Antibody data
- Antibody Data
- Antigen structure
- References [0]
- Comments [0]
- Validations
- Western blot [1]
- Immunocytochemistry [1]
- Immunohistochemistry [6]
- Other assay [1]
Submit
Validation data
Reference
Comment
Report error
- Product number
- UM800063 - Provider product page

- Provider
- OriGene
- Proper citation
- OriGene Cat#UM800063, RRID:AB_2629173
- Product name
- GLI1 mouse monoclonal antibody,clone UMAB170
- Antibody type
- Monoclonal
- Description
- GLI1 mouse monoclonal antibody,clone UMAB170
- Host
- Mouse
- Conjugate
- Unconjugated
- Epitope
- GLI1
- Isotype
- IgG
- Antibody clone number
- UMAB170
- Vial size
- 100 µl
- Concentration
- 1.00mg/ml
No comments: Submit comment
Supportive validation
- Submitted by
- OriGene (provider)
- Main image

- Experimental details
- Western blot of cell lysates (35ug) from 9 different cell lines (1: HepG2, 2: HeLa, 3: SV-T2, 4: A549. 5: COS7, 6: Jurkat, 7: MDCK, 8: PC-12, 9: MCF7).
- Validation comment
- WB
Supportive validation
- Submitted by
- OriGene (provider)
- Main image

- Experimental details
- Immunofluorescent staining of HeLa cells using anti-GLI1 mouse monoclonal antibody (UM800063, green, 1:50). Actin filaments were labeled with Alexa Fluor? 594 Phalloidin (red), and nuclear with DAPI (blue). Scale bar, 20?m.
- Validation comment
- IF
Supportive validation
- Submitted by
- OriGene (provider)
- Main image

- Experimental details
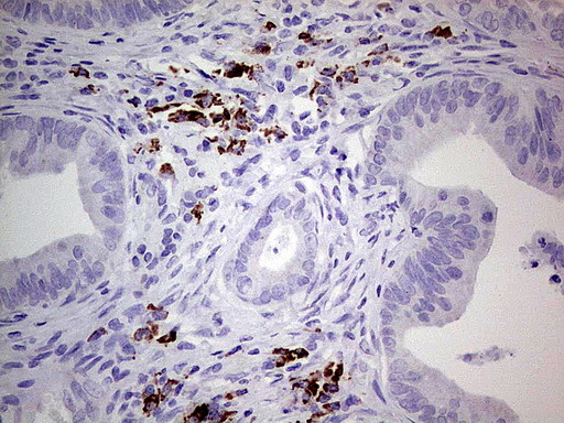
- Immunohistochemical staining of paraffin-embedded Adenocarcinoma of Human colon tissue using anti-GLI1 mouse monoclonal antibody. (UM800063; heat-induced epitope retrieval by 1 mM EDTA in 10mM Tris, pH8.0, 120C for 3min)
- Validation comment
- IHC
- Submitted by
- OriGene (provider)
- Main image

- Experimental details
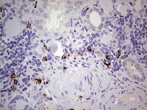
- Immunohistochemical staining of paraffin-embedded Human Kidney tissue using anti-GLI1 mouse monoclonal antibody. (UM800063; heat-induced epitope retrieval by 1 mM EDTA in 10mM Tris, pH8.0, 120C for 3min)
- Validation comment
- IHC
- Submitted by
- OriGene (provider)
- Main image

- Experimental details
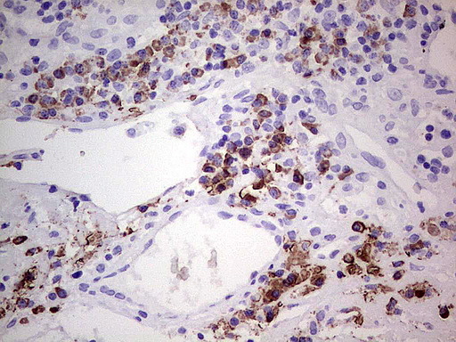
- Immunohistochemical staining of paraffin-embedded Carcinoma of Human lung tissue using anti-GLI1 mouse monoclonal antibody. (UM800063; heat-induced epitope retrieval by 1 mM EDTA in 10mM Tris, pH8.0, 120C for 3min)
- Validation comment
- IHC
- Submitted by
- OriGene (provider)
- Main image

- Experimental details
- Immunohistochemical staining of paraffin-embedded Carcinoma of Human bladder tissue using anti-GLI1 mouse monoclonal antibody. (UM800063; heat-induced epitope retrieval by 1 mM EDTA in 10mM Tris, pH8.0, 120C for 3min)
- Validation comment
- IHC
- Submitted by
- OriGene (provider)
- Main image

- Experimental details
- Immunohistochemical staining of paraffin-embedded Human tonsil using anti-GLI1 mouse monoclonal antibody. (UM800063; heat-induced epitope retrieval by 1 mM EDTA in 10mM Tris, pH8.0, 120C for 3min)
- Validation comment
- IHC
- Submitted by
- OriGene (provider)
- Main image

- Experimental details
- Immunohistochemical staining of paraffin-embedded Human melanoma tissue using anti-GLI1 mouse monoclonal antibody. (UM800063; heat-induced epitope retrieval by 1 mM EDTA in 10mM Tris, pH8.0, 120C for 3min)
- Validation comment
- IHC
Supportive validation
- Submitted by
- OriGene (provider)
- Main image

- Experimental details
- OriGene overexpression protein microarray chip was immunostained with UltraMAB anti-GLI1 mouse monoclonal antibody (UM800063). The positive reactive proteins are highlighted with two red arrows in the enlarged subarray. All the positive controls spotted in this subarray are also labeled for clarification.
- Validation comment
- 10K-CHIP