Antibody data
- Antibody Data
- Antigen structure
- References [0]
- Comments [0]
- Validations
- Western blot [1]
- Immunocytochemistry [1]
- Immunohistochemistry [1]
Submit
Validation data
Reference
Comment
Report error
- Product number
- AP50306PU-N - Provider product page

- Provider
- Acris Antibodies GmbH
- Proper citation
- Acris Antibodies GmbH Cat#AP50306PU-N, RRID:AB_11146391
- Product name
- anti ATP6V1B1 (Center)
- Antibody type
- Polyclonal
- Antigen
- KLH conjugated synthetic peptide between 291-318 amino acids from the Central region of human ATP6V1B1
- Reactivity
- Human
- Host
- Rabbit
- Vial size
- 0.4 ml
- Concentration
- lot specific
No comments: Submit comment
Supportive validation
- Submitted by
- Acris Antibodies GmbH (provider)
- Main image

- Experimental details
- ATP6V1B1 Antibody (Center) (Cat. #AP50306PU-N) western blot analysis in WiDr,K562 cell line lysates (35µg/lane).This demonstrates the ATP6V1B1 antibody detected the ATP6V1B1 protein (arrow).
Supportive validation
- Submitted by
- Acris Antibodies GmbH (provider)
- Main image

- Experimental details
- Confocal immunofluorescent analysis of ATP6V1B1 Antibody (Center)(Cat#AP50306PU-N) with WiDr cell followed by Alexa Fluor 488-conjugated goat anti-rabbit lgG (green). DAPI was used to stain the cell nuclear (blue).
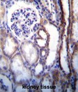
Supportive validation
- Submitted by
- Acris Antibodies GmbH (provider)
- Main image

- Experimental details
- ATP6V1B1 Antibody (Center) (Cat. #AP50306PU-N)immunohistochemistry analysis in formalin fixed and paraffin embedded human kidney tissue followed by peroxidase conjugation of the secondary antibody and DAB staining.This data demonstrates the use of ATP6V1B1 Antibody (Center) for immunohistochemistry. Clinical relevance has not been evaluated.