Antibody data
- Antibody Data
- Antigen structure
- References [0]
- Comments [0]
- Validations
- Western blot [1]
- Immunocytochemistry [1]
- Immunohistochemistry [1]
Submit
Validation data
Reference
Comment
Report error
- Product number
- AP21844PU-N - Provider product page

- Provider
- Acris Antibodies GmbH
- Proper citation
- Acris Antibodies GmbH Cat#AP21844PU-N, RRID:AB_10756288
- Product name
- anti GLI1
- Antibody type
- Polyclonal
- Antigen
- A portion of amino acids 940-990 of Human GLI1
- Reactivity
- Human, Simian
- Host
- Rabbit
- Vial size
- 0.1 mg
- Concentration
- 0.5 mg/ml
No comments: Submit comment
Supportive validation
- Submitted by
- Acris Antibodies GmbH (provider)
- Main image

- Experimental details
- Western blot analysis of GLI1 in Human kidney lysate using 1) pre-immune sera at 1/5000 dilution and 2) AP21844PU-N at 1 µg/ml. Goat anti-rabbit Ig HRP secondary antibody and PicoTect ECL substrate solution were used for this test.
Supportive validation
- Submitted by
- Acris Antibodies GmbH (provider)
- Main image

- Experimental details
- Immunofluoresce staining of GLI1 using AP21844PU-N at 10 µg/ml. Top panel: C666-1 malignant human nasopharyngel carcinoma cell line. Bottom panel: OKF6 tert-1 human oral epithelial cell line. GLI1 was more highly expressed in the C666-1 than in the OKF6 tert-1 cells. See application notes for protocol details.
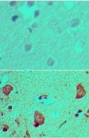
Supportive validation
- Submitted by
- Acris Antibodies GmbH (provider)
- Main image

- Experimental details
- Immunohistochemical analysis of GLI1 in formalin-fixed, paraffin-embedded human brain tissue using an isotype control (top) and AP21844PU-N (bottom) at 5 µg/ml.