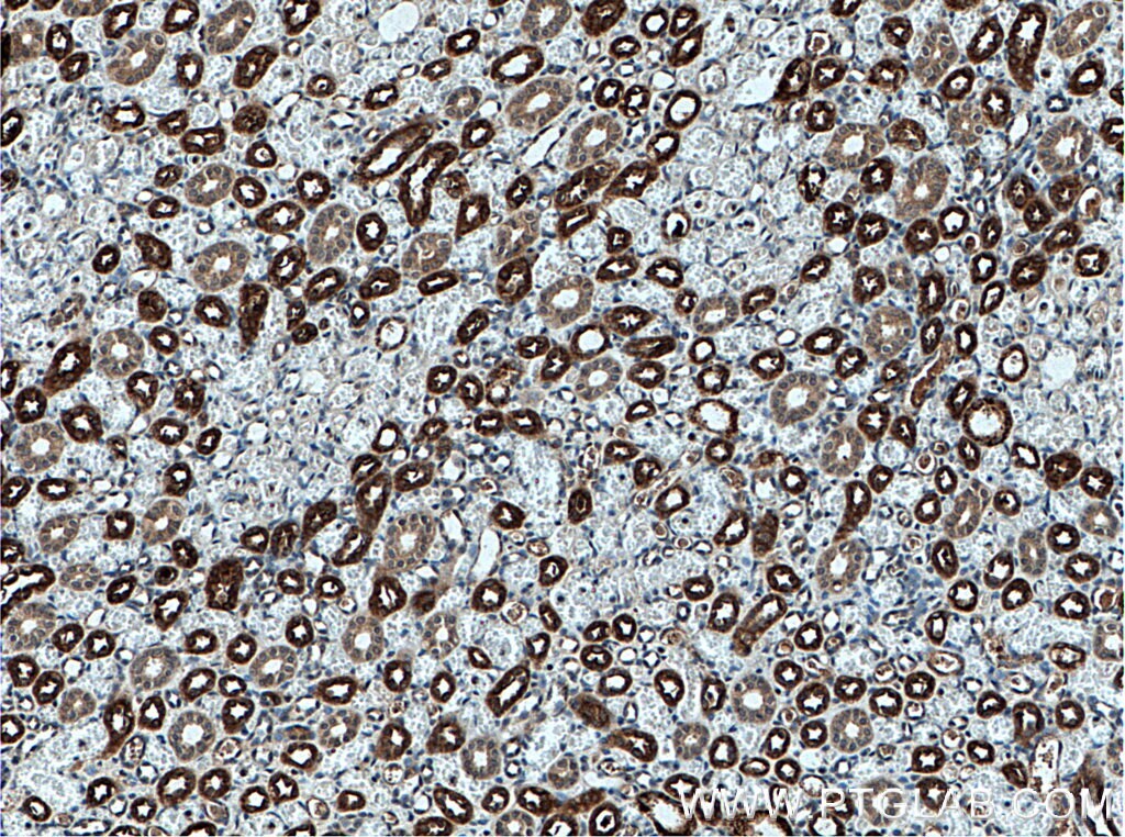
- Immunohistochemical analysis of paraffin-embedded human kidney tissue slide using (Product # 11911-1-AP) (Uromodulin antibody) at dilution of 1:500 (under 10x lens. Heat mediated antigen retrieval with Tris-EDTA buffer (pH 9.0).
Supportive validation
- Submitted by
- Invitrogen Antibodies (provider)
- Main image

- Experimental details
- IP result of anti-Uromodulin (IP:11911-1-AP, 4ug; Detection:11911-1-AP 1:500) with mouse brain tissue lysate 4000ug.