Antibody data
- Antibody Data
- Antigen structure
- References [0]
- Comments [0]
- Validations
- Western blot [1]
- Immunohistochemistry [1]
Submit
Validation data
Reference
Comment
Report error
- Product number
- TA308209 - Provider product page

- Provider
- OriGene
- Product name
- Rabbit polyclonal antibody to CACNA1S (calcium channel, voltage-dependent, L type, alpha 1S subunit)
- Antibody type
- Polyclonal
- Description
- Rabbit polyclonal antibody to CACNA1S (calcium channel, voltage-dependent, L type, alpha 1S subunit)
- Host
- Rabbit
- Conjugate
- Unconjugated
- Epitope
- CACNA1S
- Isotype
- IgG
- Antibody clone number
- NULL
- Vial size
- 100 µl
- Concentration
- 0.67mg/ml
No comments: Submit comment
Supportive validation
- Submitted by
- OriGene (provider)
- Main image

- Experimental details
- Sample (30 ug of whole cell lysate). A: 293T. 5% SDS PAGE. TA308209 diluted at 1:1000.
- Validation comment
- WB
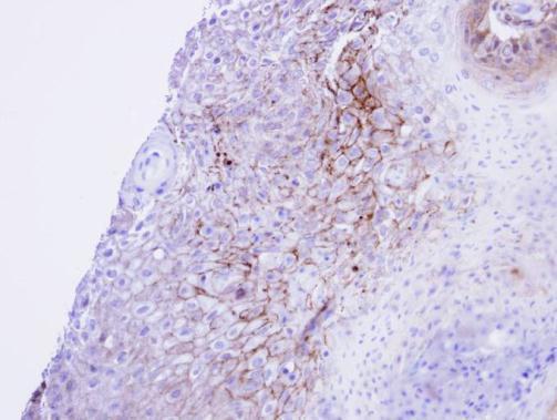
Supportive validation
- Submitted by
- OriGene (provider)
- Main image

- Experimental details
- Immunohistochemical analysis of paraffin-embedded Cal27 xenograft , using CACNA1S(TA308209) antibody at 1:100 dilution.
- Validation comment
- IHC